Img logo 273x140

Predictors of Long-Term Care Admission in Patients Presenting to a Rural and Remote Memory Clinic in Saskatchewan

Anas Arwini

Andrew Kirk

Megan O'Connell

Debra Morgan

Usask college of medicine logo
INTRODUCTION
  • In 2020, approximately 600,000 Canadians live with dementia, with this number expected to reach 1 million by 2030 [1]
  • As the disease progresses, there comes a point where it is significantly difficult for caregivers to fulfill the needs of a patient with dementia in the community, and may lead to increased distress and burden [2]
  • A timely admission into LTC is vital for the optimal care of the patient and caregivers alike [3]
OBJECTIVE
Identify the predictors of a transition to Long-Term Care in those presenting to the Rural and Remote Memory Clinic established in Saskatchewan.
METHODOLOGY
  • The charts of 635 community-dwelling participants presenting to the Rural and Remote Memory Clinic between its onset in March 2004 through June 2019 were reviewed and included in final data analysis. Of these, 222 did not transition to LTC and 413 have transitioned to LTC within two years of their first visit.
  • At first visit, the patients and accompanying caregivers completed a series of psychometrically validated scales such as the Mini Mental Status Examination (MMSE), Functional Assessment Questionaire (FAQ), Clinical Dementia Rating scale (CDR), and the Neuropsychatric Inventory (NPI). Demographic information was also collected at first visit, and then the neurologist would administer a diagnosis. 
Figure 1. Participant Flow Diagram
Picture1
RESULTS
Table 2

Table 1
RESULTS, Cont'd
Linear regression table
  • The sample comprised of ~42% men and ~58% women. The most frequent diagnosis among those moved to LTC within two years (n = 222) was Alzheimer’s disease followed by non-AD dementia. In both groups, most caregivers accompanying the participants were their spouses, followed by their daughters. Participants, on average, were approximately 70 years old and had at least 10 years of formal education.
  • Significant predictors include older age, gender (female), higher FAQ scores (more functional dependency), lower MMSE scores, and higher CDR scores.
  • Neuropsychiatric symptoms, associated caregiver distress, and education were not significant.
DISCUSSION
  • Significant predictors identified include older age, less ADL independence (FAQ), deteriorating cognition (MMSE), and more severe dementia (CDR), which is expected and consistent with previous meta-analyses and systematic reviews. [4-7].
  • Women may be more prone to transition to LTC within the first two years of presentation due to significantly faster declines in global cognition and executive function [8], or longer life expectancy and higher morbidity as a result. 
  • Neither severity, distress of neuropsychiatric symptoms nor education were significant, contrary to a multi-national European study [9]. This may reflect that physical dependencies rather than neuropsychiatric symptoms are primarily used as a threshold for LTC admission among caregivers, especially in considering the challenges of a rural population and differential access to facilities. 
  • Early identification of higher risk individuals can direct the efforts of timely intervention aimed at preserving functional independence as well as cognition. Support programs that target activities of daily living and cognitive preservation strategies would be ideal in this population to potentially delay the LTC transition.
CONCLUSION
  • By identifying these predictors in our patient population, potentially modifiable risk factors can be targeted with interventions to delay the transition to LTC.
  • As this clinic continues to provide care to our rural population, these results direct our intervention strategies and allow us to refine our approach to caring for rural patients with dementia.

References
Disclosures
Acknowledgements
Learn more about the Rural and Remote Memory Clinic in Saskatchewan
Masthead logo2
Img logo 273x140

Comprehensive validation of two commercial immunoassays for the biological diagnosis of Alzheimer's Disease a laboratory diagnostic test

Anna Mammel

Ging-Yuek Robin Hsiung

Pankaj Kumar

Ali Mousavi

Ian Mackenzie

Veronica Hirsch-Reinshagen

Mary Encarnacion

Kelsey Hallett

Pradip Gil

Hans Frykman

Background
Slide1 Noun slideshow grey Slide2
Methods
Slide1
Results
Slide1
Noun slideshow grey Slide2 Noun slideshow grey Slide4 Noun slideshow grey Slide3 Noun slideshow grey Slide5 Noun slideshow grey Slide6
Conclusion
Slide1
References
- Mammel AE, Hsiung GR, Mousavi A, et al. Clinical decision points for two plasma p‐tau217 laboratory developed tests in neuropathology confirmed samples. Alzheimer’s & Dementia: Diagnosis, Assessment & Disease Monitoring. 2025;17(1). doi:10.1002/dad2.70070
- Arslan B, Zetterberg H, Ashton NJ. Blood-based biomarkers in Alzheimer’s disease – moving towards a new era of diagnostics. Clinical Chemistry and Laboratory Medicine (CCLM). 2024;62(6):1063-1069. doi:10.1515/cclm-2023-1434
- Ashton NJ, Puig‐Pijoan A, Milà‐Alomà M, et al. Plasma and CSF biomarkers in a memory clinic: Head‐to‐head comparison of phosphorylated tau immunoassays. Alzheimer’s & Dementia. 2023;19(5):1913-1924. doi:10.1002/alz.12841
- Ossenkoppele R, Salvadó G, Janelidze S, et al. Plasma p-tau217 and tau-PET predict future cognitive decline among cognitively unimpaired individuals: implications for clinical trials. Nat Aging. 2025;5(5):883-896. doi:10.1038/s43587-025-00835-z
- Janelidze S, Bali D, Ashton NJ, et al. Head-to-head comparison of 10 plasma phospho-tau assays in prodromal Alzheimer’s disease. Brain. 2023;146(4):1592-1601. doi:10.1093/brain/awac333
Img logo 273x140

Analysis of Aquaporin-4 and Myelin Oligodendrocyte Glycoprotein Autoantibodies using live cell-based assay in a reference laboratory with over 6,000 tests

Pankaj Kumar

Ali Mousavi

Navpreet Kaur

Hans Frykman

Background
Slide1 Noun slideshow grey Slide2 Slide4 Slide3 Slide5 Slide6
Methods
Slide1
Results
AOP4 L-CBA Images
Slide1 Noun slideshow grey Slide2 Slide3 Slide4 Slide5 Slide6 Slide7
Slide7 Noun slideshow grey Slide8 Slide9
Results
Slide1 Noun slideshow grey Slide2 Slide4 Slide3 Slide5 Slide6 Slide7
Conclusion
  • We found AQP4 seropositive in ~ 3 % and MOG –IgG positive in ~  8% of tested samples
  • Both anti-MOG and anti-AQP4 antibodies are more prevalent in females, although the difference is not statistically significant
  • Anti-MOG antibodies are observed across a broad age range—from infancy to old age—whereas anti-AQP4 antibodies are typically found in older individuals, ranging from approximately 10 to 90 years

References
1. Waters PJ, Pittock SJ, Bennett JL, et al. Evaluation of aquaporin-4 antibody assays. Clin Exp Neuroimmunol. 2014; 5:290–303. DOI: 10.1111/cen3. 12107.
2. Waters PJ, Komorowski L, Woodhall M, et al. A multicenter comparison of MOG-IgG cell-based assays. Neurology. 2019;92: e1250–e1255. DOI: 10. 1212/WNL.0000000000007096.
3. Kumar P. et al, P.033 Detection of Myelin Oligodendrocyte Glycoprotein Immunoglobulin G (MOG-IgG) by live and fixed Cell-Based assays; June 2022. The Canadian journal of neurological sciences. Le journal canadien des sciences neurologiques 49(s1): S16-S16 DOI: 10.1017/cjn.2022.135

Img logo 273x140

Eligibility Criteria in Glioma Clinical Trials: A Systematic Review and Meta-Analysis on Selectivity, Generalizability, and Real-World Applicability

Franciska Otaner

Mitchel Berger

Jasper Gerritsen

Jacob Young

Dept of neurological surgery 3lines web test 0
INTRODUCTION
  • Gliomas are central nervous system cancers with high morbidity and mortality1
  • Despite advances in neuro-oncology, survival rates remain poor over recent decades1
  • Many glioma trials use highly selective eligibility criteria, limiting access and participation
  • Only 21% of patients with primary brain tumors enroll in clinical trials2, and a majority of neuro-oncology trials fail due to low enrollment3
  • Selective criteria may fail to reflect the diversity of real-world patients, reducing generalizability4
  • This limits the applicability of findings and hampers progression to late-phase trials5
  • These barriers may contribute to poor patient outcomes and slower therapeutic progress
  • Addressing this issue is key to:
    • Improving generalizability and applicability of outcomes to real-world patients
    • Ensuring equitable access
    • Guiding better trial design
  • Research Question: What is the proportion and prevalence of selective eligibility criteria in glioma clinical trials, and do these criteria impact overall survival outcomes?
METHODS
  • ​​​​51 interventional glioma trials for either newly diagnosed or recurrent gliomas were extracted from the National Clinical Trial (NCT) database on June 1, 2024
  • Each trial’s inclusion and exclusion criteria were manually reviewed and categorized as:
    • Selective: likely to exclude patients who could otherwise benefit
    • Generalizable: exclusions justified based on safety concerns, trial focus, or standard ethical considerations
  • Classification was guided by clinical judgment and existing literature.
  • Quantitative Analysis:
    • Recorded the number of selective criteria per trial
    • Calculated descriptive statistics: mean, median, and range
  • Meta-Analysis:
    • Included trials that reported median overall survival (mOS)
    • A correlational analysis was conducted to assess the relationship between the number of selective criteria and mOS
RESULTS
  • Meta-analysis included 46 of 51 studies (5 excluded for not reporting mOS)
  • Shapiro-Wilk test showed data were not normally distributed (p < 0.05)
  • Spearman’s rank correlation used due to non-normal distribution
    • No significant correlation between number of selective criteria and mOS
    • Spearman’s correlation: p = 0.327
Picture 1
Screenshot 2025 06 04 at 6.26.19 am
CONCLUSION
  • To our knowledge, this is one of the first studies to quantify the extent of selectivity in glioma trials and assess its impact on survival
  • Selective eligibility criteria are common in glioma trials (mean: 6.8, median: 7, range: 0–14) especially exclusions for:
    • Prior malignancy with a specified disease-free period (N=29)
    • Karnofsky score (N=27)
    • Prior brain radiotherapy (N=16)
  • No significant correlation found between number of selective criteria and median OS (mOS) (p = 0.327)
    • Suggests limited impact of selectivity on survival outcomes
  • Findings support reducing selective criteria to improve trial access, generalizability, and real-world applicability, without compromising outcomes
  • Broadening eligibility may help address enrollment barriers and accelerate therapeutic development
  • These findings can inform future trial design guidelines and regulatory recommendations
  • Next Steps:
    • Apply trial criteria to UCSF glioma patient dataset
    • Develop recommendations to make trials more inclusive
    • Explore large language models to improve patient-trial matching and awareness
REFERENCES
Screenshot 2025 06 04 at 5.46.12 am
Img logo 273x140

Real-World Evidence of Lecanemab Use in the United States

Chenyue Zhao

Diana Brixner

Hideki Toyosaki

Feride Frech

Michael Rosenbloom

Introduction
  • Lecanemab is the first anti-amyloid monoclonal antibody to receive traditional Food and Drug Administration (FDA) approval for the treatment of early Alzheimer’s disease (AD) in patients with mild cognitive impairment (MCI) or mild AD dementia stage of disease1-3
  • Lecanemab selectively targets the most neurotoxic Aβ aggregates, oligomers and protofibrils, preventing Aβ deposition before plaques develop and removing existing plaques3-7
  • As a newly approved AD agent from a novel treatment class, there is limited real-world data to help recognize adoption patterns, and inform the implementation of lecanemab treatment in routine clinical practice
  • The objectives of this study were to describe demographics, clinical characteristics, provider information, and utilization patterns of patients receiving lecanemab in real-world settings in the United States
Methods
  • This observational study used open administrative claims from the PurpleLab, a database encompassing medical and pharmacy claims sourced primarily from clearinghouses, pharmacies, and software platforms
  • The observation period ran from the first lecanemab infusion date (defined as index date) to the latest clinical activity or data availability
  • Patients who met all the following criteria were included:
    • Received ≥1 lecanemab infusions between Jan 6, 2023 and Dec 31, 2024
    • Had continuous clinical activity ≥6 months (2 consecutive quarters with ≥1 medical or pharmacy claim) prior to first lecanemab infusion
  • Comorbidities were defined using ICD-10 codes; MRI exams were captured using ICD-10-PCS and CPT codes for head magnetic resonance imaging (MRI)
  • Time intervals between lecanemab infusions (during which follow-up MRI exam is recommended by the FDA) were assessed
  • Use of cholinesterase inhibitors (donepezil, rivastigmine, and galantamine) and/or memantine during lecanemab treatment was described
  • Treatment gaps were calculated as number of days without treatment coverage, between consecutive lecanemab infusions or between the last lecanemab infusion and the end of follow-up period
Results
  • Overall, 4903 out of 6284 patients who received ≥1 lecanemab infusions during the study period had ≥6  months’ continuous clinical activity
  • Mean follow-up was 202 (standard deviation [SD] 126) days from index date
    • 99.3% of patients initiated lecanemab treatment in or after July 2023 when the FDA granted full approval to lecanemab (Figure 1)
Fig1 rev
Tab1
Results (continued)
  • Mean age was 76.1 years, and 95.8% of eligible patients were aged ≥65 years at index date (Table 1)
  • Most patients were female (54.9%), 77.4% were White, 91.8% were non-Hispanic, and 98.3% were treated in urban settings (Table 1)
  • Most patients were treated by neurologists (81.5%) (Table 1), while in rural settings, a smaller proportion (76.5%) were treated by neurologists (not presented in the tables)
  • In the 30 days prior to lecanemab initiation, 77.4% of patients had an AD and 31.7% an MCI medical claim (Table 1), with over 98% of eligible patients (4825 out of 4903) with an AD or MCI claim
  • The  most common comorbidities included dyslipidemia (37.6%) and hypertension (32.6%) (Table 1)
  • Average time from the earliest observed AD or MCI diagnosis in baseline period to initiating the first lecanemab dose was 79 days (Table 2)
  • The average number of lecanemab administrations per patient per month was 1.8 (SD 1.1), and the mean number of days between any consecutive administrations was 16.2 (SD 11.4) (Table 2)
  • Times between any consecutive infusions, 4th and 5th, 6th and 7th, and 13th and 14th infusions were similar, with a consistent median of 14 days (Table 2)
  • The mean time from lecanemab initiation to the first MRI follow-up was 54.0 (SD 41.3) days (Table 2)
  • During treatment with lecanemab approximately 34.6% of patients were also treated with cholinesterase inhibitors and/or memantine (Table 2)
  • Overall, 21.0% had any treatment gap of ≥90 days, including those who continued beyond the gap and those who discontinued; 3.3% of patients had a treatment interruption with ≥90-days gap, and continued treatment (Figure 2)
Limitations
  • As with any open claims database study, potential coding errors, inconsistencies in billing practices, and lack of clinical detail should be considered in the interpretation of study results
  • Mean follow-up duration limits the investigation of longer-term treatment patterns; Coverage and benefit restrictions may have impacted lecanemab utilization
Results (continued)
Table 2
Picture3
Conclusions
  • Real-world use of lecanemab conforms with FDA-approved prescribing recommendations
  • Access to lecanemab treatment in the United States has been increasing over time, while care disparities appear to exist between rural and minority populations relative to urban and White populations
  • Future research is needed to better understand longer-term treatment patterns of lecanemab, and the barriers contributing to treatment gaps
Acknowledgements

Funding for the study, analyses, and editorial support (Mayville Medical Communications) was provided by Eisai Inc.

References

1. Swanson C, et al. Alzheimers Res Ther. 2021;13:80.    2. van Dyck CH, et al. N Engl J Med. 2023;388:9-21.  3. LEQEMBI™ (lecanemab-irmb) injection, for intravenous use [package insert]. Nutley, NJ: Eisai Inc. 4. Hampel H, et al. Mol Psychiatry. 2021;26(10):5481-5503.   5. Shi M, et al. Front Aging Neurosci. 2022; 14:1-11.6. Söderberg L, et al. Neurotherapeutics. 2023;20(1):195-206.  7. Kaplow JM, et al. Alzheimers Dement. 2013;9:P807-P808.

If you have any questions about this poster, please email or call Eisai Medical Information at ESI_Medinfo@eisai.com or 888-274-2378.

Img logo 273x140

Cost-effectiveness of Lecanemab for the treatment of early Alzheimer's Disease: a Canadian societal perspective

Oliver Burn

David Trueman

Kate Molloy

Adam Haynes

Kimberly Castellano

Laura Pastor

Erin Wong

Simon Rothwell

Se Ryeong Jang

Carolyn Bodnar

INTRODUCTION

Alzheimer's Disease (AD) is a chronic, progressive neurodegenerative disorder that is the leading form of dementia and cause of cognitive and functional impairment.1 AD pathology is characterized by the accumulation of amyloid beta (Aβ) plaques, which precedes neurodegeneration, and cognitive decline.2,3  Early AD comprises mild cognitive impairment (MCI) due to AD and mild dementia due to AD.4 As AD progresses, cognitive decline worsens, leading to loss of independence, confusion, disorientation, mood changes, agitation, and eventually delusions or hallucinations.4-6 Beyond the impact of AD on patients, there are also significant impacts on the care partners of patients with AD.7 All aspects of daily living, such as job absenteeism, financial hardships, daily tasks, and available time, are impacted by caring for a person living with early AD.7

The current standard of care (SoC) for patients with early AD consists of non-pharmacological interventions with or without cholinesterase inhibitors (ChEIs) for symptomatic relief. However, current therapeutic options only address the symptoms of the disease and not the underlying cause; they do not halt or slow disease progression, providing only modest and temporary benefit to symptoms that is lost after treatment discontinuation.8-10 

Lecanemab is a humanized IgG1 monoclonal antibody that binds to Aβ protofibrils, which in turn leads to clearance of Aβ protofibrils and plaques.11 Lecanemab was studied in the phase 3 randomized, multicenter, double-blind, placebo-controlled, parallel-group trial, Clarity AD (NCT03887455), in patients with early AD (MCI and mild dementia due to AD) with confirmed Aβ pathology.11 Lecanemab significantly slowed disease progression on CDR-SB by 27.1% at 18 months.11 Lecanemab was generally well-tolerated, with the most common adverse events (AEs) being infusion-related reactions, amyloid-related imaging abnormality-microhaemorrhage and haemosiderin deposit (ARIA-H), amyloid-related imaging abnormalities-oedema/effusion (ARIA-E), and headache. Most ARIA were asymptomatic and radiographically mild, and can be monitored by early magnetic resonance imaging (MRI).11
 

OBJECTIVE
- To determine the cost-effectiveness of lecanemab + SoC versus SoC alone in patients with early AD, with confirmed Aβ pathology.
- Standard of care was assumed to consist of symptomatic treatment only, including non-pharmacological treatments
- Considering the significant evidence of AD's impact on patients and caregivers, a societal perspective offers valuable context for lecanemab reimbursement decisions12-17

Therefore, the base case was conducted from the societal perspective to capture the impact of lecanemab and AD on both patients and caregivers
 
Click here for a list of abbreviations
Click here for a list of references
METHODS

Model Structure: A Markov model with a one-month cycle length and lifetime horizon (30 years) was developed and used to capture the costs and outcomes associated with lecanemab + SoC and SoC alone when treating early AD (Figure 1). The model included four distinct health states based on disease severity according to Clinical Dementia Rating – Sum of Boxes (CDR-SB) (replicated in the community and institutional care settings) and death (ie., nine health states in total). 

Figure 1. Model structure
Model structure

Dashed and solid lines are both used to denote possible transitions.

Click here to view additional details on the model structure, mortality inputs, and institutionalization inputs
AD Progression: Transition probabilities for the MCI due to AD and mild AD health states for the first 18 months are based on the CDR-SB baseline and 18-month distributions from Clarity AD. Beyond 18 months, an estimate of treatment effect for lecanemab vs. SoC from Clarity AD (hazard ratios based on time to worsening of CDR-SB: 0.729 (95% CI: 0.604 - 0.881; p=0.00105) was applied to the MCI and mild AD transition probabilities informed through published natural history data (Potashman et al).18 Transition probabilities for the moderate AD and severe AD health states were informed through natural history data for the full time horizon of the analysis, due to lack of sufficient data on these health states from Clarity AD.
Click here to view monthly transition probabilities
Impacts to Patient and Caregiver Quality of Life: The societal perspective included both patient and caregiver utilities. Patient and caregiver health state utilities were sourced from Landeiro et al. (2020)22 and Lopez-Bastida et al. (2006)23, respectively. Utility decrements from Farina et al. (2020)24 were applied to both patients and caregivers to capture impact of a patient’s care setting (entering institutional care) on health related quality of life (-0.16 and -0.09 for patients and caregivers, respectively). Utility decrements for patients incurring AEs (infusion-related reactions, ARIA-E, and ARIA-H events) were also included.
Click here to view patient and caregiver health state utilities
Costs: Costs included for the societal perspective included those for caregiver direct medical and non-medical care, caregiver productivity loss, drug acquisition and administration, disease management, diagnostic, adverse events, and patient direct medical and non-medical care. 
Click here to view additional descriptions of each cost category
RESULTS
  • In the base case, lecanemab + SoC was more costly ($77,812) and more effective (1.19 gain in quality adjusted life years [QALYs]) than SoC alone, resulting in an incremental cost utility ratio (ICUR) of $65,424 per QALY (Table 1)
  • The probability that lecanemab was cost-effective at a threshold of CAD100,000 was an estimated 95.1% (Slideshow 1)
  • Model results were generally stable across a variety of scenario analyses, including those in which key clinical inputs were varied
Table 1. Summary of Base Case Probabilistic Results

 

Lecanemab + SoC

SoC

Incremental

Total life years (LYs)

8.14

7.48

0.66

Total QALYs

10.59

9.41

1.19

Incremental Costs

$146,219

$68,407

$77,812

ICER (Cost/LY)

$118,356

ICUR (Cost/QALY)

$65,424

Slideshow 1. Summary of Simulations
Ceac Noun slideshow grey Cost effectiveness plane Simulations
Click here to view a summary of scenario analyses
CONCLUSIONS
  • Lecanemab represents a cost-effective option for the treatment for early AD from the Canadian societal perspective
  • Compared with SoC alone, lecanemab + SoC was more costly (CAD 77,812) and more effective (1.19 QALYs) over a lifetime, with an ICUR of CAD $65,424 per QALY gained
  • The cost-utility analysis will be further informed by new long-term data as it becomes available (ie., Clarity AD OLE)
Given the considerable body of evidence to support the impact of AD on a patient extending to caregivers, it is important to consider the societal perspective, which can provide added context for decisions regarding reimbursement of lecanemab
Img logo 273x140

Tailoring a Mindfulness Intervention as a Therapeutic Intervention for MCI

Thompson Danielle

Mark Sherman

Trish Snozyk

Anne Nguyen

Emilie Langis

Jocelyn Nikolejsin

K Anne Picken

Laura Binder

Alexandre Henri-Bhargava

Affiliation

Background

Recent evidence suggests that mindfulness training can support self-management for people with Mild Cognitive Impairment (MCI) (Wells et al, 2019). 

Many mindfulness training programs, however, are not necessarily designed to address the specific needs of the MCI population, and sometimes even exclude persons with MCI from participating.

In 2021, the Neil and Susan Manning Cognitive Health Initiative (CHI) partnered with the BC Association for Living Mindfully (BCALM) to create a specialized mindfulness training program for MCI. 

Methods
Phases

Objectives

The BCALM-CHI collaboration created a specific course for persons with MCI based on Mindfulness Based Stress Reduction (MBSR), designed to develop community capacity. This was adapted from BCALMs "Art of Living Mindfully" course.

The study objectives were to: 

1) Increase self-management capacity for participants with early cognitive impairment; 
2) Address the programming gap in outpatient and community-based services in the Victoria region for persons with MCI; and
3) Contribute to the growing evidence-base for mindfulness interventions with the MCI population. 

Results

Results 2

For more information contact: Danielle.Thompson@Islandhealth.ca

For information regarding the BC Association for Living Mindfully, visit bcalm.ca
Results 1

Acknowledgments

The Neil and Susan Manning Cognitive Health Initiative (CHI) is a partnership between the Vancouver Island Health Authority, UBC, the Universit of Victoria, and the Victoria Hospitals Foundation.  Thanks to these generous and visionary donors, the Initiative is now in its 8th year.

Chi logo
Img logo 273x140

Developing the Calgary Functional Movement Disorder Registry: A Preliminary Report and Baseline Patient Characteristics

Andrea Soumbasis

Brian Steele

Megan Howlett

Davide Martino

Kimberly G. Williams

Gabriela S. Gilmour

Logos 03
Picture1
Picture1
Img logo 273x140

Women’s health in Parkinson’s Disease

Olha Horbach

D.A. Dirks

Abdul Rahman Sukar

Elizabeth Slow

Marina Picillo

Veronica Bruno

Logo vert colour
Background:
 
  • Experimental and clinical evidence suggest that Parkinson's disease (PD) manifests differently between females and males, yet women have been underrepresented in PD clinical research, leading to a limited understanding of the sex- and gender-specific aspects of the disease. Understanding the needs of women with PD (WwPD) is critical.



 
Methods:

 
  • Patient-centered outcomes-based mixed methods study.
  • Phase 1: Qualitative focus groups, patient-centered discussions, led by female interviewers. Interviews were transcribed verbatim and analyzed in NVivo 12 using six-step thematic analysis. A codebook was iteratively refined to capture emerging patterns. 
  • Phase 2: Nationwide survey via the Qualtrics platform, informed by focus group findings. We report the Phase 1 preliminary results.
Final
Results:

 
  • We conducted five focus groups with 22 cisgender women (mean age: 60.5; range: 44–81; mean disease duration: 6.8 years). Two key themes emerged:
  • Mental Health – Participants reported depression, anxiety, altered self-image, and disruptions to family, social, and work life.
  • Physical Health & Healthcare – While some were satisfied with care, women with young-onset PD described misdiagnoses, dismissal, and lack of information. Sexual health was often neglected, with reports of vaginal dryness, pain, and intimacy challenges. Menopause and PD symptom overlap was noted, along with the importance of exercise and nutrition for managing symptoms.
​​​​​​​
Conclusion:
 
 
  • Findings highlight significant health challenges in women, underscoring the importance of integrating gender-specific approaches into PD care.
Img logo 273x140

Interim efficacy and safety results from the ongoing phase 3 CHAMPION-NMOSD trial of ravulizumab in adults with AQP4-Ab+ NMOSD

Sean J. Pittock

Michael Barnett

Jeffrey L. Bennett

Achim Berthele

Jérôme de Sèze

Michael Levy

Ichiro Nakashima

Celia Oreja-Guevara

Jacqueline Palace

Friedemann Paul

Carlo Pozzilli

Kerstin Allen

Becky Parks

Ho Jin Kim

Galina Vorobeychik*

Introduction
Objective
Conclusions
References
Author Disclosures
Methods
Figure1
Resultsheader table1. baseline demographics2
Resulststext cont.
Figure2 alt2 Noun slideshow grey Figure3 alt Figure4 alt Figure5 alt Table2.pnt
Img logo 273x140

Bridging the Gap: Neonatal B-Cell Assessment Following In Utero Anti-B Cell Therapy Exposure in Multiple Sclerosis

Courtney Casserly

Ben Hedley

Mimma Anello

Kristen Krysko

Logoheader newletter official 8.5x1.5
286f6c34 02d4 4408 b9dd f5987c473d39
Background:
Anti-B cell therapies (e.g. ocrelizumab, ofatumumab) are increasingly used in individuals living with multiple sclerosis  around the time of conception. Neonatal B-cell suppression can occur when these agents cross the placenta mid to late pregnancy. Some guidelines recommend assessing neonatal B cells at birth, but this is not yet routinely implemented at our center.
Expert Guest Speakers from the Baby B-Cell Project

 
510528ae 4499 4b25 8098 5d57bc404f68
The Workshop

We met on January 30th, 2025 to address the clinical and logistical challenges of neonatal B cell assessments following in utero exposure to anti-B cell therapies. Presentations by MS pregnancy specialists and experts from St. Michael's Hospital in Toronto, Ontario, were complemented by collaborative problem-solving among participants, including a paediatric haematologist, MS neurologists, MS nurse and nurse practionner, obstetricians, paediatricians, nurses, IT specialists, and a quality specialist. Two patients shared their lived expereinces and feedback. 
The Party Bus: a bus chartered to bring the London MS clinic from our home base (University Hospital) to visit with the Obstetrics, NICU and pediatric physicians at another side (Victoria Hospital) to allow for better face-to-face communication
Screenshot 2025 06 04 at 4.43.59 pm
Outcome Goals
  • Practical LHSC-specific care pathway

  • Timing and communication protocol for sample collection

  • Education and support for pediatricians and pathway to pediatric hematology

  • Paper +/- EMR prompts and nurse-led reminders, including Nurse Specialist Lead 

  • Plan to coordinate and track any changes to baby vaccine schedules

Early Impact
Participants reported greater clarity and engagement in shared care responsibilities. A prototype paper based order requisition was created by Dr. Ben Hedley. Pathway pilot testing is underway. Future metrics include cord blood collection rates, timely B-cell reporting, and parent satisfaction.
Screenshot 2025 06 04 at 4.05.55 pm
Conclusions
Cross-disciplinary collaboration is essential to close the care gap in neonatal monitoring following in utero exposure to anti-B cell agents. This initiative demonstrates the power of clinical innovation driven by patient-centered design and teamwork.

In-person meetings that bring together all members of the healthcare team—nurses, physicians, administrators, IT professionals, quality specialists, and representatives from multiple hospitals and regions—can further enhance success through shared real-time collaboration and innovation.

Acknowledgements
We woudl like to thank London Health Sciences Center, St. Michael’s Hospital, Western University & the University of Toronto, and the patient community. Support for lunch and speakers provided by Roche Canada.
4884d64e ffe2 40df a824 094e7076ab4b

Disclosures: Financial support for this project for food and transportation was provided by Roche. Courtney Casserly has received funding in the form of honoraria, consulting fees, or other compensation from: Multiple Sclerosis (MS): Biogen, Novartis, Roche, Sanofi, EMD Serono; Neuromyelitis Optica Spectrum Disorder (NMOSD): Horizon Therapeutics, Genentech/Roche, Alexion; Education funding through the Western Libraries Digital Innovation Grant & the Western Teaching Innovation Award.

Img logo 273x140

Myelin water imaging in Anti-NMDA receptor autoimmune encephalitis; a pilot study

Arshia Alimohammadi

Olivia Kalau

Irene Vavasour

Erin Gallinger

Anthony Traboulsee

Shannon Kolind

Christopher Uy

Ubc logo 2019 neurology narrow blue282rgb72
Background

This study explored whether Myelin Water Imaging could detect myelin injury in Anti-NMDA receptor autoimmune encephalitis (NMDAr-AIE), where traditional neuroimaging is often normal. Myelin Water Fraction (MWF) quantifies myelin content by distinguishing myelin sheath water from other brain water compartments.

Methods

Adult participants with confirmed NMDAr-AIE diagnoses and healthy controls (HC) underwent 3T brain MRI (Magnetic Resonance Imaging) including MWF mapping. Participants were recruited after discharge from the hospital. Mean MWF was calculated for 4 white matter regions of interest (ROI). MHI (Myelin heterogeneity Index) was calculated by dividing the MWF standard deviation by the mean MWF. Patient demographics, clinical assessments, treatment, and outcomes were collected.

Results

Five participants with NMDAr-AIE (4F/1M, mean age 30, SD 7) and four HC (3F/1M, mean age 36, SD 6) were included. All NMDAr-AIE participants had normal or non-specific T2 hyperintensities on initial imaging and had received immunotherapy. The mean Modified Rankin Score (MRS) on discharge was 2. MWF (mean ± SD) for normal-appearing white matter, corpus callosum, corticospinal tract, and superior longitudinal fasciculus were 0.10±0.02, 0.12±0.02, 0.15±0.03, 0.12±0.02, which were very similar to HC at 0.09±0.02, 0.11±0.01, 0.15±0.02, and 0.11±0.02, respectively.

Table 1 - Patient Characteristics
 

 

Patient 1

Patient 2

Patient 3

Patient 4

Patient 5

Age

30

22

28

42

30

Sex

F

F

M

F

F

Treatment

IVMP, OS, IVIG, PLEX, Rituximab

IVMP, OS, IVIG

IVMP, OS, PLEX, Rituximab

IVMP, PLEX

IVMP, OS, IVIG, PLEX, Rituximab

mRS at discharge/assessment

2/0

2/0

3/0

2/0

2/1

ICU Admission

No

No

No

No

Yes

Disposition

Home with outpatient rehab

Home, independent

Home with family support

Home with family support

Home with outpatient rehab

IVMP – Intravenous Methylprednisolone        IVIG – Intravenous Immunoglobulins

OS – Oral Steroids                                          PLEX – Plasma Exchange

Table 2 - MWI Values based on Regions of Interest

Participants 

MWI Measure 

 ROI 

NAWM 

Corpus
Callosum 

Cortical Spinal
Tract 

Superior Longitudinal Fasciculus 

Healthy Control 

Mean 

0.09±0.02 

0.11±0.01 

0.15±0.02 

0.11±0.02 

MHI 

0.52±0.13 

0.36±0.08 

0.28±0.06 

0.30±0.06 

AIE 

Mean 

0.10±0.02 

0.12±0.02 

0.15±0.03 

0.12±0.02 

MHI 

0.44±0.05 

0.42±0.07 

0.28±0.08 

0.24±0.02 

MHI - Myelin Heterogeneity Index 
NAWM - Normal Appearing White Matter
Fig. 1 Myelin Water Imaging of two selected patients
Screenshot 2025 06 01 at 12.05.23 pm
Conclusions and Future Direction 

Myelin Water Imaging showed no myelin pathology in five NMDAr-AIE patients, with MWF and MHI values comparable to HC, suggesting that myelin pathways are relatively preserved post-recovery from AIE. Moving forward, we aim to continue recruiting healthy controls, patients post-recovery and those experiencing active disease to determine if there are any MWF abnormalities throughout the disease course. Future studies are needed to assess MWF changes in other antibody-mediated encephalitides. 

Acknowledgements and Funding: We thank participants, technologists and all study coordinators. This study was funded by the Canadian Institute for Health Research (CIHR). 
Img logo 273x140

Psychosocial Impact of COVID-19 pandemic among Omani patients with Multiple Sclerosis: a single tertiary center experience

Jihad Al Kharbooshi

Abdullah Al-Asmi

Amal Al Fahdi

Samir Al-Adawi

Ronald Wesonga

Sultan qaboos university logo
Background
  • The COVID-19 pandemic disrupted global healthcare systems, limiting access to care for individuals with chronic diseases, including people with multiple sclerosis (PwMS).

  • PwMS are at increased risk during pandemics due to immunosuppressive disease-modifying therapies (DMTs) and a higher baseline prevalence of psychosocial distress.

  • Oman, classified as a medium-risk zone for MS, had no prior data evaluating the pandemic's impact on PwMS.

Objectives
  • Evaluate the impact of COVID-19 on MS management and disease progression.

  • Investigate the incidence and clinical outcomes of COVID-19 infection among Omani PwMS.

  • Investigate the psychosocial impact of the pandemic on PwMS and its demographic and clinical determinants.

Methods
  • Cross-sectional study of 104 adult Omani PwMS, at Sultan Qaboos University Hospital (SQUH) between Jan–Apr 2021.

  • Data collected via structured phone interviews and medical record reviews; COVID-19 diagnosis confirmed via PCR.

  • Assessed disease characteristics, MS relapses, DMT adherence, access to care, COVID-19 symptoms, and psychosocial status.

  • Statistical analyses were conducted using R version 4.2.2 and included both descriptive and inferential statistics.

Results
Table 1: Demographic and clinical characteristics of Omani PwMS during COVID19 pandemic
 
Variable All Participants (n=104) COVID19 Infected (n=23)
Sex, n (%)    
  Male 28 (26.9%) 11 (47.8%)
  Female 76 (73.1%) 12 (52.2%)
Age, years (range) 39.2 (23–66) 38.9 (27–58)
EDSS severity, n    
  Slight (1.0–1.5) 35 7
  Minimal (2.0–2.5) 19 4
  Moderate (3.0–4.5) 19 5
  Severe (≥5.0) 30 7
DMT use, n 88 21
  None 16 2
  Oral DMT (teriflunomide, fingolimod, dimethyl fumarate) 38 12
  Immune reconstitution therapy (Cladribine) 4 0
  Infusion DMT (ocrelizumab, rituximab, natalizumab) 41 9
  Injectable DMT (interferons and glatiramer acetate) 5 0
COVID-19 Pandemic Impact, n (%)    
  Continued DMT use 94 (90.4%) 18 (78.3%)
  MS relapse(s) 13 (12.5%) 4 (17.4%)
  Received IV methylprednisolone 10 (9.6%) 2 (8.7%)
  Problems with prescription access 5 (4.8%) 2 (8.7%)
  Neurologist appointments affected 3 (2.9%) 0 (0%)
  MRI appointments affected 20 (19.2%) 5 (21.7%)
Download  2 Noun slideshow grey Download  3 Download  4 Download  5
Distribution of COVID-19 Symptoms in Omani PwMS by Gender
Summary
  • COVID-19 infection was relatively uncommon in this MS cohort, and most cases were mild.

  • Females, younger participants, and those with lower mental well-being were more likely to report COVID-19 effects.

  • Most PwMS continued their MS therapy and had minimal disruption to care.

  • Psychological concerns were prevalent, especially among males, despite females being more likely to report COVID-19 effects.

  • Severe MS worsening due to COVID-19 was rare.

Conclusion 
  • COVID-19 infection was uncommon and generally mild among Omani PwMS, likely due to proactive healthcare measures.
     
  • Ongoing support, culturally tailored interventions, and crisis preparedness remain essential to protect the mental health and well-being of this vulnerable group.
Limitations
Acknowledgements
References
Img logo 273x140

Decision-making in the use of corticosteroids for treating multiple sclerosis relapses: a retrospective study from a single Canadian center

Jihad Al Kharbooshi

Jennifer He

Courtney Casserly

Sarah Morrow

Juan Racosta

Stacked full
Background
  • MS is a chronic inflammatory demyelinating disease of the central nervous system.
     
  • It is characterized by acute or subacute attacks lasting at least 24 hours, and not attributable to infection.
     
  • HDS are the primary treatment for MS attacks.
     
  • No significant differences in outcomes between oral and intravenous (IV) HDS routes.
     
  • Factors influencing physicians' choice of treatment route and the characteristics of attacks that prompt treatment remain unclear.
Objectives 

This study aims to:

  1. Assess annual trends in oral versus IV HDS use.
     
  2. Assess relationship between HDS route and:
    • Attack type
    • Prescriber’s specialty
Methods
  • Retrospective analysis of relapsing remitting MS patients' data from the MS database (MuSicaL).
     
  • Natural Language Processing (NLP) used to extract patients' data from 2010 to 2022 followed by investigators' verification.
     
  • All statistical analyses performed using the R Project for Statistical Computing (version 4.2.2).
Results
Picture1 Noun slideshow grey Download  6 Picture2 Picture3
Flow of Eligible Individuals Through HDS Use and Treatment Characteristics
Conclusion
  • Oral HDS use has increased over time.
     
  • IV HDS is more commonly used for severe relapses (e.g., multifocal attacks).
     
  • A significant association was observed between relapse type and HDS route, while prescriber specialty didn’t significantly impact route selection.

    However, these findings should be interpreted with caution given the substantial proportion of relapses with undocumented HDS route and the single-center nature of the study.
     
  • Further research is needed to confirm trends and inform standardized guidelines for MS relapse management.
References 
  • Multiple Sclerosis International Federation. Atlas of MS, 3rd Edition. MSIF, 2020.

  • Lublin, Fred D., et al. "Defining the Clinical Course of Multiple Sclerosis: The 2013 Revisions." Neurology, vol. 83, no. 3, 2014, pp. 278–286.

  • Sørensen, Per Soelberg. "New Management Algorithms in Multiple Sclerosis." Current Opinion in Neurology, vol. 27, no. 3, 2014, pp. 246–259.

  • Berkovich, Regina. "Treatment of Acute Relapses in Multiple Sclerosis." Neurotherapeutics, vol. 10, no. 1, 2013, pp. 97–105.

  • Morrow, S. A., et al. "Management of Multiple Sclerosis Relapses in Canada: A Survey of Neurologists." The Canadian Journal of Neurological Sciences, vol. 38, no. 5, 2011, pp. 719–725.

Img logo 273x140

Secondary Immunodeficiencies in Ocrelizumab- versus Rituximab-treated Persons with Relapsing Multiple Sclerosis

Julia Handra*

David Hunt*

Donna Kuipers

Jomana Morkous

Kyra West

Wakeel Kasali

Son Luu

Robert Carruthers

Virginia Devonshire

Nathan Chu^

Alice Schabas^

Screen shot 2025 05 11 at 1.49.03 pm
INTRODUCTION
Multiple sclerosis (MS) is an autoimmune disease in which the immune system attacks the myelin sheath of neurons, leading to progressive neurological symptoms. Anti-CD20 monoclonal antibodies have emerged as highly effective treatments for relapsing MS (RMS), with Ocrelizumab (OCR) being the standard approved therapy and Rituximab (RTX) used as an off-label alternative. The impact of anti-CD20 therapies on immune markers remains understudied, though deficiencies are frequently observed and may be associated with increased risk of infection. Our objective is to compare lymphocyte, neutrophil, and immunoglobulin levels in OCR- versus RTX-treated persons with RMS.
Screen shot 2025 05 06 at 9.15.47 pm
METHODS

This retrospective chart review included patients with confirmed RMS who initiated treatment with OCR or RTX between January 2017 and June 2023, and who had at least one pre-treatment complete blood count (CBC) and one post-treatment CBC and immunoglobulin panel available. Treatment assignment was primarily influenced by insurance coverage. Lymphocyte, neutrophil and immunoglobulin levels (IgG, IgA, IgM) from before and after treatment initiation were collected, where available. Deficiencies were defined as values below the lower limit of normal as per local laboratory guidelines. The statistical approach comprised three complementary analyses:

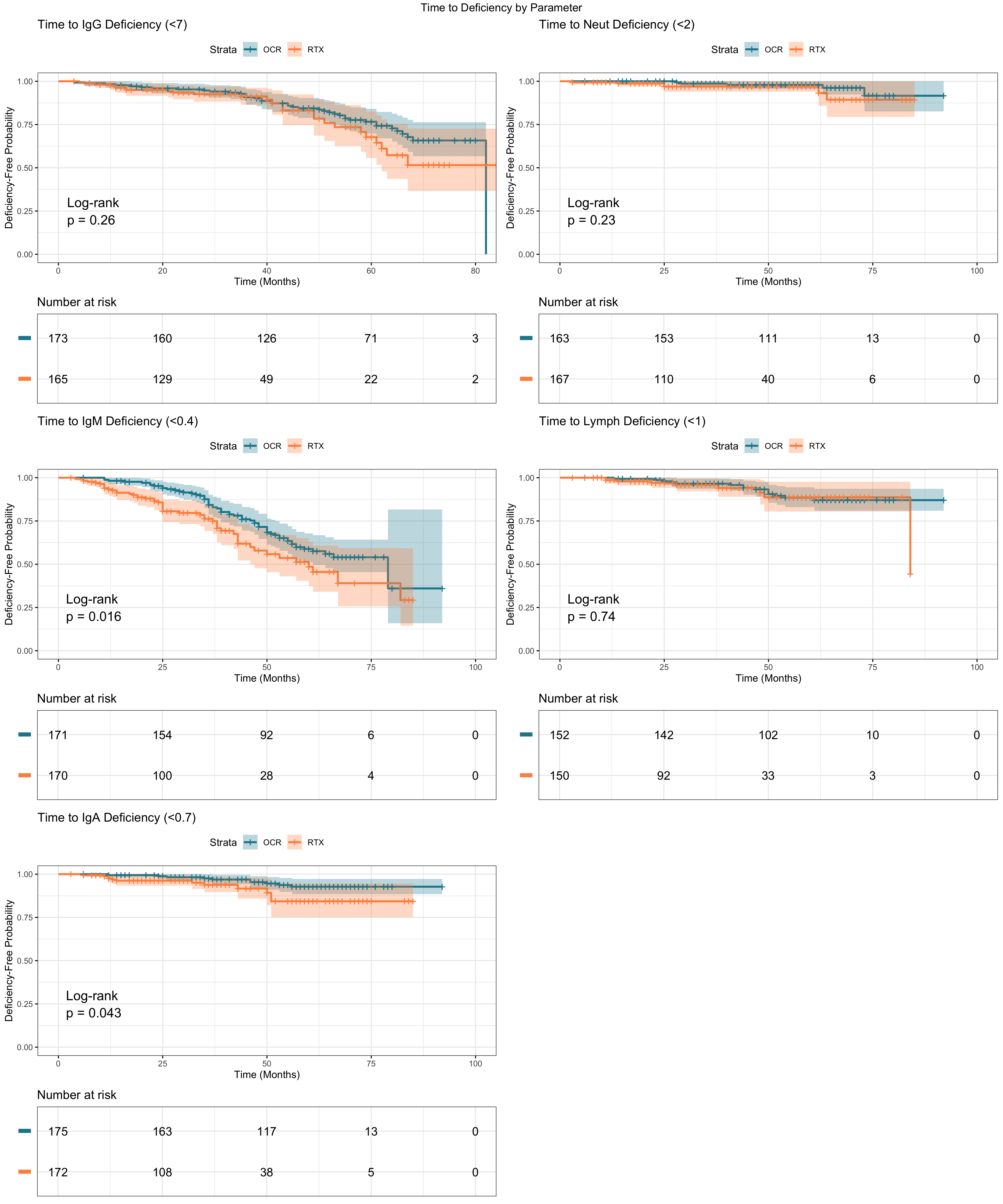
  • Fisher's Exact Test compared the prevalence of new-onset deficiencies between OCR and RTX groups at 2, 4, and beyond 4 years of treatment.
  • Kaplan-Meier survival analysis estimated deficiency-free probability over time, with Log-rank Tests comparing treatments and Cox Proportional Hazards Models quantifying relative risk.
  • Linear Regression with Mixed-Effects Models were used to illustrate laboratory value trajectories.
RESULTS
A total of 634 patients were included (OCR=386, RTX=248), with the OCR group being slightly older (44.7±9.9 vs 42.9±11.1 years, p=0.043) and having longer treatment duration (67.7±17.9 vs 48.2±18.8 months, p<0.05), while the RTX group had significantly greater pre-treatment immunoglobulin panel availability (39.9% vs 7.5%, p<0.05) (Table 1).
Screen shot 2025 05 11 at 1.37.02 pm
Table 1. Demographic and clinical characteristics by treatment group.
 
No significant differences were observed between the OCR and RTX treatment groups at 2, 4, and more than 4 years, although both groups showed a progressive accumulation of immune marker deficiencies over time (Figure 1). By year 4 of treatment, deficiencies were most common in IgM (26-31%), followed by IgG (12-13%), IgA (4-7%), lymphocytes (5.3-5.4%), and neutrophils (0-1.7%).
 
Screen shot 2025 05 06 at 8.17.56 pm Noun slideshow grey Screen shot 2025 05 06 at 8.18.17 pm Screen shot 2025 05 06 at 8.18.33 pm
Figure 1. Prevalence of immune marker deficiencies across treatment duration.
Bar charts showing the percentage of OCR- versus RTX-treated patients developing new immunoglobulin and cell count deficiencies at three time points (2, 4, and >4 years of treatment).
Survival analysis reveals that RTX is associated with significantly higher risks of developing IgM deficiency (HR=1.6, p=0.016, 95% CI 1.09-2.34) and IgA deficiency (HR=2.38, p=0.048, 95% CI 1.01-5.63) compared to OCR, despite similar cross-sectional prevalence rates. Linear regression analysis confirms RTX causes significantly faster IgM depletion (p=0.0044 for slope difference, p < 0.05 in mixed model, Figure 2).
Igm trajectories Noun slideshow grey Igg trajectories Iga trajectories Neutrophil trajectories Lymphocyte trajectories All parameters survival curves
Figure 2.  Longitudinal immune marker trajectories by treatment regimen
Spaghetti plots show individual patient data (thin lines) and demonstrate considerable inter-patient variability. Treatment-specific regression lines (thick lines, with shading that demonstrates 95% CI) show overall trends. Deficiency threshold is represented by red dotted lines. Kaplan-Meier curves depict survival analysis. 
CONCLUSION
  • All measured immunoglobulins show progressive depletion over time, with substantial increases in deficiency rates beyond 2 years of treatment, emphasizing the importance of long-term monitoring.
  • Both medications show greater effects on IgM, followed by IgG, and IgA, with lesser longitudinal impact on neutrophils and lymphocytes.
  • Survival analysis reveals RTX is associated with significantly higher risks of developing IgM deficiency and IgA deficiency, with RTX causing significantly faster IgM depletion.
  • Clinical correlation is essential to determine the functional significance of laboratory-observed immunoglobulin deficiencies.
Img logo 273x140

EBNA1 titers are elevated in radiologically isolated syndrome and correlate with cognitive impairment

Erandi Munasinghe

Koroboshka Brand-Arzamendi

Timothy Lim

Lisa Eunyoung Lee

Melanie Guenette

Suradech Suthiphosuwan

Aditya Bharatha

Jiwon Oh

Raphael Schneider

Unity helath logo

Background

Epstein-Barr virus (EBV) infection is believed to be a critical prerequisite for the development of multiple sclerosis (MS). This study aims to investigate whether anti-EBV titres are elevated before the onset of MS symptoms in people with radiologically isolated syndrome (pwRIS) and to evaluate their association with cognitive impairment.
Intro bacground
Background new 2
 
Methodology
Methodology

EBV antigen titers were quantified in a cohort of 37 pwRIS, 50 people with MS (pwMS), and 24 healthy controls (HC) using Enzyme-Linked Immunosorbent Assay (ELISA). Cognitive function of pwRIS were assessed using Minimal Assessment of Cognitive Function in Multiple Sclerosis (MACFIMS).

Results

Anti-EBV Antibody Responses Across MS Subtypes and RIS
 

Figure 1
 
Figure 1. Anti-EBV antibody titers in HC, pwRIS, relapsing-remitting MS (pwRRMS), and primary progressive MS (pwPPMS). (A) Viral capsid antigen (VCA) IgG titers and (B) Epstein–Barr nuclear antigen 1 (EBNA1) IgG titers were measured by ELISA. *p < 0.05 with Mann-Whitney U test.
 

Anti-EBV Antibody Titers in Relation to Global Impairment
 

Figure 3


Figure 2. Anti-EBV antibody titers in patients with or without global impairment. (A) VCA IgG titers and (B) EBNA1 IgG titers measured by ELISA. *p < 0.05 with Mann-Whitney U test.

Association Between EBV Antibody Levels and Cognitive Function
 

Figure 4 1

 

Figure 3. Correlation of EBNA1 IgG Titers with Minimal Assessment of Cognitive Function in Multiple Sclerosis (MACFIMS) Scores. Scatter plots showing the correlation between EBNA1 IgG titers and Z-scores from (A) Brief Visuospatial Memory Test (BVMT), (B) California Verbal Learning Test (CVLT), (C) Judgment of Line Orientation (JOLO), and (D) Symbol Digit Modalities Test (SDMT). The correlation coefficient (r) and p-values (P) were assessed using Spearman rank correlation.

References
  1. Bjornevik, K., Münz, C., Cohen, J.I. et al. Epstein–Barr virus as a leading cause of multiple sclerosis: mechanisms and implications. Nat Rev Neurol 19, 160–171 (2023).
  2. Benedict RH, Cookfair D, Gavett R, Gunther M, Munschauer F, Garg N, Weinstock-Guttman B. Validity of the minimal assessment of cognitive function in multiple sclerosis (MACFIMS). J Int Neuropsychol Soc. 2006 Jul;12(4):549-58.

Association Between EBV Antibody Levels and Cognitive Function
 

Figure 4 2


Figure 3. (E–H) Scatter plots showing the correlation between EBNA1 IgG titers and Z-scores from (E) Paced Auditory Serial Addition Test 2-second version (PASAT2), (F) PASAT 3-second version (PASAT3), (G) Delis-Kaplan Executive Function System - Color-Word Interference Test: Condition 3 (DKEFS CS), and (H) DKEFS - Design Fluency: Condition 1 (DKEFS DS). The correlations were assessed using Spearman rank correlation.

Conclusions
Elevated EBNA1 titers are detectable prior to MS symptom onset and are associated with cognitive function of pwRIS. However, their role in disease progression and clinical outcomes require further investigation.
Img logo 273x140

Facial diplegia with paresthesias in the post-partum setting, a case report

Theo Badra

Julien Paul

Timothe Langlois-Therien

Alby Richard

Fac med udem logo
Introduction
Guillain-Barré syndrome (GBS) are acute inflammatory demyelinating polyneuropathies. The most common form of GBS is characterized by a progressive and symmetric muscle weakness and absent or depressed deep tendon reflexes.1
 
Facial diplegia with limb paresthesias (FDP) is a rare Guillain-Barré Syndrome variant, characterized by subacute onset of bilateral facial palsy, hyporeflexia to areflexia, distal limb paresthesias and the absence of other limb weakness.
 
Methods
We reviewed patient chart, including medical notes, radiologic, electrophysiological and laboratory testing during the patient’s hospitalization in December 2024.
 
Case report description

History and physical examination
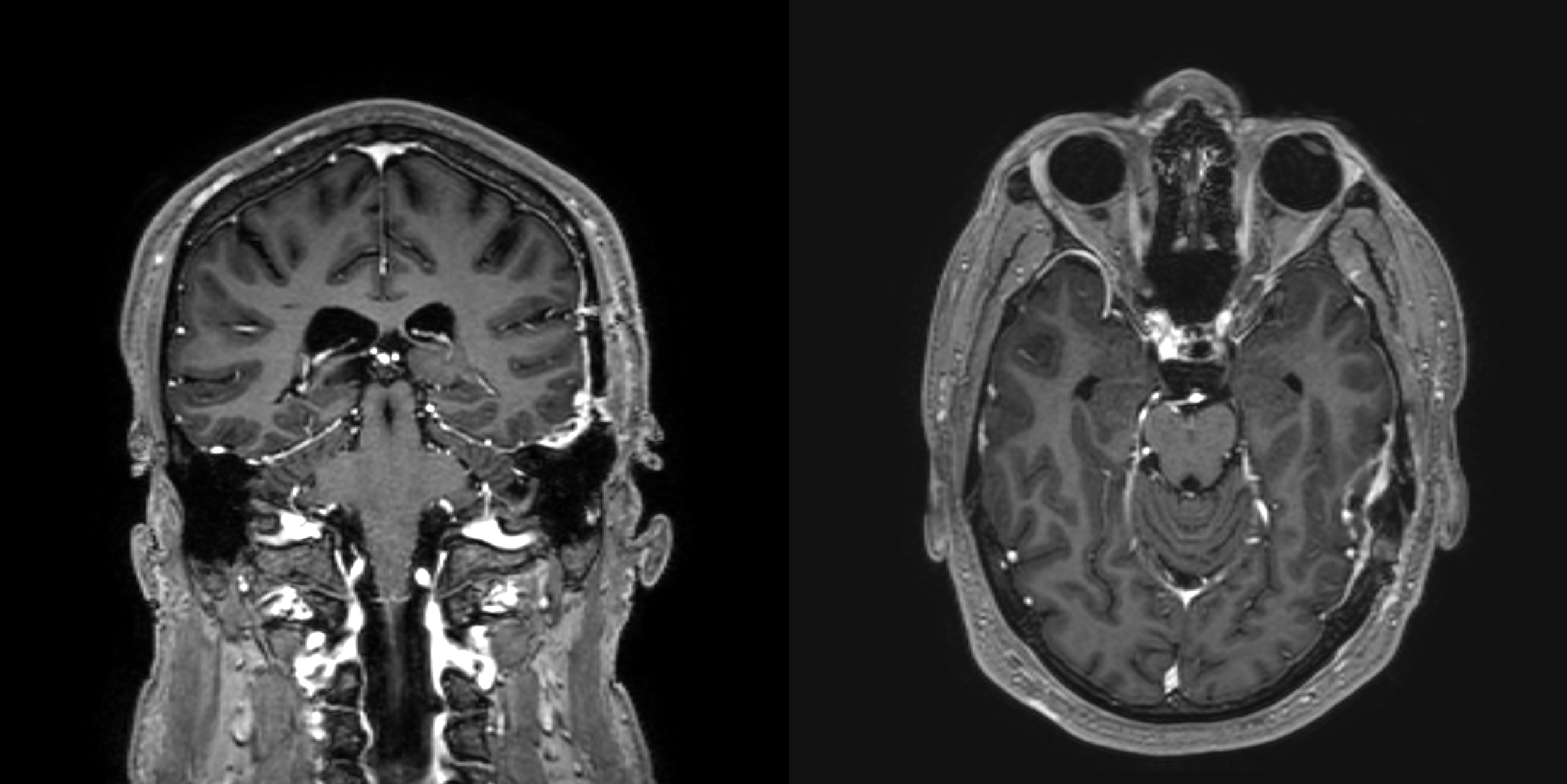
A 24-year-old woman, known for asthma and pre-diabetes, presented to the ER 8 days post-partum with frontal and retro-orbital headaches, bilateral lower limb paresthesia and gait instability. Her pregnancy and delivery history were unremarkable except for gestational diabetes treated with insuline and peri-partum fever.

She complained of subacute onset of numbness in her tongue, bilaterally on her face and distally in her lower limbs without any weakness. Initial neurological exam was essentially normal.  Initial workup and brain and spine CT Scans were normal.
2 days after admission, she rapidly developed bilateral facial palsy. A repeated neurological exam confirmed the bilateral peripheral facial nerve palsy with marked Bell’s phenomenon and secondary dysarthria but no dysphagia. The motor exam was normal. The sensitive exam was remarkable for variable patches of pinprick hypoesthesia, non-congruent with radicular or peripheral nerve territories. Deep tendon reflexes were absent in the right lower limb, which was new. Several investigations including a brain MRI, lumbar puncture and an electrodiagnostic study were obtained.

Investigations
  • CBC, Liver function, renal function, electrolytes: normal
  • C-reactive protein: mildly elevated at 21.2 mg/L
  • Lumbar puncture: WBC 1, RBC 44, protein 1.88 g/L; CSF culture, PCR for HSV-1, HSV-2, Listeria monocytogenes, VZV were negative
  • Microbiology/Virology: PCR negative for CMV, EBV; HIV, syphilis and Lyme testing were negative
  • Serum antiganglioside panel still pending
  • Normal thorax CT and normal angiotensin conversion enzyme 
  • Normal brain MRI with contrast and normal complete spine MRI
  • EMG was performed a month after symptom onset (cf. figure 1)
Evolution
Intravenous immunoglobulin (IVIg) were started at 0.4 g/kg for 5 days. Facial diplegia started resolving after the course of treatment and she was discharged with normal gait and minimal paresthesias.
Capture d e cran  le 2025 06 04 a  10.52.59
Figure 1. Electrodiagnostic study performed at 1 month since symptom onset.
Sensory nerve conductions show a decreased amplitude of the median nerve response (5.7 μV) and a distal latency increased by 3.5 in favor of demyelinating damage.
Motor nerve conductions show prolongation of median, ulnar, tibial and fibular nerve latencies.
Discussion
  • GBS has incidence of 0.81 to 1.91 cases per 100,000 person-years. FDP accounts for about 1% of those cases.3
  • Most FDP cases are not associated with anti-gangliosides antibodies.3,4,5 Some case reports have shown association with anti-GM22 and one with anti-GD1a.6
  • GBS incidence is not increased during pregnancy7 but is increased during the postpartum period, particularly the first 30 days after delivery.8,9
  • Differential diagnosis for acute facial diplegia includes bilateral Bell's palsy, sarcoidosis, Lyme disease and viral infection by EBV, HSV-1, VZV.3,10
Conclusion
FDP is a rare variant of GBS that requires a specific work-up to rule out other etiologies of facial diplegia. We report a case in which the patient’s symptoms started in the post-partum period, which is common for more classical GBS phenotypes. Antiganglioside testing is non-specific in FDP and requires further research. 
References
Img logo 273x140

Transcranial doppler for risk assessment of subarachnoid hemorrhage

Sanaz Biglou

Laurence Poirier

Vincent Brissette

Shane English

Celina Ducroux

Tim Ramsay

Brian Dewar

Michel Shamy

Screenshot 2025 06 02 at 1.53.45 pm
Screenshot 2025 06 02 at 1.54.04 pm
Screenshot 2025 06 02 at 1.54.22 pm
Img logo 273x140

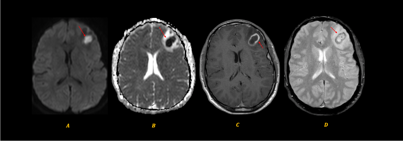
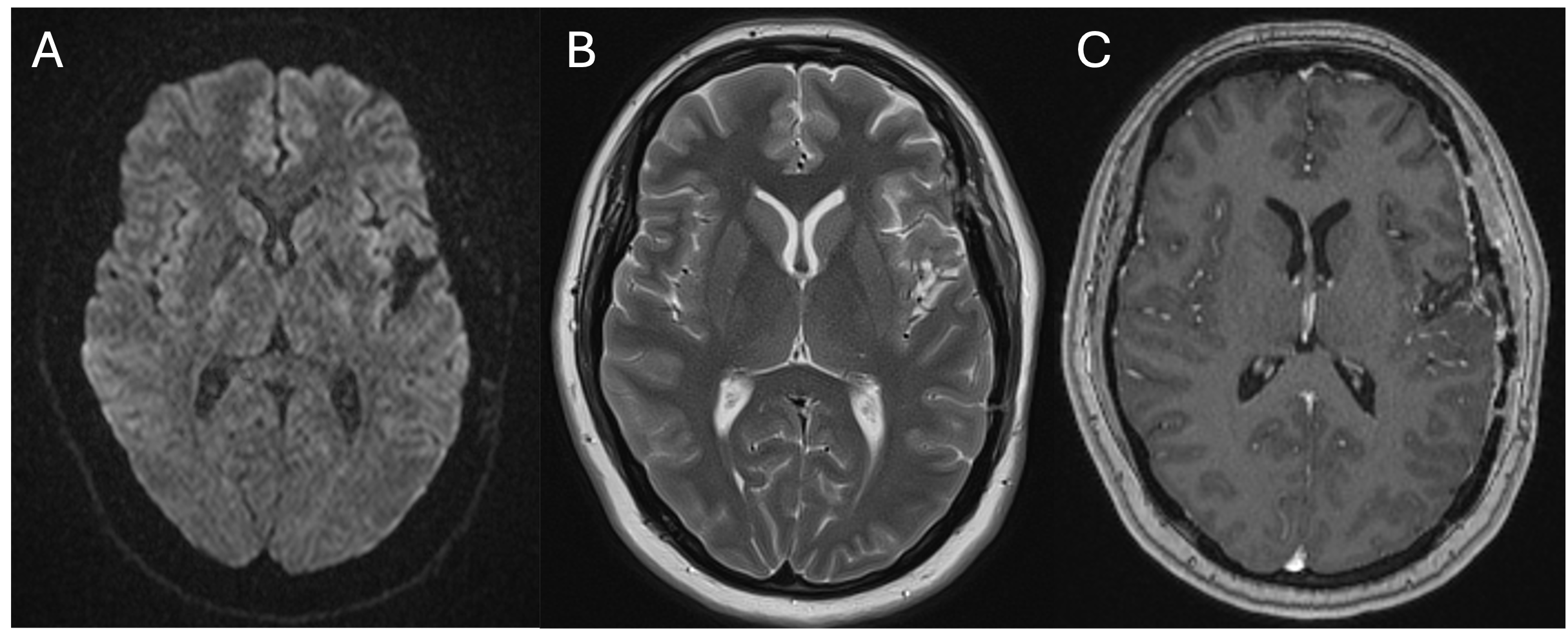
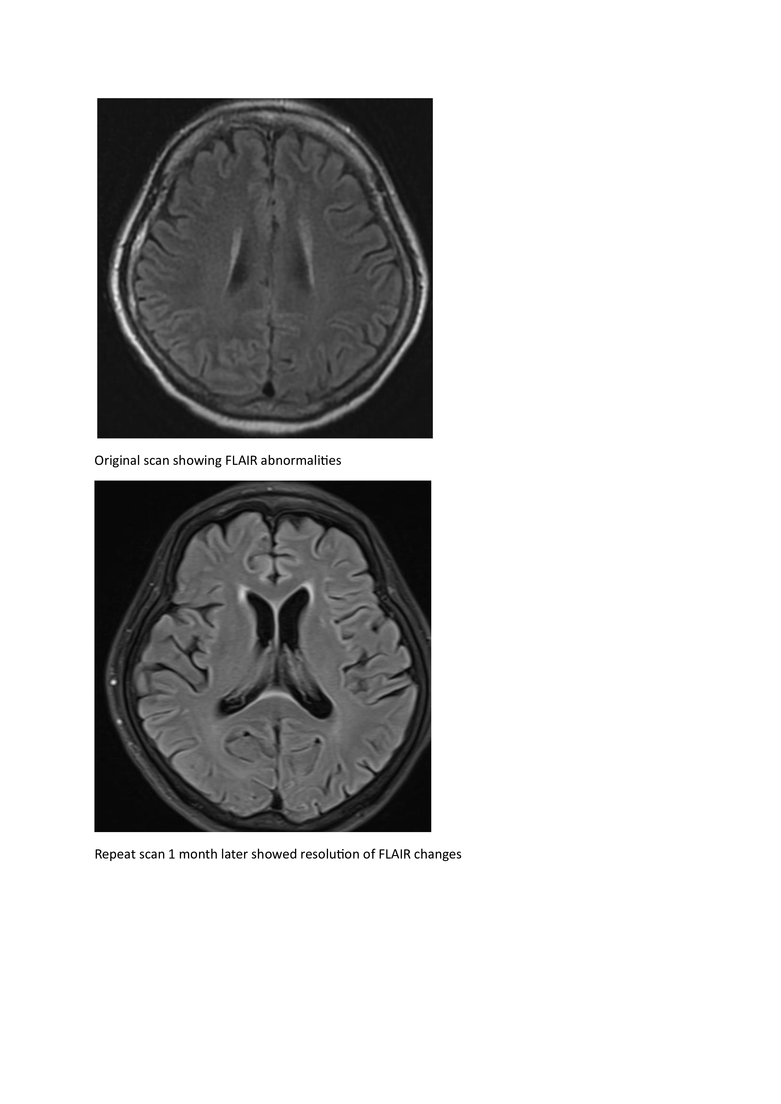
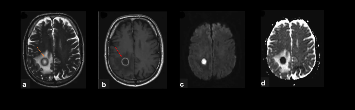
Hyperglycemia presenting with visual hallucinations due to occipital lobe seizures

Hoe Chin Chua

Hui Jin Chiew

Zigui Lim

Wijesoma Nadika

Lin Wah Goh

Hyperglycemia presenting with visual hallucinations due to occipital lobe seizures

Background:

Hyperosmotic hyperglycemic nonketotic state (HHS) is associated with myriad neurological complications such as seizures.

 

Methods:

We report a case presenting with visual hallucinations due to occipital lobe epilepsy.

 

Results:

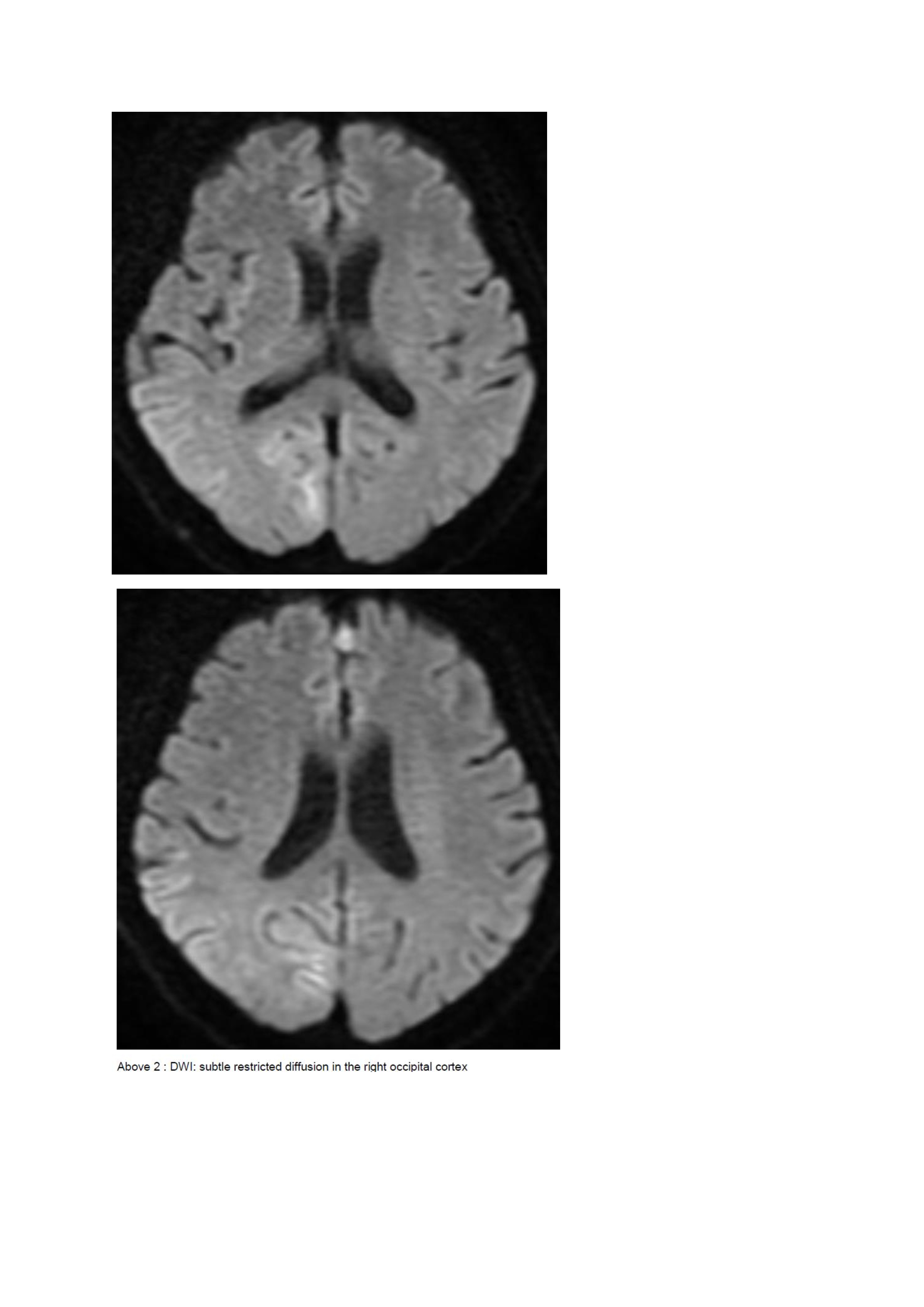
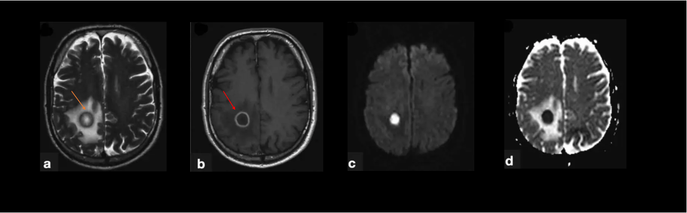
A 67-year old woman with chronic hypertension, hyperlipidemia and diabetes mellitus non-compliant to medication presented with a 10-day history of recurrent visual phenomena in the left visual field. She described stationery multi-coloured flashing lights which decreased in intensity, brightness and size after 3 minutes. She was alert and conscious during attacks. There was no limb jerking. Neurological examination was normal with no visual field defect. Capillary glucose was 28.1 mmol/L, Hba1c 9% and B-hydroxybutyrate < 0.1. She was treated with actrapid 8 units, glipizide 5 mg BD and empagliflozin 12.5 mg OM. Interictal electroencephalogram was normal with no epileptiform activity. Brain magnetic resonance imaging revealed restricted diffusion in the right occipital cortex with corresponding cortical thickening and increased FLAIR signal with subtle hypodensity on GRE sequence. Her visual symptoms improved dramatically with hydration and diabetic control. She was treated with a short course of keppra. One month later repeat MRI brain showed resolution of the DWI and FLAIR abnormalities.

 

Conclusions:

Visual hallucinations are an uncommon but well recognised and fully reversible complication of HHS. Clinicians should not forget HHS in the workup of occipital lobe.

 
Initial dwi
D
Img logo 273x140

Impact of Repeated Nonconcussive Hits on Neurophysiological Parameters in Collegiate Football Athletes

Kim Huynh

Coljae Berry

Antonin Holowka

Nicole Coverdale

Douglas Cook

Queenslogo colour
Background
  • Repeated nonconcussive head impacts, defined as subthreshold blows that do not cause acute symptoms, may contribute to long-term neurological dysfunction1
  • Two measures of cerebrovascular health include:
    • Cerebrovascular reactivity (CVR): The ability of cerebral vessels to respond to changes in metabolic demand, reflecting vascular reserve2
    • Cerebral blood flow (CBF): The rate of blood delivery to brain tissue, essential for metabolic support3
  • In athletes, repetitive head impacts may disrupt CBF and CVR, suggesting subtle cerebrovascular changes even in the absence of overt symptoms2
  • This study investigates seasonal changes in these parameters to assess their utility as early biomarkers of nonconcussive impacts
Hypothesis

After exposure to repetitive nonconcussive impacts, football athletes will have reduced CVR and increased CBF.

Methods
  • 20 male football athletes (21 ± 1.3 years) were scanned using a 3T Siemens Prisma
  • Scans were taken pre-season (PRE), after training camp (MID), and post-season (POST, 10 ± 5.3 days after the season)
  • T1-weighted MP-RAGE sequence was acquired for anatomical reference
  • CVR protocol:
    • Six-minute BOLD fMRI sequence using the RespirAct gas control system (Thornhill Medical, Toronto, Canada)
    • Gas challenge: 2 minutes of baseline end tidal partial pressure of carbon dioxide (PETCO2), 2 minutes hypercapnia (+10 mmHg PETCO2), 2 minutes back at baseline. PETO2 was held constant at 110 mmHg
    • BOLD data was preprocessed using FSL4 and the seeVR toolbox5 was used to calculate CVR
  • CBF protocol:
    • CBF was measured using pseudo-continuous arterial spin labeling
    • Images were acquired with a 2D multiband EPI readout
    • CBF quantification was performed using the Human Connectome ASL pipeline6 
  • Paired t-tests were performed between time points 
  • Family-wise error (FWE) correction was implemented using FSL's randomise tool with 10,000 permutations and threshold-free cluster enhancement
  • Results were considered significant at FWE-corrected p<0.05
Results
Picture1
Figure 1. PRE > MID. Paired grey matter (GM) CVR difference map expressed in t-values (paired t-test; n=16; p<0.05). Significant decreases in CVR are shown in the left putamen and bilaterally in the cingulate and paracingulate gyrus. Images are in MNI space.
Picture1

Figure 2. Average (A) PRE (n=18), (B) MID (n=18), and (C) POST (n=16) GM CBF expressed in mL/100g/min. Images are in MNI space.

Discussion
  • Our results demonstrate that nonconcussive head impacts may lead to decreased CVR and possibly increased CBF, suggesting vascular dysfunction2 and compensatory hyperemia7
  • These metrics show promise as early biomarkers of trauma-related brain changes in contact sports. Longitudinal studies should assess long-term consequences of observed CBF/CVR change
References
  1. Champagne AA, et al. (2020). J Cereb Blood Flow Metab 40:1453-1467.
  2. Svaldi DO, et al. (2017). Brain Imaging Behav 11:98-112.
  3. Willie CK, et al. (2014). J Appl Physiol 116(7):905-910.
  4. Jenkinson MM, et al. (2012). Neuroimage 62:782-790. 
  5. Bhogal AA, et al. (2021). NeuroImage 245:118771. 
  6. HCP-ASL pipeline version 0.1.8 https://github.com/physimals/hcp-asl/releases/tag/v0.1.8
  7. Slobounov SM, et al. (2017). Neuroimage: clinical 14:708-718.
Img logo 273x140

Supporting the Transition from Trainee to Independent Neurologist: Development of a Transition-to-Practice Clinic for Senior Neurology Residents

Adam MacLellan, MD FRCPC

Nasser Alohaly, MD FRCPC

Daniel Johnston, BA

David Chan, MD, MEd, FRCPC

Uot neuro logo
BACKGROUND
  • Adult Neurology Competence by Design (CBD) curriculum requires specific training experiences (TEs) and entrustable professional activities (EPAs) in the Transition to Practice (TTP) stage
  • Limited literature exists to support an evidence-based approach to its implementation and evaluation.
    • Scoping reviews, survey-based methods → identify topics and recommendations for curriculum development
  • TTP defined as a ” bridge to autonomous practice” (Sanaee et al. 2020)
    • “certain professional activities will be emphasized”
    • “others newly introduced to increase practice readiness”
    • “enhance their ability to function autonomously and build their confidence to provide quality care for large numbers of patients”
    • Highly rated content areas for TTP
      • Further sophistication of clinical skills, how to set up a practice, and time management skills
    • TTP principles felt better assessed by feedback, coaching, and self-assessment/reflection
RATIONALE
  • PGY-5 residents expected to be transitioning into independent practice in <12 months
  • Inpatient → “junior attending” rotations already in existence
  • Outpatient → no similar experience existed locally, but there are RC required training experiences
  • Goal: facilitate residents’ transition from a trainee to an independent consultant in neurology by resident-directed, consultant-level outpatient practice management and providing them with formal instruction and supervision to attain the required competencies
    • Build on prior FOD, COD outpatient training experiences by specifically addressing TTP training experiences set forth by the Royal College Neurology Specialty Committee
OBJECTIVES
  • Assess the need for an outpatient advanced general neurology rotation for senior residents to support their transition from trainee to independent neurologist
  • Develop a longitudinal outpatient rotation addressing the Royal College of Physicians and Surgeons of Canada required and recommended TTP training experiences in Neurology
  • Evaluate the experience of participating resident trainees and supervising clinicians in this new rotation to assess if trainees perceived needs are being met, TTP stage competencies are achieved, and inform iterative improvement of the rotation
METHODS
  • Focused needs assessment
    • Review of RC neurology training experiences → multiple recommended/required experiences
    • Review of Adult Neurology program → no outpatient TTP stage experiences being addressed despite EPAs existing
    • Meeting with program director and administrator
    • Informal interviews of PGY-4 residents, felt:
      • lack of independence commensurate to their level of training while caring for longitudinal outpatients
      • limited exposure to practice management principles to help develop their own style
    • Meeting and proposal to local Neurology Education Committee
  • Rotation development
    • “Junior Attending” blocks divided 2-weeks each of IP/OP
    • 4 days/week of general neurology clinic: 9am-1pm across 2 sites
    • # of patients booked commensurate with the expectation of senior trainee about to enter independent clinical practice
    • Resident sees patient independently + brief review with attending, preferably with ability to tolerate a slightly different plan/approach
    • Afternoon → admin tasks to be completed by resident, mentorship/teaching re: principles of practice management
    • Debrief and review of key learning points end of day
  • Evaluation
    • Entrustable Professional Activities (EPAs)
    • In Training Assessment Reports (ITARs)
Smh ttp 2
IMPLEMENTATION
  • Trial without trainees July 2024 → block-based with trainees during 2024-2025 academic year
  • Each trainee (8) has 2 “junior attending” blocks, each with a 2-week outpatient block
  • Two sites, Sunnybrook Health Sciences and Unity Health St. Michael's hospital
  • 3-4 months apart to allow for investigations to return, allow appropriate follow-up time (some variation in timing by trainee)
  • In addition to mentorship/feedback, formal practice management resources provided to trainee for the rotation
CURRENT STATE AND NEXT STEPS
  • Currently completing 1st academic year cycle; early feedback is positive:
    • Trainees:
      • enjoying the experience, showing noticeably increased comfort in embracing increased autonomy between blocks
      • appreciate the opportunity to develop their own “style”
      • express a desire for this to be a longitudinal as opposed to block-based experience
    • Attendings:
      • enthusiastic, flexible, comfortable with advanced trainee role and promoting independence
  • ​​​Program evaluation
    • Review of anonymized rotation feedback
    • Formal anonymized survey of qualitative experience of participating trainees at various time points throughout the experience
      • e.g. end of PGY-5/TTP year, subsequent 1-year intervals into independent practice. 
    • Future participants will be surveyed prior to initiation of the rotation as well
    • Formal anonymized survey of participating staff physicians at year end
    • Consideration of qualitative group interview/focus group with trainees
    • Modification to rotation
      • Transition to longitudinal structure as opposed to block-based
ACKNOWLEDGEMENTS
We would like to thank Dr. Aaron Izenberg and Dr. Jeffrey Jirsch for their feedback and participation as rotation supervisors at Sunnybrook Health Sciences Centre, the administrative staff from Sunnybrook Health Sciences Centre and St. Michael's Hospital for their flexibility and support, and all the participating attending physicians at St. Michael's Hospital for their enthusiasm, supervision, and support of this rotation.
Img logo 273x140

Structural deficits with preserved kinematic performance after sport-related concussion

Sebastian D'Amario

Gabriel Ramirez-Garcia

Nicole Coverdale

Douglas James Cook

Background
Sport-related concussion poses significant diagnostic challenges due to its subtle, transient nature and lack of identifiable biomarkers. To capture the changes from injury holistically, we integrated advanced neuroimaging with quantitative robotic assessment: Diffusion Tensor Imaging (DTI) and Neurite Orientation Dispersion and Density Imaging (NODDI) were used to detect acute microstructural white matter changes, while the Kinarm robotic platform objectively measured sensorimotor function via the Reverse Visually Guided Reaching (RVGR) task. This multimodal approach was applied to 12 concussed athletes (21 ± 2.1 y; 9 M/3 F; tested ~7 days post-injury) and 24 matched controls (21 ± 2.5 y; 11 M/16 F) to bridge structural and functional insights.
Significanttractswithsphere Noun slideshow grey Rvgrmethods

Behaviour (RVGR): Failed to detect functional deficits in the same acute period.

Screenshot 2025 05 30 at 11.49.38 pm

Neuroimaging (DTI/NODDI): Highly sensitive, revealing significant acute microstructural alterations in key white matter tracts.

Best correlation matrixnew page 0001
Conclusion
Our findings demonstrate that acute sport-related concussion induces detectable microstructural alterations in specific white matter tracts (↑FA, ↓MD/RD/Viso), yet these changes occur without concurrent deficits in sensorimotor performance on the precise Kinarm RVGR task. This critical disconnect underscores that advanced diffusion MRI (DTI/NODDI) is highly sensitive for detecting subclinical brain injury, revealing underlying pathology that standard functional assessments may miss. Consequently, relying solely on behavioural measures risks underestimating injury severity and compromising athlete safety. Multimodal assessment protocols, integrating both advanced neuroimaging and quantitative functional tools, are therefore essential for accurate diagnosis, informed return-to-play decisions, risk stratification, and targeted rehabilitation strategies following concussion.
sebastian.d@queensu.ca
Screenshot 2025 05 29 at 4.54.42 pm
Img logo 273x140

Sex differences in symptomatic intracranial hemorrhage and procedural complications after endovascular thrombectomy: Analysis of the OPTIMISE registry

Alpha Diallo

Julian Rivillas

Alexandre Poppe

Olena Bereznyakova

Richard Swartz

Grant Stotts

Jai Shankar

Nishita Singh

Jennifer Mandzia

Aristeidis Katsanos

Lily Zhou

Manraj Heran

Steve Verreault

Grégory Jacquin

Logo chum
Background
  • There is heterogeneity in the literature with regards to differences in functional independence between men and women after endovascular thrombectomy (EVT) for stroke (1,2).
  • Some studies suggest a lower likelihood of independence at 90 days among females, while others have found no difference when accounting for age, baseline functional independence, stroke severity and comorbidity burden (3).
  • Differences in procedural complications and symptomatic intracerebral hemorrhage (sICH) between men and women after EVT is less well known.
  •  This study aims to evaluate sex differences in sICH in patients who underwent EVT.
Methods
  • OPTIMISE is a pan-Canadian prospective registry of patients treated with EVT across 20 sites and 7 provinces between 2018-01 and 2022-12.
  • Using OPTIMISE data, we compared men and women with regards to baseline characteristics, functional outcomes and, as our primary outcomes, procedural complications and sICH
  • sICH was defined  as a ≥4-point increase in the NIHSS score associated with the presence of parenchymal hematoma type 1 or 2 on follow-up CT, as determined by the treating physician
Results

3631 patients were included for analysis:

  • Women were older (71.8±14.6 vs 68.0±13.1 years, p<0.001).
  • There were no differences in median time from onset to puncture {232 (155-365) men vs. 235 (163-377) women, p=0.159}, and from puncture to reperfusion between sexes {(25 (17-37) vs. 24 (17-37), p=0.984}.
  •  There were no differences in sICH rates {44 (2.5%) vs. 37 (2%), p=0.388}.
  • Procedural complication rates were not different between men and women (5.8 vs 5.6% p=0.76)
Results

 

Men

(N=1778)

Women

(N=1853)

p-value

Age (mean±SD)

68.0±13.1

71.8±14.6

0.001

Median (IQR) onset to puncture - min

232 (155-365)

235 (163-377)

0.159

Median (IQR) puncture to reperfusion - min

25 (17-37)

24 (17-37)

0.984

Tici 2b3

1446 (81.3%)

1554 (83.9%)

0.319

Tici 3

898 (50.5%)

1021 (55.1%)

0.264

sICH

44 (2.5%)

37 (2%)

0.388

Complications

  • Dissection
  • Perforation
  • Embolization
  • Arterial access

 

26 (1.5%)

11 (0.6%)

25 (1.4%)

45 (2.5%)

 

30 (1.6%)

7 (0.4%)

25 (1.3%)

43 (2.3%)

 

0.804

0.426

0.996

0.761

 

Table: Baseline characteristics in male and female

Bleeding complications in ischemic stroke3 e1619443612145
https://www.stroke-manual.com/hemorrhagic-complications-in-acute-stroke/
Conclusion
  • There were similarly low and reassuring rates of sICH and procedural complications between men and women undergoing EVT in this large multicentre prospective cohort.
  • Our findings complement previous studies that have demonstrated similar functional outcomes between men and women after EVT.
References

1. Carvalho A, Cunha A, Greg´orio T, et al. Is the efficacy of endovascular treatment for acute ischemic stroke sex-related. Interv Neurol. 2018;7:42–7. DOI10.1159/000484098.
2. Uchida K, Yoshimura S, Sakai N, Yamagami H, Morimoto T. Sex differences in management and outcomes of acute ischemic stroke with large vessel occlusion. Stroke. 2019;50:1915–8. DOI 10.1161/strokeaha.119.025344.
3. Momen AI, Francis T, Schaafsma JD, Rac V, Baig A, Pereira VM, Pikula A. Sex Differences in Functional Outcomes Following Endovascular Treatment for Acute Ischemic Stroke. Can J Neurol Sci. 2023 Mar;50(2):174-181. doi: 10.1017/cjn.2022.22.

Optimise logo
Imagebis
Img logo 273x140

Tenecteplase for Treatment of Acute Ischemic Stroke in the Extended Time Window: A Review of Current Data

Sagarika Gopalkrishnan

Hana Danieli

Saad Hasan

Nchuofl2
BACKGROUND

The use of Tenecteplase (TNK) in the Extended Time Window (ETW) for Acute Ischemic Stroke (AIS) remains an ongoing debate. We aim to evaluate the current literature and data of TNK use for AIS in the ETW. 

METHODS

Inclusion criteria for RCT of thrombolysis in the ETW:   

  • Study performed between 2018-2025
  • Patients > 18 years of age
  • AIS presenting within 4.5-24 hours from LKW or unknown/wake up stroke
  • Pre-admission mRS < 2

Studies that did not meet these criteria were excluded from review. 
From this, 3 RCTs were included in our review: 

  • TIMELESS
  • TRACE 3
  • CHABLIS-T II
DESIGN & RESULTS
Cnsf trial total enroll
Cnsf design 1
Design of all RCTs
Cnsf outcomes summarized
CONCLUSION

Better recanalization rates are seen with TNK in ETW, but may not be associated with improved functional outcomes at 90 days compared to medical management. Incidence of sICH also remains largely favorable, except in TRACE 3, which showed a higher incidence in the TNK group. There remains a need for more RCTs in this population.

 
Trial
LVO
EVT Access
Recanalization
Functional Outcome
sICH

TIMELESS

Yes

Yes

TNK group: ↑

No difference (mRS=3)

Similar

CHABLIS-T II

Yes

Yes

TNK group: ↑

No difference (mRS=3)

Similar

TRACE 3

Yes

No

N/A

TNK better (33% vs. 24.2%)

Increased in TNK group (3% vs 0.8%)

References: 
  1. Albers GW, Jumaa M, Purdon B, et al. Tenecteplase for Stroke at 4.5 to 24 Hours with Perfusion-Imaging Selection. N Engl J Med. 2024;390(8):701-711. doi:10.1056/NEJMoa2310392
  2. Cheng X, Hong L, Lin L, et al. Tenecteplase Thrombolysis for Stroke up to 24 Hours After Onset With Perfusion Imaging Selection: The CHABLIS-T II Randomized Clinical Trial. Stroke. 2025;56(2):344-354. doi:10.1161/STROKEAHA.124.048375
  3. Xiong, Y., et al. (2024). Tenecteplase for ischemic stroke at 4.5 to 24 hours without thrombectomy. New England Journal of Medicine, 391(3), 203–212.
Img logo 273x140

Personalized locomotor training with non-invasive spinal cord stimulation for functional recovery after spinal cord injury

Umema Rafay

Muhammet Kocer

Attiyeh Vasaghi

Katrina Armstrong

Sydney Sass

Kristine Cowley

Katinka Stecina

Screenshot 2025 06 01 at 4.31.20 pm
Screenshot 2025 05 28 at 10.55.33 pm
  • Over 80,000 Canadians live with spinal cord injury (SCI), which can lead to complete or partial loss of motor, sensory and autonomic function.
  • Exercise response is evoked by thoracic spinal autonomic neuronal systems that innervate and activate the peripheral tissues/organs to mobilize metabolic support during exercise. These include activation of cardiovascular, homeostatic and metabolic functions (e.g. HR, BP, etc.). 
  • Inability to mount appropriate sympathetic responses affects exercise ability, contributing to health consequences such as obesity, cardiovascular disease and type II diabetes.
  • Non-invasive trans-spinal electrical stimulation (ts-ES) is a method to activate spinal neural networks below the injury and improve motor function recovery in people after SCI.
  • Combined personalized functional electrical stimulation of peripheral nerves and muscles in combination with ts-ES during walking has not been tested.
Screenshot 2025 05 28 at 10.55.44 pm
  • Compare changes in motor and autonomic function attributable to ts-ES during personalized 4 week locomotor training in people living with incomplete SCI
  • Compare effects of combining personalized step-cycle based peripheral nerve and/or muscle stimulation with ts-ES during locomotor training​
Screenshot 2025 05 28 at 10.55.52 pm
Screenshot 2025 05 28 at 10.42.59 pm
Screenshot 2025 05 28 at 10.56.07 pm
Screenshot 2025 05 28 at 10.15.20 pm
Screenshot 2025 05 28 at 10.15.36 pm
Screenshot 2025 05 28 at 10.16.01 pm
Screenshot 2025 05 28 at 10.45.15 pm
Screenshot 2025 05 28 at 10.56.07 pm
Screenshot 2025 05 28 at 10.46.34 pm
Screenshot 2025 05 28 at 10.46.16 pm
Screenshot 2025 05 28 at 10.56.23 pm
Screenshot 2025 05 28 at 10.48.55 pm
Screenshot 2025 05 28 at 10.56.07 pm
Screenshot 2025 05 28 at 10.22.23 pm
Screenshot 2025 05 28 at 10.22.12 pm
Screenshot 2025 05 28 at 10.56.34 pm
  • Due to diversity in participant injury and motor deficits, VO2 and RQ changes are best compared for individual data
  • ts-ES tended to increase HR and decrease RQ within one session. ts-ES facilitated EMG activity in ankle and knee extensors (vastus lateralis and gastrocnemii) by >10%
  • Combined stimulation methods were tolerable over 12 sessions of training. There were slight improvements in clinical outcome measures when comparing individual data.
  • Combining ts-ES with classical physiotherapy exercises may increase motor and autonomic functional recovery in individuals with SCI and this research can influence wider clinical applications of personalized rehabilitation strategies.
Screenshot 2025 05 28 at 10.56.44 pm
Screenshot 2025 05 28 at 10.49.33 pm
Img logo 273x140

Impact of Lemborexant on Daytime Sleepiness/Alertness in Participants With Comorbid Insomnia and Mild Obstructive Sleep Apnea

Margaret Moline

Fiona Gardiner

Dinesh Kumar

Jocelyn Y. Cheng

Mark I. Boulos

Intro
  • Insomnia disorder and obstructive sleep apnea (OSA) are common sleep disorders that are frequently comorbid, a clinical entity referred to as COMISA (comorbid insomnia and
    sleep apnea)
    1
  • COMISA is associated with daytime functioning and cognitive impairments1,2
  • Some sleep-promoting medications cause residual morning sleepiness, potentially exacerbating daytime impairment in this patient population predisposed to sleepiness3
  • Lemborexant (LEM) is a competitive dual orexin-receptor antagonist approved in multiple countries, including Canada, for the treatment of insomnia characterized by difficulties with sleep onset and/or sleep maintenance4
  • In phase 3 studies in participants with insomnia, greater improvements in sleep onset and sleep maintenance were observed with LEM compared with placebo (PBO) over 1 month in Study E2006-G000-304 (Study 304; SUNRISE 1; NCT02783729) and over 6 months in Study E2006-G000-303 (Study 303; SUNRISE 2; NCT02952820)5,6
  • In two phase 1 studies in participants with either mild OSA (E2006-A001-102; Study 102; NCT03471871) or moderate-to-severe OSA (E2006-A001-113; Study 113; NCT04647383), respiratory parameters (apnea-hypopnea index [AHI] and peripheral oxygen saturation) were not impacted by LEM treatment compared with PBO7,8
Objective
  • This post hoc analysis assessed the impact of LEM on morning sleepiness/alertness in participants with comorbid insomnia and mild OSA
Methods
  • Study 304 was a 1-month, phase 3, global, multicenter, randomized, double-blind, parallel-group, PBO-controlled and active-comparator (zolpidem tartrate extended-release 6.25 mg [ZOL]; not reported here) study5
  • Additional details regarding study design (Figure 1 – see full poster via QR code), inclusion/exclusion criteria, and statistical analysis are included in the full poster
  • A daily sleep diary assessed subjective ratings of alertness/morning sleepiness within 1 hour of wake time (Figure 2)
    • Participants rated their alertness/sleepiness on a 9-point Likert scale
Figure 2
Results
      Demographic and Baseline Clinical Characteristics
  • Baseline demographic and clinical characteristics were comparable across treatment groups in the analyzed subgroup of participants with COMISA (Table 1)
Table 1

      Morning Sleepiness/Alertness Rating

Table 2
  • Alertness ratings increased (improved) in all groups after randomization (Table 2)
    • Increases from baseline in alertness ratings were significantly larger in the last 7 mornings of treatment with LEM5 compared with PBO (P<0.05) (Table 2)
  • A greater percentage of participants treated with LEM5 or LEM10 shifted towards more alertness vs treatment with PBO during the first 7 mornings (Table 3) and last 7 mornings (Table 4) of 1 month of treatment
Table 3
Table 4
      Safety
  • In this cohort of participants with comorbid insomnia and mild OSA, LEM was well tolerated, with no new safety signals compared with the total participant population (Table 5)
Table 5
Conclusions
  •  While the sample size was too small to detect statistical differences, a greater percentage of participants with COMISA experienced improvements in morning sleepiness across the treatment period with LEM compared with PBO
  • Consistent with the current findings, a previous analysis found that participants with insomnia and mild-to-moderate baseline sleepiness who were treated with LEM showed significantly greater improvements in sleepiness from baseline to week 1 compared with PBO9
  • These data provide further evidence that, compared with PBO, LEM is not likely to impair tasks requiring morning alertness10,11
  • LEM was well tolerated, with no new safety signals, in this cohort of participants
    with COMISA
  • Overall, these data support the use of LEM in patients with COMISA 
Qr
Img logo 273x140

Consistency of Objective Sleep Maintenance Data in Chinese and North American/European Subjects With Insomnia in Lemborexant Phase 3 Studies

Margaret Moline

Jocelyn Y. Cheng

Dinesh Kumar

Takao Takase

Naoto Yamakawa

Intro
  • Insomnia, which is characterized by difficulties with sleep onset and/or sleep maintenance, affects approximately 30% of individuals worldwide1-3​
  • Lemborexant (LEM) is a competitive dual orexin-receptor antagonist (DORA) approved in the United States, Japan, Canada, Australia, and several Asian and Middle Eastern countries for the treatment of insomnia in adults​
  • The original LEM phase 3 clinical trial, Study E2006-G000-304 (Study 304; NCT02783729), was conducted in adult women and men with insomnia recruited from clinical trial sites in North America and Europe4​
    • Results showed that LEM treatment improved both objective and subjective sleep onset and sleep maintenance parameters compared with placebo (PBO)​
  • However, few Chinese participants enrolled in Study 304; therefore, Study E2006-J086-311 (Study 311; NCT04549168), a phase 3 clinical trial, was conducted to confirm the efficacy of LEM for the treatment of insomnia in adult Chinese participants​
  • Pharmacodynamic studies found no clinically important differences in the efficacy or safety of LEM based on age, sex, race, or body mass index5,6​
  • In a set of pharmacokinetic studies, exposure was found to be equivalent in Chinese, Japanese, and White participants, suggesting that the same dosing regimen can be applied across racial groups5,6​
    • Based on these findings, it was anticipated that there would be no significant differences in efficacy between the studies​
Objective
  • This analysis aimed to assess the consistency of effects of LEM treatment on objective sleep parameters, as assessed by polysomnography (PSG) across the 2 studies​
​​​​​​​
Methods
  • Study 304 was a 1-month, randomized, double-blind, parallel-group, active-comparator–controlled (zolpidem [ZOL]), PBO-controlled phase 3 study that assessed the effects of lemborexant 5 mg (LEM5), lemborexant 10 mg (LEM10), ZOL, or PBO on polysomnographic (PSG; objective) sleep parameters in participants with insomnia disorder (Figure 1A – see full poster via QR code) ​
    • Since LEM5 and ZOL were not included in Study 311, they are not presented here​
  • Study 311 was a 1-month, randomized, double-blind, parallel-group, PBO-controlled phase 3 study that assessed the effects of LEM10 or PBO on PSG sleep parameters in Chinese participants with insomnia disorder (Figure 1B – see full poster via QR code)​
  • Additional details regarding study design, inclusion/exclusion criteria, PSG assessments, and statistical analysis are included in the full poster
Results
      Demographics and Baseline Characteristics
  • In Study 304, the majority of participants were White, female, and approximately 63–64 years of age, whereas in Study 311, all participants were Chinese and most were female and approximately 42 years of age (Table 1)
Table 1

      Sleep Parameters
  • In both studies, mean (SD) decreases from baseline in LPS were significantly larger (improved) with LEM10 compared with PBO (Figure 2, Table 2 – see full poster via QR code)
  • In both studies, LSM increases from baseline in SE were significantly larger (improved) with LEM10 compared with PBO (Figure 3, Table 2 – see full poster via QR code)
  • In both studies, LSM decreases from baseline in WASO were significantly larger (improved) with LEM10 compared with PBO (Figure 4, Table 2 – see full poster via QR code)
  • In both studies, LSM increases from baseline in TST were significantly larger (improved) with LEM10 compared with PBO (Figure 5, Table 2 – see full poster via QR code)

      Safety
  • In both studies, LEM was well tolerated, and most treatment-emergent adverse events (TEAEs) were mild or moderate in severity (Table 3 –see full poster via QR code)
  • In Study 304, the most common TEAEs among participants receiving LEM10 were headache (4.9%), somnolence (7.1%), and urinary tract infection (3.4%)
  • In Study 311, the most common TEAEs among participants receiving LEM10 were coronavirus disease 2019 (COVID-19; 8.5%), fatigue (2.1%), and dizziness (2.1%)
    • Somnolence occurred infrequently in Study 311 (PBO: 0.0%; LEM10: 1.1%)
Figures 2 5
Conclusions
  • Short-term (1-month) treatment with LEM10 consistently improved objective sleep parameters (LPS, SE, WASO, and TST) in both Chinese and non-Chinese participants
  • LEM was well tolerated in both populations
  • Findings support the efficacy and safety of LEM for treating insomnia globally, regardless
    of race
Qr
Img logo 273x140

Accessing ambulatory care in neurology: understanding and addressing demand in Calgary

Megan Yaraskavitch

Erin Barrett

Dcns logos 2016 01
BACKGROUND
  • Accessible ambulatory neurology care can reduce the need for inpatient evaluation.1
  • A routine patient waits up to 18 months to see a neurologist in Calgary.
  • Optimal ambulatory patient flow (activity), aligns referral requests (demand) with provider and space resources (capacity).
Neurology Central Access and Triage (NCAT) System Design
NCAT Original (1.0)
Oirignal ncat
Referrals received and triaged at multiple entry points (NCAT and subspecialty clinics).  Each clinic had their own triage criteria, with multiple triagers.  
NCAT Redux (2.0)
New ncat
Referrals enter the system at a single point. Transparent triage criteria, used by 7 triaging physicians (and 1 nurse), reduces triage variation.  
*Adult EMG, Stroke Prevention and Urgent Neurology Clinics were not included in NCAT given initial concerns that referrals may not be triaged fast enough for program targets (e.g. Urgent Neurology Clinic target to see patient within 5 days).
OBJECTIVE
  • Use a quality improvement approach to understand and address demand (referral requests)
    • Reduce variability, improve reliability and minimize waste in the referral management process.
  • Outcome Measure: Average wait time to see a neurologist. 
  • Process: Number of accepted referrals / number of referrals received.
  • Balancing Measure: Time from referral received to triage decision.
METHODS

Process Mapping

  • Current state referral process mapped with primary care referring physicians, general and subspecialty neurologists.
Triage quote 2

Root Cause Analysis revealed:

  • Unclear consensus among neurologists: Which patients require neurology consulation?
  • Manual audit of 1000 referrals across 10 programs
    • ~30% of accepted referrals did not meet triage criteria
  • High variation in triage decisions for the same referral
  • Referrals with less information had more triage decision variability
  • High administrative process variation (e.g. management of no-shows)
INTERVENTIONS
Summary
Interventions

 
Division of Neurology Ambulatory Referral Measures Dashboard
Cat level image Noun slideshow grey Program level image Clinic level image 2 Daily waitlist counts
Images from the ambulatory neurology dashboard.  Image 1: NCAT view, Image 2: Program level view, Image 3: Clinic level view, Image 4: Daily waitlist count.
References
RESULTS
Outcome Measure
Wait time to see a neurologist increased by 16%, (though significantly more referrals were received per month after the interventions) (987 vs. 859, p <0.00).
Process Measure
Spc chart

Significantly lower proportion of referrals were accepted, following the interventions (green points on statistical process control (SPC) p-chart, confirm a statistically significant change in the system). 

Balancing Measure
There was no change in referral processing time.
CONCLUSIONS
  • Optimized referral management resulted in a significant reduction in the number of referrals accepted (relative to the number of referrals received) but wait times continue to increase.
  • This suggests that capacity (provider and space resources) is a significant problem, requiring further improvement work and advocacy.
Img logo 273x140

Long-Term Efficacy of Efgartigimod PH20 SC in Patients with Chronic Inflammatory Demyelinating Polyradiculoneuropathy: Interim Results from the ADHERE+ Study

Hans Katzberg

Jeffrey A. Allen

Jie Lin

Mark Stettner

Jeffrey T. Guptill

Kelly G. Gwathmey

Geoffrey Istas

Arne De Roeck

Satoshi Kuwabara

Guiseppe Lauria Pinter

Luis Querol

Niraja Suresh

Chafic Karam

Thomas Skripuletz

Simon Rinaldi

Andoni Echaniz-Laguna

Benjamin Van Hoorick

Ryo Yamasaki

Pieter A. van Doorn

Richard A. Lewis

002
BACKGROUND
  • CIDP is an autoimmune peripheral neuropathy characterized by progressive or relapsing muscle weakness and sensory
    disturbance, and associated with a high treatment burden1–5
  • IgG autoantibodies play a key role in CIDP demyelination6–9
  • Efgartigimod selectively reduces IgG by blocking FcRn-mediated
    IgG recycling without impacting antibody production, reducing
    albumin levels, or affecting other parts of the immune system6–9
  • Efgartigimod PH20 SC is a coformulation of efgartigimod and recombinant human hyaluronidase PH20, which allows for rapid (30–90s single injection) SC administration10,11 (Figure 1)

FIGURE 1 Mechanism of Action of Efgartigimod12,13,14
Cnsf moa
  • In the ADHERE trial (Figure 2), efgartigimod PH20 SC reduced
    the risk of relapse and led to clinically meaningful improvements in functional ability, daily activity, or grip strength versus placebo,
    and was well tolerated in participants with CIDP15
  • ADHERE+ was an open-label extension trial in which participants
    were treated with efgartigimod PH20 SC 1000 mg 
    (Figure 2)
ACRONYMS
aINCAT, adjusted Inflammatory Neuropathy Cause and Treatment; CDAS, CIDP disease activity status; CIDP, chronic inflammatory demyelinating polyradiculoneuropathy; ECI, evidence of clinical improvement; ECMD, evidence of clinically meaningful deterioration; 
Fc, fragment crystallizable; FcRn, neonatal Fc receptor; Ig, immunoglobulin; 
OBJECTIVE
  • To report efficacy from an interim analysis 
    (data cutoff: February 16, 2024) of ADHERE+

METHODS

Screenshot 2025 05 21 at 5.13.02 pm

PATIENTS

Baseline characteristics were similar across ADHERE Stages A and B
and ADHERE+

EFFICACY

  • Mean change from run-in baseline (SE) to Week 36 in ADHERE+
    for aINCAT, I-RODS, and grip strength score are shown in 
    Figure 3, Figure 4, and Figure 5, respectively
  • Restabilization (based on aINCAT scores) in ADHERE+
    in participants with disease relapse in ADHERE Stage B
    is shown in
    Figure 6
DISCLOSURES
a
INCAT, Inflammatory Neuropathy Cause and Treatment; I-RODS, Inflammatory Rasch-Buillt Overall Disability Scale; IVIg, intravenous immunoglobulin; OLE open-label extension;
PH20, recombinant human hyaluronidase PH20; QW, once weekly, R, randomized;
SC, subcutaneous; SCIg, subcutaneous Ig; SD, standard deviation; SE, standard error; TEAE, treatment-emergent adverse event. 
Screenshot 2025 05 21 at 5.14.04 pm
Screenshot 2025 05 21 at 5.14.47 pm
Screenshot 2025 05 21 at 5.15.53 pm
REFERENCES
1. Cox ZC, et al. Clin Geriatr Med. 2021;37(2):327–45. 2. Van den Bergh PYK, et al. Eur J Neurol. 2021;28(11):3556–83. 3. Brun S, et al. Immuno. 2022;2(1):118–31. 4. Bus SRM, et al. J Neurol. 2022;269(2):945–55. 5. Gorson KC. Ther Adv Neurol Disord. 2012;5(6):359–73. 6. Querol LA, et al. Neurotherapeutics. 2022;19(3):864–73. 7. Yan WX, et al. Ann Neurol. 2000;47(6):765–75. 8. Dziadkowiak E, et al. Int J Mol Sci. 2021;23(1):179. 9. Koike H, et al. Neurol Ther. 2020;9(2):213–27. 10. Locke KW, et al. Drug Deliv. 2019;26(1):98–1-6.
Screenshot 2025 05 23 at 1.02.21 pm
SAFETY
Efgartigimod was well tolerated in ADHERE and ADHERE+; most TEAEs were mild or moderate

KEY TAKEAWAYS

  • ADHERE+ trial interim results indicate that efgartigimod PH20 SC treatment results in long-term clinical efficacy in participants with CIDP
  • Clinically meaningful improvements in functional ability and dominant hand grip strength in ADHERE+, irrespective of ADHERE Stage B treatment, were observed with efgartigimod PH20 SC
  • The majority of participants on efgartigimod PH20 SC who experienced disease relapse during ADHERE Stage B restabilized, and half did so as early as Week 4 of ADHERE+
  • Weekly efgartigimod PH20 SC was well tolerated in ADHERE+ with safety similar to that seen in ADHERE
11. VYGART HYRULO. Prescribing Information. argenx; 2024. https://argenx.com/product/
vygart-hytrulo-prescribing-information.pdf. Accessed March 12, 2025. 12. Ulrichts P, et al. J Clin Invest. 2018;128(10):4372–86. 13. Roopenian DC, Akilesh S. Nat Rev Immunol. 2007;7:715–25. 14. Ward ES, Ober RJ. Trends Pharmacol Sci. 2018;39:892–904. 15. Allen JA, et al. Lancet Neurol. 2024;23(10):1013–24. 16. Van den Bergh PYK, et al. Eur J Neurol. 2010;17(3):356–63. 17. Breiner A, et al. Muscle Nerve. 2014;50(1):40–6. 18. van Nes SI, et al. Neurology. 2011;76(4):337–45. 19. Vanhoutte EK. Eur J Neurol. 2013;20(5):748–55.
Img logo 273x140

Post-hoc evaluation of the clinical effects of nipocalimab, a neonatal fragment crystallizable blocker, over time in the Vivacity MG3 study

Richard Nowak

Maria Ait-Tihyaty

Ibrahim Turkoz

Kavita Gandhi

Rachelle Rodriguez

Sheryl Pease

Sarah Gingerich

Hans Katzberg

Introduction
  • Generalized myasthenia gravis (gMG) is a rare autoimmune disease resulting from immunoglobulin G (IgG)-mediated disruption of cholinergic neuromuscular transmission.1,2
  • gMG is marked by chronic weakness of the bulbar muscles, extremities, or axial muscles, resulting in debilitating symptoms such as fatigue and impaired mobility that significantly impact patients’ daily activities and health-related quality of life.3
  • While advanced therapies such as targeted immunotherapies are now available, there remains an unmet need for effective gMG treatment to maintain sustained control of disease activity and minimize symptoms.4
  • The neonatal Fc receptor (FcRn) extends the half-life of serum IgG by preventing IgG clearance via lysosomal degradation; targeted inhibition of FcRn-IgG binding accelerates IgG clearance, potentially benefiting patients with gMG.4,5
  • Nipocalimab, a fully human anti-FcRn monoclonal antibody that inhibits FcRn-IgG binding, demonstrated rapid, substantial, and sustained efficacy in the 24-week phase 3 Vivacity-MG3 (NCT04951622) study in participants with gMG4,6,7 
Objective
To evaluate disease control over time as measured using MG Activities of Daily Living (MG-ADL) in the Vivacity-MG3 study population
Methods
  • In the Vivacity-MG3 study (NCT04951622), participants with a suboptimal response to standard-of-care (SOC)* treatment were randomly assigned (1:1) to receive either placebo or nipocalimab administered intravenously every two weeks for 24 weeks.
  • All analyses were conducted on the primary efficacy analysis set, which included all randomized, seropositive (positive for anti-AChR, anti-MuSK, and anti-LRP4 antibodies) participants who received at least one dose of the study intervention. 
Detailed methods
REFERENCES, ACKNOWLEDGEMENTS, DISCLOSURES, FUNDING
Results
The baseline demographic and disease characteristics were generally balanced between the treatment groups.
Mgfa poster nipo deep sustained mse v4 cnsf edits table1
Mgfa poster nipo deep sustained mse v4 cnsf edits table2
  • Nipocalimab + SOC demonstrated statistically significant improvement in MG-ADL total score vs placebo + SOC over weeks 22, 23, and 24
  • LS-mean change (SE): −4.7 (0.329) vs −3.25 (0.335); difference in LS-means (SE): −1.45 (0.470), p=0.002
  • The mean difference, in favor of nipocalimab + SOC, was significant as early as week 1 LS-mean change (SE): −2.72 (2.979) vs −1.77 (2.426); difference in LS-means (SE): −0.82 (0.410), p=0.046
  • Significantly greater proportion of participants treated with nipocalimab + SOC achieved sustained improvement over time in MG-ADL ≥2 versus placebo + SOC (Figure 1).
  • The odds of achieving a ≥2-point improvement in MG-ADL at weeks 22, 23, and 24 were 2.49 times higher with nipocalimab + SOC compared to placebo + SOC (61.0% vs 38.7%; OR [95% CI]: 2.49 [1.29, 4.77]; p=0.009).
  • Similarly, the median percentage of time in the study with ≥2-point improvement in MG-ADL total score was significantly higher for the nipocalimab + SOC group (84.5%) compared to the placebo + SOC group (39.9%), p-value=0.007.
Mgfa poster nipo deep sustained mse v4 cnsf edits figure1
  • Significantly greater proportion of participants treated with nipocalimab + SOC achieved sustained improvement over time in MG-ADL ≥3 (substantial improvement) versus placebo + SOC (Figure 2).
  • The odds of achieving a clinically substantial improvement in MG-ADL score, defined as a ≥3-point change at weeks 22, 23, and 24 were 2.93 times higher with nipocalimab + SOC compared to placebo + SOC (53.2% vs 28.%; OR [95% CI]: 2.93 [1.492, 5.747]).
  • Similarly, the median percentage of time with a ≥3-point improvement in MG-ADL total score was 69.6% for the nipocalimab + SOC group, compared to 20.2% for the placebo + SOC group, p-value <0.001.
  • Participants treated with nipocalimab + SOC were approximately three times more likely to achieve MSE at any point during the 24-week study compared to those receiving placebo + SOC, with an OR of 2.99 (95% CI: 1.314, 6.796) and a MSE rate of 31.2% vs 13.2%, respectively
Mgfa poster nipo deep sustained mse v4 cnsf edits figure2
  • For the 25 participants (18 nipocalimab, 7 placebo) who reached MSE at any time during the double-blind phase, the median time with sustained MSE was approximately double for nipocalimab + SOC with 101.5 days (60.4%) vs 55 days (32.7%) for placebo + SOC
Mgfa poster nipo deep sustained mse v4 cnsf edits figure3
Conclusion
Based on MG-ADL data from the 24-week Phase 3 Vivacity-MG3 study, the FcRn blocker nipocalimab demonstrated rapid, substantial and sustained symptom control in participants with gMG
Img logo 273x140

Therapeutic Options for Changing the Course of Disease in Generalized Myasthenia Gravis (gMG) and Fiscal Consequences for Canadian Governments

Hans Katzberg

Cynthia Z Qi

Ana Teresa Paquete

Syed Raza

Charles Kassardjian

Zaeem Siddiqi

Mark P. Connolly

Nikos Kotsopoulos

Roger Kaprielian

Jason Locklin

Glenn Phillips

BACKGROUND
Generalized myasthenia gravis 
Generalized myasthenia gravis is a potentially life-threatening chronic autoimmune disease that impairs communication between nerves and muscles. The range of symptoms experienced by those with gMG impairs work productivity causing absenteeism, presenteeism and people to leave the workforce1-3.
Treatment landscape and target population
  • The primary focus of treating gMG is symptom management. In Canada, the SOC medications include AChEIs, corticosteroids, and nonsteroidal immunosuppressive therapies.4-7 When SOC does not adequately control the disease, chronic immunoglobulins are used off-label as an add-on treatment. However, these treatment options may not offer optimal responses and can raise safety concerns.8,9
  • Efgartigimod has shown clinically meaningful and persistent improvements in the MG-ADL when added to SOC medication, in AChR-Ab+ gMG patients whose symptoms persisted despite a stable dose of SOC medication. It has also proven to be a well-tolerated treatment.10
Caregiving needs and fiscal consequences
  • As gMG progresses, individuals often need help from caregivers on their daily activities. This assistance is largely provided by family members that may forego paid work.11 When patients and informal caregivers (iCGs) are less able to work, household income is affected.3
  • Besides household productivity and income, the economic effects of gMG extend to other economic domains, including government budgets. Patients and caregivers might rely on social benefits supported by governments (e.g., sickness benefits, disability, early retirement, and caregiving benefits) and the tax revenue from productive work is reduced.
Objective 
  • To compare the fiscal impact of efgartigimod versus the current bundle of treatments in Canada (weighted comparator) in adults living with AChR-Ab+ gMG whose symptoms persist despite stable doses of SOC medication.
METHODS
Model overview
  • The fiscal model framework (Figure 1) is based on the premise that gMG symptoms and disease progression impacts labor market outcomes and, consequently, government benefits' payments and tax revenue. An effective treatment will not only reduce disease management costs, but will also improve patients' ability to work, reducing the needs for help from iCGs and for government benefit. Patients and iCGs remaining in the workforce and reductions in absenteeism will improve household income and consequently the tax revenue to Canadian governments.
  • The current fiscal analysis is based on a lifetime Markov cohort simulation model4,12, in which gMG patients are distributed according to MG-ADL scores' categories (<5; 5-7; 8-9; ≥10), MG crisis event, and death. A cohort of iCGs was added to the model, as an effective treatment will indirectly impact their labor market outcomes.
Model overview (continued)
Picture1
  • Fiscal consequences to the Canadian governments are the main outcomes of the model: tax revenue, healthcare costs, and government benefits payments (e.g., sickness benefits, disability benefits, retirement pensions, and caregiving benefits). Fiscal outcomes are then compared per treatment arm.
  • Efgartigimod is compared to the current bundle of treatments used by the targeted population in Canada. Labeled as “weighted comparator,” it considers 25% of patients on SOC alone and 75% on additional chronic IG.13 Treatment effectiveness and health care costs of efgartigimod, SOC, and chronic IG were based on a previously presented cost-effectiveness model.4,12
  • Age at model start and gender distribution are consistent with patients starting efgartigimod treatment in the ADAPT trial10 and to the iCG’s age difference in the MyRealWorld (MRW) MG study15,16: an average patient is assumed to start treatment at 47 years of age while the iCG is 50 years of age. Most patients are female (67%) while iCGs are mostly male (61%).
CLICK HERE FOR MORE DETAILS
Sensitivity analysis
  • One-way deterministic sensitivity analysis was conducted and summarized in a tornado
    diagram applying 95% CIs to fiscal parameters.
RESULTS 
CLICK HERE FOR MORE DETAILS
Figure 2
Sensitivity analysis  
  • Figure 3 presents the most impactful fiscal parameters on incremental benefits associated with efgartigimod. 
  • The parameters with the highest impact on results are the iCG’s age and gender and the relative risks of patient’s being employed per MG-ADL score. Nevertheless, sensitivity analysis suggests that incremental benefits of using efgartigimod exceed CAN$ 450,000 per patient.
Picture3
Limitations 
The main limitation of the current work is relying on a single study (MRW MG study15,16) to estimate this relative risk, with a low number of people by MG-ADL score. Disease modeling and treatment comparative effectiveness were discussed elsewhere.4
SUMMARY 
  • Investment in efgartigimod (CAN$ 291,000) is estimated to save the Canadian governments CAN$ 459,000 over the lifetime of an average symptomatic gMG patient and respective informal caregiver when compared with current treatments (25% on SOC and 75% on chronic IG).
  • Besides savings in disease management costs, enabling patients and informal caregivers to pursue full-time employment can prevent the loss of tax revenue from governments and the need for benefit payments.
  • Evidence of health technologies’ impact on the broader public economy should be made available and considered by decision-makers for evaluating new medical therapies.

DISCLOSURES AND ACKNOWLEDGMENTS

CLICK HERE

ABBREVIATIONS
CLICK HERE

REFERENCES
CLICK HERE

Img logo 273x140

Understanding and Implementing Multidisciplinary Care for Patients with Neurofibromatosis 1 in British Columbia

Kristine Chapman

Laura Marulanda

Rebecca Harrison

Alannah Smrke

Manal Alzahrani

Ari Rotenberg

Linlea Armstrong

Juliette Hukin

Heather Pudwell

Vchlogo
Col1
Col2
Col3
Img logo 273x140

Deferred Consent in Emergency Research: An Insight From Two Prospective Cohort Studies in Critically Ill Patients

Susan Alcock

Benjamin Blackwood

Marco Ayroso

Jai Shankar

Screenshot 2024 07 31 121825
INTRODUCTION
  • Consent is the cornerstone of ethical research.
  • Informed consent is not always feasible during life threatening emergencies. 
  • Deferred consent is a recognized, but underutilized approach.
  • Deferred Consent is informed consent that is obtained retrospectively from the participant or substitute decision maker after the intervention has been carried out.  
AIM
  • We aim to evaluate the use of deferred consent in two prospective cohort studies involving critically ill patients. 
METHODS
  • The ACT-TBI1,2  and CANCCAP3,4 studies both focused on evaluating the efficacy of CT-Perfusion in diagnosing early neurological death. 
  • Patients in both studies were incapacitated and unable to provide informed consent themselves.
  • Eligible participants with severe traumatic brain injury  (ACT-TBI study1,2) and comatose cardiac arrest patients (CANCCAP study3,4) were enrolled and underwent a CT-perfusion scan at the time of their first in-hospital imaging.
  • To avoid delaying clinical treatment and ensure a timely baseline scan, deferred consent was obtained. 
  • We analyzed the frequency of deferred consent, the number of days required to obtain it, the proportion of refusals, and the instances where a waiver of consent was necessary.
  • Demographic data was analyzed using descriptive summary statistics and multivariate logistic regression was conducted to determine the influence of study type, age, sex, and hospital discharge status on a binary outcome of obtaining deferred consent.
RESULTS
 

Table 1. Demographics and Clinical Characteristics of Patients Approached in ACT-TBI and CANCCAP
 

Tb1 pic
RESULTS
 
Figure 1. Study Population
 
Fig1 pic


Table 2. Significant Differences Between ACT-TBI and CANCCAP studies
 

Tb2 pic


Table 3. Length of Time to Obtain Deferred Consent for Study Participants
 

Tb3 pic
RESULTS
 

Table 4. Reasons for Delay in Obtaining Consent
 

Tb4 pic


Table 5. Logistic Regression Analysis of Obtaining Deferred Consent

Tb5 pic

CONCLUSION 
  • Deferred consent is an acceptable method of obtaining consent in emergency research when the intervention risk is low.
  • In a cohort of critically ill patients undergoing CT-perfusion imaging, deferred consent was obtained in 86.6% of cases, with most consents secured within seven days.
  • We observed significantly larger odds in obtaining deferred consent for those in the CANCCAP study, increases in age, and those that were alive at hospital discharge. 
References
Ref picture5
Img logo 273x140

Delayed Orthostatic Tachycardia – is the time frame for Postural Orthostatic Tachycardia Syndrome arbitrary?

Zaeem Siddiqi, MD PhD

Derrick Blackmore, PhD

Medicine logo
BACKGROUND

Postural Orthostatic Tachycardia Syndrome (POTS) is characterized by a sustained increase in heart rate (HR) of >30 beats per minute (bpm; >40 bpm in patients under 18 years of age) —often exceeding 120 bpm—within 10 minutes of standing or head-up tilt (HUT), in the absence of accompanying orthostatic hypotension (OH). However, some patients develop presyncopal symptoms after 10 minutes of upright posture in the absence of OH. This group remains poorly characterized.

OBJECTIVES

To characterize the clinical and laboratory features of early and delayed orthostatic intolerance (OI) in a large cohort of patients.

METHODS

Study design: Chart-based retrospective cohort study. 

Population: Clinical histories and autonomic laboratory test results of 1,127 patients referred to the University of Alberta Autonomic Laboratory between 2010 and 2025 for assessment of orthostatic intolerance (OI) were reviewed. Symptoms suggestive of OI included lightheadedness, presyncope or syncope, palpitations, postural tachycardia, and/or shortness of breath. Patients were excluded if they had incomplete or artifact-laden data, a diagnosis of diabetes, underlying cardiovascular disease, or had used chronotropic or inotropic medications within five days of testing.

All patients underwent comprehensive autonomic testing, including:

·Quantitative Sensory Testing (QST): Standardized assessment of vibration, cold, and heat/pain thresholds.
·Sudomotor Function: Postganglionic sympathetic response evaluation using Quantitative Sudomotor Axon Reflex Testing (QSART).
·Parasympathetic (Cardiovagal) Function: Heart rate variability during deep breathing, the Valsalva maneuver, and a 45-minute 70° HUT.
·Sympathetic Function: Beat-to-beat blood pressure responses during the Valsalva maneuver and HUT.

Delayed OI criteria: Patients were considered to have abnormal delayed orthostatic tachycardia after the first 10 minutes during the HUT if they developed symptoms of OI and their HR increased by ≥40 bpm from baseline or reached ≥140 beats per minute.

RESULTS

Table1
Table. 1 Demographics
Figure 1 updated
Picture4

SUMMARY

  • 898 (75%) patients were eligible for inclusion in the study.
  • 161 (18%) of patients in our cohort met the criteria for delayed OI.
  • On average, these patients reached the diagnostic threshold at 30±11 minutes and reached a minimal PP/SBP ratio of 24%±0.06 at 37±13 min after tilt. Mean HR increase from baseline in this cohort was 45±9.7bpm (range: 35-109).
  • Most patients showed marked oscillations in the HR and BP. These findings returned to baseline rapidly after the HUT.
  • 12% of patients in this group had a vasovagal syncope.
  • Of the patients manifesting dealyed OI, about 83% small fiber/autonomic neuropathy.

CONCLUSIONS

  • A sizeable (18%) number of patients who present with orthostatic symptoms may have DOTS, which is characterized by excessive HR increase and marked reduction in PP accompanied by exaggerated oscillations of HR and BP on sustained upright posture.
  • Common occurence of small fiber/autonomic neuropathy and signifcant reduction in the PP in this cohort suggest peripheral blood pooling leading to reduced cardiac output as the underlying pathologic mechanism of DOTS.
  • DOTS is likely a continuum of POTS but may get missed on a routine 10-minute HUT.
Img logo 273x140

The impact of working hours on rapid GFAP measurement in acute stroke: evaluation of sampling bias in an ongoing prospective study

Yasmine Bairi

Catherine Brassard

Julien Paul

Matin Sayed

Clara Margarido

Catherine Larochelle

Nathalie Arbour

Christian Stapf

Laura Gioia

Screenshot 2025 06 04 at 12.17.28 am
INTRODUCTION
  • Acute stroke is a time-dependent medical condition and rapid identification of stroke type between acute ischemic stroke (IS), intracerebral hemorrhage (ICH) or stroke mimic (SM) could accelerate treatment and improve outcomes.
  • Glial fibrillary acidic protein (GFAP), a brain-specific biomarker, shows promise as an adjunct tool in acute stroke1,2, yet current techniques, including a novel point-of-care platform3, require laboratory staff to centrifuge samples to obtain plasma
  • We aim to determine whether patients recruited in an ongoing prospective study of biomarker sampling in acute stroke (most often during working hours) differ from those who are not recruited.
METHODS
An exploratory analysis of an ongoing prospective study of patients with suspected undifferentiated stroke <24h from onset.
Rapid plasma GFAP levels (pg/mL) are measured at hospital arrival using the i-STAT Alinity instrument and commercially-available cartridges.
Baseline clinical characteristics were compared among recruited and non-recruited patients.
Cart
Fig. 1: (A) Picture of the handheld point-of-care i-STAT Alinity® device measuring serum GFAP in pg/mL using the TBI plasma cartridge (B).
Screenshot 2025 06 03 at 11.59.28 pm
Fig. 2 : Examples of Biomarker Test Results Displayed on the i-STAT Alinity Device for GFAP and UCH-L1 Measurements in Our Study
RESULTS
  • Among the first 101 patients recruited, mean (±SD) age (70.8 ± 14.5 years) and % females (48%) were comparable to the 270 non-recruited patients (70.3 ± 16.3 years, 51% females).
  • Median (IQR) NIHSS was similar between recruited (9 (3–20)) and non-recruited patients (7 (3–17), p = 0.3)
  • Median time from stroke onset to presentation (116 (65–670) and 131 (68–315) minutes, respectively (p = 0.5)), with a similar proportion of stroke <4.5h from onset among recruited (59%) and non-recruited patients (65%).
  • Median ASPECT score was slightly lower in recruited (10 (9–10)) compared to non-recruited patients (10 (10–10)) (p = 0.03).
  • Conversely, there was a higher proportion of ICH and SM among non-recruited (52% IS, 13% ICH, 32% SM) compared to recruited patients (73% IS, 5% ICH, 22% SM, p<0.01). A higher proportion of large-vessel occlusion (LVO) was observed among recruited patients (44% vs. 19%, p = 0.001).
Lvo
Fig. 3 : Patient distribution by stroke subtype (A) and proportion with large vessel occlusion (B) in recruited vs. non-recruited groups in our study
Nih aspect
Fig. 4 : Boxplot of clinical severity measured by NIHSS score (A) and ASPECT score (B) in recruited vs non-recruited patients in our study 
 
DISCUSSION 
  • Baseline characteristics, time to presentation, stroke severity, and extent of ischemic injury are similar in patients recruited in an ongoing biomarker study, where study procedures occur primarily during working hours.
  • Nevertheless, proportions of LVO stroke and ICH differ among recruited and non-recruited patients, and efforts will be made to mitigate this sampling bias going forward.
REFERENCES 

1. Kumar A, Misra S, Yadav AK, Sagar R, Verma B, Grover A, Prasad K. Role of glial fibrillary acidic protein as a biomarker in differentiating intracerebral haemorrhage from ischaemic stroke and stroke mimics: a meta-analysis.   Biomarkers. 2020;25(1):1-8.

2. Paul JF, Ducroux C, Correia P, Daigneault A, Larochelle C, Stapf C, Gioia LC. Serum glial fibrillary acidic protein in acute stroke: feasibility to determine stroke-type, timeline and tissue-impact. Frontiers in Neurology. 2024;15.

3. Yue JK, Yuh EL, Korley FK, Winkler EA, Sun X, Puffer RC, et al. Association between plasma GFAP concentrations and MRI abnormalities in patients with CT-negative traumatic brain injury in the TRACK-TBI cohort: a   prospective multicentre study. Lancet Neurol. 2019;18(10):953-61.
 

 

Img logo 273x140

Prevalence of right-to-left shunting in stroke occurrence of patients with active cancer

Sanaz Biglou

Ronda Lun

Tim Ramsay

Michel Shamy

Markus Schwerzmann

Dar Dowlatshahi

Screenshot 2025 06 01 at 12.47.35 pm
Screenshot 2025 06 01 at 12.54.44 pm
Screenshot 2025 06 03 at 10.05.35 pm
Img logo 273x140

Impact of telemedicine evaluation among ischemic stroke patients transferred for endovascular thrombectomy: data from the OPTIMISE registry

Justin Barrette

Mohamed A. Tarek

Grégory Jacquin

Rick Swartz

Aristeidis Katsanos

Jai Shankar

Jennifer Mandzia

Samuel Yip

Steve Verreault

Grant Stotts

Catherine Legault

Alexandre Poppe

Background
- Telemedicine evaluation for treatment of acute stroke patients with IV thrombolysis has been shown to be beneficial. (1)
- Its usefulness for the evaluation of patients transferred from a primary stroke centre (PSC) to a comprehensive stroke centre (CSC) for endovascular thrombectomy (EVT) is less well defined. (2)
Methods

- We retrospectively analyzed the Canadian OPTIMISE registry which included data from 20 comprehensive stroke centers across Canada between January 1, 2018, and December 31, 2022.
- We compared treatment metrics and early outcomes between two groups: 1) patients evaluated by telemedicine (TM) and 2) patients evaluated in person (non-TM) at the PSC prior to CSC transfer.
- We used mixed-effects logistic regression models to compare the likelihood for symptomatic intracerebral hemorrhage (sICH), good functional outcome (defined as a modified Ranking Scale [mRS] score of 0-2), or all-cause mortality at 90 days between the two groups.
- All models were adjusted for predefined confounders (age - baseline ASPECTS - baseline NIHSS - onset to groin puncture time - final TICI - anesthesia type - IV-tPA - carotid stenting - participating centre).

Results

- We included 3289 patients who were transferred from a PSC to a CSC: 888 TM and 2401 non-TM.
- There were no major differences in baseline characteristics, including IV thrombolysis administration, though the TM group included more men and a slightly lower baseline ASPECTS.
- In unadjusted analyses, outcomes of successful recanalization (TICI≥ 2b) and functional outcome were similar between TM and non-TM. However, we found that TM patients had longer onset-to-puncture times (355 vs 310 minutes, p<0.001), higher sICH rates (6.8% vs 3.3%, p<0.001) and higher risk for all-cause mortality at 90 days (39.6% vs 29.4%, p<0.001). (Table 1)

Table 1 : Time metrics and outcomes using telemedicine or not
 

No telemedicine
(N=2401)

Telemedicine
(N=888)

P-value

Onset needle (Median [IQR])

131 [99,184]

139 [98,187]

0.280

Door needle (Median [IQR])

31 [23,42]

34 [29,39]

0.418

Onset puncture (Median [IQR])

310 [224,485]

355 [255,526]

<0.001

Door puncture (Median [IQR])

39 [21,70]

37 [24,58]

0.026

Puncture reperfusion (Median [IQR])

26 [17,40]

25 [16,36]

0.100

Succesful reperfusion (TICI≥2b)

1960 (84.8%)

736 (85.7%)

0.562

sICH

79 (3.3%)

60 (6.8%)

<0.001

Discharge mRS 0-2

300 (20.9%)

188 (23.4%)

0.172

Discharge mortality

271 (18.9%)

121 (15.1%)

0.022

90-day mRS 0-2

670 (39.5%)

185 (34.8%)

0.050

90-day mortality

524 (29.4%)

216 (39.6%)

<0.001

- In adjusted analyses (mixed effect logistic regression model), there were no differences for sICH, 90-day mRS≤2 and all-cause mortality at 90 days between TM and non-TM patients. (Table 2)

Table 2 : Mixed effect logistic regression model for sICH, 90-day mRS≤2 and 90-day mortality for telestroke cases

 

*aOR

95% confidence interval

sICH

1.803

0.82 – 3.99

90-day mRS≤2

0.813

0.51 – 1.30

90-day mortality

1.384

0.86 – 2.24

Conclusions

- Patients transferred to a CSC for EVT first evaluated by TM had similar characteristics to those evaluated in person at the PSC, but longer treatment times and worse outcomes.
- The higher risk for unfavourable outcomes did not persist after adjustment for confounders, including treatment time.
- It is likely that TM patients had longer treatment delays because TM is more commonly used for more distant and rural sites, contributing to a higher risk of worse outcomes.
- There is a need for quality improvement initiatives to optimize the workflow of patients receiving telemedicine consultation prior to CSC transfer for EVT from more remote PSCs.

References:

  1. Kepplinger J, Barlinn K, Deckert S, Scheibe M, Bodechtel U, Schmitt J. Safety and efficacy of thrombolysis in telestroke: A systematic review and meta-analysis. Neurology. 2016;87:1344-1351. doi: 10.1212/wnl.0000000000003148
  2. Akbik F, Hirsch JA, Chandra RV, Frei D, Patel AB, Rabinov JD, Rost N, Schwamm LH, Leslie-Mazwi TM. Telestroke-the promise and the challenge. Part one: growth and current practice. J Neurointerv Surg. 2017;9:357-360. doi: 10.1136/neurintsurg-2016-012291
Logo
Img logo 273x140

Optimizing workflow of the initial patient visit to the stroke prevention clinic

Anastasia Howe

Pamela Mathura

Farah Saleh

Khurshid Khan

Ashfaq Shuaib

Brian Buck

Thomas Jeerakathil

Mahesh Kate

Uofalogo
Background and objectives

Timely access to a Stroke Prevention Clinic (SPC) after a stroke or TIA is critical. Stroke specialists rely on specific investigations to assess vascular risk and guide secondary prevention. If these tests aren't done before the first visit, treatment may be delayed, and more follow-up visits required, straining limited clinic capacity

 

Objective: This project at the University of Alberta Hospital SPC aimed to streamline the referral process and preliminary work-up by ensuring key investigations are completed before the first appointment to reduces follow-ups and free up slots for more new patients.

 

For the purpose of this project we have defined “bare minimum Investigations” as:

 

•Brain imaging (CT or MRI),
 
•Vascular imaging (CTA or Carotid Doppler),
 
•ECG (Holter strongly recommended but not mandatory).
A diagram illustrating factors affecting timing of the first patient appointment at Stroke prevention clinic
Fishbone diagram
Problem
During baseline data collection/chart review (January to March 2024) 198 charts met the inclusion criteria (patients who were not yet seen by the Stroke specialist).
Only 55% of patients had all of the minimum investigations completed.

The proportion of patients who experienced a missed prevention opportunity (defined as the start of antiplatelet or anticoagulation after 30 days or had a recurrent event while waiting for an appointment) - 7.5% (15/198) of cases.
31.8% of all the new referrals needed a follow-up visit scheduled (63).
Multifaceted interventions
During triage SPC physician flagged patients for the pre-visit. Nurse-led telephone call is scheduled during which current therapy and plan for completion of pending tests is discussed with the patient. Missing investigations ordered under the Stroke physician name (Vascular imaging can be done at the Stroke clinic urgent Doppler slot). If the investigation revealed critical results - SPC physician is notified, patient sent to Emergency department.
Standardized triage process/triage smart form with an option to select "Pre-visit"
Spc triage
Baseline and post intervention data
  Baseline
data
Post intervention   Baseline
data
Post intervention

Number of all new referrals seen in the clinic during the surveillance period

320 453 Patients who completed all minimum investigations 55% (109) 65%

Number of patients who met inclusion criteria

198 200  Completed brain imaging 90% 92.5%
Age

67±19.5 years

68±13.4 years Completed vascular imaging 61% 74.5%
Sex 50% female 46% Completed EKG 89% 87.5%
True vascular events  64.6% 61.3% Completed Holter 35.8% 25%
Referral source

62%  - ED,

26% from PCP,

the rest from subspecialists

66.5%  - ED,

21% from PCP,

the rest from subspecialists

HbA1c of fasting BG 78% 77%
Triage categories 
A+ 3%, A 13.75, B 31.8%, C 32.8% D (routine) 18.7%

A+ 3%, A  7%, B 30%, C 32%
D (routine) 27%

Lipid panel  75% 74%
Results 
Pos intervention charts were reviewed July - Sept 2024. 
Pre-visit was completed for 55 patients
.
Important findings were identified on additional workup organized at pre-visit for 7 patients (12.7%),
3 patients underwent urgent carotid revascularization because of pre-visit (done within 7-8 days, otherwise, patients would have waited 2-3 months).

Therapy changes/reminders were needed for 14 patients (patients were reminded to start an antiplatelet or anticoagulant agent they were prescribed)    
Graphic representation of work up completed prior to interventions and post 
Graph
Outcome measures
Completion of “bare minimum” investigations after pre-visit implementation increased by 10% (from 55% to 65%) 
Completion of vascular imaging specifically increased by 13.5% - statistically significant difference when assessed via multivariable logistic regression (149/200, 74.5% compared to 121/198, 61.1%, Odds ratio 1.89 95% CI 1.3-3.1; p=0.003).
Number of follow-up visits had decreased by 14% (from 38% to 23.6%),
Number of missed prevention opportunities has decreased (4% compared to 7.1%, p=0.19)

 

Clinic staff survey: 100% of respondents indicated that the pre-visit was beneficial for patient care; the overall experience with the intervention was rated at 4.3 out of 5.

Conclusion

Nurse-led pre-visit was shown to be an effective tool for completing vascular imaging. Further work needs to be done to improve cardioembolic stroke workup (Holter, Echo). Pre-visit can be considered for future use in the stroke prevention clinics if enough nursing staff are consistently available. It is rolled out for use on a regular basis at UAH SPC in May 2025.

 

Img logo 273x140

Cost-effectiveness of tenecteplase compared to alteplase for acute ischemic stroke from a Canadian perspective

Marie-Claude Aubin

Joyce Zheng

Simon Yunger

Christina Notte

Shannon Cartier

Debbie Becker

Roche logo blue pms
Background and Objective
Stroke is a major cause of disability and death globally. In Canada, approximately 878,000 people currently live with stroke, and more than 89,000 events occur each year1. Fortunately, the extensive use of reperfusion treatments over the past two decades has led to significant improvement in functional outcomes with notable reductions in the rates of disability2.
 
Following evidence from meta-analyses, IV thrombolysis with alteplase has been the standard treatment for acute ischemic stroke (AIS) patients presenting within 4.5 hours of symptom onset. More recently, in 2022, tenecteplase was added to the Canadian Stroke Best Practice Guidelines as an alternative2. This thrombolytic agent is a genetically modified variant of alteplase given as a 5-second bolus (rather than 1-minute bolus followed by 60-minute infusion), with greater fibrin-specificity and a longer half-life. 

This recommendation was supported by evidence from the AcT trial, in which tenecteplase (max. 25mg) was found to be non-inferior to alteplase (max. 90mg), with the direction of effect favouring tenecteplase3.
  • At 90 days, 36.9% and 34.8% of patients in the tenecteplase and alteplase groups, respectively, achieved the primary outcome of modified Rankin Scale (mRS) score 0-1 (unadjusted ∆ = 2.1%).
  • Safety analyses found no significant difference in terms of mortality at 90 days (15.3% versus 15.4%), or symptomatic intracerebral haemorrhage at 24 hours (ICH; 3.4% versus 3.2%).
Despite the cumulating clinical evidence supporting tenecteplase utilization for AIS, its cost-effectiveness versus alteplase has not yet been assessed to support hospital formulary decision making in Canada. Hence, an economic analysis for the treatment of AIS patients within 4.5 hours of symptom onset was conducted from the health care payer perspective.
Model Structure and Transitions
Figure 1. Model Structure
Model

Decision tree (≤ 90 days) Based on AcT data, patients achieve one of the 7 mRS health states (where mRS 6 = stroke death) at day 90 post-stroke depending on the thrombolytic received (Table 1)

Markov model (> 90 days) Each year, alive patients face 3 options:
- Patients who experience no new event remain in their current mRS health state
- Patients with recurrent stroke transition to a mRS health state that is equal to or worse than their current one (Table 1)

- Death can occur due to a recurrent stroke or gender- and age-specific background mortality
Main Inputs and Assumptions
Tables 1 2
Clinical inputs
  • Transition probabilities between mRS health states are derived from the AcT trial (Table 1)
  • Probabilities of experiencing a recurrent stroke are dependent on time since previous stroke, i.e. , ≤1 or >1 year (Table 2)4
  • Background mortality, due to other causes than AIS, is adjusted for increased risk associated with stroke history (Table 2)5
  • Adverse events are not included given the absence of meaningful differences in the rate of occurence in the AcT trial
Health utility values
  • Defines the quality of life of patients in each mRS health state, ranging from 0 (~ death) to 1 (~ perfect health)
  • Values were obtained from a published meta-analysis of utility weights in adults with stroke from multiple countries6
  • Utility value at baseline and for each mRS health state were identical between thrombolytics (Figure 2)
Figues 2 3  table 3
Costs
  • First 90 days post-AIS: thrombolytics acquisition and administration, plus index stroke hospitalization (Table 3)
  • Beyond 90 days: first-year management stroke, to account for more intensive health care resource utilization, and subsequent years management cost (Figure 3)
  • Recurrent stroke: stroke hospitalization (incl. thrombolytics), first-year stroke management
  • Costs and outcomes beyond the first year are discounted (annual rate of 1.5%, as per Canadian recommendations)6
Main scenario analysis
  • Thrombolytic administration cost: Include potential opportunity costs (i.e. nurse and neurologist time for administration monitoring)
  • Treatment-specific adverse event: Include symptomatic ICH 
  • Thrombolytic efficacy: Set equivalent between treatment arms at the end of the decision tree and for health state transitions using pooled 90-day distribution from AcT
Disclosure This work has been produced by Hoffmann-La Roche Ltd.
Affiliations MCA, JZ, SY, CN: Hoffmann-La Roche Limited; Mississauga, Ontario; SC, DB: Quadrant Health Economics; Cambridge, Ontario
Results
Table 4 resultats
Results of the deterministic base case scenario, from a Canadian healthcare payer perspective over a lifetime horizon, attest that tenecteplase is a dominant strategy
  • Tenecteplase generates more quality-adjusted life years (+0.138 QALYs) and is less costly (-$877)
  • All deterministic sensitivity analysis found that tenecteplase dominates or is cost-effective when using the threshold of $50,000 per QALY gained
Results from the main scenario analysis:
  • Thrombolytic administration cost: Tenecteplase dominates
  • Treatment-specific adverse events: Tenecteplase dominates
  • Equivalent efficacy: Both thrombolytics result in equivalent QALY and cost
Discussion and Conclusion

This pharmacoeconomic analysis, which leverages the same structure as many stroke models, is the first to show that tenecteplase is cost-effective in AIS patients within 4.5 hours of symptom onset, from a Canadian health care payer perspective. Sensitivity analysis confirm the robustness of this finding.
The analysis incorporates several economic and clinical inputs from Canadian sources, including the AcT trial, which reinforces its external validity and applicability to the hospital context from this country.

Additional QALYs and cost savings were mostly generated by the 2.1% difference in mRS score of 0-1 in favor of tenecteplase in the AcT trial. Though this was a non-inferiority design, evidence from a recently published meta-analysis (which included 16 randomized controlled trials)7 found tenecteplase to be associated with statistically significant better 90-day excellent neurological recovery (i.e. mRS score 0-1), which supports the base case assumption.

In conclusion, though all the benefits for the health care system could not be quantified and integrated in the model (no infusion pump needed, simplified administration protocol versus alteplase which reduces the time for setting up for the administration, may decrease dosing errors, expedite / facilitate the transportation of the patient to comprehensive stroke center for thrombectomy), this economic study, along with the accumulating clinical evidence, could be helpful to support decision-making regarding the possible addition of tenecteplase on hospitals’ formularies and use in clinical practice.

1. Heart & Stroke. Stroke Month 2022; 2. Heran M, et al. Can J Neurol Sci 2024;51:1-31; 3. Menon BK, et al. Lancet 2022;400:161-9; 4. Mohan KM, et al. Stroke 2011;42: 1489-94; 5. Samsa GP, et al. J Clin Epidemiol 1999;52:259-71; 6. CDA-AMC. Guidelines for the Economic Evaluation — 4th Edition; 7. Shen Z, et al. Neurol Ther 2023;12:1553-72.
Img logo 273x140

Mapping Motor Pathways With Transcranial Magnetic Stimulation to Predict Functional Outcomes in Non-Human Primate Models of Chronic Stroke

Madison Wilson

Bruce Masotti

Adarsh Kumar

Gabriel Ramirez-Garcia

Douglas James Cook

Screenshot 2025 06 03 at 2.09.27 pm
Introduction

  • Ischemic stroke, caused by cerebral blood flow occlusion, disrupts corticospinal tract (CST) integrity, leading to chronic motor impairments1,2
  • Transcranial magnetic stimulation (TMS) non-invasively delivers magnetic pulses to stimulate specific brain regions, activating neurons and modulating brain circuit function3
  • In motor mapping, TMS assesses CST function by eliciting motor evoked potentials (MEPs) in target muscles. MEP amplitude reflects residual CST integrity, providing a potential biomarker for recovery1
Screenshot 2025 06 01 at 4.09.06 pm
  • Non-human primate (NHP) stroke models closely resemble humans in neuroanatomy and post-middle cerebral artery occlusion motor deficits, making them ideal for translational research4
  • While MEPs have shown to predict recovery in acute stroke, their role in chronic stroke (>6 months) remains understudied, especially in NHPs5
  • Aim: Determine whether TMS-derived MEP amplitudes correlate with upper extremity motor impairment severity in NHPs with chronic stroke
Screenshot 2025 06 02 at 12.50.01 pm
References
Screenshot 2025 06 04 at 12.38.50 pm
Methods
Screenshot 2025 06 02 at 1.34.12 pm
  • 3 NHPs with chronic stroke (~8 months post-transient right middle cerebral artery occlusion) underwent high-resolution T1-weighted magnetic resonance imaging to guide stimulation of the primary motor cortex (M1) using the Brainsight neuronavigation system
Screenshot 2025 06 03 at 12.44.44 pm
  • TMS motor mapping was performed using neuronavigation under ketamine anesthesia. Single-pulse TMS (50-70% of maximum stimulator output at 100% motor threshold) was applied to the affected M1 to elicit MEPs
  • EMG signals were recorded in real time and synchronized with TMS pulses
  • MEP amplitudes were measured peak-to-peak and averaged per muscle
Screenshot 2025 06 03 at 10.56.50 pm
  • Upper extremity function was evaluated daily for two weeks by a single rater using the NHPUES (0 = normal behaviour and 25 = severe upper extremity dysfunction)
Results
Combined mep nhpues plot
Mep nhpues correlation
APB showed a strong negative correlation (r = -0.65), brachioradialis showed a moderate negative correlation (r = -0.63), and biceps revealed a strong positive correlation (r = 0.97)
Conclusions
Screenshot 2025 06 02 at 1.46.38 pm
  • MEP amplitude relationships with functional outcomes appear to be muscle-specific
  • The unexpected inverse relationship from the biceps may reflect compensatory mechanisms of neuroplasticity or methodological considerations 
Key Implications:
  • TMS-derived MEPs could guide personalized therapeutic interventions 
  • Muscle-specific patterns require further investigation
  • Larger NHP cohorts are needed to validate these findings 
Img logo 273x140

Epilepsy Absence of children, A Guinean cohort of 69 cases

Mohamed Lelouma Mansare

Uganc gui

Introduction

Absence epilepsy is a common epilepsy syndrome in children. This can have a negative impact on the cognitive abilities of preschool and school-age children. The objective was to study in the Guinean context, the epidemiological, clinical, electrophysiological, therapeutic and evolutionary aspects of this syndrome.

Participants and methods

The study included all children diagnosed with absence epilepsy based on evidence obtained from history, clinical, and electroencephalogram (EEG) recording results.

Results

The cohort was made up of 41 girls and 28 boys with a sex ratio (F/M) equal to 1.46. The mean age was 8 ± 2 years with extremes of 2 and 14 years. Clinically, simple absences were observed in 42.02% of cases. The components : tonic was associated in 11.59%, clonic in 10.14%, atonic in 13.04%, automatisms in 15.94% and vegetative in 7.25%. EEG was typical in 75.36%. As monotherapy, sodium valproate was used in 92.75% and ethosuximide in 2.9%. Valproate/lamotrigine dual therapy was carried out in 2.9% of cases. The evolution was marked by a remission of seizures in 85.51%. During follow-up, the appearance of tonic-clonic convulsions was noted in 4.3%, myoclonus in 2.9%, a combination of myoclonus and tonic-clonic convulsions noted in 4.3%.

Conclusion

Effective and efficient collaboration between stakeholders is essential for the best overall management of this syndrome with serious cognitive repercussions in children, particularly between pediatricians, pediatric neurologists, epileptologists, neurophysiologists, the children's parents and the health authority.

Keywords: Absence epilepsy, children, EEG
Typical traces of absence epilepsy
Absence figure 1 et 2

Figure 2 : Trace of absence epilepsy marked by a brief spike-wave discharge at 2-3 c/sec lasting approximately 9 seconds in the period with abrupt onset and abrupt end.
Figure 3 : Trace of absence epilepsy marked by a long paroxysmal discharge of spikes and waves at 3-5 c/sec lasting 17 seconds during the period with sudden onset and gradual end.

Img logo 273x140

SYNGAP1 developmental and epileptic encephalopathy: utility of corpus callosotomy and neuromodulation

Stephanie DeGasperis

Rajesh RamachandranNairr

Kevin Jones

Robyn Whitney

Mcmaster logo
Background
  • Pathogenic variants in SYNGAP1 have been increasingly recognized as a rare cause of epilepsy occurring in early infancy and childhood.1
  • Palliative epilepsy surgery, such as corpus callosotomy (CC), and neuromodulation, such as vagus nerve stimulation (VNS) and deep brain stimulation (DBS), may be effective therapies in children and adults with DEEs due to genetic etiologies.2
  • Limited reports describe the utility and response to these palliative procedures in treating epilepsy related to variants in the SYNGAP1 gene.2
  • We describe a case of a child with SYNGAP1-related DEE at our institution who underwent CC, as well as summarize 15 children from the SynGAP Research Fund Database (Citizen) who underwent VNS and/or CC.
Methods
  • All children (<18 years) with genetically confirmed SYNGAP1-related DEE who underwent CC, DBS, and/or VNS for seizure control were obtained from the SynGAP database.2-4
  • The following information was collected and analyzed for all children included in the study: age, sex, comorbidities, seizure types, frequency, and treatments, electroencephalogram (EEG) and magnetic resonance imaging (MRI) findings.
  • We also included a single case of SYNGAP1-related DEE who had undergone CC from our institution.
Results: Case
  • 2 year old boy referred to our clinic with daily myoclonic seizures and nocturnal seizures.
  • He was diagnosed with SYNGAP1-related DEE by Chromosomal Microarray.
  • Seizure frequency increased over years (up to 100 brief seizures per day) with emergence of new seizures: myoclonic-absence-atonic, GTCs, eyelid myoclonia with atonia.
  • He failed multiple ASMs and was referred for complete CC at the age of 7 years.
  • He achieved an 80% reduction in frequency of eyelid myoclonia which no longer presented with atonia, and complete resolution of GTCs.
  • He had initial behavioural worsening that improved at his 1 year follow-up, and otherwise tolerated the procedure well. 
Results: SynGAP Database
  • 15/156 children were included from the SynGap database: 2 had CC, 11 had VNS, and 2 had both
VNS response
Vns response
CC response
Cc response
Combined VNS and CC response
Vns cc
Discussion
  • Our preliminary findings demonstrate that VNS and CC may provide some benefit in reducing seizure frequency in SYNGAP1-related DEE.
  • VNS was inserted at an older age (median age of 7 years) compared to other studies5-7, and the duration of follow-up was only 3 years, potentially impacting the outcomes of this procedure.
  • Conversely, CC was performed at a younger age (median age of 3.5 years) compared to other studies.8
Conclusion
  • The response to VNS was more variable and only sustained long-term in a third of patients. The response to CC appeared more favourable, especially for atonic seizures, although overall, the numbers in our cohort were small.
  • Considering only 15/156 children whose medical records were collected from the SynGAP database underwent a palliative procedure, these procedures may be underutilized in this patient population.
  • Future larger controlled studies are needed to confirm the results of our study, and determine the optimal timing of these procedures, seizure responses and impacts on quality of life, and other comorbidities.  
References
  1. Lo Barco T, De Gaetano L, Santangelo E, et al. SYNGAP1-related developmental and epileptic encephalopathy: The impact on daily life. Epilepsy & Behavior. 2022;127:108500. doi:10.1016/j.yebeh.2021.108500
  2. Wiltrout K, Brimble E, Poduri A. Comprehensive phenotypes of patients with SYNGAP1 ‐related disorder reveals high rates of epilepsy and autism. Epilepsia. 2024;65(5):1428-1438. doi:10.1111/epi.17913
  3. Citizen Health. https://www.ciitizen.com/syngap1/.
  4. SynGAP Research Fund. https://curesyngap1.org/.
  5. Lagae L, Verstrepen A, Nada A, et al. Vagus nerve stimulation in children with drug‐resistant epilepsy: age at implantation and shorter duration of epilepsy as predictors of better efficacy? Epileptic Disorders. 2015;17(3):308-314. doi:10.1684/epd.2015.0768
  6. Alexopoulos A V., Kotagal P, Loddenkemper T, Hammel J, Bingaman WE. Long-term results with vagus nerve stimulation in children with pharmacoresistant epilepsy. Seizure. 2006;15(7):491-503. doi:10.1016/j.seizure.2006.06.002
  7. Englot DJ, Chang EF, Auguste KI. Vagus nerve stimulation for epilepsy: a meta-analysis of efficacy and predictors of response. J Neurosurg. 2011;115(6):1248-1255. doi:10.3171/2011.7.JNS11977
  8. Roth J, Bergman L, Weil AG, et al. Added value of corpus callosotomy following vagus nerve stimulation in children with Lennox–Gastaut syndrome: A multicenter, multinational study. Epilepsia. 2023;64(12):3205-3212. doi:10.1111/epi.1779629. 
Img logo 273x140

Biallelic SCN1A variants with divergent epilepsy phenotypes

Rowan Pentz

Rebecca Hough

Chumei Li

Mark Tarnopolsky

Kevin Jones

Rajesh Ramachandran Nair

Robyn Whitney

Mcmaster childrens hospital logo the second
Introduction

 

Variants in SCN1A, which encodes the alpha-1 voltage-gated sodium channel subunit, cause diverse pathologies [1-3]: 

  1. Dravet syndrome (DS), characterized by prolonged/recurrent febrile seizures, drug-resistant epilepsy, developmental delay, and motor dysfunction
  2. Genetic epilepsy with febrile seizures plus (GEFS+), an inherited syndrome of febrile +/- afebrile seizures with normal development
  3. Other epilepsy syndromes (i.e., myoclonic atonic epilepsy), hemiplegic migraine, and neurodevelopmental disorders

Pathogenic variants in SCN1A are typically heterozygous, de novo, and haploinsufficient. However, rare cases of bi-allelic SCN1A variants with autosomal recessive inheritance have been reported in conjunction with DS and other phenotypes. Here, we report two cases of biallelic SCN1A variants with divergent epilepsy phenotypes and review all 16 previously published cases [2, 4-10]. 

Methods

A retrospective chart review was performed with informed written consent  in accordance with the research ethics board at McMaster University. Variants were classified by the American College of Medical Genetics and Genomics (ACMG) criteria [11].

A systematic literature review identified previous cases. A data search was performed using the terms “SCN1A” “Dravet” “homozygous OR homozygosity” and “recessive inheritance” in PubMed, Google Scholar, and Scopus until October 24, 2024 and 16 cases from 10 different families were identified [2, 4-10]. 

Case 1

ID: 10-year-old male, no family history of seizures. 

Epilepsy: Onset at10 months with afebrile bilateral tonic-clonic seizures (BTCs). EEG showed events associated with semi-rhythmic generalized theta. No seizures and normal EEG for four years on levetiracetam and phenobarbital. Seizures recurred at 5 years after medications weaned, repeat EEG demonstrated left temporal epileptiform discharges, and now has been seizure free on valproate for the five years since.

Neurological assessment: Normal exam except for macrocephaly and soft dysmorphic features, MRI showed benign external hydrocephalus that later resolved. Diagnosed profound global developmental delay (GDD) and autism spectrum disorder (ASD).

Genetics:  Homozygous SCN1A variant, c.1676T>A, (p.Ile559Asn) inherited from asymptomatic parents, VUS per ACMG. It is absent from controls (gnomAD), predicted to be damaging by multiple algorithms (i.e., SIFT, polyphen-2, mutation taster), Grantham score 149, REVEL score 0.778, and DS risk 50.79% per SCN1A-Epilepsy Prediction Model [12].

Structure of SCN1A
Scn1a
Nav1.1 comprises four transmembrane domains, DI-DIV (each composed of six transmembrane segments, S1-S6), connected by cytoplasmic loops. S5 and S6, and the extracellular tail linking them, form the pore, while S4 is the voltage-sensor [1]. From SCN1A mutation database, https://scn1a.caae.org.cn/. 
Case 2

ID: 7-year-old female, family history of febrile seizures

Epilepsy: Hemi-clonic seizures with onset at 6 months, occurring generally with but sometimes without fever, and complicated by recurrent status epilepticus. EEG was normal at 14 months. Seizures became controlled at 3 with maximized clobazam, phenobarbital, and valproate. Seizures wortsened at 3.5 years but have remained controlled for four years with the addition of stiripentol. Repeat EEGs demonstrated background slowing.

Neurological assessment: Notable for progressive ataxia, spastic gait, and sensorineural hearing loss. She is non-dysmorphic. MRI demonstrated a small left hippocampus with subtle T2 hyperintensity. She has moderate GDD.

Genetics: Homozygous previously reported pathogenic variant in SCN1A, c.4970G>A, (p.Arg1657His). Her parents and brother are hetrozygous and have a history of simple febrile seizures, but no other features of Dravet syndrome; she did recieve a diagnopsis of DS. The SCN1A-Epilepsy Prediction Model gave a risk of DS of 79.75% [12].

SCN1A epilepsy prediction model
Figure 2
Epilepsy prediction model reports for Case 1 (50.79% likelihood DS versus GEFS+) and Case 2 (79.75% likelihood DS versus GEFS+), demonstrating the predicted pathogenicity of both variants [12].
Literature review
Collected Cases Part 1
Collected Cases Part 2
Collected Cases Part 3

Result: 18  biallelic SCN1A variants with epilepsy

Diagnosis: 9/18 (50%) DS, 6/18 (33%) GEFS+, 3/18 (17%) afebrile epilepsy and GDD.

Seizures: 15/18 (83%) febrile, 9/18 (50%) status epilepticus, 14/18 (78%) BTC, 6/18 (33%) myoclonic.

Seizure onset: 3 – 19 months (mean = 7.3)

Treatment: 7/18 (39%) controlled on one antiseizure medication (ASM), 10/18 (56%) multiple ASMs, 1/18 (6%) untreated. 7/9 (78%) successful polypharmcy included valproate, 5/9 (56%) clobazam, 4/9 (44%) levetiracetam, and 4/9 (44%) topiramate. 

Development: 5/18 (28%) normal,13/18 (72%) delayed. 2/18 ASD. 11/18 (61%) motor dysfunction.

Variants: 3/4 (75%) with variants in the pore-forming domain had DS, as well as 2/2 patients (100%) with variants in other transmembrane segments, compared to 3/7 intracytoplasmic variants (43%), and 1/5 variants (20%)  in the S5-S6 linker.

Conclusion

1. Presentations of bi-allelic SCN1A-related epilepsy are varied, ranging from intact to normal development with easily controlled to refractory seizures. Many but not all cases evoke DS or GEFS+. 

2. There may be worse clinical outcomes for truncating than missense variants and for variants in the pore/voltage sensor domains than others.

3. Valproate and clobazam may be effective. 

References
Img logo 273x140

Novel pipeline for triage of variant of uncertain significance reclassification in epilepsy genomics

Alexander Freibauer

Wajd Alotaibi

Maria Vas

Kira Burke

Cyrus Boelman

1

Rationale​

  • Increased availability of genetic testing has led to the burden of follow-up of variants of uncertain significance (VUS). 
  • As of April 2025, VUSs were identified in 43% (n = 410) of patients at British Columbia Children’s Hospital (BCCH) who underwent whole-exome sequencing (WES) for epilepsy​. 
  • Patients with VUSs have continued diagnostic uncertainty and require additional follow-up to attempt to reclassify their variants.
  • Franklin1 is an online platform that predicts genetic variant classification based on the American College of Medical Genetics and Genomics (ACMG) guidelines2. 
Methods
Methoooods
Franklin Platform
00
01
02
Table 1. Suggested Reclassifications for Preliminary Data Collection Patients. 
04
Conclusions and Next Steps​
  • As an initial screening tool, Franklin could help expedite the reclassification of VUSs identified through WES and improve diagnostic certainty of patients with epilepsy at BCCH.
  • Proposed timeline: a research assistant could screen patients who haven’t received a diagnosis 1 year after undergoing WES and enter variants to see if there are changes
    • Research assistant could then notify the clinical team​

References​

  1. https://franklin.genoox.com/clinical-db/home​
  2. Richards, S., Aziz, N., Bale, S., Bik, D., Das, S., Gastier-Foster, J., Grody, W., Hedge, M., Lyon, E., Spector, E., Voelkerding, K., & Rehm, H. (2015). ACMG guidelines for variant interpretation and Classification. ACMG. https://www.acmg.net/docs/standards_guidelines_for_the_interpretation_of_sequence_variants.pdf

Img logo 273x140

A review of a twenty-seven year experience with the Ketogenic diet: lessons learned and moving forward

Heather Davies

Sarah Zlotnick

Ken Myers

Muhc logo
Background
Although the history of the ketogenic diet dates back centuries, with the advancement of anti-seizure medications, the use of the diet for epilepsy declined. It was not until the early 1990s that there was a resurgence of the diet as an adjunct therapy to anti-seizure medication. In 1998, the Montreal Children’s Hospital introduced the ketogenic diet to a child with drug resistant epilepsy. Shortly after, a presentation of the ketogenic diet at hospital Grand Rounds met much skepticism. However, over time the diet has developed into a well-established treatment option for children with drug resistant epilepsy. Two hundred children have since utilized the diet at the Montreal Children’s Hospital.
Image0
Methods
A review of patient files since the initiation of the program was undertaken. Data was extracted regarding adverse effects, common errors in both hospital and home setting, risks for unfavorable outcomes and parental concerns.
 
Results
The development of a rigorous protocol has reduced potential adverse effects, inadvertent complications from errors have improved and parent satisfaction enhanced.
Protocol

ALERT

Contra-indication for use of Ketogenic Diet; fatty acid oxidation deficiencies; pyruvate carboxylase deficiency and other gluconeogenesis defects; glycogen storage diseases (except type 2); porphyria; prolonged QT syndrome; liver, kidney or pancreatic insufficiency; hyperinsulinism;  ketolysis and ketogenesis defects 

Introduction of the Ketogenic Diet

An admission of 4 to 5 days is required for the introduction of the ketogenic diet. During the admission parents will be involved with education involving meal preparation, monitoring of urine ketosis and blood glucose as well learning to navigate potential adverse effects.

The most common adverse effects on admission are nausea and vomiting, hypoglycemia and metabolic acidosis. The nausea and vomiting may occur on day 2 post introduction of the KD and this is most likely related to the rapid onset of ketosis. Blood gas (capillary) is monitored daily. Hypoglycemia may also occur and is usually transient and resolves within the first 3 to 4 days. Serum glucose is monitored q6hours.  Metabolic acidosis can occur on day 3 -4 and usually resolves, with treatment, bicarbonate supplement, one to two months post introduction of KD.   

Serum Ketones: Beta-hydroxybutyrate levels are monitored bid. Ideal Beta-Hydroxybutyrate level is between 2mmol/L to 4mmol/L.

ECG: An ECG is required during admission if not completed prior to admission. Cardiology should be consulted for any abnormalities. Selenium deficit is a potential complication of the ketogenic diet and associated risk for cardiomyopathy.

MEDICATIONS (if necessary):

ALERT
Elixir medications, chew tabs and enteric coated tablets should be avoided given their high glucose content. This includes antibiotics, analgesics, antihistamines and antiepileptic medications
Consult pharmacist for an assessment of carbohydrate content of all medications prior to initiating KD. This includes antibiotics, analgesics, antihistamines and antiepileptic medications. 
 
Protocol 
Potential Complications

Acute loss of Ketosis:

If there is an abrupt loss of ketosis, there is a risk for increased seizures. This may occur if the child receives an intravenous infusion with Dextrose, if the child receives a medication that contains glucose and/or if the child eats food products that contain large qualities of glucose.

 

Action: Verify serum ketones by measuring Beta-Hydroxybutyrate. Resumption of Ketogenic Diet protocol as soon as possible.

 

Hyperketosis:

Hyperketosis can occur during fasting, or with initiation of Ketogenic Diet. Nausea, vomiting, lethargy, tachycardia may occur.

 

Action: Verify serum ketones by measuring Beta-Hydroxybutyrate, or if available, using ketone-sticks and glucometer supplied by family. Treat with 30 cc orange juice PT/PO. If child unable to tolerate PO/PT insert IV and give 50cc D5W. Repeat after 20 minutes. Keep IV insitu with NS infusion for 24 hours until nausea and vomiting subside. Continue to monitor Beta-Hydroxybutyrate every 6 hours for 48 hours. If hyperketosis persists, Ketogenic Diet ratio should be modified.  

 
ALERT
Beta-Hydroxybutyrate levels should be between 2mmol/L and 4mmo/L. For children with Glut-1 Deficiency or pyruvate dehydrogenase deficiency, Beta-Hydroxybutyrate level should be between 2 mmol/L and 3 mmol/L. Children in PICU for status epilepticus, Beta-Hydroxybutyrate can be up to 7mmol/l as long hyperketosis tolerated   


Hypoglycemia

Hypoglycemia, serum glucose less than 2.8 mmol/L, may occur when fasting or at the initiation of the Ketogenic Diet. This may result in nausea, vomiting and lethargy.

 

Action: On these occasions (fasting, initiation of Ketogenic Diet) serum glucose should be monitored every 6 hours. If serum glucose, less than 2.8 mmol/L give 30cc orange juice PO/PT or 50 ml Dextrose IV. Repeat serum glucose after 20 minutes. If hypoglycemia persists, Ketogenic Diet ratio should be decreased.

Protocol 
 

Metabolic Acidosis:

Metabolic Acidosis may occur with the introduction of the Ketogenic Diet. This may result in decreased PO intake, vomiting, lethargy.

 

Action: If the serum bicarbonate level is less than 18 mmol/L then consult nephrology protocol (in Addendum 1) and a bicarbonate supplement is usually prescribed. If despite bicarbonate supplement, metabolic acidosis persists, consult nephrology.

 

Selenium Deficiency:

Selenium deficiency may lead to cardiomyopathy.

 

Action: Prior to the introduction of the Ketogenic Diet and for the duration of the ketogenic Diet, an ECG should be completed, and then yearly thereafter. Selenium levels should be monitored, and supplementation given as needed. Selenium levels every done every 6 to 12 months. 

 
ALERT
There are three formulas available for the Ketogenic Diet. All require RAMQ or Private insurance approval:

Ketocal DIN 99113792 (all flavours), Chocolate DIN: 99113796, Vanilla 99113797, non-flavoured DIN 99114005
Ketovie:DIN 99114030
Ketovie Peptide: DIN 99113949

Ketovie and Ketovie Peptide plant based proteins and are Kosher

Fractures: Children who are non-ambulatory are at an increased risk for fractures

 

Action: phosphate, calcium and vitamin D levels. Consult Bone Health Clinic at the Shriner’s Hospital.
 

Conclusion
This poster demonstrates how an interdisciplinary approach for a ketogenic diet protocol, involving an advanced Practice Nurse, nutritionist, neurologist and parent, resulted in improved care.
Img logo 273x140

Ketogenic diet for medication refractory infantile spasms in patients with Down syndrome: experience at the Children’s Hospital of Eastern Ontario

Maria-Jose Villegas

Julie Murray

Erick Sell

Cheo logo
Background
Ketogenic diet can be an effective alternative therapy for medication refractory infantile spasms. Infantile spasms are more prevalent in children with Down syndrome, with a reported prevalence of 3%, and often refractory.
Methods
Charts of infants who presented to the Children’s Hospital of Eastern Ontario with Down syndrome and infantile spasms treated from 2010 to 2025 were reviewed. Clinical response defined by cessation of epileptic spasms and resolution of hypsarrhythmia. Ketogenic Diet side effects, concomitant medications, and diagnostic tests and follow up time were compared between those who responded to medications and those who transitioned to ketogenic diet added on.
Table1
The ketogenic diet:
What is a ketogenic diet 2241628 final3 5b364771c9e77c00374825f0 Noun slideshow grey 1175 1 default Keto products 1024x505
Credit: Verywell / Emily Roberts (2023)

Results

Out of 11 patients with Downs Syndrome and infantile spasms, 5 infants were treated with a ketogenic diet due to lack of clinical electroclinical response to anticonvulsants.

Patients were followed for an average of 6.5yrs (1- 15 yr). Of 6 patients who responded to medications, only one later developed refractory focal epilepsy.

Of those treated with a ketogenic diet, all remained but 1 remained on medications. 2/5 had full electroclinical response. Partial seizure reduction and electrographic improvement was observed in 1 infant. 1 patient died due to unrelated respiratory illness. None remained seizure free at >5 year follow up.

One patient had an exome sequence analysis searching for independent causes of refractory epilepsy but did not identify a pathogenic variant.

Most common side effects associated to the diet where: gastroesophageal reflux and diet tolerance at initiation required diet to be delivered via G-tube in 1 patient and by NG tube in 3 patients to avoid risk of aspiration.

Conclusion

In this small cohort of patients, almost half were medication refractory and of those ketogenic diet therapy at least partially effective in the majority.

No clear distinction on age at seizure onset, medications used, or MRI findings appear to correlate with lack of medication response.

Ketogenic diet is a viable potentially effective therapeutic option for infants with Down syndrome and medication refractory infantile spasms. These infants present challenges inherent to Down syndrome such as hypotonia, higher risk for aspiration which need to be considered before diet introduction.

Img logo 273x140

Exome-based testing for seizure indications captures a broader range of diagnostic genes and more diagnostic variants than provincially-funded epilepsy panels

Michelle Morrow

Melanie Napier

Shannon O'Higgins

Sarah Waltho

Kirsty McWalter

Blue logo 1200x417  1
BACKGROUND
A majority of unexplained epilepsy cases, those not attributed to an acquired etiology such as trauma, infection or stroke, are assumed to have an underlying genetic cause.

Ontario and other Canadian provinces fund multi-gene sequencing panels as the initial genetic testing approach for patients with unexplained epilepsy.

Evidence-based pracice guidelines issued by the US-based National Society for Genetic Counselors, which are endorsed by the American Epilepsy Society, strongly recommend genetic testing for all individuals with unexplained epilepsy, without limitation of age. 
  • Exome sequencing is conditionally recommended over multi-gene panels due to higher diagnostic yield
We explored the theoretical improvements in diagnostic yield when selecting exome sequencing over provinically-funded panels (PFPs) for the indication of seizures.




 
METHODS
From over 16,400 exome tests performed for individuals for whom the clinical indication included seizures, we identified 3338 diagnostic cases. 
From the 3338 exome-diagnosed cases, we idenitified 3400 diagnostic varaints in 735 exome-identified seizure genes. 
We compared the list of exome-diagnosed cases and exome-identified seizure genes to the genes included on two PFPs (190 genes and 474 genes) to determine which exome-identified cases and exome-identified seizure genes would have been captured by the PFPs.
RESULTS
Figure 1
Figure 2


Of 735 exome-identified seizure genes:
  • 131 genes were present on the 190 gene panel (PFP1)
    • 18% of exome-identified seizure genes are included on the panel
  • 259 genes were present on the 474 gene panel (PFP2)
    • 35% of exome-identified seizure genes are included on the panel
  • 278 genes were present if PRP1+PFP2 were combined
    • 38% of exome-identified seizure genes are included on the panel
Of 3338 exome-diagnosed cases:
  • PFP1 would have missed 2145/3338 (64%) of cases
    •  Only 36% of exome-diagnosed cases would have been identified with this panel
  • PFP2 would have missed 1506/3338 (45%) of cases
    • Only 55% of exome-diagnosed cases would have been identified with this panel
  • PFP1 and PFP2, combined, would have missed 1421/3338 (43%) of cases
    • Only 57% exome-diagnosed cases would have been identified if both panels were ordered

 
CONCLUSIONS & SUMMARY
Exome sequencing has the ability to identify a broader range of genes associated with epilepsy than PFPs
  • Between 65-82% of the exome-identified seizure genes are not included on PFPs

When PFPs are selected as the only testing methodology for genetic diagnosis of seizures, individuals who have an underlying genetic cause will go undiagnosed
  • Between 45-64% of our exome-diagnosed cases would not have recieved a genetic diagnosis if PFPs were the only testing ordered

Adopting exome sequencing over panels as a first-line genetic test may lead to improved diagnostic rates and permit precision treatment earlier for individuals with seizures.
Img logo 273x140

Exploring emergency department visits in adolescents with epilepsy and mild intellectual disabilities (MID)

Sarah Healy

Iris Lasker

Katherine Muir

Cheo logo
Background
  • In Canada, epilepsy is considered to be an Ambulatory Care Sensitive Condition (ACSC). 
  • When there is appropriate management of these ACSC conditions through outpatient care, ED visits can be eliminated or reduced.
  • When there are a large number of ED visits for these conditions, it is an indication that these individuals may not be receiving the appropriate support to manage their condition.
  • In Canada, individuals with intellectual disabilities (ID) make up approximately 25% of the epilepsy population.
  • Despite making up only a small portion of the population, adult hospitalization data in Canada shows that individuals with ID are significantly more likely to be seen in the ED, be hospitalized, and to die as a result of epilepsy and epilepsy complications, than individuals with typical cognitive development.
  • However, data looking at ED visits in adolescents with epilepsy and varying cognitive ability is limited.
Methods

To address this, a retrospective chart review of 122 adolescents (42 MID and 80 typical cognitive development) with epilepsy between the ages of 14 and 18, was done.

 

MID: ED visit over 1 year (n=10)

MID: no ED visit over 1 year (n=32)

Typical: ED visit over 1 year (n=47)

Typical: No ED visit over 1 year (n=33)

Sex

Males

20.0%

81.3%

42.6%

45.5%

 

Females

80.0%

18.8%

57.4%

54.55

Age of seizure onset (years)

4.53 years

6.21 years

10.24 years

10.52 years

Seizure type

Focal

50.0%

50.0%

42.6%

21.2%

 

Generalized

40.0%

25.0%

44.7%

45.5%

 

Both

10.0%

21.9%

10.6%

27.3%

 

Unknown

0.0%

3.1%

2.1%

6.1%

# of AMS

0

0%

16.1%

2.1%%

6.1%

 

1

60.0%

38.7%

61.7%

54.5%

 

2

20.0%

29.0%

27.7%

33.3%

 

3

20.0%

16.1%

8.5%

6.1%

Seizure Frequency

Daily

0.0%

3.1%

14.9%

6.1%

 

Weekly

0.0%

9.4%

2.1%

3.0%

 

Monthly

0.0%

0.0%

8.5%

3.0%

 

Less often

100%

87.5%

68.1%

81.8%

 

Unknown

0.0%

0.0%

6.4%

6.0%

Results
   

MID: ED visit over 1 year (n=10)

MID: no ED over 1 year visit (n=32)

Typical: ED visit over 1 year (n=47)

Typical: No ED visit over 1 year (n=33)

Age at ED Visit

16.62

N/A

15.95

N/A

Length ED visit (Hours)

21.41

N/A

4.73

N/A

Reason for visit

Seizure

90.0%

N/A

46.8%

N/A

 

Injury

10.0%

N/A

4.3%

N/A

 

Medication

0.0%

N/A

6.4%

N/A

 

Fear

0.0%

N/A

8.5%

N/A

 

Other (not sz related)

0.0%

N/A

29.8%

N/A

ED Visits (last 3 years)

2.60

1.09

4.17

1.12

ED seizure visits (last 3 years)

1.40

0.22

2.02

0.53

  • Results showed that adolescents with typical cognitive development were significantly more likely to have more ED visits (p=.006), and seizure-related ED visits (p=.008) over a three-year period, than adolescents with MID
  • Adolescents with MID had significantly longer ED visits than adolescents with typical cognitive development (p=.023)
  • Looking specifically at adolescents with MID, females were significantly more likely to present to the ED than males (p<.001). 
Discussion
  • Results suggest that ED visits and the frequency of ED visits differ among adolescents with typical cognitive development and adolescents with MID
  • Results also suggest that ED visit frequencies differ among adults and adolescents with ID
  • These findings suggest the presence of unique protective factors for adolescents with MID. 
  • Specifically, we hypothesize that adolescents with MID may experience a protective effect from the presence of their caregivers, as they may have fewer responsibilities related to managing their own care.
  • Additionally, we hypothesize that the higher ED visits among females may reflect the increased demands placed on them, compared to males, to manage their health independently.  
Next Steps
  • Look at ED visits in all adolescents with epilepsy (including those with moderate-to-severe cognitive impairment) who were seen in the CHEO neurology outpatient clinic over a one-year period.
  • Look more closely at the reasons for ED visits
  • Look at risk and protective factors for ED visits in adolescents with epilepsy
  • Look at ED visits in adults who have recently transitioned to adult care (age 18-25), focusing on the frequency of visits by cognitive ability within this population. 

 
Screen shot 2025 05 29 at 12.47.02 pm
References
  • Balogh, R., Brownell, M., Ouellette‐Kuntz, H., & Colantonio, A. (2010).  Journal of Intellectual Disability Research, 54(9), 820-832. https://doi-org.proxy.bib.uottawa.ca/10.1111/j.1365-2788.2010.01311.x  
  • Canadian Institute for Health Information. (2023, November 23). Ambulatory care sensitive conditions. CIHI. Retrieved June 17, 2024, from https://www.cihi.ca/en/indicators/ambulatory-care-sensitive-conditions
  • Liao, P., Vajdic, C. M., Reppermund, S., Cvejic, R. C., Watkins, T. R., Srasuebkul, P., & Trollor, J. (2022). PLoS ONE, 17(8), e0272439.
  • Lindgren, S., Lauer, E., Momany, E., Cope, T., Royer, J., Cogan, L., McDermott, S., & Armour, B. S. (2021). The Journal of Pediatrics, 229, 259-266. https://doi.org/10.1016/j.jpeds.2020.08.084 http://dx.doi.org.proxy.bib.uottawa.ca/10.1371/journal.pone.0272439
Img logo 273x140

Pediatric status dystonicus: 10-year experience at a single tertiary children’s hospital

Dakota Peacock

Keshvi Vithlani

Grace Clarke

Mona Patel

Gabriella Horvath

Bcch logo
INTRODUCTION
  • Dystonia is a hyperkinetic movement disorder with abnormal extension and twisting movements
  • Status dystonicus is a movement disorder emergency characterized by severe episodes of generalized or focal hyperkinetic movement disorders that necessitates urgent hospital admission because of life-threatening complications regardless of the patient’s neurological condition at baseline.

Common etiologies:

Genetic variants
Inborn errors of metabolism

Remote acquired brain injury

Unknown

Clinical presentation:

Gradual worsening of baseline dystonia over days/weeks, often with an identified trigger

 

The challenge:

  • Heterogenous etiologies
  • Heterogenous presentations
  • Lack of objective measures
  • High risk of mortality
  • Paucity of evidence guiding treatment
Video 1. Typical clinical presentation of status dystonicus in a patient with UBA5-related disorder (PMID 37130202)
Thumb sd evolution video Noun video grey
OBJECTIVE
  1. To characterize cases, management, and outcomes of status dystonicus in BC
  2. To provide foundational data to ground clinical practice guidelines
METHODS
1.Case selection
  • Case identification:
    • PICU admission ICD-10 code query
    • Manual retrieval of charts known to our clinical service with complex dystonia
  • Inclusion criteria
    • Admitted to PICU between 2014-2024
    • Dystonia severity grade ≥3 during PICU admission
    • Dystonia  worse than baseline
    • Age ≥30 days old or PMA ≥44 weeks
  • Exclusion criteria
    • Dystonia primarily due to paroxysmal sympathetic hyperactivity

2. Clinical data collection

  • Manual chart review to determine:
    • Demographics, underlying cause of dystonia, maximum dystonia severity, trigger for status dystonicus, medications used, complications, outcome

3. Understand personal experiences with status dystonicus

  • Distributed survey to attending physicians at BC Children’s Hospital
  • Interviewed families of children with status dystonicus
Figure 1. Dystonia severity score
Figure 1. dsas
RESULTS

Figure 2. Flow diagram of included and excluded participants

Figure 2.1   flowchart wide
Table 1. Demographics and clinical characteristics of children with pre-status dystonicus and status dystonicus admitted to the PICU
Table 1.2   wide
Figure 3. Incidence of anti-dystonia medications used in at least two patients in the pediatric intensive care unit for patients admitted with status dystonicus, and how often the treating physician highlighted the drug as effective. Medications include those that are classically considered dystonia-specific or if the clinical notes stated the medication was used specifically for treatment of dystonia.
Figure 3   medication choice
Outcomes:
  • Average duration of PICU admission: 11.0 ± 10.8 days 
  • Emergency DBS placed in 2 admissions
  • Complications in PICU were documented in 14 (34%) of cases. Most common were ventilatory failure in 6 (15%) cases, and infection and rhabdomyolysis each in 5 (12%) cases
  • Two patients died during hospitalization
CONCLUSION
  • Status dystonicus is a life-threatening emergency commonly triggered by pain and infection in patients with dystonia.
  • Given the considerable morbidity and mortality, multi-disciplinary teams should consider standardized treatment guidelines for these complex patients
Img logo 273x140

MOXIe clinical trial overview of omaveloxolone for patients with Friedreich ataxia

Christine Escamilla

Veronica Lubkov

Robert Jaramillo

Cnsf2025 moxieoverview qrcode
Background
  • Friedreich ataxia (FA) is a rare, progressive, autosomal recessive, neurodegenerative disorder that affects approximately 15,000 people globally1
  • In patients with FA, decreases in frataxin protein result in an increased sensitivity of cells to oxidative stress, which clinically manifests as loss of coordination, movement difficulties, and premature death2
  • The Nrf2 pathway is downregulated in patients with FA, contributing to further mitochondrial impairment and oxidative damage3
Objectives
  • The efficacy and safety of omaveloxolone, a novel Nrf2 activator, were examined in the MOXIe clinical trial (NCT02255435, EudraCT2015-002762-23) and post hoc analyses4-7
  • Here, we present the efficacy and safety data for omaveloxolone in patients with FA from the MOXIe clinical trial and a propensity-matched analysis using data from the MOXIe open-label extension (OLE) study and a natural history cohort (patients not receiving omaveloxolone) from the Friedreich’s Ataxia Clinical Outcome Measures Study (FACOMS)
Conclusions and Implications
  • Patients who received omaveloxolone, in comparison to those who did not receive omaveloxolone, showed significantly stabilized neurological function and slowing of FA progression, as measured by the mFARS
  • Treatment was generally safe and well tolerated
  • Omaveloxolone is currently the only approved treatment for FA in patients aged ≥16 years8

Methods
MOXIe Part 2

  • MOXIe Part 2 (NCT02255435) was an international, multicenter, double-blind, randomized, placebo-controlled, registrational, parallel-group, phase 2 trial to evaluate the safety and efficacy of omaveloxolone 150 mg/day taken orally in patients with FA (Figure 1)5,6

Figure 1. MOXIe Part 2 Study Design5

Cnsf2025 moxieoverview figure 1 30may2025 Noun slideshow grey Cnsf2025 moxieoverview supplementalfigure1

MOXIe Part 2 (continued)

  • The primary outcome measured was change from baseline in mFARS score9-12 (Supplemental Figure 1) after 48 weeks of treatment5
    • The change from baseline in mFARS and p value was estimated using mixed models repeated measures analysis
    • Enrollment of patients with severe pes cavus, which was a MOXIe clinical trial classification based on previous studies, as determined by the flashlight test, was limited to 20%; these patients were excluded from the predetermined primary analysis population (i.e., FAS) for the primary endpoint
    • Safety analyses included all patients in the all randomized population (ARP), which included those with severe pes cavus
  • On completion of MOXIe Part 2, patients could roll over into an open-label extension

Propensity-Matched Analysis

  • A post hoc propensity-matched analysis compared patients treated with omaveloxolone (MOXIe OLE) with those not treated with omaveloxolone (FACOMS) over 3 years (Figure 2)
    • Patients from the MOXIe OLE were matched 1:1 to patients enrolled in the FACOMS natural history study using logistic regression to estimate propensity scores
    • Change from baseline in mFARS score at Year 3 was analyzed as the primary efficacy endpoint, using a mixed model for repeated measures analysis, and compared between the MOXIe extension patients and matched FACOMS patients

Figure 2. Propensity Analysis Design7

Cnsf2025 moxieoverview figure 2

Results

Baseline Characteristics

Cnsf2025 moxieoverview supplementaltable1 link Noun slideshow grey Cnsf2025 moxieoverview supplementaltable1

Efficacy

  • Treatment with omaveloxolone significantly improved mFARS scores relative to placebo at Week 48, resulting in a difference of −2.41 points for the FAS (n=82; p=0.01) and −1.94 points for ARP (n=103; p=0.03) (Figure 3)
  • Improvement in mFARS scores with omaveloxolone versus placebo was observed in the subgroups analyzed; however, the study was not powered to test for significant differences in mFARS scores between subgroups (Supplemental Figure 2)

Figure 3. Change From Baseline in mFARS Scores in the FAS and ARP at Week 48

Cnsf2025 moxieoverview figure 3 Noun slideshow grey Cnsf2025 moxieoverview supplementalfigure2

Safety

  • Most adverse events (AEs) were mild to moderate in severity
  • Four patients (8%) in the omaveloxolone group and 2 patients (4%) in the placebo group discontinued treatment because of AEs
  • The most common AEs in patients who received omaveloxolone versus placebo were elevated liver enzyme (AST and ALT) levels, headache, nausea, abdominal pain, fatigue, diarrhea, and musculoskeletal pain (Table 1)
  • Five omaveloxolone-treated patients (10%) and 3 placebo-treated patients (6%) had serious AEs
  • No cases of concomitant elevation of transaminase and total bilirubin levels were observed; maximum increases in ALT and AST levels occurred within 12 weeks and tended to decrease thereafter
  • A summary of AEs in the MOXIe OLE is presented in Supplemental Table 2
  • Transient and reversible changes in ALT and AST levels were observed with omaveloxolone and were not associated with total bilirubin (TBL) increases (Figure 4)5,13,14

Safety (continued)

  • Small, reversible increases in B-type natriuretic peptide (BNP) and low-density lipoprotein levels, and decreases in high-density lipoprotein levels, were also observed (Figure 4)

Table 1. Summary of Treatment-Emergent AEs in MOXIe Part 2 (All Patients)13

Cnsf2025 moxieoverview table 1 30may2025 Noun slideshow grey Cnsf2025 moxieoverview supplementaltable2

Figure 4. Mean (SE) Change From Baseline in Liver Enzyme (ALT and AST), Total Bilirubin, BNP, and Serum Lipid Levels Over Timea

Cnsf2025 moxieoverview figure 4

Propensity-Matched Analysis

  • In a post hoc propensity-matched analysis, at Year 3, patients not treated with omaveloxolone in the FACOMS matched set progressed by 6.337 points, whereas patients treated with omaveloxolone in the MOXIe OLE progressed by 2.983 points (difference = −3.354; nominal p=0.0002) (Figure 5)15

Figure 5. Change in mFARS Scores From Baseline Over Time in the Post Hoc FACOMS Propensity-Matched Analysis

Cnsf2025 moxieoverview figure 5
Abbreviations, References and Disclosures

Copyright ©2025 Biogen Inc. All rights reserved

Img logo 273x140

Transcranial doppler use in pediatric endovascular thrombectomy post large vessel obstruction secondary to infective endocarditis

Mark Grinberg

Sameera Hassan

Brian Van Adel

Mihir Bhatt

Brian Hummel

Kevin Jones

Octavio Netto

Marina Mir

M24 col
Background
  • Endovascular thrombectomy (EVT) is an accepted and effective intervention for large vessel occlusion (LVO) in adults1,2 but it is not standardized in the pediatric population3-5
  • Can be considered within 6 hours on a case-by-case basis3-5
  • Transcranial doppler ultrasound (TCD) in a pediatric neurocritical setting can determine cerebral hemodynamics by assessing the blood flow velocity in main cerebral arteries6-8
  • In large vessel occlusions that require endovascular thrombectomy, TCD can monitor recanalization and arterial re-occlusion6-8
Case Presentation
  • Previously healthy 13-year-old girl with acute onset left sided facial droop and left sided hemibody weakness
  • Imaging established right M1 middle cerebral artery occlusion
  • EVT done at 6 hours after symptoms onset
  • Echocardiogram and blood cultures established Streptococcus Salivarius infective endocarditis (IE)
  • Further complications in dissecting pseudoaneurysm, progressive vessel stenosis, and two mycotic aneurysms requiring vessel sacrifice
  • Follow up TCDs done at 4, 8, and 24 hours showed stable peak systolic velocities (PSV) on the narrowing of right M1 ranging from 245 to 270 cm/s with stable pre-stenotic PSV around 110 cm/s, indicating focal and stable narrowing of M1 without reocclusion
  • No high transient signals (HITS) were identified on sub 10 minute TCDs 
  • Significant recovery with only mild deficits on follow up

Figure 1: Notable Imaging Findings

 

Figure 1  imaging
Figure 2: Transcranial Doppler Ultrasound
 
Figure 2
Right M1 imaging TCD performed after EVT procedure. Above, waveform corresponding to the prestenotic M1; below, waveform corresponding to the stenotic M1. This case corresponds to a TIBI Grade 4: Stenotic as per the Thrombolysis in Brain Ischemia (TIBI) scale9
Discussion
  • LVO in the pediatric population, while rare (0.24 per 100,000 children annually), can have severe outcomes and long-lasting morbidity10-11
  • While guidelines on pediatric EVT is limited, our patient demonstrated that EVT can be a successful technique
  • TCD can be an effective tool in a pediatric neurocritical setting in guiding initial recanalization after EVT and monitoring for arterial reocclusion, HITS, and hyperperfusion
  • TCD monitoring can decrease the amount of radiation exposure via CTA
  • Additional consideration was made for administration of anticoagulant and antiplatelet agents as IE is associated with increased risk of intracranial hemorrhage with the use of thrombolytic therapy12
References
Img logo 273x140

A proposed protocol for treatment of acute necrotizing encephalopathy of childhood at Stollery Children's Hospital

Gabrielle Herman

Catherine Sheppard

Janelle Trombley

Gurpreet Khaira

Colin Wilbur

Screenshot 2025 06 05 at 8.51.11 pm
Screenshot 2025 06 02 at 2.50.26 pm Noun slideshow grey Screenshot 2025 06 02 at 8.39.13 pm Screenshot 2025 06 05 at 7.45.41 pm
Background & Aims
Acute Necrotizing Encephalopathy of Childhood is an illness characterized by rapidly progressive encephalopathy, typically associated with a precipitating viral illness.
  • Characterized by symmetric multifocal lesions involving the deep grey matter (usually thalamus). 
  • Morbidity and mortality as high as 50%
  • Thought to be secondary to “cytokine storm”; literature finds elevated interleukins (IL-6, IL-8, IL-10, interferon-α) in CSF and serum of patients with ANEC
  • There is a genetic form of autosomal dominant ANE; RANBP2 mutation. No proposed mechanism/pathway exists for same
The biggest determinant of patient outcome is rapid recognition and immunomodulatory treatment. 

In response to several cases at Stollery Children's Hospital in Edmonton, AB, we developed a protocol based on expert opinion and stakeholder input to help expedite workup and treatment of patients. 
 
Methods
A rapid literature review was conducted. Studies included were meta-analyses, case series, and expert consensus guidelines. Individual case reports were excluded. We identified interventions which have been used, and selected those with evidence or expert support for use in a protocol. No evidence was strong enough to truly "protocolize" treatment, and as such a set of guidelines was instead reviewed with stakeholders in pediatric neurology and PICU.
Results
Features that raise suspicion
  1. Onset 1-5 days after initial infectious symptoms
  2. Seizure
  3. Known viral respiratory infection, especially Influenza A, especially if no flu vaccination 
  4. Elevated transaminases in absence of hyperammonemia or other evidence of liver dysfunction
  5. Thrombocytopenia
  6. Family history of ANEC or other episodic encephalopathy with illness
  7. Age <= 5
Initial Investigations
  • Neuroimaging: CT can be initially normal, MRI for higher confidence. 
  • CSF: Expected to show normal cells, normal glucose, normal to mildly-elevated protein
  • Full septic workup
  • CBC, LFTs, CRP, lactate, ferritin, ammonia, glucose, electrolytes, INR, PTT
Monitoring and bloodwork recommendations: acute phase
  • Requires close observation level of care (or more) for minimum first 48 hours after presentation
  • Trend liver enzymes, coags, ammonia
  • Monitor and maintain normal sodium and euglycemia
  • Consider EEG if clinically indicated
Acute treatments in literature:
  • All patients with encephalopathy and fever, should receive empiric antimicrobial coverage (ceftriaxone, acyclovir)

Treatment

Notes

High-dose methylprednisolone (30mg/kg) x5 days

Established evidence. Administration within 24 hours of presentation associated with improved morbidity/mortality.

IV Immunoglobulins

Commonly used adjunctive therapy

Plasmapheresis

Often used in cases with ongoing deterioration, failure to plateau within 2-3 days

Tocilizumab

IL-6 monoclonal antibody; thought to target underlying pathophysiology. Promising in small case series


Follow-up
  • Rehabilitation services and neurology for assessment of recovery, management of complications
  • With infectious diseases for consideration of Tamiflu
    • Recommend annual inactivated flu vaccine (i.e. not nasal spray)
  • Outpatient MRI after 3-6 months
  • Genetic testing for RANBP2 vs. WES
Future Directions and Limitations
  • Literature is very limited; many case reports but very few case series. One meta-analysis exists that only includes series, does not record detailed outcome data. 
  • As such, protocol became more in keeping with a set of "guidelines" based primarily on expert opinion
  • Future work includes a potential formal meta-analysis which includes individual case reports, may allow for evidence-based treatment
  • National pediatric neuroinflammatory registry will begin to collect more thorough/useful data on Canadian patients with ANEC
References
Img logo 273x140

Delay to diagnosis of Duchenne muscular dystrophy

Michel-Andre Rodrigue

Emilie Hill-Smith

Amanda Yaworski

Hugh McMillan

Screenshot 2025 05 28 142909
Introduction:

Duchenne muscular dystrophy (DMD) is a progressive neuromuscular disorder inherited in an X-linked pattern. Pathogenic variants result in the absence of dystrophin, a protein that is essential for muscle fiber integrity.   ​

Due to absent dystrophin, patients present with weakness and gross motor delay. DMD results in the loss of independent ambulation as well as cardiorespiratory complications and premature death.​

DMD patients typically present with painless muscle weakness. As such, their symptoms can potentially be misattributed to a lack of interest or proficiency in sports. This can lead to a delay to diagnosis. Language delays and cognitive difficulties are also common in DMD which also present challenges with its recognition. ​

Early diagnosis and intervention is important to improve motor outcomes.  This is increasingly necessary given the emergence of disease modifying therapies [1].  ​

Methods:

We reviewed all medical records for children with a genetic diagnosis of DMD who were followed at CHEO over 15 years (Jan 1, 2009 to Dec 31, 2023). Data was extracted from medical records into a REDCap data collection form. REB approval was obtained prior to the start of data collection (CHEOREB# 24/43X).​

Inclusion criteria included: 1) genetic diagnosis of DMD; 2) participants must have had an onset of symptoms < 6 years of age and; 3)  received ongoing clinical care at CHEO. Subjects were excluded if there was any family history of DMD (e.g. sibling, uncle) as this may have influenced the recognition of symptoms and time of diagnosis. ​

The results from this single institution will be combined with data from two other centres (BC Children’s Hospital, Bloorview Holland Rehabilitation Hospital) when their data is available. ​


 
Contacts:
Michel-André Rodrigue (mrodrigue@cheo.on.ca)
Hugh McMillan (hmcmillan@cheo.on.ca)
Results:

We identified 72 DMD patients of which, N=49 met inclusion / exclusion criteria. Subjects were excluded for: incomplete data (N=10; e.g. diagnosis at another centre); symptom onset >6 yo (N=4); family history of DMD (N=9).  ​

First symptoms were reported by a parent, caregiver or teacher at a mean age of 2.61 yo (range: 0 to 5.9 yo). The mean age of DMD diagnosis was 5.17 yo (range: 0.5 to 9.6 yo). This represented a mean delay of 2.56 years (range: 0.5 to 6.8 years; Figure 1)​.

Screenshot 2025 05 28 135236
Figure 1. Mean age of symptom onset and DMD diagnosis (years)
We did not observe a difference in delay to diagnosis for patients who received a diagnosis earlier versus later in our cohort (Figure 2). ​
286ac7b5 e2ad 4356 870e a38feafb4faa
Figure 2. Change in delay to diagnosis

Initial symptoms included: weakness (61.2%), sports difficulty (61.2%), calf pseudohypertrophy (10.2%), language difficulties (8.2%) or muscle pain (2.0%; Figure 3). Learning disability was reported in 36 (73.5%) subjects with 7 (14.3%) having autistic spectrum disorder although in most children this was not the reason for DMD diagnostic testing.​

Results:
For 8/49 (16.3%) the diagnosis was suspected after the child was found to have an incidental finding of an abnormal serum CK elevation.​
Symptomchart version3
Figure 3. Frequency of patient-reported symptoms
Discussion:

The mean delay from symptom-onset to diagnosis was 2.56 years after a parent, caregiver or teacher first noted symptoms attributable to potential DMD (i.e. weakness, sports difficulty, etc). ​

Our study reveals a delay to diagnosis that is similar to what has been reported in the United Kingdom [2]. ​

Our findings noted muscle pain to be an infrequent presenting symptom (only 1/49; 2% patients) which we believe may have contributed to the delay in many cases. In 8/49 (16.3%) of cases, the diagnosis of DMD was suspected after serum CK was noted as unexpected finding on a surveillance blood test. ​

References:

 1. Koeks Z et al. Clinical Outcomes in Duchenne Muscular Dystrophy: a Study of 5345 Patients from the TREAT-NMD DMD Global Database. J Neuromuscul Dis 2017;4:293–306.​

2. Ciafaloni E et al. Delayed diagnosis in Duchenne muscular dystrophy: data from the muscular dystrophy surveillance, tracking and research network (MD STARnet). J Pediatr. 2009: 155(3): 380-385.

Img logo 273x140

The value of genetics, biopsy and EMG in diagnosing congenital myopathies and COL6A-related disease

Ella Hui-Rice

Astrid Eisenkölbl

Emilie Hill-Smith

Michel-André Rodrigue

Alberto Aleman

Hanns Lochmüller

Amanda Yaworski

Hugh McMillan

Cheo id p
Background
Congenital myopathies (CM) are a group of rare, hereditary disorders affecting skeletal muscle, with an estimated prevalence of 2.76 (95% CI, 1.34-4.18) per 100,000 children [1]. Clinical symptoms are typically apparent at or shortly after birth and include muscle weakness, hypotonia and delayed motor development.  The main types of CM include: nemaline rod myopathy (NM), congenital fibre type dysproportion (CFTD), centronuclear or myotubular myopathies (MTM) and core myopathies.  Collagenopathies (COL6A-related disease) were included if they had an early-onset, CM-like phenotype.  The diagnosis of CM has shifted from muscle biopsy to genetic testing.  

Objectives: 1) To characterize the proportion of children with a CM-phenotype who had a definite genetic diagnosis; 2) describe the age of symptom onset; 3) evaluate the utility of ancillary testing (including NCS-EMG, muscle biopsy) at identifying a primary disorder of muscle and; 4) describe the utility of genetic testing at securing a definite diagnosis. 

This study aims to provide clinicians with data pertaining to the sensitivity of diagnostic measures at achieving a definite diagnosis. 
Methods
We performed a retrospective chart review of patients followed at CHEO over 15 years (Jan 2008 to Dec 2022), with an early-onset, CM-phenotype deemed to have a final diagnosis of CM or COL6A-related myopathy (by genetics and/or muscle biopsy). 

CHEO REB approval was obtained (#23/63X) prior to initiating data collection.  Anonymyzed data was extracted from electronic and paper medical records and input into REDCap. 
Results
There were 40 patients identified with a confirmed CM or COL6A-related myopathy diagnosis, of which 22/40 (55%) were male and 18/40 (45%) were female.  Most patients presented in early infancy (mean 0.9 years old, range 0-15.9 years old). 
Presenting symptoms:
  • 22 (56.4%) had hypotonia
  • 20 (51.3%) had muscle weakness
  • 22 (56.4%) had feeding difficulties 
  • 17 (43.6%) had respiratory failure at birth
  • 15 (38.5%) had gross motor delay
  • 8 (20.5%) had joint contractures at birth
Diagnoses cm
Figure 1: Proportion of patients (N=40) with CM (by type) or COL6A-related myopathy. Other (N=2) = CAP-myopathy (PLA2G6) or MYH8 myopathy
Testing cm
Figure 2: Patients with CM or COL6A-related myopathy for whom genetic testing, muscle biopsy, NCS/EMG and/or MRI muscle were performed. Dark blue indicates number of patients undergoing that testing modality. Light blue indicates the number of patients for whom that testing modality was positive and supported or confirmed the underlying diagnosis. 
Maximum motor milestones attained:
  • 32 (94.1%) sitting independently
  • 29 (85.3%) standing independently
  • 29 (85.3%) walking independently
Respiratory and nutritional supports (at any age):
  • 25 (64.1%) required respiratory support
  • 25 (64.1%) required feeding support (e.g. NG, G-tube)
Confirmation of diagnosis
Figure 3:  Patients with CM or COL6A-related myopathy diagnosed by genetic testing alone (32%) or by genetic testing and one or more additional testing modalities (biopsy, NCS/EMG and/or MRI muscle).
NCS-EMG
  • 27/40 patients had NCS-EMG performed, for whom 17/27 (63%) had myopathic features evident on concentric needle EMG
MRI muscle:
  • 7/40 patients had MRI muscle performed, for whom 6/7 (86%) had abnormal features supporting a CM or COL6A-related disorder
Conclusion
CMs are a heterogeneous group of early-onset muscle disorders. They are increasingly diagnosed by genetic testing alone or in combination with another testing modality. Genetic testing provided a definite diagnosis for 98% (39/40) of CM or COL6A-myopathy patients at our centre.  One patient had NCS/EMG, MRI muscle and biopsy consistent with CM (nemaline myopathy) for whom no genetic mutation (WGS as trio) was observed. 

Early diagnosis of CM is important at ensuring patients receive timely and appropriate multidisciplinary care. Although genetic testing is now the "gold standard" for diagnosis, other diagnostic tools remain valuable, particularly in cases where variants of unclear significance are identified in an ever-expanding number of genes linked to muscle disease. 
References:
[1] Huang K et al. Front Neurol. 2021. https://doi.org/10.3389/fneur.2021.761636
[2] Ghosh et al. Pediatric Neurol. 2014: 51: 215-219
Img logo 273x140

Safety and Effectiveness of Nipocalimab in Adolescent Participants in the Open Label Phase 2/3 VIBRANCE-MG Clinical Study

Jonathan Strober

Shawn Black

Sindhu Ramchandren

Maria Ait-Tihyaty

Bernie Sattin

Saunder Bernes

Akiyuki Uzawa

Yasuhiro Kimoto

Keiko Ishigaki

Tuan Vu

Dan Huang

Yaowei Zhu

Hong Sun

Background
Background
Figure 1
FcRn=Anti-neonatal Fc receptor; gMG=Generalized myasthenia gravis; IgG=Immunoglobulin.
Objectives
The objectives of the vibrance-mg study are to evaluate the pharmacodynamics (IgG), pharmacokinetics, efficacy, and safety of nipocalimab in pediatric patients with gMG who have an insufficient clinical response to ongoing, stable standard-of-care therapy
  • Here, we have summarized the study results in adolescents (aged 12 to <18 years) through a clinical cutoff of December 15, 2023
Methods
The VIBRANCE-MG (NCT05265273): A global, multi-center, open-label phase 2/3 study of nipocalimab + SOC in children and adolescents with gMG (Figure 1)
Figure 1: Study design
Aanem 2024 vibrance mg poster v2 updated figure 1
Figure legend
  • The VIBRANCE-MG study is on-going, with enrollment open to patients from 2 to <18 years of age
  • Results are presented through the active treatment phase (study Day 1 through Week 24)
Primary Endpoint
-  The effect of nipocalimab on total serum Immunoglobulin G
-  Safety and tolerability
Secondary Endpoints
-  The effect of nipocalimab on:
-  Myasthenia Gravis Activities of Daily Living (MG-ADL) Score
-  Quantitative Myasthenia Gravis (QMG) Score
Results are presented from an analysis of adolescent participants in the ongoing study
Results
Table 1. Demographics and baseline characteristics
Aanem 2024 vibrance mg poster v2 updated shrunk2 table 1
Primary Efficacy Endpoint (Total serum IgG)
  • The analysis for primary endpoint was conducted in the 5 participants who received ≥1 dose of nipocalimab and had ≥1 post-infusion sample evaluable for serum IgG
Figure 2
Aanem 2024 vibrance mg poster v2 updated figure 2
Figure legend
Secondary Efficacy Endpoint: Myasthenia Gravis Activities of Daily Living (MG-ADL)
Figure 3
Aanem 2024 vibrance mg poster v2 updated figure 3
Figure legend
Secondary Efficacy Endpoints: Quantitative Myasthenia Gravis (QMG)
Figure 4
Aanem 2024 vibrance mg poster v2 updated figure 4
Figure legend


ACKNOWLEDGEMENTS
REFERENCES
DISCLOSURES & FUNDING
Primary Safety Endpoint
  • Nipocalimab was generally well-tolerated
  • There were no serious adverse events (SAEs) or adverse events (AEs) leading to discontinuation, or AEs of special interest through Week 24 in the adolescent participants in the VIBRANCE-MG study
Table 2
Aanem 2024 vibrance mg poster v2 updated shrunk table2
Conclusions
  • Primary endpoint (efficacy): Nipocalimab (30 mg/kg loading dose followed by 15 mg/kg Q2W) demonstrated a statistically significant reduction in total IgG at Week 24 in adolescents with gMG
  • Secondary endpoints (efficacy): Clinically meaningful reduction of MG-ADL and QMG scores were observed at Week 4 and maintained through Week 24
  • Primary endpoint (safety): Nipocalimab was well tolerated in adolescents with gMG in the vibrance-mg study
  • These are the first clinical trial data reported with an FcRn blocker in adolescents
Img logo 273x140

A randomized, open-label study on the effect of Nipocalimab on vaccine responses in healthy participants

Marta Cossu

Carolina Bobadilla Mendez

Amanda Jackson

Eugene Myshkin

Grace Liu

Edwin Lam

Ulf Beier

Kathleen Weisel

Brittney Scott

Maria Ait-Tihyaty

Bernie Sattin

Jocelyn Leu

Sheng Gao

Dessislava Dimitrova

Background
Jcn 78296 aanem 2024 poster ppr6 cnsf edits figure1
BACKGROUND INFO
OBJECTIVE
To investigate the effect of nipocalimab on IgG response to T-cell–dependent/independent vaccines (tetanus, diphtheria, pertussis vaccine [Tdap]; pneumococcal polysaccharide vaccine [PPSV®23], respectively) in healthy participants
Methods
Jcn 78296 aanem 2024 poster ppr6 cnsf edits figure2
Study design 
This open-label, parallel, single-site, interventional study randomized participants 1:1 to receive either nipocalimab (active arm) or no drug (control arm; Figure 2)
Assessments 
Assessments included total IgG median percent change from baseline, proportion of participants with a positive IgG response to the tetanus vaccine, change in anti-tetanus (anti-TT) and anti-pneumococcal (anti-PCP) IgG levels over time, and serotype-specific anti-PCP IgG response

 
Results
Study participants
The target population consisted of healthy male and female participants, 18 to 65 years of age (inclusive), who had not received a tetanus (eg, Tdap, Td) vaccine in the past ≤5 years and had not received a pneumococcal vaccine (eg, Prevnar 7, 13, and 20 or PPSV®23) in the past ≤10 years 
Participant details
Jcn 78296 aanem 2024 poster ppr6 cnsf edits table1
Pharmacodynamics – total IgG
Jcn 78296 aanem 2024 poster ppr6 cnsf edits figure3
Anti-vaccine antibody responses
All participants mounted a response to Tdap (Figure 4) 
Details of anti-vaccine antibody response
Jcn 78296 aanem 2024 poster ppr6 cnsf edits figure4
Details of anti-PCP vaccone response
Jcn 78296 aanem 2024 poster ppr6 cnsf edits figure5
REFERENCES, ACKNOWLEDGEMENTS, DISCLOSURES, FUNDING
Jcn 78296 aanem 2024 poster ppr6 cnsf edits figure6
Safety
Treatment-emergent adverse events reported by study participants are shown in Table 2
Injection-site reactions were consistent with the corresponding vaccine labels and exhibited no disparity across the 2 study arms
Jcn 78296 aanem 2024 poster ppr6 cnsf edits table2
Conclusions
  • Nipocalimab reduced total serum IgG levels through Week 8, consistent with its mechanism of action
  • Nipocalimab-treated participants mounted anti-TT IgG response to Tdap and anti-PCP IgG response to PPSV®23 over time
  • Overall, the totality of the data suggests that nipocalimab does not impact the development of adequate response to T-cell–dependent and T-cell–independent vaccines
  • Results suggest that nipocalimab-treated patients can follow recommended vaccination schedules when receiving nonlive vaccines
Img logo 273x140

3-year Clinical Lessons Learned from the Alberta Spinal Muscular Atrophy Newborn Screening (SMA-NBS)

Jean Mah

Tiffany Price

Megan Crone

Hanna Kolski

Farshad Niri

Achf logo
INTRODUCTION

- Spinal muscular atrophy (SMA) is a severe progressive neuromuscular disease caused by biallelic mutations of the Survival Motor Neuron 1 (SMN1) gene on 5q13.2, leading to loss of motor function and reduced life expectancy.
- Survival motor neuron (SMN) protein is crucial during early stages of human development. A delay of SMN induction of weeks or months can substantially reduce achievement of motor milestones.
- Currently there are 3 approved SMA therapies (n
usinersen, onasemnogene abeparvovec, and risidiplam) with potential in halting disease progression; the best outcomes were seen among infants who were treated presymptomatically.

OBJECTIVES

To describe clinical outcomes of infants diagnosed with SMA through the Alberta Newborn Screening (NBS) program over the past 3 years. This study was approved by the University of Calgary.

METHODOLOGY

- The Alberta SMA newborn screening program was launched on Feb 27, 2022. DNA extracted from dry blood spot (DBS) cards were analysed using a multiplex qPCR assay to detect deletions in exon 7 of SMN1 for SMA, in combination with screening for severe combined immunodeficiency (SCID). 
- Screen-positive infants underwent multiplex ligation-dependent probe amplification (MLPA) using a separate blood sample to confirm the diagnosis and determine SMN2 copy number.

Slide 1: Normal Newborn Screen; Slide 2: Positive Newborn Screen for SMA
Picture1 Noun slideshow grey Picture2
Plots show the CT value of three targets (blue: SMN1 (SMA), red: RNaseP (Control) and green: TREC (SCID). ΔRn = the reporter signal normalized to the fluorescence signal of Applied Biosystems ROX Dye minus the baseline; ΔRn is plotted against PCR cycle number.
RESULTS

Baseline Characteristics:
- From 28 February 2022 to 31 December 2024, there were
147,085 live births in Alberta.

- 12 infants were screened positive for SMA, and subsequently confirmed to have SMA.
- 
Median age at positive screen was 6 days (range=3-9), and at diagnosis, 15 days (range=11-27).
- Two had 2 SMN2 copies, six had 3 SMN2 copies, 3 had 4 SMN2 copies, and 1 had 5 SMN2 copies.

Timing of SMA Treatment: 
- 
Median Age at 1st SMA treatment was 30 (range 18-142) days.
- 
For 2 neonates with 2 SMN2 copies, median age was 20 (range 18-22) days.

Types of SMA Disease Modifying Treatment:
. 7 infants received onasemnogene abeparvovec.
. 
2 received nusinersen (Day 22) or risdiplam (Day 72) due to maternal transferred antibodies to AAV9; they received onasemnogene abeparvovec at Day 48 and 111, respectively after repeat AAV9 antibodies came back negative.
. 2 infants with 4 SMN2 copies received risdiplam after 3 months of age; 1 infant with 5 SMN2 copies was not eligible for treatment.

. 1 infant was symptomatic at 1st treatment initiation at 72 days of life; the rest were all presymptomatic when treated.

Motor Development of Children with SMA detected by Newborn Screening (n=12)
Treatment slide 1 Noun slideshow grey Figures powerpoint 4

Post-treatment evaluations showed ongoing motor milestone achievements in all 12 children.

Other Developmental Outcomes
All 12 children have normal speech development for age; none requires respiratory or feeding support, or has any evidence of scoliosis so far.
Figures powerpoint
DISCUSSION

- The birth prevalence of SMA in Alberta during 2022-2024 was 8.2 (95%CI: 3.5-12.8) cases per 100,000 live births, compared to our earlier report of 10.6 per 100,000 live births during the first year of the program (Niri et al 2023). Our results are within the range of frequencies reported in other recent studies (Dangouloff et al 2021).
- Treatment initiation after newborn screening was much earlier when compared to children diagnosed with SMA prior to availability of newborn screening (data not shown).
- 
All 12 children are doing well so far; longterm follow up is required to monitor their growth and development, as well as symptoms and signs of SMA.

FUTURE DIRECTIONS
- We have discussions with Alberta Health regarding a proposed two-tier SMA newborn screening assay that will allow for detection of homozygous deletions of SMN1 plus SMN2 copy numbers from DBS samples to facilitate triage as well as earlier diagnosis and treatment of newborns with SMA.

- Meanwhile, to shorten the age at treatment initiation, especially for infants with SMA and two to three SMN2 copies, we will advocate for use of risdiplam or nusinsersen as a "bridging" treatment before onasemnogene abeparvovec, as soon as the diagnosis is confirmed.
- We will also advocate for uniform coverage and early treatment of infants with SMA and four SMN2 copies (McMillan et al 2025).

Funding: This work was funded in part by the Alberta Children’s Hospital Foundation, Novartis Canada, and Muscular Dystrophy Canada. 
Acknowledgement: We thank the Love for Lewiston Foundation, the Starratt Family Foundation, as well as other SMA patients and their families for supporting our work.
Img logo 273x140

Body image in youth and adolescents with CP living in Ontario

Bilal Ahmadi

Ronit Mesterman

Mcmaster university and hamilton health sciences

Introduction

Cerebral palsy (CP) is an umbrella term for a group of neurological disorders caused by disturbances in the developing brain in early life, leading to impairments of movement and posture. This results in infants or children who may have differences in function and a visible physical disability.

 

Body image research in young people with physical disabilities like CP has received very little attention. Body image is a central theme in adolescence, and one may hypothesize that being a youth with CP could weigh particularly heavily on a child’s self-perception.

 

Methods

We designed a pilot study to learn the perspectives of body image directly from children and adolescents with CP. We were dedicated to include all children and adolescents from 7-18yo with CP, of any communication ability and GMFCS level. As a reminder, the GMFCS is a scale that categorizes children with CP depending on their self-initiated motor ability.

 

Part I: Pre-structured interview with a child/adolescent with CP to gather their thoughts. An inductive thematic analysis extracted core themes.

 

Part II: Administration of a validated quality-of-life (QOL) questionnaire entitled the KIDSCREEN-52, which interrogates about body image, to all participating children along with siblings/twins in the same family group as controls.


 
Picture5
Left: Read participant interviews

Right: Pictorial representation of the Gross Motor Functional Classification System (GMFCS) - which categorizes motor function in children with CP based on their self-initiated movement ability. Illustration from the Royal Children's Hospital, Melbourne, Australia.

 
Cp thematic analysis 3
Figure 1. Recurring themes and subthemes extracted from interviews with participants.

 
Cp graphs 2
Figure 2. Questionnaire results on the body perception segment of the KIDSCREEN-52, comparing scores between those with CP, those without CP, and normative data from a large European cohort.

 
Cp graphs 1
Figure 3. Questionnaire results on the body perception segment of the KIDSCREEN-52, comparing scores between participants <13yo and
13yo and up, with and without CP.

Results

Twelve youths with CP (7 male, 5 female) filled out questionnaires and sat for an interview. Three other youths with CP filled out questionnaires but were not available for interview. Thirteen siblings (most of whom were twins/triplets) acted as the control group and completed questionnaires.

A higher score on the questionnaire represents a more positive body image. The average score among our participants with CP was 17.93 / 25 (SD 4.73), and for those without CP; 18.62  / 25 (SD 5.45). There were higher scores for males compared to females, and higher scores for those <13yo compared to 13-18yo.

Interviews with participants uncovered some core themes, which included:
- Frustration with functional limitation
- The ability to walk is linked to a positive body association
- The ideal body image comes from self-acceptance
- Pride in the CP identity
- Mixed desirability of media representation

Discussion
Within the bounds of this pilot study, there is a greater difference in the QOL measure of body image between age groups than there is between those with and without CP.

 

There is an important recurring theme of functional capacity (especially walking) linked to body image, however most participants relayed a positive self-image even in the face of challenges.

 

We have learned that children with CP have similar concerns about their body image as those without CP,  and we can relieve the concerns of caregivers who may feel that a child with CP is especially vulnerable to negative self-image.


References
- Butti, N., Montirosso, R., Giusti, L., Piccinini, L., Borgatti, R., & Urgesi, C. (2019). Early brain damage affects body schema and person perception abilities in children and adolescents with spastic diplegia. Neural Plasticity, 2019(1), 1678984.
- Clarke, V., & Braun, V. (2017). Thematic analysis. The journal of positive psychology, 12(3), 297-298.
- Cruz, T. K. F., Souto, D. O., Moeller, K., Fontes, P. L. B., & Haase, V. G. (2022). Body experience influences lexical-semantic knowledge of body parts in children with hemiplegic cerebral palsy. Frontiers in Psychology, 13, 955939.
- Di Vita, A., Cinelli, M. C., Raimo, S., Boccia, M., Buratin, S., Gentili, P., ... & Palermo, L. (2020). Body representations in children with cerebral palsy. Brain sciences, 10(8), 490.
- Fontes, P. L. B., Cruz, T. K. F., Souto, D. O., Moura, R., & Haase, V. G. (2017). Body representation in children with hemiplegic cerebral palsy. Child Neuropsychology, 23(7), 838-863.
- Hammar, G. R., Ozolins, A., Idvall, E., & Rudebeck, C. E. (2009). Body image in adolescents with cerebral palsy. Journal of Child Health Care, 13(1), 19-29.
Img logo 273x140

Head circumference values are larger among Inuit children in Nunavut compared to WHO references

Kristina Joyal

Sorcha Collins

Amber Miners

Nick Barrowman

Ewa Sucha

Jean Allen

Sharon Edmunds

Amy Caughey

Michelle Doucette

Selina Khatun

Gwen Healey Akearok

Laura Arbour

Sunita Venkateswaran

BACKGROUND
  • Growth curves are important tools used by healthcare professionals to assess adequate growth in children
  • Currently in Canada, the World Health Organization Growth References are used.
  • There have been reports that using standardized head circumference (HC) growth charts may not reflect local populations, including in the Cree population in northern Quebec.
  • This may lead to errors in recognizing microcephaly or macrocephaly.
  • Our centres have observed that Inuit children are frequently considered to have macrocephaly without clear pathologic underlying diagnoses.
  • This has led us to consider whether standard reference growth curves may be under-representing microcephaly, and over-representing macrocephaly in Inuit children.
  • Thus, we set out to compare HC measurements in a cohort of Inuit children from Nunavut to the WHO growth charts.
METHODS
Data collection
  • As part of another study, medical charts for Inuit children born to mothers residing in Nunavut were reviewed.For this study, gestational age, birth weight, length, HC, and medical information up to five 
    years of age was included
  • The study was developed and conducted in partnership with Nunavut Tunngavik Inc. (NTI), the Qaujigiartiit Health Research Centre (QHRC), and the Government of Nunavut Department of Health
  • Exclusion criteria: known preterm birth, known neurologic or genetic condition, and most major congenital anomalies.

Statistical Analysis

  • Z-scores from Inuit HC data were compared to WHO references.
  • To examine the extent of macrocephaly when using Inuit data compared to WHO standards, we compared proportions of Inuit children above the 97th percentile from our model vs. from WHO tables. Similarly, for microcephaly, we compared proportions of Inuit children below the 3rd percentile from our model vs. from WHO tables

Figure 1. Mean HC by age groups compared to WHO mean for males and females

Hc inuit cnsf fig1
Figure 1 Legend. Box plot shows the 25th to 75th percentile of HC z-scores distribution. The thick line in the middle of the box is the 50th percentile of the z-score (median). Z-score above 0 indicates that HC in our sample is higher than the WHO reference mean

Figure 2. Percentile curves for head circumference

Hc inuit cnsf fig2
Figure 2 Legend. Dots represent data points. Dashed lines indicate WHO 97th (top), 50th (middle), and 3rd (bottom) percentiles. Solids lines indicate percentiles based on our data points. Female data used as representative figure

Figure 3. Difference in proportion of children below the 3%ile and above 97%ile based on Inuit population measurements vs. WHO standards

Hc inuit cnsf fig3
RESULTS
  • After removing outliers, a total of 8789 data points from 1956 individuals were analyzed.
  • Over 75% of HC measurements in all age groups were above the WHO mean HC (Figure 1)
  • Rates of microcephaly and macrocephaly were both statistically different than expected (p < 0.001).
  • Approximately 1-2% more cases of microcephaly if using percentiles derived from the Inuit population.
  • Approximately 25-30% and 15-20% fewer cases of macrocephaly diagnosed for males and females respectively (Figure 3) when using Inuit-specific percentiles.
CONCLUSION
  • Inuit children in Nunavut have HCs that are often larger than expected compared to WHO standards. 
  • When using WHO standards for HC in children, clinicians thus need to be aware that 20-30% of the general Inuit population of young children may fall into the category of ‘macrocephalic’ without actual pathology. This ‘over-diagnosis’ may lead to unnecessary investigations and increased burden on families.
  • The Inuit population is not unique in this regard, significant variability in HC ranges has been noted worldwide.
NEXT STEPS
  • Adding an Inuit-specific HC growth chart to the Nunavut Well Baby Guidelines (in progress!)
  • Validate this Inuit-specific HC growth chart for use in other provinces & territories of Canada
  • Investigate HC values for First Nations children compared to WHO references
QR code to CMAJ article
Inuit hc cmaj
Img logo 273x140

Real-World Benefits and Tolerability of Trofinetide for the Treatment of Rett Syndrome: Interim Analysis of the LOTUS Study

Sunita Bond

Haya Mayman

Jenny Downs

Louise Cosand

BACKGROUND
  • Rett syndrome (RTT) is a rare neurodevelopmental disorder characterized by a regression in early childhood, predominantly observed in speech, fine motor hand skills, and ambulation1
    • RTT is associated with a broad set of symptoms including deficits in communication, breathing, stereotypies, nighttime behaviors, vocalizations, facial expressions, mood, and seizures1,2
  • Trofinetide is approved for the treatment of RTT in patients aged ≥2 years in the United States and patients aged ≥2 years weighing ≥9 kg in Canada3,4
    • The efficacy and safety of trofinetide were established in LAVENDER and maintained over LILAC and LILAC-2, open-label extension studies of LAVENDER5-7
  • Results from quantitative measures from trofinetide clinical trials have generated interest among clinicians and families in practical, real-world outcomes associated with trofinetide treatment
    • Outcomes of interest include RTT-symptom improvement and diarrhea characterization in the real world, impact on older patients, and effects on quality of life
OBJECTIVE
  • To characterize the benefits and tolerability of trofinetide in the treatment of RTT using the first 9 months of real-world data from the ongoing LOTUS study
METHODS
LOTUS Study Design and Population
  • LOTUS is an ongoing, phase 4, observational, real-world, prospective, online study involving caregivers of patients prescribed trofinetide under routine clinical care
  • LOTUS participation lasts for ≥12 months from trofinetide initiation, with the option to extend participation for an additional 12 months 
  • Caregivers of any patients who were prescribed trofinetide under routine care are eligible for this study; there are no exclusion criteria
Relevant Study Assessments
  • The Behavioral Improvement Questionnaire (BIQ) is a novel measure that has been adapted from the Rett Syndrome Behaviour Questionnaire (RSBQ), the top caregiver concerns from the US Natural History Study, and the RTT community list of symptoms in the Voice of the Patient Report8-10; it consists of questions soliciting a “yes” or “no” response from caregivers as to whether they observed new and/or maintained improvements following treatment with trofinetide compared with the period before starting trofinetide
  • A “yes” answer resulted in the opportunity to identify all areas of improvement from a checklist that included alertness, behavioral problems, breathing irregularities, communication tools, eating/swallowing, grinding teeth, mobility or balance, mood, muscle tone abnormalities, nonverbal communication, purposeful use of hands, repetitive movements, sleep, social interaction/connectedness, verbal communication, and other domains
  • The BIQ was assessed monthly for 6 months and every 3 months thereafter
  • The Quality-of-Life Inventory-Disability (QI-Disability) Questionnaire is a caregiver assessment designed to measure quality of life (QoL) for school-age children and adolescents with intellectual disability over the past month11-13
    • Higher scores represent better QoL
    • The QI-Disability Questionnaire was assessed monthly for 6 months and every 3 months thereafter
  • The Gastrointestinal (GI) Health Questionnaire was designed to assess GI health including dosing timing and amount, incidence of diarrhea and vomiting, the type of stool formation over the past 3 days, specifics about diarrhea frequency, and GI management strategies for preventing or managing diarrhea employed by caregivers
    • Weekly assessments were conducted for the first 12 weeks of the study, followed by once a month for the next 3 months, and quarterly at month 9
  • All measures were completed by caregivers online
  • Due to ongoing enrollment, data were presented up to 9 months since the initiation of trofinetide
RESULTS
Demographics and Baseline Characteristics
  • In total, 192 patients, with ages ranging from 2 to 60 years, were included in this 12-month follow-up (Table 1)
Table 1. Baseline Demographic and Clinical Characteristics
Table 1
Trofinetide Dosing
  • Most patients (59.6–93.1%) took trofinetide twice daily, whereas others took it either 1 time per day (0–4.7%), 3 times per day (1.2–6.9%), or 4 times per day (0–1.3%)
  • The median dose reported at week 1 was 45.0% of the target weight-banded label dose; by week 9 onwards, the median dose was at least 80.0% of target (Figure 1)
  • There was wide variability in dosing at week 1 (interquartile range [IQR], 20.0–6.0% of labelled daily dose), suggesting a variety of dosing approaches used when initiating trofinetidein real-world clinical practice
Figure 1. Percentage of Target Daily Dose
Figure 1

Behavioral Improvements

  • Overall, 69–81% of caregivers reported behavioral improvements on the BIQ during months 1–9 that were new or maintained compared with before trofinetide treatment in patients who had taken at least 1 dose of torfinetide (Figure 2)
  • The greatest and most consistently reported improvements were nonverbal communication (49–62%), alertness (43–62%), and social interaction/connectedness (32–52%)
Figure 2. Behavioral Improvements Reported by Caregivers With BIQ
Figure 2
Quality-of-Life Improvements
  • The QI-Disability questionnaire median total score increased from baseline (55.0 [IQR, 47.9–66.4]) to month 9 (58.9 [IQR, 53.5–69.9) in patients who had taken at least 1 dose of trofinetide, indicating overall improvement in QoL with trofinetide treatment (Figure 3A)
  • The median change from baseline in QI-Disability total score ranged from 4.6 (IQR, −0.5 to 10.7) to 4.0 (IQR, −2.1 to 8.5) from months 1–9, indicating that the improvements in QoL were reported in all months of trofinetide treatment (Figure 3B)
  • Similar trends were observed for the social interaction, physical health, independence, positive emotions, leisure and the outdoors, and negative emotions individual domains scores of the QI-Disability questionnaire (Figure 3C)
Figure 3. QI-Disability Total and Domain Scores Over Time: (A) QI-Disability Total Score; (B) QI-Disability Absolute Change From Baseline in Total Score; (C) QI-Disability Domain Scoresa
Figure 3
GI Health After Initiation of Trofinetide
  • Caregivers reported that patients were most likely to void normal stools over the last 3 days before completing the GI assessment (ie, no diarrhea or constipation) from weeks 1–12 (39–55%) and months 4–9 (50–56%) (Figure 4)
  • The incidence of diarrhea varied from weeks 1–12 (25–55%) and months 4–9 (36–46%), with the highest incidence of diarrhea reported at week 6 by 55% of caregivers (Figure 4)
    • Most reports of diarrhea were contained inside the patient’s diaper (ie, loose and in diaper/watery stools) throughout this follow-up, with a lower incidence of diarrhea outside the patient’s diaper (ie, on clothes/watery and outside clothes/watery stools)
    • The most common diarrhea management strategies employed in the week prior to completing the GI assessment reported in this follow-up were using no constipation medications (42–61%), increasing fluids to maintain hydration (18–39%), and consuming supplementary fiber (18–31%)
  • Vomiting was uncommon throughout this follow-up (<7% at any time point)
    • Among patients who experienced vomiting, the frequency in the previous 24 hours before reporting by caregivers ranged from 1 occurrence to 1 report of more than 8 occurrences; most patients experienced 1–3 occurrences
Figure 4. Stool Type Reported by Caregivers
Figure 4
CONCLUSIONS
  • Caregivers of more than 87% of patients reported behavioral improvements of RTT symptoms at all time points, starting at the first time point
    • Nonverbal communication, alertness, and social interaction/connectedness were the most frequently reported improvements
  • Consistent with behavioral improvements, caregivers reported improvements in QoL of patients starting at the first time point
  • Diarrhea and formed/normal stool were both common, with diarrhea most commonly categorized as “loose” or “watery, contained inside the diaper”
  • The results of this 12-month follow-up are limited by caregiver reports, the number of patients who have reached later time points, missing data, and the online nature of this study; further analysis will occur as more patients are enrolled in the study
REFERENCES
ACKNOWLEDGMENTS

DISCLOSURES

Img logo 273x140

Real-World Benefits and Tolerability of Trofinetide for the Treatment of Pediatric and Adult Patients With Rett Syndrome: The LOTUS Study

Sunita Bond

Haya Mayman

Jenny Downs

Louise Cosand

BACKGROUND
  • Rett syndrome (RTT) is a rare neurodevelopmental disorder associated with changes in the MECP2 gene, characterized by developmental regression in early childhood, predominantly observed in speech, fine motor hand skills, and ambulation1
    • Caregivers have identified communication/speech impairment, seizures, impaired hand use or repetitive hand movements, gastrointestinal issues, and mobility and balance difficulties as the most troublesome RTT-related concerns2
  • Trofinetide is approved for the treatment of RTT in patients aged ≥2 years in the United States and patients aged ≥2 years weighing ≥9 kg in Canada3,4
    • The primary clinical trial supporting the efficacy and safety of trofinetide in RTT was the 12-week, phase 3, placebo-controlled LAVENDER study in girls and women with RTT aged 5–20 years5; participants who completed the study could continue treatment in LILAC and LILAC-2, 40-week and 32-month open-label extension studies of LAVENDER, respectively6,7
    • Additionally, the tolerability and efficacy of trofinetide in girls with RTT aged 2–4 years was assessed in the open-label phase 2/3 DAFFODIL study8
  • Although the efficacy and safety of trofinetide in adult patients with RTT aged into their forties was assessed in early phase 2 clinical trials,9 the benefits and tolerability of trofinetide in patients with RTT have not been studied in patients younger than 2 years old
    • Associations between age and outcome measures in the clinical trial program suggested similar improvements in scores across age groups, although the studies were not powered to interpret age group–related results5–7
OBJECTIVES
  • To characterize the benefits and tolerability of trofinetide in pediatric and adult patients with RTT using real-world 12-month follow-up data from the ongoing LOTUS study

METHODS (Click to Expand)
RESULTS

Demographics and Baseline Characteristics

  • In total, 117 and 74 pediatric and adult patients, respectively, were included in this 12-month follow-up (Table 1)
    • The ages of patients in the pediatric population ranged from 2 to 17 years of age, while the age range in the adult population was 18 to 60 years of age
Table 1. Baseline demographic and clinical characteristics
Table1

Trofinetide Dosing

  • The median dose reported at week 1 was 45.0% and 41.0% of the target weight-banded label dose for pediatric and adult patients, respectively; by week 8, the median dose was at least 86.0% and 70.0% of target for pediatric and adult patients, respectively (Figure 1A and B)
    • The median dose varied at week 1 for pediatric (interquartile range [IQR], 20.0–70.0%) and adult (IQR, 28.0–93.0%) patients, suggesting that clinicians employ a variety of dosing approaches used when initiating trofinetide in real-world clinical practice

Behavioral Improvements

  • Caregivers of pediatric (76–85%) and adult (59–77%) patients reported behavioral improvements on the BIQ during months 1–9 that were new or maintained compared with before trofinetide treatment in patients who had taken at least 1 dose of trofinetide (Figure 2A and B)
    • The greatest and most consistently reported improvements in pediatric and adult patients were nonverbal communication (pediatric: 53–64%; adult: 41–58%), alertness (pediatric: 50–69%; adult: 33–65%), and social interaction/connectedness (pediatric: 36–58%; adult: 26–46%)
Figure 1. Percentage of Target Daily Dose in (A) Pediatric and (B) Adult Patients
Figure1

Quality-of-Life Improvements

  • The median change from baseline in QI-Disability total score was positive at all time points for pediatric and adult patients, indicating improvements in quality of life in all months of trofinetide treatment (Figure 3A and B)
Figure 2. Behavioral Improvements Reported by Caregivers With BIQ in (A) Pediatric and (B) Adult Patients
Figure2
Figure 3. QI-Disability Absolute Change From Baseline in Total Score in (A) Pediatric and (B) Adult Patients
Figure3
Figure 4. Stool Type Reported by Caregivers in (A) Pediatric and (B) Adult Patients
Figure4

GI Health After Initiation of Trofinetide

  • Caregivers reported that pediatric and adult patients were most likely to void normal stools over the last 3 days before completing the GI assessment (Figure 4A and B)
  • The highest incidence of diarrhea was reported at week 5 (56%) and week 6 (59%) in the pediatric and adult populations, respectively (Figure 4A and B)
    • Most reports of diarrhea were contained inside the patient’s diaper (ie, loose and in diaper/watery stools), with a lower incidence of diarrhea outside the patient’s diaper (ie, on clothes/watery and outside clothes/watery stools)
    • The most common diarrhea management strategies employed in the week prior to completing the GI assessment in pediatric and adult patients were using no constipation medications (pediatric: 43–71%; adult: 41–66%), increasing fluids to maintain hydration (pediatric: 6–45%; adult: 16–35%), and consuming supplementary fiber (pediatric: 18–35%; adult: 15–44%)
  • Vomiting was uncommon in the pediatric (<16%) and adult (<12%) populations
    • Among pediatric and adult patients who experienced vomiting, the frequency in the previous 24 hours before reporting by caregivers ranged from 1 to 8 occurrences; most patients experienced 1–3 occurrences
CONCLUSIONS
  • Caregivers of pediatric and adult patients with RTT in LOTUS reported behavioral and QoL improvements consistent with the general population of the study
    • Both pediatric and adult patients had similar response patterns, suggesting that trofinetide responses do not clearly differ across age groups
  • Diarrhea and formed/normal stool were both common, with diarrhea most commonly categorized the stool as “loose” or “watery, contained inside the diaper”
    • These results are consistent with the 12-month follow-up of the general population of the LOTUS study15
  • The phase 4 LOTUS study includes an age range of 2–60 years old and provides a new opportunity to observe, without statistical inference, how caregivers of different-age patients taking trofinetide respond on outcome measures
    • Future follow-ups with larger pediatric and adult populations might elucidate age-related differences in outcomes of trofinetide treatment in patients with RTT
    • The results of this 12-month follow-up are limited by caregiver reports, the number of patients who have reached later time points, missing data, and the online nature of this study; further analysis will occur as more patients are enrolled in the study
REFERENCES
ACKNOWLEDGMENTS
DISCLOSURES
Img logo 273x140

Epidemiology and burden of illness in patients with Rett Syndrome in Ontario, Canada

Sunita Bond

Jillian Murray

Anita Datta

Mubeen Rafay

Laura McAdam

Calum Neish

Introduction
  • Rett Syndrome (RTT) is an X-linked neurodevelopmental disorder, characterized by gradual loss of motor, verbal and social skills, and the development of unique stereotypical hand movements [1].
  • The estimated global incidence of RTT is 1 in 10,000 to 15,000 live female births [1,2], with a prevalence of 1 in 20,000 to 40,000 people [3]. In Canada, approximately 600 to 900 people have been affected by RTT [4].
  • Until recently, therapy options for RTT were limited to managing comorbidities and symptoms. However, the use of trofinetide, a disease-specific pharmacological treatment shown to target and improve core RTT symptoms [5], was approved in Canada (2024) and USA (2023) [6,7]. 
  • Limited information exists on the epidemiology and healthcare resource utilization (HCRU) of RTT in Canada.
  • This study describes the epidemiology, demographics and HCRU incurred by patients with RTT in Ontario, Canada to fill the gaps in the literature and support future research in this area.
Methods
  • This retrospective observational study identified RTT cases (ICD-10-CA code F84.2) in Ontario using administrative health records at ICES between September 1, 2018, and August 30, 2022, with index date being the earliest date of diagnosis.
  • RTT cases were followed from index date until death, loss to follow-up in the ICES datasets, most recent data availability, or end of the study period (Figure 1).
  • RTT cases were included if they were enrolled and observable in the ICES databases at least one year after their index date; valid OHIP card number at index date; and complete demographics (i.e., sex, postal code, age). 
  • Variables: demographics, relevant comorbidities, all-cause mortality, HCRU, prescription drug claims, including all-cause and disease-specific drugs. 
  • Descriptive statistics of variables of interest for the study population were calculated.
  • Prevalence and incidence of RTT in Ontario were analyzed retrospectively for different 2-year follow-up periods including: 2017-20191,2019-2021, and 2021-2023. 
  • HRCU was analyzed as the number and proportion of cases with at least one touchpoint and as the total number of touchpoints observed during the follow-up period.
Results
Demographic and clinical characteristics
  • A total of 246 RTT cases were included. 
  • RTT cases were predominantly female (95.1%), had a median age of 21 years (IQR 11-33), and a majority (40%) resided in central Ontario.
  • The most common comorbidities among RTT cases included developmental disabilities (85.4%), epilepsy (49.6%), and gastrointestinal comorbidities (42.3%) (Figure 1).
To see footnotes and references click here

Figure 1. Comorbidities of cases with RTT

Comorb
Incidence and Prevalence of RTT
  • From September 2017 to August 2023, in Ontario there were a total of 57 incident RTT cases, with annual rates ranging from 1.13-1.69 cases per 10,000 births (Figure 2).
  • The number of prevalent RTT cases in Ontario, accrued from 20022, was 257, with annual prevalence ranging from 0.15-0.16 per 10,000 people.
Healthcare Resource Utilization of RTT patients 
  • During the 5-year follow-up period, most RTT cases had at least one outpatient primary care visit (96.7%) and one outpatient specialist visit (86.6%) (Figure 3).
  • The most frequently visited specialists included neurologists (56.1%), followed by orthopedic surgeons (31.7%) and anesthesiologists (30.5%).
  • Most cases also had at least one emergency department visit (76.8%) and one inpatient hospitalization (54.5%).
  • The mean length of stay of inpatient hospitalizations was 7.9±18.09 days, with a maximum stay of 294 days.

Figure 2. Incidence and prevalence of RTT

Inc prev

Figure 3. Healthcare resource utilization of cases with RTT in Ontario

Hcru
Drug claims for RTT patients
  • 95.1% of the cases had at least one public claim for all-cause medication (Figure 4)
  • There was a total of 80,424 all-cause drug claims, representing a median of 114 claims per patient.
  • Many cases (90.7%) claimed at least one disease-specific medication, with a total of 50,581 disease-specific drug claims.
  • Disease-specific drug claims were predominantly for antibiotics (69.1%) and anti-seizure medications with mood effects (65.0%) and anti-seizure medications without mood effects (51.2%).

Figure 4. All-cause drug claims for RTT cases in Ontario

Claims
Conclusions
  • This study provided for the first time the population-based estimates of RTT in Ontario and its associated burden of illness.
  • The number of incident RTT cases from 2017 to 2023 was low, while the annual number of prevalent RTT cases remained stable.
  • RTT is associated with high rates of comorbid conditions and HCRU, resulting in high burden of illness.
  • The high rates of antibiotics and anti-seizure medication used in this study suggest an urgent need for treatment options for RTT.
Img logo 273x140

Congenital-onset MLASA2 from a novel YARS2 variant: a literature review

Astrid Eisenkölbl

Hanns Lochmüller

Melissa T. Carter

Leslie E. Hamilton

Hugh J. McMillan

Cheo id p

Introduction

MLASA (myopathy, lactic acidosis and sideroblastic anemia) is a rare autosomal recessive disorder, which affects oxidative phosphorylation and iron metabolism mainly in skeletal muscle and bone marrow. It typically manifests in childhood, there is no causative treatment available.(1,2,3) MLASA1 is caused by biallelic variants in PUS1, MLASA2 has been reported in 37 patients with variants in YARS2. Only one case has been published with MT-ATP6-associated MLASA3. (4,5) We describe a patient with congenital-onset disease and a novel YARS2-variant.
Ptosis yars2    better resolution
Figure 1: Bilateral ptosis at 7 month of age

Case

A 23-month-old girl presented at the age of 7 months due to congenital onset ptosis and ophthalmoplegia. She was the first child to healthy, unrelated, white parents. After a normal pregnancy she was delivered at 37 weeks with a birth weight of 2.260kg (<1%ile). Bilateral ptosis became more evident at one month old. Neurology examination at 7 months indicated bilateral ptosis (Figure 1), decreased facial expression, high arched-palate and decreased appendicular tone. She had normal antigravity movements of all limbs and normal reflexes. She could only roll back-to-side but not back-to-front. She was not able to sit independently. Her initial hemoglobin was normal 105g/L (range 100-125g/L) and has remained slightly low to within normal range (96-107g/L) without need for pRBC transfusion. Her serum lactate has been elevated between 2.8-6.9mmol/L (normal 0.5-2.2mmol/L). Echocardiogram showed left ventricular hypertrophy with normal biventricular function and an ejection fraction of 64.7%. Repeat echocardiogram after 6 months showed improvement. She underwent ptosis correction surgery at the age of 13 months. At the last follow-up visit at 23 months old she could stand and walk with help. 

Methods

Literature review:  A comprehensive literature review was performed by a Pubmed search for all articles containing the key words "MLASA" and "YARS2". The reference section of each paper was reviewed to identify additional cases. 

Case:  Our patient underwent whole genome sequencing (trio) performed through the Ontario Genome-Wide Sequencing laboratory using TruSeq pCR-free library preparation followed by 2x150bp paired and sequencing on the Illumina Novaseq6000 platform to an average depth of coverage of at least 35X. For confirmation of the results from the genetic testing muscle biopsy from the left vastus lateralis was performed and a snap-frozen muscle sample was sent for analysis of mitochondrial oxidative phosphorylase (OxPHOS) enzyme activity (SickKids, ON).

Results

WGS showed heterozygous rare variants in the YARS2 gene. The first variant in our patient, c.948G>T, p.(Arg316Ser) in exon 3 was maternally-inherited and previously reported in an affected individual along with another variant c.98C>A, p.(Ser33Ter) in exon 1. The second in trans variant, was paternally-inherited, c.917T>C, p. (Phe306Ser) in exon 2.  This variant was observed with an allele frequency of 0.0008% in population controls of the Genome Aggregation Database (gnomAD). It is a missense variant that replaces the phenylalanine with a serine at codon 306 which is predicted to impact protein function and was not described before in the medical literature.  The muscle biopsy showed non-specific changes, but the respiratory chain enzyme activities showed a low complex I+III ratio, low complex IV and elevated citrate synthese enzyme activity, which is consistent with abnormal oxidative phosphorylation.
Thumbnail age of onset blue
Figure 2: Age of symptom-onset in MLASA2 patients (N=38)

Discussion

We present a 23-month-old girl with MLASA2, due to compound heterozygous variants in YARS2.  Each variant was inherited from an asymptomatic parent. So far 37 patients have been described in literature with YARS2-associated MLASA2. Most of them develop initial symptom-onset during infancy or childhood, although disease-onset has been reported in adulthood. (Figure 2).  Penetrance may be incomplete as two asymptomatic patients have been reported with biallelic variants that have caused disease in their family members. 
Regarding clinical symptoms, most patients show myopathy (72%), lactic acidosis (72%) or anemia (86%), the latter often being transfusion-dependent (56%). (Figure 3)
Congenital-onset disease has only been reported in two other newborns who died at 2 days old and 3 months old. While our patient does show symptoms of a mild myopathy and persistent lactic acidosis, she remains clinically stable at 23 months with no anemia, no need for blood transfusion and no cardiomyopathy on her most recent echocardiograms.  This indicates that congenital-onset of symptoms can be associated with a milder course of disease.   
Figures yars2 poster
Figure 3: Most common clinical features of MLASA2 in patients described in literature

References

1. Bykhovskaya, Y., et al., Am J Hum Genet, 2004. 74(6): p.1303-8
2. Rawles, J.M. and R.O. Weller, Am J Med, 1974. 56(6): p.891-7
3. Inbal, A., et al., Am J Med Genet, 1995. 55(3): p.372-8
4. Patton, J.R., et al., J Biol Chem, 2005. 280(20): p.19823-8
5. Burrage, L.C., et al., Mol Genet Metab, 2014.113(3): p.207-12
Img logo 273x140

Exploring the efficacy and safety of perampanel in epilepsia partialis continua: a case series

Setareh Lahsaee

Benjamin Whatley

Download

INTRODUCTION 

Epilepsia partialis continua (EPC) is a form of focal motor status epilepticus, characterized by continuous involuntary muscle contractions localized to a specific body region, typically without impairment of consciousness. 

Managing EPC presents a significant clinical challenge. Seizures can last from hours to years and are resistant to first-line agents, including benzodiazepines. Patients often require multiple trials of anti-seizure medications (ASMs), leading to complications from polypharmacy. Currently, no established guidelines exist for the pharmacological management of EPC. 

Perampanel (PER) is a selective, noncompetitive AMPA receptor antagonist. It is currently licensed as add-on therapy for focal onset and primary generalized tonic–clonic seizures in patients ≥12 years old. A few case reports have described successful termination of EPC with PER. The current literature on perampanel efficacy in status epilepticus (SE) is mixed, largely due to the lack of large case series and a homogeneous patient population. Additionally, there is no consensus on the optimal dosing and timing of perampanel in EPC and status epilepticus.

OBJECTIVES 

This study aimed to report on the real-world outcomes of perampanel efficacy and safety for patients presenting with EPC treated in our local hospital.

METHODS

This was a retrospective case series. A total of 7 patients with EPC who presented to Halifax Infirmary Hospital between January 2024 and January 2025 were recruited. All patients received PER during their treatment course. Decisions regarding the type and order of ASMs, as well as the initial dose of PER, were made at the discretion of the treating neurologist. The loading dose of PER ranged from 6 mg to 20 mg. A clinical response was defined as seizure freedom within 72 hours of initiating PER, with PER being the last ASM added.

RESULTS

Patients' characteristics are summarized in Table 1. The etiology of EPC in our cohort included intracerebral hemorrhage, subdural hematoma, and glioma. All patients received PER with an average time from seizure onset to PER initiation of 8 days. The number of ASMs prior to PER ranged from two to five.

PER led to seizure termination in 6 out of 7 patients. Time to response ranged from 24 to 72 hours. One patient did not respond within 72 hours. This patient eventually had seizure termination after a second higher loading dose of 20 mg. Oral PER up to 16 mg was well tolerated in conscious patients, with common side effects including sedation, delirium, agitation, and nausea.

All patients, except for two, were discharged home. One patient died due to respiratory compromise from vasculitis, while another was palliated after suspected aspiration pneumonia. No loss of efficacy was observed, even with prolonged treatment delays.

 
Table 1 small 2

 
Picture2
ASMs, anti-seizure medications; CLB, clobazam; ICH, intracerebral hemorrhage; LCM, lacosamide; LEV, levetiracetam; PTH, phenytoin; SDH, subdural hematoma; VPA, valproic acid.

CONCLUSIONS

No single combination of ASMs has been proven superior for terminating EPC. This study is the first case series to report on PER's efficacy in EPC. Perampanel is typically used as a third- or fourth-line therapy for status epilepticus, likely due to the absence of an IV formulation and lack of consensus on a safe oral loading dose. Our data suggest that PER is an effective and well-tolerated early adjunct therapy in EPC, particularly at higher oral doses in conscious patients.

These findings may support the early use of PER in EPC, considering the role of AMPA receptors in refractory hyperexcitability in status epilepticus. Further studies are needed to establish PER’s efficacy as a second- or third-line treatment for EPC.

ACKNOWLEDGEMENTS 

The authors declare no conflict of interest. The authors would like to acknowledge their colleague, Dr. Kristin Ikeda. This research was reviewed by the Research Ethics Board of Nova Scotia Health Authority and was granted an REB review exemption.
Img logo 273x140

Randomized controlled trial evaluating virtual reality exposure therapy on epilepsy/seizure-specific interictal anxiety in people with epilepsy

Krisha Malik

Anjena Inthiran

Vanessa Geitz

Danielle Tchao

Hannah Gray

Samantha Fung

Esther Bui

David Gold

Lora Appel

Uhn logo with michener no tag translucent background 1030x204

BACKGROUND

  • Over 28% of people with epilepsy (PwE) experience at least one anxiety disorder, making it the most common psychiatric comorbidity in PwE. Limited research concerning interventions for epilepsy-specific (ES) interictal anxiety currently exists, despite its impact on quality of life (QoL), independence, and self-efficacy.
  • Exposure therapy (ET) is an intervention that involves gradual, repeated exposure to increasingly anxiety-inducing scenarios to effectively reduce anxiety levels in patients through desensitization.
  • The "AnxEpi-VR" pilot study developed a VR-ET program for PwE with ES-interictal anxiety, showing promising community results and laying the groundwork for this RCT (Gray et al., in preparation).

METHODS

  • A prospective, open-label, mixed-methods randomized controlled trial recruiting 14 PwE from the EMU in Toronto Western Hospital.
  • Participants complete five-minute VR scenarios twice daily for 7-10 days.
  • Control group (CG) participants (n=7) experience a neutral VR environment (e.g. beach, forest scenes).
  • Experimental group (EG) participants (n=7) experience anxiety-inducing VR-ET scenarios targeting their specific epilepsy-related fears including dinner party, shopping mall, and subway scenarios.
  • Data is collected at multiple time points: baseline, pre and post VR-session, post-intervention, and a one-month follow-up to address the impact of VR-ET on anxiety.
  • The Hingray assessment is utilized to determine the appropriate exposure scenario for participants (Hingray et al., 2019).

OBJECTIVES

  • Investigate the impact of VR-ET on reducing anxiety-related symptoms and avoidance behaviours in PwE.
  • Evaluate VR-ET usability and feasibility for PwE in the EMU to inform inpatient unit implementation.
  • Identify and validate anxiety-inducing scenarios in PwE to guide development of effective VR-ET interventions.

EPILEPSY MONITORING UNIT (EMU) TIMELINE

Screenshot 2025 06 04 at 12.14.02 pm

RESULTS

jjh
Screenshot 2025 06 04 at 12.02.55 pm Noun slideshow grey Screenshot 2025 06 01 at 10.44.15 pm

RESULTS CONTINUED

Impact on Anxiety
  • Exposure Group: 5 participants have a baseline anxiety disorder (brEASI ≥7) of which 2 participants no longer have a suggestive anxiety disorder post-intervention (<7).
  • Control Group: 5 participants have a baseline anxiety disorder (brEASI ≥7) of which 1 participant no longer has a suggestive anxiety disorder post-intervention (<7).
  • Quality of Life: The average baseline self-reported quality of life rating is 5.43 (2-8); 10 indicating best possible quality of life.
Usability & Feasibility
  • Fast Motion Sickness (FMS) Scale: The average FMS rating was 1.29 (0 indicates no sickness; 20 indicates severe sickness).
  • Realism: 5 of 7 exposure participants reported that the scenarios simulated situations that provoke their anxiety in the real world.
  • Therapy Format: Overall, the session length, session frequency, and intervention length were considered optimal by participants.

CONCLUSIONS

  • VR-ET demonstrated a high level of acceptability and potential to successfully address ES-interictal anxiety. For future iterations, the following improvements may be implemented:
  1. Increase the diversity of scenarios to reflect different situations, such as classrooms and workplaces. This expanded variety can improve the therapeutic impact by tailoring the experience to individual needs and triggers.
  2. Create more interactive scenarios where participants can actively respond to situations such as decision-making opportunities and real-time dialogue with virtual characters.
  3. Improve software connectivity and stability to ensure a seamless, immersive experience.
Img logo 273x140

Methods for Representing Dipole Distribution in High-Density EEG Source Localization for Focal Epilepsy: A Systematic Analysis

Sapna Pandey

Gayathiri Balasubramaniam

Gavin Winston

Lysa Lomax

Garima Shukla

Images
INTRODUCTION 
  • Background
    • Routine EEG: Excellent temporal resolution, but lacks spatial resolution for focal epilepsy.
    • High-density EEG (HDEEG)-based source localization significantly enhances spatial resolution.
    • Current HDEEG methods require greater standardization.
  • Objective
    • To systematically review HDEEG systems, methods, and metrics used to evaluate focal epilepsy.

METHODS
  • Search Strategy
    • Systematic search conducted in PubMed using PRISMA guidelines.
    • Keywords: "HDEEG" or "high-density EEG", "source localization", "focal epilepsy".
  • Inclusion Criteria
    • Studies from the last 20 years.
    • Human subjects with focal epilepsy.
    • Sample size ≥10.
    • Clearly described HDEEG with source localization methods.
Prisma
PRISMA flow diagram of the screening and selection process
 
Fc and dc
Functional Connectivity and Dipole Clustering in High-Density EEG
RESULTS
  • Study Cohort
    • 37 of 65 studies fulfilled inclusion criteria.
    • Most reported N < 50.
  • HDEEG Electrode Configurations
    • Most common: 256-electrode setup (14 studies).
    • Also used: 128-electrode (10 studies), 76–83 electrodes (6 studies).
  • EEG Source Localization Software
    • Most commonly used: Cartool (N=12).
    • Second most common: Curry (N=5).
  • MRI Integration
    • Standard MRIs used in 25 studies.
    • Customized MRIs used in 12 studies.
  • Dipole Distribution Metrics
    • Clustering coefficient reported in 10 studies.
    • Functional connectivity analysis reported in 7 studies.

 CONCLUSION
  • Key Takeaways
    • Variations are evident in software choice, metrics for dipole distribution assessment, and MRI integration across the current literature.
  • Clinical Utility / Future Directions
    • Clustering methods and functional connectivity metrics are most commonly employed.
    • Reflects their increasing utility in understanding brain networks for focal epilepsy.
Img logo 273x140

Multiscale analysis of mesial temporal lobe epilepsy: Anatomo-Electrophysio-pathologic differentiation

Poornima Narayanan Nambiar

Hannah Gray

Khalid Alorabi

Jonathan Lau

Arun Thurairajah

Ali Khan

Ana SullerMarti

Images
INTRODUCTION
​​​​​The most common abnormality found in the MRI and pathology of patients with mTLE is hippocampal sclerosis  (HS).
The most common type of focal epilepsy is mesial temporal lobe epilepsy (mTLE)
Seizure onset zone (SOZ) varies among patients with HS, with  differing hippocampal location and pattern of propagation.
SEEG is currently the gold standard used to localize SOZ
mTLE has better outcomes than other types of epilepsy, as 60-80% of patients become seizure-free after surgery in 1-year follow-up studies.
Longer-term follow-up studies showed less favourable outcomes.
Different HS patterns may behave as unique diseases with their own evolution and treatment outcomes.
Variability in the post-surgical outcomes suggests that mTLE is a heterogeneous condition. 
High-resolution MRI has not yet been used in combination with SEEG to localize the SOZ in patients with mTLE, along with the histological results of the tissue resected.
This combination may allow identification of anatomical and physiological patterns not previously seen and establish different subtypes of mTLE.
Picture 1

Figure 1: a-b  HippUnfold representation of the hippocampus with segmentation of the different regions. c. Unfolded hippocampus reconstruction.

OBJECTIVES
•Identify the seizure onset zone in mTLE patients on SEEG and segment groups depending on the findings.
•Correlate the data obtained from the subfield hippocampus localization of the seizures using SEEG with the findings in the pathology obtained from their resection
• Classify different anatomical-histological-neurophysiological groups depending on epilepsy surgery outcomes (using Engel Classification). 
Establish predictor factors of good surgical outcomes in patients with mTLE
MATERIALS AND METHODS
Retrospective analysis of patients investigated at LHSC, who fulfilled the fulfill the following criteria:

1) Drug-resistant temporal lobe epilepsy

2) SEEG investigation

2) High-resolution MRI (3T or 7T)

3) Mesial temporal epilepsy captured with SEEG

4) Underwent temporal lobectomy with a minimum of 6 months follow-up.

Screenshot 2025 06 03 214527
Figure 2. Imaging (HippUnfold subfields coregistered with SEEG contacts)
Screenshot 2025 06 03 224148
Figure 3. SEEG Patterns
Screenshot 2025 06 03 220017
Figure 4. Pathology
Data will be analyzed using bivariate differences, comparing outcomes (Engel classification, I or non- I) and pathological grading to other variables like SEEG patterns and  hippocampal subfield localization of seizures using SEEG.
Student’s t-test for continuous variables and the Mann-Whitney Test for non-parametric variables.
Categorical variables will be analyzed using the chi-square test.
Kolmogorov-Smirnov test to verify the normality of each variable’s distribution.
RESULTS

From the 167 consecutive patients investigated with SEEG, so far, we have collected 25 patients who fulfil the criteria.

Screenshot 2025 06 03 220736
Figure 5. Electroclinical ictal onset involvement
Screenshot 2025 06 03 220947
Figure 6. SEEG Pattern at ictal onset
Screenshot 2025 06 03 221325
Figure 7. MRI Abnormality and ILAE Grade of Hippocampal Sclerosis
Screenshot 2025 06 03 221531
Figure 8. Engel Classification at 6 months and 12 months
Screenshot 2025 06 03 221917 Noun slideshow grey Screenshot 2025 06 03 222115
Slideshow 1. Correlation of SEEG ictal onset location, imaging, histopathology and hippocampal subfield location of ictal onset based on HippUnfold in a representative patient 
CONCLUSIONS
Majority of patients (84%) had involvement of the anterior hippocampus at the ictal onset and the ictal pattern was characterized by low-voltage fast activity.
The majority (44%) had normal MRI, and 40 % had unilateral MTS.
From the tissue resected, both ILAE type 2 (CA1 predominant) HS and type 4 (No HS) were seen in 29% each.
Regarding the outcome, 68% were Engel 1 at 6 months and  12 months
A better classification of the type of mesial temporal seizures with the combination of SEEG, neuroimaging, and histopathology is likely to be promising with regard to  increasing our understanding of the nature of these epilepsiesThis may help in prognostication and guide the surgical decision.
LIMITATIONS
Limited number of patients with SEEG and high-resolution imaging in temporal lobe epilepsy.
The recruitment is still ongoing, including the HippUnfold registration.
Pathology is fragmented and inconclusive in some patients
REFERENCES
-Thom M, Liagkouras I, Elliot KJ et al. Reliability of patterns of hippocampal sclerosis as predictors of postsurgical outcome. Epilepsia 2010; 51: 1801-1808. 
-Blümcke I, Thom M, Aronica E, et al. International consensus classification of hippocampal sclerosis in temporal lobe epilepsy: a Task Force report from the ILAE Commission on Diagnostic Methods. Epilepsia. 2013;54(7):1315–1329. 
-DeKraker J, Ferko KM, Lau JC, Köhler S, Khan AR. Unfolding the hippocampus: An intrinsic coordinate system for subfield segmentations and quantitative mapping. Neuroimage. 2018 Feb 15; 167:408-418 
Img logo 273x140

Investigating deep brain stimulation parameters for drug resistant epilepsy treatment: a literature review

Sam Dabir

Eugene Wong

Ana Suller-Marti

Western university logo png seeklogo 482469
Background
Screenshot 2025 05 31 143304
Fig 1. Treatment course for patients with epilepsy.​
Objectives
Review existing publications to better understand the neurmodulation parameters used in DBS and other neuroligcal disorders and its’ impact on therapeutic outcomes. The aim is to inform clinical decisions on optimizing treatment parameters for DRE patients.
Methods
Your paragraph text
 Fig 2. Study selection framework used during literature review.
Data Analysis
  • Pearson correlation analyses were conducted using the number of subjects in each study as a weight to examine the relationships between stimulation parameters and clinical outcomes using this dataset.
Results
Screenshot 2025 06 01 131723
Fig 3. Relationship between responder rate(%) and frequency (Hz) (rw = -0.35, p = 0.0443). Study weight indicated by size of each data point, with larger data points having more patients.
Screenshot 2025 06 01 132540
Fig 5. Relationship between mean seizure reduction (%) and pulse width (μs) (rw = +0.25, p = 0.0929). Study weight indicated by size of each data point, with larger data points having more patients.​
Conclusions & Future Directions
  • Frequencies between 130-145 Hz were associated with significantly higher seizure reduction and responder rates, while findings related to pulse width did not show statistical signifiance.
  • Future research will focus on conducting a meta-analsis to address intra-study variability, potential confounders, and the combined effects of specific parameters

 
Screenshot 2025 06 01 132356
Fig 4. Relationship between responder rate (%) and pulse width (μs) (rw = +0.22, p = 0.0837).​ Study weight indicated by size of each data point, with larger data points having more patients.
Screenshot 2025 06 01 132248
Fig 6. Relationship between mean seizure reduction (%) and frequency (Hz) (rw = -0.58, p = 0.0347)​. Study weight indicated by size of each data point, with larger data points having more patients.
Acknowledgements
  • This study was performed as part of the Scholar's Elective program.
  • The author would like to thank the following individuals from Dr. Wong's Lab: Dr. Erin Iredale, Vera Luo, Garret Kirk, Tony Zhang, Sawyer Badiuk, and Sophie Heinrich.
  • References: https://docs.google.com/document/d/1I3V2M33BZqIjFfEfSicYAQjdRrhjH2kVz7GJyEpmMgQ/ edit?usp=sharing
Img logo 273x140

Parameterized short-segment EEG improves neurological recovery prediction in patients with severe brain injury

Tianyu Zhang

Kira Dolhan

Charlotte Maschke

Miriam Han

Raphael Lavoie

Stefanie Blain-Moraes

Biapt logo
Background

Predicting neurological recovery in patients with severe brain injury remains challenging. Continuous EEG monitoring can detect malignant patterns but is resource-intensive, and its role in long-term functional outcome prediction is unclear. This study evaluates the utility of parameterized short-segment EEG, acquired via EEG cap, in predicting neurological recovery.

Methods

We analyzed short-segment high-density EEGs from 65 patients in the NET-ICU cohort1 who presented with acute neurological injury and a disorder of consciousness. EEGs were recorded using a 128-channel system (Electrical Geodesics Inc., Eugene, OR, USA) with sponge-based electrode nets, enabling rapid setup in approximately 10 minutes. Data were subsequently downsampled to the standard 19-channel bipolar montage and preprocessed into conventional clinical formats. Five visual EEG features, selected based on their established associations with neurological outcomes, were extracted according to the 2021 ACNS Critical Care EEG terminology.2,3

Methods

Logistic regression (LR) and random forest classifier (RFC) models were developed to predict two outcomes: (1) recovery of responsiveness (defined as the ability to follow 1- or 2-step commands during or after ICU admission) and (2) 6-month outcome on the Glasgow Outcome Scale – Extended (GOSE). Models were trained using EEG features alone or in combination with clinician-predicted outcomes. We hypothesized that incorporating EEG features would enhance the discriminative power of neuroprognostic models. Given the anticipated nonlinearity and interdependence among EEG features, we further hypothesized that the RFC model would outperform LR in predictive performance.

Patient Characteristics
Patient characteristics
Results

Clinician predictions showed good discriminative ability for recovery of responsiveness (AUC 0.74 for GOSE >2; 0.81 for recovery of responsiveness), and higher accuracy when predicting more favorable long-term outcomes (AUC 0.86 for GOSE >5). 

Clinican prediction of responsiveness
Figure 1. clinician prediction of recovery of a) responsiveness (GOSE >2) at 6 months follow-up; b) of responsiveness, indicated by ability to follow 1-2 step commands during the 6 months post-injury.
Clinican prediction of functional recovery and summary
Figure 2. a) clinician prediction of functional neurological recovery (GOSE >5) at 6 months follow-up; b) summary of clinician prediction accuracy.

EEG-based model performed similarly to clinician bedside assessment in predicting recovery of responsiveness in severely brain injured patients (accuracy 0.77-0.87 vs. 0.54; AUC 0.68-0.97 vs. 0.74). Background continuity and frequency are weighed highly in all models evaluated.

Eeg predictions with weights
Figure 3.a) prediction of recovery of responsiveness based on EEG features alone using a) logistical regression and b) random forest classifier models (with random undersampling and leave-one-out cross-validation). 

Combining clinician prediction of Glasgow Outcome Scale–Extended (GOSE) scores with EEG features improved overall predictive performance (accuracy 0.87-0.96; AUC 0.93-1).

Eeg and clinician predictions with weights
Figure 4.a) prediction of recovery of responsiveness combining clinician assessment and EEG features using a) logistical regression and b) random forest classifier models (with random undersampling and leave-one-out cross-validation). 
Conclusions

Standardized EEG features collected using caps that require minimal training and technician support can improve the accuracy of neurological recovery predictions in patients with acute severe brain injury. Among these features, background continuity and frequency—both readily extractable using existing EEG preprocessing software—carry the most prognostic weight. These findings support the use of machine learning approaches that account for nonlinear relationships among features. Together, these results suggest that accessible EEG implementations, combined with robust machine learning models, can provide clinically meaningful and scalable prognostic information for critical care environments.

Key References
  1. Duclos C, Norton L, Laforge G, et al. Protocol for the Prognostication of Consciousness Recovery Following a Brain Injury. Front Hum Neurosci. 2020;14:582125.
  2. Hirsch LJ, Fong MWK, Leitinger M, et al. American Clinical Neurophysiology Society's Standardized Critical Care EEG Terminology: 2021 Version. J Clin Neurophysiol. 2021;38(1):1–29.
  3. Hofmeijer J, Beernink TMJ, Bosch FH, et al. Early EEG contributes to multimodal outcome prediction of postanoxic coma. Neurology. 2015;85(2):137–143. 
Contact: tianyu.zhang@mail.mcgill.ca | stefanie.blain-moraes@mcgill.ca
Acknowledgement logos
Img logo 273x140

Pediatric quadriplegic CIDP: an update

Steven Baker

Mcmaster logo
Introduction

Chronic inflammatory demyelinating polyradiculoneuropathy (CIDP) is a rare, acquired auto-inflammatory polyneuropathy with an estimated incidence of up to 2 per 100,000. It generally presents in a symmetric, proximal and distal, sensorimotor fashion (1). Immunosuppression and immunomanipulation are treatment modalities. Pediatric CIDP has distinguishing features:
(1 ) 5-fold rarer compared to adult disease (0.4/100,000),
(2) motor predominant,
(3) relapse-prone,
(4) rapidly progressive, and
(5) a more favorable long-term prognosis.
We present a case of a 14-year-old male with severe progressive CIDP who became refractory to steroid and IVIg but responded to rituximab. Upon withdrawing therapy at age 16 he had a severe relapse which subsequently responded to the reinstitution of rituximab.

Proposed PATHOPHYSIOLOGY
Nejmra041347 f3
Figure 1. Proposed pathogenesis of CIDP (From Koller et al., NEJM 2005;32:1343-56).
a) APC via MHCII & co-stimulatory molecules activate auto-reactive T-cells.
b) Autoreactive T-cells cross the BNB via cytokines, CAMs, & MMPs.
c) Within the PNS the autoreactive T-cells activate macrophages that release proinflammatory cytokines (TNFa + INFg), NO, ROSs, & MMPs.
d) Local or serum autoantibodies  induce Ab-dependent cellular toxicity & activate the classic complement system yielding C5b-9 MAC leading to demyelination and axonal loss.
e) Termination of the inflammatory response occurs through the induction of T-cell apoptosis and the release of anti-inflammatory cytokines such as TGFB & IL-10.
Clinical History
- 14 yo M w/ weakness starting in June 2022 progessing > 2 months --> IgG + high dose steroid => improvement
- Gradual failure to repsond to IgG resulting in abbreviation of Q3W to QW interval
- Quadriparesis by December; csf protein 2.76 g/L; nodal Abs neg --> RITUXAN x 4
- March '22: began to walk; June '22: full recovery --> RITUXAN d/c'ed December '23
- September 2024: Prednisone tapering to 4/3 mg alternate days + COVID => rapid relapse
- October 2024: Resume RITUXAN --> recovery
Electrophysiologic Results
Slide1 Noun slideshow grey
Figure 2. Changes in median motor nerve conduction results as measured by terminal motor latency (TML [ms]), compound muscle action potential amplitude (CMAP [mV]), and conduction velocity (CV [m/s]).

MRC Sum Scores 
Mrc graph
Figure 3. MRC sum scores (modified) total 130 comprising 5 points each for bilateral SH AB, EF, EE, WE, FAB, FF, HF, KE, KF, DF, EV, PF, IN. Note: 4- = 3.5 & 4+ = 4.5.
Slide1 Noun slideshow grey
Figure 4. A recent Mayo Clinic paper by Dubey's group describing 6/7 NF155 pediatric AN failing IVIg but responding to rituximab. 

DISCUSION / CONCLUSIONS
1. Severe pediatric CIDP tends to be responsive to rituximab whether seropositive (Mayo series) or seronegative (present case).
2. Lesson: at first signs of IVIg (+/- prednisone) failure start rituximab therapy in pediatric age-group.
3. Relapses are common in pediatric SP and SN CIDP.
4. The clinical similarities between SP and SN CIDP, including the responsiveness to CD20i, suggests they should be lumped NOT split.
5. Therefore, NODO-PARANODOPATHIES ought to be classified as a subcategory of CIDP rather than a discrete diagnostic entity.
6. CV and %CB recovery does not corrrelate with strength recovery.
7. Infectious triggers can precipitate clinical relapses (i.e., COVID).
                i. activates pattern recognition receptors such as Toll-like resptors (TLRs)
                ii. increases proinflammatory cytokines
                iii. activation of dendritic cells and macrophages
                iv. heightened Ag presentation to T-cells
                v. activation of autoreactive memory B- & T-cells
                vi. impaired Treg fx, tissue damage, & epitope spreading

 
References

1. Koller, H., Kieseier, B.C., Jander, S., & Hartung, H-P. (2005) Chronic inflammatory demyelinating polyneuropathy. NEJM; 352:1343-567.
2. Rashed, H.R...Dyck, P.J.B.,...Dubey, D. (2025) Clinical manifestations and treatment responses in pediatric neurofascin 155-IgG4 autoimmune nodopathy. Neurol Neuroimmunol Neuroinflamm. 12:e200368. doi:10.1212/NXI.0000000000200368
Img logo 273x140

A Phase 1, Multicenter, Randomized, Placebo-Controlled, Multiple Ascending Dose Study to Evaluate the Safety and Tolerability of AMX0114 in ALS (LUMINA)

Sabrina Paganoni

Lauren Kett

Shauna Blackmon

Robert Bowser

Lauren Kingston

Evan Mizerak

John Pesko

Jorgji Kerthi

Jamie Timmons

Angela Genge

Picture2
1
2
3
4
5
7
8
Img logo 273x140

Final pooled analysis of efficacy and safety of rozanolixizumab cycles in patients with generalised myasthenia gravis: MycarinG and open-label extension studies

Vera Bril

Carlo Antozzi

Artur Drużdż

Julian Grosskreutz

Ali Habib

Sabrina Sacconi

Kimiaki Utsugisawa

John Vissing

Tuan Vu

Fiona Grimson

Belinda McDonough

Irene Pulido-Valdeolivas

Thaïs Tarancón

Introduction
  • The FcRn inhibitor rozanolixizumab significantly improved all MG-specific outcomes after one 6-week treatment cycle and was generally well tolerated in adults with gMG in the Phase 3 MycarinG study (MG0003/NCT03971422)1
  • After MycarinG, patients could enrol in OLE studies MG0004 then MG0007, or MG0007 directly (Figure 1); these studies are now complete
    • In MG0004 (NCT04124965), patients received chronic, once-weekly rozanolixizumab for ≤52 weeks
    • In MG0007 (NCT04650854), patients received once-weekly rozanolixizumab in an initial 6-week cycle, with subsequent cycles administered upon symptom worsening, at the investigator’s discretion
  • This analysis assessed the efficacy and safety of rozanolixizumab over multiple symptom-driven cycles in patients with gMG
Methods
  • MycarinG enrolled adults with MGFA Disease Class II–IVa anti-AChR Ab+ or anti-MuSK Ab+ gMG, MG-ADL score ≥3 (for non-ocular symptoms) and QMG score ≥111
    • The primary endpoint was CFB to Day 43 in MG-ADL score; secondary endpoints included CFB to Day 43 in QMG score1
  • Final data were pooled across MycarinG, MG0004 (first 6 weeks; efficacy outcomes only) and MG0007
    • Efficacy variables (mean CFB to Day 43 in MG-ADL, QMG and MGC scores) were assessed for patients with ≥2 symptom-driven cycles (17 cycles assessed; up to 13 cycles are reported)
    • Safety variables (incidence of TEAEs) were assessed for patients with ≥1 treatment cycle with a follow-up period of ≤8 weeks
    • All analyses are based on observed data
Results
  • Overall, 196 patients received ≥1 dose of rozanolixizumab, of whom:
    • 188 received ≥1 treatment cycle (primary safety pool)
    • 129 received ≥2 symptom-driven cycles (primary efficacy pool)
  • Baseline characteristics were similar between the two pools and the two dose groups, and were indicative of a population with moderate-to-severe gMG
    • 90.7% of patients had anti-AChR Ab+ gMG, and 9.3% had anti-MuSK Ab+ gMG
    • Mean (SD) baseline scores were 8.7 (3.4) for MG-ADL and 16.0 (3.8) for QMG (primary efficacy pool)
Figure 1 MycarinG and OLE studies: Design and patient flow
Mycaring ole patient flow
*Placebo (n=67), rozanolixizumab (n=133). †After the initial cycle, dose modifications from 10 mg/kg to 7 mg/kg and vice versa were permitted at the beginning of each treatment cycle provided the benefit–risk ratio remained favourable for the patient.
  • Patients who were in the studies for >12 months received a mean (SD) of 4.1 (1.7) and median of 4.0 cycles in the first year, corresponding to a mean (SD) of 22.0 (8.9) and median of 23.0 infusions (primary safety pool)
    • At the population level, this equates to an expected treatment pattern in the first year of 6 weeks of rozanolixizumab treatment followed by a 6–8-week treatment-free interval, which can be adjusted for individual patients as needed
    • All treated patients (with any follow-up duration) received a mean (SD) annualised number of 2.9 (1.8) cycles per year, corresponding to a mean of 16.0 (10.6) infusions per year
  • Mean CFB in MG-ADL, MGC and QMG scores were consistent over time for each cycle, with rapid onset of effect by Day 8 and clinically meaningful improvement sustained from Day 15 to Day 43 (Figure 2)
  • For most cycles up to Cycle 13, the most frequent treatment-free interval duration was ≥4 to <8 weeks (Figure 3)
  • Overall, 175/188 (93.1%) patients experienced any TEAE (Figure 4); most events were mild or moderate
    • The incidence of TEAEs did not increase with repeated cyclic treatment
    • The most common TEAEs were headache (94/188 [50.0%]), diarrhoea (63/188 [33.5%]) and COVID-19 (41/188 [21.8%]; the studies were conducted during the COVID-19 pandemic)
    • There were no anaphylactic reactions or clinically meaningful changes in lipid or albumin levels
Figure 2 Rozanolixizumab showed clinically meaningful improvements in MG-ADL, MGC and QMG scores from baseline to Day 43
Cnsf final s e figure 2
Efficacy data collected at or after the timepoint of rescue use are excluded from the analysis with no imputation of missing data for the respective cycle. Dashed lines correspond to clinically meaningful thresholds of −2 points for MG-ADL and −3 points for MGC and QMG.
Figure 3 The most frequently occurring treatment-free interval duration was ≥4 to <8 weeks
Cnsf final s e figure 3 v2
Data are reported for patients who had received RLZ treatment and have initiated or are awaiting a treatment cycle based on symptom worsening at the investigator’s discretion. Patients without a symptomdriven cycle after RLZ treatment are censored at the time of dropping out or at the end of the study (MycarinG or MG0007). Number of censored patients: Time to Cycle 1, n=21; Time between Cycles 1 and 2, n=29; Time between Cycles 2 and 3, n=18; Time between Cycles 3 and 4, n=6; Time between Cycles 4 and 5, n=7; Time between Cycles 5 and 6, n=6; Time between Cycles 6 and 7, n=11; Time between Cycles 7 and 8, n=12; Time between Cycles 8 and 9, n=7; Time between Cycles 9 and 10, n=12; Time between Cycles 10 and 11, n=8; Time between Cycles 11 and 12, n=7; Time between Cycles 12 and 13, n=11; Time between Cycles 13 and 14, n=4. 
Summary and conclusions

Pooled data from the MycarinG and OLE studies provide insights into the efficacy and safety of rozanolixizumab over multiple symptom-driven cycles in patients with gMG

Rozanolixizumab showed consistent and clinically meaningful improvements across multiple MG-specific outcomes with repeated cyclic treatment for up to 13 cycles

Rozanolixizumab was generally well tolerated, and the data were consistent with the known rozanolixizumab safety profile

These efficacy and safety data from MycarinG and the OLE studies support the long-term use of repeated cycles of rozanolixizumab in patients with gMG
Figure 4 Across all cycles, rozanolixizumab was generally well tolerated
Cnsf final s e figure 4
*All deaths were considered not related to rozanolixizumab by the investigator.
‘n’ is the number of patients reporting at least one TEAE within the category.
Abbreviations, acknowledgements, author disclosures and references
Img logo 273x140

Does single fiber EMG pair number influence the outcome of patients initially referred for possible myasthenia gravis?

Jenna Kliot

Dr. Fraser Moore

Download
Introduction

Analysis of 20 muscle fiber action potential pairs is the traditional standard when using single fiber EMG (SFEMG) to diagnose myasthenia gravis (MG). Some studies show that fewer pairs are needed if results are normal.  We examined what impact this might have on long-term outcomes.
 

Methods
Retrospective chart review of patients who underwent SFEMG testing for diagnosis of MG by one of the authors at the Jewish General Hospital in Montreal from 2004 to 2024.
Screen shot 2025 05 14 at 9.59.34 pm
Results

Presenting Symptoms and Antibody Testing Status

Screen shot 2025 05 14 at 9.40.11 pm
Poor Outcomes
Screen shot 2025 05 14 at 9.45.15 pm

 

MG Diagnosis Outcome

Screen shot 2025 05 14 at 9.40.25 pm


 
Patient Characteristics 
Screen shot 2025 05 14 at 9.40.19 pm
Screen shot 2025 05 10 at 11.57.40 pm

 

Discussion

  • There are no statistically significant differences in frequency of poor outcomes between the two groups.
  • Patients in the 12 pair group had a lower pre-test clinical suspicion of MG on average  compared to those with 20 + pairs examined.
  • This is reasonable; increased clinical suspicion of MG would be a reason to increase the duration of an otherwise normal test.
  • This may cause the number of poor outcomes in the 20+ pair group to be higher as these are patients who were more likely to have MG based on their clinical presentation.
  • Patients in the 20+ group had a longer duration of follow up
  • This is reasonable as experimentation with shorter test durations started in recent years
  • This may cause the number of poor outcomes to be higher in the 20+ pair group as these patients have longer follow up. It is possible if the 12 pair group patients are followed for longer, they could present with more poor outcomes.  


 

Conclusion

  • Shortening the duration of SFEMG testing for MG from 20 to 12 pairs does not appear to increase the frequency of poor outcomes.
  • This supports the safety of shortening the test in appropriate situations.
  • Further research is needed given the limited duration of follow up and inability to access medical records from other institutions. 
Img logo 273x140

Miglustat: a first-in-class enzyme stabiliser for late-onset Pompe Disease

Brian Fox

Tahseen Mozaffar

Mark Roberts

Barry J Byrne

Mazen M Dimachkie

Robert J Hopkin

Priya S Kishnani

Benedikt Schoser

Ans T van der Ploeg

Jon Brudvig

Fred Holdbrook

Vipul Jain

Franklin Johnson

Jennifer Zhang

Giancarlo Parenti

Cnsf 2025 miglustat figures v0.1 cg qr code
Introduction and objectives (click to view)

Results
Why use mig with an rhGAA?
Cipa and alg have similar thermal stability profiles and are less stable at pH 7.4 (similar to the pH of blood) versus pH 5.2 (similar to the pH within lysosomes). The addition of mig causes a similar positive shift in thermal stability for cipa and alg, stabilising the enzymes at pH 7.4
Cnsf 2025 miglustat figures v0.1 cg fig1
Footnotes

How was the dose and timing of mig selected?
(A) Population PK analysis of patients with LOPD shows that 260 mg mig, administered orally 1 hour prior to cipa, results in a molar excess of mig during and after the 4-hour cipa infusion period, and is optimal for cipa binding and stabilisation; (B) >90% of cipa molecules are occupied with mig for up to 12 hours after infusion
Cnsf 2025 miglustat figures v0.1 cg fig2
Footnotes
In Gaa −/− mice, co-administration of 10 mg/kg mig (corresponding to a clinical mig dose of ~260 mg) with 20 mg/kg cipa optimised glycogen reduction (Supplementary Figure 2, available via the QR code).
References
Acknowledgements and disclosures
Methods (click to view)

What is the effect of mig on treatment with cipa?
In Gaa −/− mice, co-administration of 10 mg/kg mig with 20 mg/kg cipa increased cipa exposure (area under the curve [AUC]) by 6.8% compared with cipa alone (Supplementary Table 1, available via the QR code).15
Mig-induced increase in cipa exposure improved glycogen clearance and functional outcome (grip strength)
in
Gaa −/− mice
Cnsf 2025 miglustat figures v0.1 cg fig3
Footnotes
  • After four biweekly administrations in Gaa −/− mice, glycogen reduction in the quadriceps and triceps muscles was greater with cipa+mig than with cipa alone when compared with wild type and vehicle. Glycogen was reduced to levels statistically indistinguishable from those in wild-type mice with cipa+mig in the quadriceps muscle, and near those in wild-type mice with cipa+mig in the triceps muscle. 
  • After eight biweekly administrations in Gaa −/− mice, grip strength was greater with cipa+mig than with cipa alone.
(A) Grip strength with cipa+mig reached levels that are not statistically different from wild-type mice after
4 months of treatment; (B) In patients with LOPD, co-administration of mig (260 mg) with cipa (20 mg/kg) increased cipa exposure (AUC) in plasma by ~28.5% compared with cipa alone
Cnsf 2025 miglustat figures v0.1 cg fig4 5
Footnotes
Conclusions (click to view)

Analysis of variance showed that the geometric least squares mean ratios of the AUC from time zero to the last quantifiable time point (AUC0–t) and the AUC from time zero to infinity (AUC0–∞) for cipa with 260 mg mig were significantly increased compared with cipa alone, while the maximum concentration (Cmax) was not (Supplementary Table 2, available via
the QR code).
Treatment with cipa+mig improved levels of urine Hex4 and serum CK in patients with LOPD
Cnsf 2025 miglustat figures v0.1 cg fig6
Footnotes
Change from baseline in absolute values is shown in Supplementary Figures 3A and 3B (available via the QR code).
Does the addition of mig impact the safety profile of cipa?
Of 151 patients with LOPD treated with cipa (20 mg/kg) plus mig (260 mg*) in three clinical trials, 13.9% had adverse events (AEs) related to mig only, none of which were serious or led to study drug discontinuation
Cnsf 2025 miglustat figures v0.1 cg table
Footnotes
Img logo 273x140

Clinical predictors of disease progression and survival in ALS: insights from the Canadian Neuromuscular Disease Registry

David Daudu

Jorge Arocha Perez

Katie Henley

Victoria Hodgkinson

Agessandra Abrahao

Hannah Briemberg

Marvin Chum

Angela Genge

Alier Marrero

Sanjay Kalra

Wendy Johnston

Rami Massie

Genevieve Matte

Michel Melanson

Colleen O’Connell

Kerri Schellenberg

Sean Taylor

Lorne Zinman

Lawrence Korngut

Christen Shoesmith

Background
vAmyotrophic Lateral Sclerosis (ALS) is a progressive neurodegenerative disorder impacting motor neurons.
vFunctional decline and respiratory weakness are hallmarks of disease progression.
vALSFRS-R (ALS Functional Rating Scale - Revised) and FVC (Forced Vital Capacity) are widely used clinical tools.
vThe Canadian Neuromuscular Disease Registry (CNDR) provides real-world longitudinal data across Canadian ALS patients.
vObjective: To assess how baseline ALSFRS-R, FVC, and symptom duration relate to disease progression and survival.
Methods
vRetrospective analysis of 1, 565 patients from the CNDR ALS cohort.
vInclusion: Patients with non-outlier values for diagnosis date, symptom onset, ALSFRS-R, FVC, and DOB.
vGrouped by:
vALSFRS-R ≥44 vs. <44 at diagnosis
vFVC ≥65% vs. <65% at diagnosis
vSymptom onset <24 months vs. ≥24 months before diagnosis
vFollow-up visits tracked at 3 timepoints: Baseline, First Follow-Up, Second Follow-Up.
vUnivariate and multivariate regression used for progression; Kaplan-Meier for survival.
Results
Table 1: Characteristics at Baseline

Subset

Value

Metric

ALSFRS-R at Diagnosis

44.7 (5.46)

Mean (SD)

ALSFRS-R >=44

1131 (72.3%)

N (%)

ALSFRS-R <44

434 (27.7%)

N (%)

FVC % Predicted at Baseline

84.2 (23.3)

Mean (SD)

FVC (%) >=65

548 (78.3%)

N (%)

FVC (%) <65

152 (21.7%)

N (%)

Time from Sx Onset3
(months)

116 (51.5)

Mean (SD)

Time <24 months

52 (3.34%)

N (%)

Time >=24 months

1507 (96.7%)

N (%)

Table 2: Median Survival Table

Grouping

Mean (SD)

Median (0.95 LCL, UCL)

Symptom Onset

 

 

<24 Months (N=3)

9.03 (2.02)

10.5 (4.20, NA)

>=24 Months (N=826)

46.2 (0.95)

39.3 (37.1, 41.3)

ALSFRS at Diagnosis

 

 

ALSFRS <44 (N=242)

36.6 (1.74)

30.9 (28.8, 34.5)

ALSFRS >=44 (N=579)

50.8 (1.46)

41.8 (39.7, 44.6)

FVC at Diagnosis 

 

 

FVC <65 (N=88)

35.5 (2.27)

29.5 (27.2, 36.5)

FVC>=65 (N=241)

42.9 (1.67)

35.4 (32.3, 39.0)

Results:

 

 

Plot 1 Noun slideshow grey Plot 2 Plot 3 Plot 4
Conclusion
vBaseline ALSFRS-R, FVC, and symptom duration are significant predictors of ALS progression and survival.
vThese tools can inform stratified care and accelerate patient-specific treatment decisions.
Img logo 273x140

A portrait of generalized Myasthenia Gravis in Canada: analysis of the Adelphi MG II disease specific programme

Oliver Blanchard

Kobina Quansah

Alberto Batista

Aysegul Erman

Hannah Connolly

Zaeem Siddiqi

Rationale and Background

•Generalized myasthenia gravis (gMG) ) is a rare, chronic, autoimmune disease characterised by muscle weakness and fatigue1.
•Disease presentation is heterogenous and there is no cure, however treatments aim to reduce symptom burden and prevent sudden exacerbations and myasthenic crises, which can be life-threatening2.
•Novel treatment options have recently received Canadian regulatory approval with more expected. Jurisdictions have been prioritizing the monitoring of gMG drugs on the horizon3.

Objective

•This study aims to describe the natural history, disease burden and treatment patterns of gMG patients in Canada

Methods

•Data were analyzed from the Adelphi Real World MG II Disease Specific Programme™ (DSP), a gMG patient-level cross-sectional database, collected through surveys between February-June 2024. The DSP methodology involves data capture from treating physicians captured via online questionnaires, as well as patient-level and/or caregiver-level data collected via online or pen and paper questionnaires. The DSP methodology has been previously published and updated4-7.
•Neurologists provided chart pull and cross-sectional information collected after a recent consultation on their consecutively consulting gMG patients including data on socio-demographics, symptomatology, and treatments.
•Physicians were included in the survey if their primary speciality was neurology and if they were currently managing at least one patient diagnosed with gMG. Patients were included if they had a confirmed diagnosis of gMG, were MGFA class II-IV, and were seropositive for AChR, MuSK or LRP4 antibodies. For this analysis, patients were required to be prescribed acetylcholinesterase inhibitor treatment at time of survey or previously.
•Data were assessed using descriptive statistics.
Acknowledgements
Disclosures

Table 1. Physician-reported gMG patient demographics and clinical characteristics
 

 

n = 46

Age at time of survey (years); mean (SD)

58.1 (14.7)

Gender; Male; n (%)

24 (52.2)

Ethnicity; White/Caucasian; n (%)

38 (82.6)

Total number of patients with a known time since diagnosis of gMG (years); n*

45

Time since diagnosis of gMG (years); mean (SD)

3.4 (3.1)

Antibody status, AChR+; n (%)

41 (89.1)

Antibody status, MuSK+; n (%)

5 (10.9)

Total number of patients with employment status reported; n*

45

Main employment status at time of survey, working part-time, on sick leave, unemployed, retired; n (%)

29/45 (64.4)

Patients with employment status reported as working part-time, on sick leave, unemployed, retired due to gMG; n (%)

6/45 (13.3)

gMG; Generalized myasthenia gravis, SD; Standard Deviation, AChR+; Acetylcholine receptor positive, MuSK+; Muscle-specific kinase positive

*n=1 don’t know excluded

Figure 1. Physician-reported MGFA classification (a), MG-ADL total score (b) and most frequent symptoms of gMG patients (c)
 

Picture1
Figure 1 footnotes

Results

•Fifteen (n=15) neurologists provided data for forty-six (n=46) gMG patients.
•The cohort’s mean (standard deviation, SD) age at time of survey was 58.1 (14.7) years, 52.2% were male, 82.6% were White/Caucasian and 89.1% were anti-AChR antibody positive. Mean time since gMG diagnosis was 3.4 (3.1) years (Table 1).
•Overall, 13.3% reported a change in employment status was due to their gMG. Most had public insurance (68.9%, Table 1).
•At time of survey disease severity was mostly Myasthenia Gravis Foundation of America (MGFA) class II (78.3%) patients and mean (SD) Myasthenia Gravis – Activities of Daily Living (MG-ADL) at time of survey was 5.6 (5.1). Common symptoms included eyelid ptosis (76.1%), dysarthria (50.0%), and dyspnea (54.3%, Figure 1).

Figure 2. Myasthenic crises and symptom exacerbations experienced by gMG patients (n=43)

Figure 2 small

gMG: generalised myasthenia gravis; n=3 don’t knows excluded

•During patients  disease course, 34.9% experienced ≥1 myasthenic crisis, while 25.6% reported symptom exacerbation (Figure 2).
•Of those to have experienced a symptom exacerbation (n=11), 45.5% (n=5) had experienced one in the twelve months prior to survey and 40% (n=2) of those required a hospitalisation.
•Of those to have experienced a myasthenic crisis (n=15), 40.0% (n=6) had experienced one in the twelve months prior to survey and 50% (n=3) of those had required an intensive care unit admission.
•At time of survey, patients had used 1.8 (0.9) lines of gMG maintenance treatment (Table 2).
•Of those, 97.8% were prescribed treatment at the time of survey whilst n=1 (2.2%) was reported as being in ‘drug-free’ remission.
•Including the currently prescribed line of treatment, 47.8% had only been prescribed one line of treatment since diagnosis, 30.4% had been prescribed two, 19.6% three and 2.2% four.

Table 2. gMG treatment overview (n=46)

Number of maintenance treatment lines, mean (SD)

1.8 (0.9)

Maintenance treatment lines since diagnosis, n (%)

 

1 line

22 (47.8)

2 lines

14 (30.4)

3 lines

9 (19.6)

4 lines

1 (2.2)


Treatment line was determined by the physician as the start, stop or switch of any individual therapy, gMG: generalised myasthenia gravis, SD; Standard Deviation

•Most prescribed gMG treatments (alone or in combinations) were pyridostigmine (95.6%), corticosteroids (48.9%), non-steroidal immunosuppressants (42.2%), Immunoglobulins (31.1%), and biologics (22.2%, Figure 3).
•The most commonly cited reasons across all treatment combinations was a reduction in muscle weakness (59.1%), a reduction in the risk of relapse (52.3%), a reduction in swallowing difficulties (50.0%) and a reduction in the risk of myasthenic crises (50.0%).

Figure 3. gMG maintenance treatment at time of survey (n=45)

Screenshot 2025 06 04 171820

Treatments prescribed specifically for maintenance / chronic use only as reported by the physician at the time of survey. gMG: generalised myasthenia gravis, AChEI: acetylcholinesterase inhibitors, CS: corticosteroids, NSIST: non-steroidal immunosuppressants, MMF: mycophenolate mofetil, IVIg: intravenous immunoglobulins, SCIg: subcutaneous immunoglobulins; PLEX: plasmapheresis

Conclusions image
Limitations
References
Img logo 273x140

Investigating the Bioequivalence, Injection Speed, and Usability of Subcutaneous Efgartigimod PH20 Administration Using a Prefilled Syringe

Bupe Mwaikambo

Filip Borgions

Koen Allosery

Jan Noukens

Cassandra De Muynck

BACKGROUND
  • Efgartigimod is an IgG1 antibody Fc-fragment that has been engineered for increased affinity to FcRn compared to endogenous IgG, and is uniquely composed of the only part of the IgG antibody that normally binds FcRn1
  • Efgartigimod selectively reduces IgG by blocking FcRn-mediated IgG recycling without impacting
    antibody production or other parts of the immune system, and does not decrease albumin1-3
  • Efgartigimod PH20 SC is a coformulation of efgartigimod and recombinant human hyaluronidase PH20, which allows for rapid SC administration of larger volumes4,5
  • The 1000-mg fixed-dose formulation of efgartigimod PH20 SC utilized in ADAPT-SC and
    ADAPT-SC+, which is provided in a vial and administered via a separate syringe (V+S),
    has been shown to be well tolerated and efficacious6
  • To improve patient convenience, a prefilled syringe (PFS) has been developed to ease the
    injection procedure
Moa


METHODS

Methods

RESULTS
Bioequivalence Study in Healthy Participants
Design: Healthy participants were randomized to receive a single injection of efgartigimod PH20 SC via PFS or V+S, and switched to receive the other treatment ≥2 weeks after the initial 3-week treatment period (≥5 weeks total between injections)
Results: Following a single administration of efgartigimod PH20 SC via PFS or V+S, efgartigimod serum concentrations indicated that the 90% CI around the GMR of Cmax and AUC0-inf was within the
predefined bioequivalence criteria of 80.00% to 125.00% (Table 1; Figure 1)

Safety: The frequency of AEs was similar between participants in both groups. The majority of
AEs were mild to moderate in severity; most frequently reported AEsa were injection site discoloration,
injection site reaction, and injection site hemorrhage. No SAEs or deaths were seen in the study

aOccuring in ≥10% of participants in either treatment group.

Table 1 figure 1

Injection Speed Study in Healthy Participants
Design: Healthy participants were randomized to receive efgartigimod PH20 SC 1000 mg in 1 of 12 injection sequences, each with 2 dosing periods. In each dosing period, participants received
injections over 20, 30, 45, or 60 secondsa

Results: There was no meaningful difference in the mean fluid leakage/backflow volume at the injection site across the injection time groups (Figure 2). All participants received at least 90%b of the entire injection volume across the injection time groups. Overall, the majority (>87%) of participants either strongly agreed or agreed to have the administration again 1 hour after injection (Figure 3). No clear preference toward an injection time group was concluded
Safety: All AEs were mild in severity, except for 2 moderate AEs of dysuria and pericoronitis in 2 (4.2%;
2 events) participants. No participants died during the study. Local injection-site scoring was similar and consistent across the injection time groups for the 3 assessed categoriesc at all time points

aTo allow delivery of efgartigimod PH20 SC at specified injection durations, contents of the PFS were transferred to an administration syringe and administered via syringe pump with a 27G needle under the supervision of site staff members.
A different PFS batch was used for this study with a minor difference in formulation; this is not expected to impact the conclusions of the injection speed study. b90% of efgartigimod PH20 SC volume administered is considered an entire dose. cThe 3 assessed categories of local tolerability included erythema, swelling, and induration.

Figure 2   3 v2

Human Factors Validation Studies in gMG and CIDP
Design: In a simulated-use environment mimicking a home setting, participants (N=30 in the gMG study [n=15 patients with gMG and n=15 lay caregiversa]; N=15 in the CIDP study) were given access to the IFU and materials supplied with the PFS. No training was provided. Participants were then tasked with performing an unaided injection and were questioned on their knowledge of the PFS (Table 2)
Results: 100% of participants (N=30/30 in the gMG study; N=15/15 in the CIDP study) were successful in preparing and delivering the full dose in an average of 30 seconds. Participants and lay caregivers had no difficulty handling the syringe and successfully identified critical information on the instructions. Residual risks were as low as possible and were not tied to the design of the prefilled syringe or instructional materials
aAdults who care for a family member with gMG (n=12) or CIDP (n=3).

Table 2
SUMMARY
  • Efgartigimod PH20 SC administered via PFS was shown to be bioequivalent to efgartigimod PH20 SC administered via V+S
  • The feasibility, safety, and tolerability of efgartigimod PH20 SC injection at a speed of 20 seconds is comparable to injections administered at 30, 45, or 60 seconds
  • Most participants had favorable responses when asked if they would be willing to have administration via PFS again
  • The safety profile of the PFS was consistent with the previously reported safety profile of efgartigimod PH20 SC administered via V+S
  • Human factor validation studies demonstrated that both participants with gMG/CIDP and lay caregivers can safely and successfully prepare and administer efgartigimod PH20 SC PFS
  • Efgartigimod PH20 SC administered via PFS may be a convenient option for patients with gMG or CIDP to ease the injection procedure

DISCLOSURES AND ACKNOWLEDGEMENTS
CLICK HERE

ABBREVIATIONS
CLICK HERE

REFERENCES
CLICK HERE

Img logo 273x140

Utility of skin Biopsy/IENFD in management of hATTR-PN

Torki Anab

Steven Baker

Introduction 
Screenshot 20250512 212547
Screenshot 20250512 212623
Case Report
Screenshot 20250518 202629
Screenshot 20250512 212748
NCS and Skin biopsy
Screenshot 20250512 212808
Screenshot 20250512 212834
Results and Managements
Screenshot 20250518 202734
A: Left foot showed nerve fiber density significantly decreased to 0.5/mm ,with normal morphology and no evidance of small vessels vasculitis or other histologic abnormalities identified on H&E. No amyloid deposits on congo red stain.
B: Right foot showed nerve fiber density significantly decreased to 0.1/mm, with normal morphology and no evidance of small vessels vasculitis or other histologic abnormalities identified on H&E. No amyloid deposits on congo red stain.
Note: Normal IENFD > 3.0/mm
Screenshot 20250518 204510
Img logo 273x140

A case of refractory NF155 paranodopathy with near complete sponteneous recovery

Moiz Mikail

Steven Baker

Mcmaster logo 2
Introduction/Background:

CIDP is a rare immune-mediated demyelinating neuropathy that has significant phenotypic variability.1 Despite extensive efforts, a unifying immunopathological mechanism remains elusive, likely due to etiological heterogeneity among the variant presentations.2 This is best exemplified by the identification of nodal/paranodal antibodies, such as neurofascin 155 (NF155) in a small subgroup of CIDP patients, who present with a distinct phenotype and embody a poor response to IVIG.3–5

We present the case of a 39-year-old male who presented with a 2-year history of progressive stocking-glove sensory loss and sensory ataxia. Electrodiagnostics confirmed an acquired demyelinating neuropathy, with serum anti-NF155 IgG4. His case was refractory to standard immunomodulatory therapy, including adequate trials of IVIG, steroids, azathioprine, and rituximab. He also had a non-therapeutic trial of PLEX, methotrexate, and tacrolimus. 

Case Presentation:

A 39 y/o male was initially seen in 2018 for a 2-year history of glove and stocking distribution sensory disturbance.  He was previously healthy with the exception of sleep apnea. He was born in the Philippines without any significant family history of neuromuscular disorders.  He did not have any weakness at that time, but he did have difficulty with sports, particularly running, jumping, and endurance. His sensory examination revealed a length-dependent decrease in his vibration sense up to his ankles and pinprick sensation up to his mid-shins.  His Achilles reflex was 0 bilaterally; otherwise, biceps, triceps, and patellar reflexes were noted to be 2+.  His tandem walking and Romberg were normal on initial assessment.

His initial nerve conduction studies (NCS) (Table 1) were consistent with an acquired demyelinating process.  

Cidp table
Table 1. Initial Nerve Conduction Studies on Presentation (Sept 2018).

Given his presentation, suspicion was high for an acquired demyelinating neuropathy.  Extensive workup was pursued, including blood work, lumbar puncture, genetic testing to rule out CMT 1, and imaging of his plexus. CSF analysis revealed albuminocytological dissociation with elevated protein of 3.72 g/L.  Matching oligoclonal bands were present in both CSF and serum. Genetic testing was non-contributory. Serum testing for anti-NF155 IgG and anti-contactin 1 IgG antibody via ELISA was performed by the University of Sydney Brain and Mind Center.  This was positive for anti-NF155 IgG4.

The patient was trialed on several immunomodulatory therapies, summarized in the following list:

Final treatments table tacrolimus updated

The patient did not have any improvement post IVIG/steroids and was only able to complete a brief trial of PLEX due to the COVID-19 pandemic. He started rituximab in Sept 2021, and did not have any clinical or electrophysiological benefit after more than a year of treatment.  The decision was made to discontinue rituximab in Sept 2022. Repeat EMG in June 2023 did not show any change in electrophysiological findings. A brief trial of Tacrolimus was also started in Nov 2023, but discontinued due to chest and back pain.  

On follow-up in Nov 2024, the patient presented with spontaneous clinical and electrophysiological recovery.

Motor ncv over time  cgpt format
Figure 1. Motor Nerve Conduction Velocities Over Time
Discussion:
This case provides insights into the natural history of NF155 “paranodopathy” and highlights a unique case of supra-refractory CIDP which underwent spontaneous remission with near-complete resolution. Delayed effect from rituximab was posited as a contributor, however, the patient had no clinical or electrophysiological improvement 20-months after initiation of anti-CD20 therapy. Current data suggests the vast majority of CIDP patients respond to rituximab within 6-12 months.6–8
References:

1. Van den Bergh PYK, van Doorn PA, Hadden RDM, et al. European Academy of Neurology/Peripheral Nerve Society guideline on diagnosis and treatment of chronic inflammatory demyelinating polyradiculoneuropathy: Report of a joint Task Force—Second revision. European Journal of Neurology. 2021;28(11):3556-3583. doi:10.1111/ene.14959

2. Mathey EK, Park SB, Hughes RAC, et al. Chronic inflammatory demyelinating polyradiculoneuropathy: from pathology to phenotype. J Neurol Neurosurg Psychiatry. 2015;86(9):973-985. doi:10.1136/jnnp-2014-309697

3. Devaux JJ, Miura Y, Fukami Y, et al. Neurofascin-155 IgG4 in chronic inflammatory demyelinating polyneuropathy. Neurology. 2016;86(9):800-807. doi:10.1212/WNL.0000000000002418

4. Kira J ichi. Anti-Neurofascin 155 Antibody-Positive Chronic Inflammatory Demyelinating Polyneuropathy/Combined Central and Peripheral Demyelination: Strategies for Diagnosis and Treatment Based on the Disease Mechanism. Front Neurol. 2021;12:665136. doi:10.3389/fneur.2021.665136

5. Shelly S, Klein CJ, Dyck PJB, et al. Neurofascin-155 Immunoglobulin Subtypes: Clinicopathologic Associations and Neurologic Outcomes. Neurology. 2021;97(24):e2392-e2403. doi:10.1212/WNL.0000000000012932

6. Benedetti L, Briani C, Franciotta D, et al. Rituximab in patients with chronic inflammatory demyelinating polyradiculoneuropathy: a report of 13 cases and review of the literature. J Neurol Neurosurg Psychiatry. 2011;82(3):306-308. doi:10.1136/jnnp.2009.188912

7. Roux T, Debs R, Maisonobe T, et al. Rituximab in chronic inflammatory demyelinating polyradiculoneuropathy with associated diseases. J Peripher Nerv Syst. 2018;23(4):235-240. doi:10.1111/jns.12287

8. Doneddu PE, Cocito D, Fazio R, et al. Prospective open-label trial with rituximab in patients with chronic inflammatory demyelinating polyradiculoneuropathy not responding to conventional immune therapies. J Neurol Neurosurg Psychiatry. 2024;95(9):838-844. doi:10.1136/jnnp-2023-332844

Img logo 273x140

Investigation of clinical features, EEG findings, and brain imaging in psychiatric patients with epilepsy at Razi Psychiatric Hospital

Mostafa Deilami

Mohammad Sayad Nasiri

Fatemeh Boshkar

Mohammad Reza Khodaei Ardakani

Ali Nazeri Astaneh

Mehdi Noroozi

University of social welfare and rehabilitation sciences  tehran  iran

Objectives:  to evaluate the clinical features, findings of EEG and brain imaging in psychiatric patients with epilepsy in Razi Psychiatric Hospital


Methods: This retrospective descriptive-analytical study was performed on epileptic patients with psychiatric disorders in Razi Psychiatric Hospital affiliated to University of Social Welfare and Rehabilitation Sciences, Tehran, Iran

Results: Out of 94 epileptic patients, 9.6% had focal epilepsy, 26.6% had diffuse epilepsy, 36.1% had focal-diffuse epilepsy and 26.8% had unknown epilepsy. About 12% had a structural etiology and 88% had an unknown etiology

Table1
Table3
Table2
Table4

Conclusion:

  • The results showed that epilepsy affects different people from adolescence to old age

and causes psychiatric disorders in them.

  • The cause of disease in many patients remained unknown, and changes in EEG and brain imaging were normal in most cases. 
Img logo 273x140

Neurophysiological Effects of Repetitive Non-concussive Impacts in Collegiate Football Players

Coljae Berry

Kim Huynh

Sebastian D’Amario

Cameron Hambly

Nicole Coverdale

Douglas Cook

Untitled 1

Background

Football players experience high rates of repetitive nonconcussive impacts (rNCIs) from acceleration/deceleration forces that may alter brain physiology despite absent concussion symptoms.1,2 Standard neuroimaging methods (fMRI, DWI) are time-intensive and costly, necessitating accessible, objective assessment tools for impact-related functional changes.3 The Kinarm is an interactive robotic device providing quantitative, objective assessments of sensorimotor and cognitive function.4
Research Objectives
  • Identify changes in Kinarm task scores associated with cognitive performance over a competitive season of collegiate football.
  • Evaluate the potential of the Kinarm as a quantitative tool for detecting neurological impairment resulting from cumulative rNCIs.
Methodology
Screenshot 2025 06 04 at 18.53.06
Thumb kinarm and impact Noun video grey
Participant Demographics
Results
Screenshot 2025 06 04 at 21.50.26
Screenshot 2025 06 04 at 21.52.09
Future Directions
  • Increase football player sample size to achieve adequate statistical power.
  • Correlate motor findings with neuroimaging to validate functional significance of movement changes. 
  • Longitudinal follow-up studies to assess if correction sensitivity persists.  
  • Compare motor adaptability between former football players and age-matched controls.
  • Enhance return-to-play protocols with correction task performance in addition to standard evaluations.
Results 
Screenshot 2025 06 04 at 23.42.56
Screenshot 2025 06 04 at 23.38.56
Conclusion
  • No significant differences in task scores (p>0.05).
  • No significant differences in reaction times (p>0.05).
  • Controls show significantly greater speed improvement (+0.030 vs -0.015 m/s, p=0.009).
  • Football players show extreme sensitivity to correction demands (path efficiency correlation: 0.839 vs 0.405).
References
Img logo 273x140

The impact of pre-stroke frailty on stroke rehabilitation outcomes: a retrospective cohort study

Ramez Michail

Bahareh Yavarizadeh

Anita Mountain

Download
Background
  • Stroke is a leading cause of adult disability worldwide, with 1 in 4 individuals over the age of 25 expected to experience one in their lifetime1. Effective rehabilitation is critical for improving outcomes and reducing long-term disability. 
  • Frailty is a state of increased vulnerability to stressors and is linked to more severe strokes and poorer recovery.2,3 
  • The Clinical Frailty Scale (CFS) is a validated tool to assess frailty, and its retrospective use provides a practical way to evaluate pre-stroke frailty when prospective data is unavailable.4,5
482640 1 en 7 fig1 html
Figure 1. Clinical Frailty Scale (CFS) developed by Rockwood et al., 2005
Objective
This study aimed to explore the association between pre-stroke frailty, measured retrospectively using the CFS, and stroke rehabilitation outcomes during inpatient rehabilitation, specifically, FIM gain (admission-to-discharge improvement) and FIM efficiency (functional gain relative to length of stay).
Methods
Picture3
Results
  • ​​Baseline Characteristics: There was no statistically significant association between pre-stroke CFS groups and stroke location. However, CFS groups differed significantly by age and sex: older patients tended to have higher frailty scores, while males had lower frailty scores compared to females.​​​​​​​
Table 1. Baseline clinical characteristics of patients by CFS categories
Picture3
  • FIM Gain: Pre-stroke Clinical Frailty Scale (CFS) groups showed no significant association with FIM gain (p > 0.05)
    • To note: More frail patients had lower admission and discharge FIM scores, but functional gains were comparable across groups.
  • FIM Efficiency: No significant relationship was observed between FIM efficiency and pre-stroke frailty (CFS) (p > 0.05).
Picture11
Discussion
  • Pre-stroke frailty was not associated with functional improvement, supporting evidence that frail patients still benefit from inpatient rehabilitation.7,8
  • More frail patients had lower functional scores at admission and discharge, but showed comparable gains, suggesting frailty should not exclude patients from rehab
  • Older adults (≥60) showed greater functional improvement, challenging assumptions about diminished rehab benefit in aging populations.
Limitations
  • Retrospective design: Data were extracted from electronic medical records, which may vary in completeness and affect the accuracy of CFS score assignment.
  • Small subgroup sizes: Although the overall sample was adequate, higher frailty categories had fewer patients, which may have limited subgroup analyses.
  • CFS validation: While widely used, the CFS is validated primarily in patients aged ≥65, though younger patients were included in this study.
Future Direction
  • Multi-centre, prospective studies with larger sample sizes are needed to validate and generalize these findings.
  • Future research should explore whether different rehabilitation programs yield different outcomes for frail versus non-frail patients. This may support the development of tailored rehabilitation approaches to better address the needs of patients with higher levels of frailty.
Conclusion
  •  Pre-stroke frailty did not affect functional improvement or rehab efficiency.
  • Frail individuals showed meaningful functional improvement, despite lower baseline and discharge FIM scores.
  • All patients meeting admission criteria benefited from inpatient rehabilitation regardless of frailty level.
 

References

Acknowledgments

Img logo 273x140

Regenerative white matter effect of neurod1-based gene therapy in non-human primate stroke model

Gabriel Ramirez-Garcia

Bruce Masotti

Golnar Taheri

Ruoyan Wan

Madison Wilson

Douglas Cook

INTRODUCCTION

Stroke is the second leading cause of disability worldwide, yet effective therapies remain limited. Currently, alteplase is the only approved treatment for hyperacute ischemic stroke, but its use is constrained by a short therapeutic window, prompting ongoing efforts to develop safer and more effective options. Gene therapy offers a novel approach for repairing tissue damage—particularly NeuroD1-mediated astrocyte-to-neuron conversion, which regenerates functional neurons after ischemic injury. In this study, we administrated NeuroD1 therapy in a non-human primate (NHP) stroke model to evaluate its effects on corticospinal tract (CST) recovery and motor performance.

METHODS


Eight non-human primates (NHPs) underwent middle cerebral artery occlusion (MCAO). Fourteen days post-MCAO, six animals received intracranial NeuroD1 treatment (n = 3 high dose; n = 3 low dose), while two animals received a control solution. Neurological and functional performance were assessed daily using the Non-Human Primate Stroke Scale (NHPSS) and the primate Rankin Scale (pRS), respectively.

MRI scans—including DTI, FLAIR, T1-weighted (T1w), and T2-weighted (T2w) sequences—were acquired at baseline and at 7, 30, 90, 120, and 240 days post-MCAO. Stroke lesions were manually segmented using T1w, FLAIR, and T2w images. Bilateral corticospinal tracts (CST) were reconstructed at each time point. Group comparisons of behavioral performance and fractional anisotropy (FA) along each CST were conducted to evaluate motor recovery and white matter integrity, respectively.

RESULTS
Picture1
Figure 2. Longitudinal behavioral assessment. The upper plot shows the NHPSS (Non-Human Primate Stroke Scale) scores over 240 days following MCAO. The lower plot presents the pRS (primate Rankin Scale) scores over the same time period. At 240 days post-MCAO, a significant reduction in NHPSS scores was observed in animals treated with either a low or high dose of NeuroD1 (p = 0.0229 for the low-dose group; p = 0.0247 for the high-dose group). No significant differences were detected in the pRS scores. Statistical analysis was performed using a mixed-effects model with multiple comparisons.

Neurological performance improvements were most evident on the NHPSS scale. NHPs receiving the control solution exhibited poor motor recovery and minimal or no CST reconstruction. In contrast, animals treated with a low dose of NeuroD1 showed both motor and functional recovery, accompanied by evidence of CST reconstruction. Notably, the group receiving the high dose of NeuroD1 demonstrated the most substantial behavioral improvements, along with greater CST integrity. Importantly, no significant differences in lesion size were observed between the control group and either of the NeuroD1-treated groups.

Picture2 Noun slideshow grey Picture1
Figure 1. Bilateral corticospinal tract (CST) reconstruction at baseline and at each time point following MCAO. Each image represents a coronal slice of the NHP brain template at baseline and post-MCAO time points. The top rowshows the control (CTRL) group, the middle row shows the group treated with a low dose of NeuroD1, and the bottom row shows the group treated with a high dose of NeuroD1. The color bar indicates the probability of tract connections between the motor cortices and the descending CST at the midbrain level.
CONCLUSION

NeuroD1 treatment promotes white matter tract restoration and facilitates motor recovery following stroke.

Gabriel Ramirez-Garcia
grg2@queensu.ca
gabbo_fry@hotmail.com
Img logo 273x140

Improving the NeuroD1-AAV-based gene therapy intracerebral injection protocol for optimal neuronal recovery

Golnar Taheri

Bruce Masotti

Gabriel Ramírez-García

Ruoyan Wan

Madison Wilson

Douglas Cook

Untitled 1
Introduction
Stroke is the leading cause of disability worldwide and the second leading cause of death. 
 
  • Ischemic stroke constitutes 87% of stroke cases, resulting in neuronal loss, glial cell proliferation, and disturbance of neuron-glia balance [1-3].
  • Recent research in rodents and non-human primates (NHPs) has focused on transdifferentiating astrocytes into neurons through Neurod1-AAV transdifferentiation [4-6].
  • The objective of this study was to determine the most effective delivery protocol for the intracerebral application of NeuroD1-AAV, with the aim of achieving sustained functional and cellular network restoration.
Timeline
Figure1. Study timeline

Method

In this study, twelve NHPs at 14 days post middle cerebral artery occlusion surgery received NeuroD1-AVV intracerebrally. NHP stroke scale (NHPSS) and colored glove shift tasks were performed during the recovery period of nine months.  Tissues were harvested and stained for neuronal (NEUN and MAP2) and astrocyte (GFAP) markers. Dendritic complexity was evaluated using Neurolucida 360, and cell counts were performed with FIJI. All statistical analyses were conducted using Prism 9 software.

Colored glove shift task
Nonhuman primate stroke scale
Results
Fig2 copy
Figure2. NeuroD1 gene therapy can induce long-term improvements in motor function independent of dose. (A) The results show that time significantly contributed to variability in NHPSS scores after stroke (p < 0.0001), while treatment had a modest but statistically significant effect (p = 0.0447); however, the interaction between time and treatment was not statistically significant. (B) The data also indicate a significant interaction between time and treatment (p = 0.0047), accounting for 9.534% of the variability. In contrast, time alone had a highly significant effect (p < 0.0001), whereas treatment alone did not significantly influence the outcome (p = 0.3587).
 
Fig3 new copy
Figure3. NeuroD1-AVV Gene therapy restores the neuron-to-astrocyte ratio balance in both low and high doses. The data show that in both low and high dose groups, the ratio of NEUN (neuronal marker) to GFAP (astrocyte marker) was balanced on the ipsilateral side (stroke side) compared to the contralateral side (healthy side), with a significant reduction in the control group (A) indicating an increase in astrocyte populations supported by the GFAP to DAPI (cell nuclei) ratio (B). 
 
Results cont'd
Fig4 new copy
Figure 4. Preliminary results of dendritic complexity analysis. Preliminary results of sholl analysis indicate that number of dendrite intersections in the stroke side of NHPs treated with higher dose is similar to the healthy side (distance p-value<0.0001, Intersections p-value=0.9934, distance x interactions p-value=0.8957), while transdifferentiated neurons in the low dose group exhibit greater complexity compared to the healthy side (distance <0.0001, intersections p-value=0.0133, distance x intersection s p-value<0.0001), and intersections are significantly reduced in the control group (distance p-value <0.0001, intersections p-value=0.0139, distance x intersections p-value = 0.2356).
Conclusion

Although all groups are shown to improve in behavioural assessments through the recovery process, treatment groups exert a notable effect. Analysis reveals that both treatment dosages are successfully restoring neuronal and glial cell ratios; the impact on cellular morphology and dendritic complexity varies with dosage. Further investigations are needed to confirm the overall morphological and connective properties of transdifferentiated neurons. 

Acknowledgment

We would like to sincerely thank Dr. Andrew Winterborn, Dr. Alana Backx, Dana Mika, ACS techs and staff for their immense contributions to animal health and welfare. Additionally, we acknowledge Neleah Lavoie for her outstanding work in the lab. Your dedication and efforts are greatly appreciated.

Refrences
Img logo 273x140

Eccrine Carcinoma with Perineural Metastases - a Rare Cause of Facial Pain

Oksana Marushchak

Laila Alshafai

Dom logo
BACKGROUND
Perineural metastasis is a rare cause of facial pain. Although perineural invasion is a histopathological diagnosis, perineural spread can be detected on MRI as thickening and enhancement of intracranial nerves, usually due to contiguous spread from the primary tumour. But perineural metastasis can also occur in the absence of perineural invasion.

We present a case of eccrine carcinoma without perineural invasion on histopathology with metastasis to the trigeminal and auricotemportal nerves. We also review the extracranial connections between the trigeminal and facial nerves that can facilitate tumour spread and should be carefully scrutinized on MRI. 

Eccrine carcinoma is a rare malignant adnexal tumour from eccrine sweat glands, comprising 0.005–0.01% of skin cancers.(1)  It presents as a painless, dome-shaped red to skin-colored nodule on the head, neck or lower extremities and may mimic other skin cancers.(1) It can arise de novo or from a benign poroma.
(2) 
Metastasis occurs in ~31% of cases, primarily to regional lymph nodes, and less commonly to lungs, liver, bone, or breast; recurrence occurs in up to 35% of cases.(1,3) Surgery (wide excision or Mohs) is the mainstay of treatment; chemo and radiation have limited benefit.(4,5) Early detection improves outcomes.
ECCRINE CARCINOMA - CASE HISTORY
A seventy-nine-year-old male with a history of left temporal scalp pre-cancerous lesion treated with liquid nitrogen two years prior presented with left facial pain and paresthesia. MRI showed a small enhancing subcutaneous nodule and thickening and enhancement of the left trigeminal, V3 and auricotemporal nerves. Subsequent excisional biopsy of the temporal lesion showed a poorly differentiated eccrine carcinoma without local perineural invasion.  He was subsequently treated with radiation therapy.
Eccrine for use
Fig 1. Gadolinium-enhanced T1 MRI sequence shows perineural thickening/enhancement along left V3 nerve (A), extending to Meckel's cave (B) and foramen rotundum (C) with suspected involvement of the left auricotemporal nerve (D). A spiculated subcutaneous left temporal scalp nodule (C) correlates with biopsy-proven eccrine carcinoma. There was no spread toward the parotid gland on MRI.
OTHER EXAMPLES OF PERINEURAL METASTASES
Parotid carcinoma v3 auricotemporal
Fig 2. Gadolinium-enhanced T1 MRI sequence shows right parotid gland carcinoma (A, dotted arrow) with contiguous perineural extension along the right V3 (A, dashed arrow) and auricotemporal nerves (B and C, solid arrows).
Npc auricotemporal greater palatine
Fig 3. Gadolinium-enhanced T1 MRI sequences shows a nasopharyngeal carcinoma with extension into the left superior parapharyngeal and masticator spaces (B, solid arrow), direct epidural extension through the floor of the left middle cranial fossa (A, solid arrow), involvement of the left greater superficial petrosal nerve, left geniculate ganglion (B, dotted arrow) and auricotemporal nerve. (C, dashed line).
Npc greater palatine
Fig 4. Gadolinium-enhanced T1 MRI seqeunce shows a nasopharyngeal carcinoma with direct perineural extension along V3 into the left foramen ovale and Meckel's cave (A, dotted arrow), involvement of foramen lacerum and left greater superficial petrosal nerve (D and C, dotted arrows) and left geniculate ganglion (B and C, solid arrows) with enhancement along the meatal segment of the left facial nerve (B, dashed carrow).
INTERCONNECTIONS BETWEEN TRIGEMINAL AND FACIAL NERVES
Nerve diagrams 1
Fig 5. Diagramatic rendering highlighting the branches of the trigeminal nerve, including the greater superficial petrosal nerve and chorda tympani.
Nerve diagrams 2
Fig 6. A diagramatic rendering highlighting the auriculotemporal nerve, a branch of the V3 nerve.
The trigeminal nerve (CN V) is the main sensory nerve of the face and has three branches that transmit sensory signals via the trigeminal ganglion to the brainstem (5):
  • V1 (Ophthalmic): Innervates the forehead, upper eyelid, and eye.
  • V2 (Maxillary): Innervates the cheek, upper lip, teeth, and nasal mucosa.
  • V3 (Mandibular): Innervates the lower jaw, anterior tongue, and provides motor innervation to muscles of mastication.
The facial nerve (CN VII) controls facial expression and carries parasympathetic and taste fibres. Though facial muscles lack classical proprioceptors, proprioceptive input from facial and jaw muscles is transmitted via CN V, supporting motor control and orofacial reflexes.
 Important anatomical connections between CN V and CN VII include:
  1. Auriculotemporal Nerve 
    • Roots arise from the posterior division of V3, wrap around the middle meningeal artery and form a single trunk that travels posteriorly and superiorly toward the TMJ along the medial aspect of the mandibular ramus and communicates with the facial nerve within the parotid gland 
    • Provides sensory innervation to the temporal region, ear, TMJ, and transmits parasympathetic fibres (via CN IX) to the parotid gland.
  2. Greater Petrosal Nerve (CN VII)
    • Originates from the geniculate ganglion of the facial nerve and joins the deep petrosal nerve to form the Vidian nerve; parasympathetic fibres reach the lacrimal gland via trigeminal branches (V2 → V1).
    • Innervates lacrimal, nasal, and palatine glands and carries taste and general sensory fibres.
  3. Chorda Tympani (CN VII)
    • Joins the lingual nerve (V3) to transmit taste from the anterior two-thirds of the tongue.
    • Delivers parasympathetic fibres to the submandibular and sublingual glands.
DISCUSSION
We report a case of scalp eccrine carcinoma with perineural metastases to the left trigeminal nerve. Perineural tumour spread is a rare but significant cause of facial pain and trigeminal neuralgia.(6) Trigeminal–facial nerve interconnections facilitate this spread. While imaging for undifferentiated facial pain often yields low returns, careful assessment for perineural enhancement is essential to avoid missing a potentially serious diagnosis. Radiologists can directly influence outcomes through early detection.
REFERENCES
1. Sawaya JL, Khachemoune A. Poroma: A review of eccrine, apocrine, and malignant forms. International J. of Derm. 2014;53:1053–61.
2. Joshy J, Mistry K, Levell NJ, van Bodegraven B, Vernon S, Rajan N, et al. Porocarcinoma: a review. Clinical and Experimental Derm. 2022;47:1030–5. 
3. Salih AM, Kakamad FH, Baba HO, Salih RQ, Hawbash MR, Mohammed SH, et al. 4. Porocarcinoma; presentation and management, a meta-analysis of 453 cases. Annals of Medicine and Surgery. 2017;20:74–9. 
4. Kim HK, Chung KM, Xing J, Kim HY, Youn DH. The Trigeminal Sensory System and Orofacial Pain. International J. of Molecular Sciences. 2024;25:11306-25. 
5. Mancuso Ilona Schmalfuss AM, Tart RP, Mukherji S, Schmalfuss IM, Mancuso AA. Auriculotemporal Nerve Perineural Tumor Spread Along the Perineural Tumor Spread Along the Auriculotemporal Nerve. AJNR. 2002;23:303-11.
6. Painful Trigeminal Neuropathy as a Rare but Important Presenting Complication of Metastasis of Head and Neck Cancer: A Case Report and Review. J. Neurol., Neruros. and Spine. 2017;2:1007-11. 
Img logo 273x140

The importance of recognizing temporomandibular joint (TMJ) lesions with intracranial extension: illustrative cases from the literature and our institution.

Hayley McKee

Taryn Rohringer

Andrew Yang

Yash Patel

Shivaprakash Hiremath

Alexandre Boutet

Image
Background
  • Intracranial extension temporomandibular joint (TMJ) lesions is clinically significant.
  • These lesions can mimic skull base or intracranial pathology, leading to misdiagnosis on imaging.
  • When misdiagnosed, patients may undergo unnecessary interventions or face diagnostic delays.
  • Despite this, the imaging features of these lesions are under-characterized in the literature.
  • No review, to our knowledge, has summarized the imaging and clinical features of these lesions that extend intracranially.
Purpose: To identify hallmark imaging findings, highlight cases of radiologic misinterpretation, and present a framework for when to consider these lesions clinically and radiologically. 
...
Methods
Databses: MEDLINE, SCOPUS and Embase, no date limitations. 
Inclusion: Editorials, case reports, case series, cross-sectional studies, cohort (retrospective and prospective) studies, RCTs, and other clinical trials reporting on intracranial extension of TMJ lesions with patient and imaging characteristics described. 
Exclusion: (1) Systematic reviews, meta-analysis, and other reviews; (2) Not English language; (3) Pre-auricular lesions of unspecified diagnosis. (4) No imaging described; (5) Individual imaging or patient characteristics not provided. 

 
Screenshot 2025 05 20 at 12.21.27 pm
Figure 1. PRISMA diagram describing search protocol. 
Results
Intracranial TMJ Lesions: Demographics

Variable

N=152 (%), Mean (± SD), range

Sex: Female vs Male 

72 (47%) vs 80 (53%) 

Laterality: Right vs Left 

73 (48%) vs 78 (51%) 

Age

50 (± 16), 15-90

Duration of symptoms (months to presentation)

34 (± 47), 3 days to 21 years

Patient-reported neurological symptoms 

73 (48%)

        Hearing loss/Tinnitus 

51 (70%)

        Headache

20 (27%)

        Facial numbness/paralysis

12 (16%)

Histological Diagnosis

 

PVNS / Tenosynovial GCT

66 (43%)

Synovial chondromatosis (SC)

36 (24%)

Tophaceous pseudogout

24 (16%)

Both CT and MRI used in diagnostic workup

108 (71%)

              Studies after 2015 (N=64)

49 (77%)

Size of lesion (cm, on imaging)

4.4 (± 1.5)

Intracranial TMJ Lesions: Recognizing Imaging Features

Diagnosis

Shape

CT Enahncing

MR Enhacing

Edema

Key features

PVNS / T-GCT 

Soft-tissue or cystic-solid lesion

19 (29%)

21 (32%)

3 (5%)

Low signal on MRI - due to hemosiderin (blooming on GRE)

SC

Lobulated mass, calcified bodies

0 (%)

2 (6%)

0 (0%)

Multiple calcified loose bodies on CT, small hypo-intense areas on MRI

Tophaceous pseudogout 

Irregular, calcified mass

0 (%)

10 (42%)

1 (4%)

Inhomogeneous enhancement of lesion on MRI; calcified mass on CT

  • Features: extra-axial lesion in middle cranial fossa, no parenchymal edema, bony defect on cranial floor near TMJ
  • In 90% of cases with correct radiological diagnosis, both CT and MRI were used. 
  • 86% (131/152) were treated surgically, with 62 (47%) undergoing craniotomy.
  • Average follow-up was 30 months (±32 months), and 93% of lesions did not recur. 7/10 recurrences were PVNS/T-GCT. 
Intracranial TMJ Lesions: Institutional Case Example
Twh cases 3
Figure 2. Axial bone-window CT shows right lateral temporal extra-axial mass with adjacent lucency involving the mandibular fossa, with differential diagnoses including cystic lesions, meningioma, and infection (A/B). Subsequent post-gadolinium T1-weighted sagittal MRI demonstrates a multiloculated extra-axial cystic lesion with peripheral enhancement and enhancing septations, inferior to the right temporal lobe, with suspected TMJ communication (C/D). 
Discussion
  • Intracranial extension of TMJ lesions can be misdiagnosed as primary intracranial or skull base pathology.
  • Most patients present with non-specific symptoms (e.g., jaw pain); less than half have neurological findings. 
  • CT and MRI together may improve diagnostic confidence; radiologists should routinely assess the TMJ in middle cranial fossa or skull base lesions and include TMJ lesions in the differential, when applicable.
  • PVNS/T-GCT and SC are the most common lesion types, with distinct CT and MRI features. Pseudogout was amongst the most common but radiologically ambiguous.
  • Multidisciplinary collaboration is essential for treatment and surgical planning in these cases. 
Img logo 273x140

Bridging the Evidence Gap: RAG-enabled LLMs in Neuroimaging Decision Support

Nicholas Dietrich

Brett Stubbert


Background
  • Appropriate imaging selection plays a critical role in facilitating timely diagnoses and effective management, particularly in suspected central nervous system (CNS) conditions [1].
  • Large language models (LLMs) offer potential for clinical decision support but may not reliably follow established or evolving imaging guidelines [2].
  • Retrieval-augmented generation (RAG) may help bridge this gap by dynamically incorporating external knowledge into model prompts [3].
  • This study evaluated LLM adherence to Canadian neuroimaging guidelines with and without RAG integration.

Methods
  • A novel RAG framework was developed that integrated the Canadian Association of Radiologists (CAR) Diagnostic Imaging Referral Guidelines [4] with GPT-4o and o1 models.
    • GPT-4o was selected for its general-purpose language understanding and broad knowledge base.
    • o1 was selected for its specialized training in complex science and mathematical reasoning.
  • Clinical scenarios were carefully crafted to represent various CNS conditions applicable to the CAR imaging guidelines, such as acute stroke, headache, and multiple sclerosis.
  • Each model was prompted with identical scenarios, and output responses were evaluated using a three-tiered adherence scale [3]:
    • 1 = Full adherence
    • 0.5 = Partial adherence
    • 0 = Non-adherence
  • A qualitative analysis was subsequently conducted to identify and categorize common themes among partially adherent and non-adherent responses to provide insight into the nature and frequency of guideline deviations.
Figure 1
Figure 1. Overview of retrieval-augmented generation pipeline for output generation.

Results
  • In total, 300 clinical scenarios were used to prompt each model.
  • Guideline adherence rates were 83.8% for GPT-4o, 94.0% for GPT-4o+RAG, 85.5% for o1, and 93.2% for o1+RAG (Table 1).
  • A Kruskal-Wallis test (H(3)=44.1, p<0.001) identified significant differences among models.
  • Post-hoc comparisons showed RAG-enabled LLMs significantly outperformed standalone models (p<0.001).
  • No significant differences were observed between GPT-4o and o1 without RAG (p=0.531), or between GPT-4o+RAG and o1+RAG (p=0.532).
 
Table 1. Guideline adherence rates of GPT-4o and o1 with and without RAG.
Model Full Adherence Partial Adherence Non-Adherence Adherence Rate
GPT-4o 217 69 14 83.8%
GPT-4o+RAG 267 30 3 94.0%
o1 223 67 10 85.5%
o1+RAG 262 35 3 93.2%

Figure 2
Figure 2. Example of input prompt with and without retreived context from RAG pipeline.

Results (cont.)
  • Analysis of partial and non-adherent responses revealed that guideline deviations most commonly involved vague or non-specific recommendations (Table 2).
Table 2. Categorization of guideline deviations in partial and non-adherent responses.
Guideline Deviation Category GPT-4o GPT-4o+RAG o1 o1+RAG
Incorrect modality selection 11 2 9 3
Missing modality or guideline component 1 0 2 0
Vague or non-specific recommendation 37 24 33 12
Insufficient justification or clinical rationale 34 7 33 23

Conclusions
  • This is among the first studies to develop a custom RAG-enabled system for CNS imaging decision support.
  • RAG-based prompts significantly improved LLM adherence to Canadian neuroimaging guidelines, even when baseline models demonstrated moderate performance.
  • These findings support the integration of guideline-aware retrieval into model augmentation strategies to enhance clinical utility.
  • However, ethical and legal considerations surrounding the use of publicly available LLMs and confidential patient data remain [5].
  • Future work should validate and explore broader applications of RAG-enabled tools to advance evidence-based care.
References
  1. Buethe J, Nazarian J, Kalisz K, Wintermark M. Neuroimaging wisely. AJNR Am J Neuroradiol. 2016 Dec 1;37(12):2182-8.
  2. Nazario-Johnson L, Zaki HA, Tung GA. Use of large language models to predict neuroimaging. J Am Coll Radiol. 2023 Oct 1;20(10):1004-9.
  3. Dietrich N, Stubbert B. Evaluating adherence to Canadian radiology guidelines for incidental hepatobiliary findings using RAG-enabled LLMs. Can Assoc Radiol J. 2025:08465371251323124.
  4. Hamel C, Avard B, Dea N, Margau R, Mattar A, Michaud A, et al. Canadian Association of Radiologists Central Nervous System Diagnostic Imaging Referral Guideline. Can Assoc Radiol J. 2025:08465371241311247.
  5. CAR Artificial Intelligence Working Group. Canadian Association of Radiologists white paper on ethical and legal issues related to artificial intelligence in radiology. Can Assoc Radiol J. 2019 May;70(2):107-18.
Img logo 273x140

The Role of Large Language Models in Neuroradiology: A Scoping Review and Thematic Analysis

Nicholas Dietrich

Brett Stubbert


Background
  • Large language models (LLMs) have gained popularity in medicine with expanding utility across clinical domains [1].
  • However, while they show promise in radiology more broadly, their specific roles in neuroradiology remain underexplored [2].
  • This study aimed to evaluate the current landscape, identify evidence gaps, and propose future directions for LLMs in neuroradiology.

Methods
  • A systematic literature search of several databases, including PubMed, Embase, Web of Science, and Scopus was conducted to identify relevant studies published between January 1, 2010, and October 1, 2024.
  • Two reviewers screened eligible studies and selected original primary research applying LLMs in neuroradiology for inclusion.
  • Included studies were evaluated using thematic and geographical analyses to identify trends in the literature.
Figure 1
Figure 1. PRISMA-ScR Flow Diagram for the Scoping Review Process [3].

Results
  • Of 287 identified studies, 57 met the inclusion criteria (Figure 1).
  • Findings revealed a significant upward trend in publications since 2018, with an annual growth rate of 78.2% and a calculated doubling time of 10.7 months (Figure 2).
Figure 2 sr placeholder
Figure 2. Number of Studies Using Large Language Models in Neuroradiology by Publication Year.
  • Three main themes emerged: operational workflow optimization, diagnostic decision support, and education and training (Table 1).
Table 1. Thematic Classification of LLM Applications in Neuroradiology.
Theme Explanation Example Use Case N (%)
Operational Workflow Optimization Use of LLMs to streamline radiology operations, scheduling, and reporting Automated report generation, triage assistance 26 (45.6%)
Diagnostic Decision Support Integration of LLMs to assist in clinical interpretation, reasoning, and differential diagnosis Generating differential lists, recommending follow-up imaging 20 (35.1%)
Education and Training Use of LLMs for radiology teaching, clinical knowledge reinforcement, and patient education Interactive quizzes, explanation of findings to patients 11 (19.3%)
  • From the existing literature, key knowledge gaps included strategies to mitigate hallucinations, and enhance model transparency through explainable AI techniques and model auditing.
  • There also remain gaps in studies addressing adversarial risks and safeguarding patient privacy, while addressing evolving regulatory concerns.

Results (cont.)
  • Geographically (Figure 3), most studies originated from North America (n=23, 40.4%), Europe (n=19, 33.3%), and Asia (n=12, 21.1%), with limited contribution from other regions (n=3, 5.3%).
Figure 2 scr
Figure 3. Geographic Distribution of Studies Using LLMs in Neuroradiology.

Conclusions
  • LLMs are being applied in neuroradiology to support diagnostics, streamline workflows, and enhance education.
  • Future research should focus on real-world validation, standardization of data handling, and improving model transparency to enable safe and ethical implementation.
  • Expanding research efforts in underrepresented regions is also critical to improve LLM generalizability and reduce biases.

References
  1. Omiye JA, Gui H, Rezaei SJ, Zou J, Daneshjou R. Large language models in medicine: the potentials and pitfalls: a narrative review. Annals of internal medicine. 2024 Feb;177(2):210-20.
  2. Gong B, Khalvati F, Ertl-Wagner BB, Patlas MN. Artificial intelligence in emergency neuroradiology: Current applications and perspectives. Diagnostic and Interventional Imaging. 2024 Dec 12.
  3. Tricco AC, Lillie E, Zarin W, O'Brien KK, Colquhoun H, Levac D, et al. PRISMA extension for scoping reviews (PRISMA-ScR): checklist and explanation. Annals of internal medicine. 2018 Oct 2;169(7):467-73.
Img logo 273x140

Radiologico-pathologic heterogeneity and complexity of polymicrobial brain abscesses

Asma Al Hatmi

Crystal Fong

Liu Jing

Frances-Claire Eichorn

Mcmas
Introduction and Background
- Polymicrobial brain abscess (PBA) is a complex infection caused by two or more pathogens and a life-threatening condition with diagnostic and therapeutic challenges.
- Reported incidences of BAs range from 4 to 9 cases per 1,000,000 population, with increased rates in immunosuppressed individuals and overall mortality rate of approximately 15%. 
- PBAs are not uncommon and likely under-reported due to diagnostic challenge, deserving increased awareness to facilitate prompt and appropriate treatment. 

Study aim and objectives

- To delineate the radiological characteristics with pathology correlation of PBA.

- To compare and determine the similarities and differences between PBAs and monomicrobial brain abscess (MBAs).   

Methodology 

- Design: Single center, retrospective study design.
- Participants: 31 patients who had brain tissue-confirmed BAs with multiple pathogens and had  brain imaging from 2010 to May 2024). 
- Intervention: Brain imaging and histopathology evaluation.
- Comparison:Radiological features of monomicrobial brain abscess. 
- Methodology: Clinical, radiological and histopathological variables.
- Radiology variables :unifocality vs multifocality, presence of lobulation and presence of heterogeneity and complexity based on 3 things ( difference on capsule thickness, difference in degree of diffusivity and marked variable MRI signal) and radiological stage (Early (I or II, without capsulation) or Late (III or IV, with capsulation).
- Ethics approval:  obtained from the Hamilton Integrated Research Ethics Board. 
- Statistical analysis: 
 -31 PBAs versus a large group of 113 MBAs previously studied in our -institution.
 - Fisher’s exact and Mann-Whitney U test were used to evaluate the difference in categorical and numerical variables between the two groups respectively.
 - A 2-tailed p value of < 0.05 was considered statistically significant.

Results
-The age was 26-78 years (median:58 years). 
- Majority were males (77%).
- No specific clinical presentation, commonly headache and confusion.
- About two third of PBAs were immunocompromised patients.
- The most likley sourse of pathogen was otogenic,odontogenic and /or rhinogenic/sinusitis accounting for 48% of the cases. (p = 0.0131).

- 94% of the brain abscess cases were unifocal. p = 0.0412*.
- Lobulation of brain abscess was present in 97% of the cases.
- Half of the PBAs cases (54%) showed heterogeneity and complexity on MRI. 

Lobulation of pbas
Figure(1): Presence of lobulation of PBAs.
Pbas heterogeneity and complexity on mri
Figure(2): Heterogeneity and complexity of PBAs.
Radiological stage of pbas
Figure(3): Radiological stage of PBAs.
Histopathology stage
Figure(4): Histopathological stage of PBA.
Early capsule formation Noun slideshow grey Early capsule formation
Figure (5): Brain MRI of left frontal abscess shows restricting rim enhancing lesion with thickened capsule laterally (arrow, image C), denoting more mature capsule formation. Gradient echo sequence shows the dual-rim sign (arrow, image D), commonly seen in cerebral abscesses and is a useful distinguisher from neoplastic disease. 
Picture1 Noun slideshow grey Picture1
Figure(6): Brain MRI of left frontal PBA shows late capsular formation posteriorly (stage IV), (arrow, image C).
Mri brain of mba Noun slideshow grey Mri brain of mba
Figure(7): Brain MRI shows right parietal MBA.
References:
Discussion

-The present study demonstrates clinical, radiological and pathological characteristics of PBAs, revealing a few novel findings.
- PBAs and MBAs had a few similarities such as nonspecific clinical presentations, a male predilection, and overall similar prognosis following surgical intervention with broad-spectrum antimicrobial therapy.
- Compared to MBAs, PBAs were more likely unifocal (94% of cases) as well as caused by pathogens of otogenic, odontogenic and/or rhinogenic sources(statistically significant). 
-  PBAs were highly heterogeneous with more complexity on MRI/CT imaging.
- PBAs were typically rim-enhancing lesions at late-stages, (97%) of PBAs showed the lobulation of enhancing rims on MRI and (54%) of cases demonstrated marked difference in the thickness of enhancing rim, marked difference in the degree of DWI signal, and/or marked variation in intra-lesional MRI signal.
- PBA histopathology was characterized mainly by alternating early-stage and late-stage features with regional differences, variable distribution and combinations of 2-4 pathogens.  Streptococcus species are the most commonly associated with intracranial abscesses and found in most PBAs in this series.
- PBA pathological stages were somewhat non-corresponding to radiological stages , due to a few reasons including undersampling of the lesion for histopathological examination, and/or disease progression during the interval between preoperative MRI/CT and operation. 
- As such, PBAs/BAs should be staged by a clinico-radiologico-pathological approach. 

Conclusion and future implications 
- BPAs share some features with MBAs, but they are more heterogeneous with greater complexity on imaging and histopathology. 
- Their diagnosis and disease staging require a clinico-radiologico-pathological approach. 
- PBAs deserve more awareness for prompt diagnosis and appropriate treatment.
- Further research involving larger sample sizes and multi-center assessments is crucial to validate these findings and deepen our understanding of clinico-radiologico-pathological approach of PBAs.
Img logo 273x140

Decoding the Brachial Plexus : from Fundamentals to advances - Anatomy, Imaging and Pathologies

Kamaljeet Singh

Santanu Chakraborty

Vered Tsehmaister Abitbul

Maria Lucia Brun-Vergara

Carlos H. Torres

Uottawa
INTRODUCTION
The brachial plexus (BP) provides motor and sensory innervation to the upper limb and upper chest. Evaluation of BP pathology is based on clinical history, physical examination, nerve conduction studies (NCS), and electromyography (EMG). However, imaging plays a crucial role in localizing, characterizing, and classifying lesions.
Fig 1: Diagramatic representation of brachial plexus.
Bp 1
Fig 2: 3D STIR Cor MRI MIP images depicting the brachial plexus. 
Bp mri
Fig 3: Cor oblique T2 WI and T1 WI showing brachial plexus.
Bp mri 2
Caption Fig 3
ANATOMY :
The BP is formed by the ventral rami of C5 to T1 and consists of 5 roots, 3 trunks, 6 divisions, 3 cords, and 5 terminal branches.
Anatomic variants include:
Prefixed brachial plexus: with a contribution from the C4 nerve.
Postfixed brachial plexus: with a contribution from the T2 nerve.
Variant root pathway: passage of the C5–C6 roots anterior to or through the anterior scalene muscle.

MRI PROTOCOL AND LANDMARKS:
3D Cor T2, Cor T1, Cor STIR , Sag obl T1 ; 3D Cor STIR
1. Neural foramen
2. The interscalene triangle.
3. The lateral border of the first rib.
4. The medial border of the coracoid process.
5. The lateral border of the pectoralis minor muscle.
TRAUMATIC BRACHIAL PLEXUS PATHOLOGIES
  • Mostly occur in newborns and young adults. 
  • Erb’s palsy (upper BP palsy involving C5–C6, sometimes C7) and Klumpke palsy (lower BP palsy involving C8–T1) are classic patterns seen in birth-related (obstetric) injuries in the newborns. 
  • Traumatic Injuries are more broadly classified.   Upper C5–C7 roots are more prone for postganglionic injury (rupture at an extraforaminal location) and  Lower C8– T1 roots get more of preganglionic injury (root avulsion).
Sunderland Classification of Nerve Injury
Preganglionic Injury: Refers to avulsion of the nerve rootlets from the spinal cord . Imaging findings (typically visible at least 3–4 weeks post-injury) may include pseudomeningocele formation.
Postganglionic Injury: Imaging may show, focal thickening of the nerve trunk, loss of fascicular architecture, nerve trunk or fascicular discontinuity, neuroma formation. 
Imaging findings may not always correlate directly with classic injury grading schemes.
However, the distinction between low-grade (non-surgical) and high-grade (surgical) lesions can often be made.
In high-grade injuries, traumatic neuroma formation may be present—corresponding to Sunderland fourth- or fifth-degree injuries.
Fig 4 : Normal appearance of nerve roots. 
Fig 5: Preganglionic Injury findings. 
Pre ganglionic Noun slideshow grey Pseudomeningocele
Caption Fig 4, 5
Fig 6: A 46 year old man with weakness and numbness in the left arm and hand after suffering a ski accident.
Fig 7: Post traumatic neuroma formation. 
Post ganglionic 1 Noun slideshow grey Neuroma
Caption Fig 6, 7
Fig 8: 40 year old patient with left hand weakness. 
Neuroma
Enhancing mass lesion in the proximal branches of the left brachial plexus found to be schwannoma.
References
NON- TRAUMATIC BRACHIAL PLEXUS PATHOLOGIES
It can be due to inflammatory, compressive, and neoplastic conditions. Common etiologies include post-radiation plexopathy, acute BP neuritis/plexitis, polyneuropathy, and thoracic outlet syndrome. Neoplastic involvement may arise from primary tumors, most commonly benign or malignant PNSTs, or through secondary invasion by malignancies .
Fig 9: A 5 year old boy with right arm acute flaccid paralysis with previous prodrome and confirmed enterovirus infection.
Fig 10: 68 year old with history of Ca breast and radiotherapy. 
Post infective Noun slideshow grey Radiation neuritis toh
Caption Fig 9 and 10
Fig 11: 32 year old patient of Neurfibromastosis type 1.
Schwannomas 1 Noun slideshow grey Schwannoma2
Multiple peripheral nerve sheath tumors - Neurofibromas affecting the brachial plexus. 
Fig 12: 64 year old with recently diagnosed lung mass.
Pan 2 Noun slideshow grey Pan
Pancoast tumor infilterating the brachial plexus.
Summary
Img logo 273x140

Value Of CT Neck Angiography and Expanded Denver Criteria In Assessing Blunt Cerebrovascular Injury (BCVI) In The Setting Of Blunt Cervical Trauma, Assaults, And Strangulation

Islam Ahmed

Niousha Parsa

Hala Mahdi

Eduardo Portela De Oliveira

Fm globe logo
Introduction

Blunt cervical trauma, especially from assaults and strangulation, can cause Blunt Cerebrovascualr Injury (BCVI) , a rare but potentially fatal condition. Diagnosis is challenging due to non-specific symptoms with an incidence of 0.5% to 2%, higher in assault and strangulation cases. CTA is the most commonly used imaging modality for BCVI, but guidelines on when and how to use it remain unclear. The Biffl Classification is a grading scheme used to describe the spectrum of BCVI seen on angiography.

  • Grade I—intimal irregularity with <25% narrowing
  • Grade II—dissection or intramural hematoma with >25% narrowing
  • Grade III—pseudoaneurysm;
  • Grade IV—occlusion; and
  • Grade V—transection with extravasation.

Primary Objective: To evaluate the utility of neck CTA in detecting BCVI from blunt cervical trauma, including assaults and strangulation.

Secondary Objectives

  • Asess the diagnostic yield of neck CTA and EDC in detecting BCVI. 
  • To assess the relationship between trauma severity and CTA findings.
  • Explore mechanisms of injury and sex differences in BCVI cases 
Material and Methods 
Retrospective review of patients ≥18 years who underwent neck CTA for blunt cervical trauma, assault, or strangulation from Jan 2013 to Jun 2023. Data were collected from EPIC and PACS, including clinical presentation, demographics, risk factors, imaging, and outcomes.
Inclusion Criteria: Age ≥18 , Blunt cervical trauma, assaults/strangulation, Neck CTA performed

Exclusion Criteria: Penetrating injuries, Pre-existing cerebrovascular disease, No CTA performed, Incomplete records

Results
Total of 790 studies were extracted from PACS. After exclusions, 382 CTA reports were analyzed. BCVI  was identified in 42 patients (11%), most commonly (BCVI) grade I (57%), with MVC as the leading mechanism. Posterior circulation vessels were most frequently involved, followed by the internal carotid arteries. Some injuries were linked to cervical fractures. EDC identified most BCVI cases; however, 29% fell outside its criteria, highlighting screening gaps. 
Blue simple healthcare presentation  4  copy 2
Blue simple healthcare presentation  4
Results
Blue simple healthcare presentation  4
Blue simple healthcare presentation  4
Discussion and Conclusion
BCVI is an underdiagnosed but serious complication of blunt cervical trauma, often linked to MVCs. While most cases are low-grade with good outcomes if detected early, higher-grade injuries require close monitoring and possible therapeutic intervention. Improved screening and further research on risk factors, outcomes, and treatment are needed.
Img logo 273x140

Isolated Intraventricular Hemorrhage Presenting as Reversible Cerebral Vasoconstriction Syndrome

Rana Moshref

Alonso Alvarado Bolanos

Background:
Reversible cerebral vasoconstriction syndrome (RCVS) can present with intracranial hemorrhage in approximately 20% of cases; with the most common locations being the subarachnoid space at the convexity and intracerebral. Isolated intraventricular hemorrhage (IVH) is extremely  rare in the setting of (RCVS). Classic angiographic changes are often delayed in patient with RCVS making the diagnosis more challenging when clinical and imaging findings are atypical. Excellent angiographic response to intra-arterial chemical spasmolytics can aid in the diagnosis of RCVS when other imaging findings are atypical.

Case report:
A 36-year-old patient sought medical attention due to acute onset of severe headache graded 10/10 in intensity with radiation to neck, photophobia, nausea, and multiple episodes of emesis. Neurological exam was only relevant for confusion without any focal deficits. His past medical history relevant for untreated anxiety and depression as well as active smoking of 10-cigarrets per day.
Computed tomography (CT) angiogram (CTA)/ CT head showed large intraventricular hemorrhage (IVH) in right lateral ventricle with hydrocephalus without any vascular abnormalitiesy. An external ventricular drain. He underwent a magnetic resonance (MR)/MR angiogram (MRA) of his head on day 3 of his admission showing a normal brain parenchyma and absence of any features to suggest an underlying vascular abnormality. He was started on nimodipine 60 mg every 4 hours. Throughout his admission, his headache persisted with bouts of intense thunderclap-headaches and confusion.
On day 15 of his admission, he underwent diagnostic cerebral angiography showing segmental vessel caliber narrowing involving bilateral internal carotids, basilar artery, anterior cerebral, middle cerebral and posterior cerebral arteries bilaterally. On day 17, he developed acute onset of global aphasia, right hemibody weakness and homonymous hemianopia. His National Institutes of Health Stroke Scale (NIHSS) at the time of assessment was 8.  A head CTA showed severe diffuse intracranial stenosis involving the circle-of-Willis bilaterally. He was taken to the angiography suite for chemical spasmolysis with verapamil. Following infusion of 15 mg verapamil within both internal carotid arteries and left vertebral artery, there was significant interval improvement in multifocal stenoses. Radiographic improvement was also associated with complete resolution of his symptoms. He was ultimately discharged home 28 days after his admission with complete resolution of his symptoms. His 3-month follow up diagnostic cerebral angiogram showed normal intracranial vasculature.


Discussion and Conclusion:

Reversible cerebral vasoconstriction syndrome (RCVS) is defined clinically by recurrent thunderclap headaches associated sometimes with seizures and focal neurological deficits, and radiologically with intermittent spasms in cerebral arteries that would resolve in 3 months’ time. It can present with multiple bleeding patterns, mostly cortical subarachnoid and intracerebral hemorrhage (ICH). Overall, isolated intraventricular hemorrhage is a rare cause of ICH, constituting only 3.1% of all hemorrhagic stokes. There are 4 reported cases of RCVS presenting with IVH associated with ICH/stroke (Table 1). This case highlights rarity of presentation of RCVS and a further signifies the utility of response to intra-arterial spasmolytics as adjunct in the diagnosis of difficult cases of RCVS. Further retrospective and prospective data are needed.
Refrences: [1] Kaufmann J, Buecke P, Meinel T, Beyeler M, Scutelnic A, Kaesmacher J, Mujanović A, Dobrocky T, Arsany H, Peters N, Z'Graggen W, Jung S, Seiffge D. Frequency of ischaemic stroke and intracranial haemorrhage in patients with reversible cerebral vasoconstriction syndrome (RCVS) and posterior reversible encephalopathy syndrome (PRES) - A systematic review. Eur J Neurol. 2024 May;31(5):e16246. doi: 10.1111/ene.16246. Epub 2024 Mar 12. PMID: 38470001; PMCID: PMC11235994. [2] Dakay K, McTaggart RA, Jayaraman MV, Yaghi S, Wendell LC. Reversible cerebral vasoconstriction syndrome presenting as an isolated primary intraventricular hemorrhage. Chin Neurosurg J. 2018 Jun 4;4:11. doi: 10.1186/s41016-018-0118-7. PMID: 32922872; PMCID: PMC7398312. [3]Wilson D, Marshall CR, Solbach T, Watkins L, Werring DJ. Intraventricular hemorrhage in reversible cerebral vasoconstriction syndrome. J Neurol. 2014 Nov;261(11):2221-4. doi: 10.1007/s00415-014-7499-0. Epub 2014 Sep 21. PMID: 25240397; PMCID: PMC4221649. [4]Fujita S, Hayashi M, Sato S, Hiramoto Y, Nakayama H, Ito K, Saito N, Iwabuchi S. A case of reversible cerebral vasoconstriction syndrome with intracranial hemorrhage. Brain hemorrhages. 2020 Dec; 1 (4): 192-195. Doi:10.1016/j.hest.2020.10.006 [5]Tark BE, Messe SR, Balucani C, Levine SR. Intracerebral hemorrhage associated with oral phenylephrine use: a case report and review of the literature. J Stroke Cerebrovasc Dis. 2014 Oct;23(9):2296-300. doi: 10.1016/j.jstrokecerebrovasdis.2014.04.018. Epub 2014 Aug 23. PMID: 25156786; PMCID: PMC4180794.

Table 1: Case Series Isolated Intraventricular Hemorrhage Presenting as RCVS

Authors 

Patient demographics and symptoms

Medications

Workup

Treatment 

Follow up

Dakay et al

58-year-old female

Worse headache

History of chronic migraines, depression, seasonal allergies

 

Serotonergic medications, bupropion, sertraline, decongestants 

Negative toxicology. Catheter cerebral angiography: multifocal areas of irregular narrowing in the distal posterior cerebral artery branches and distal left middle cerebral artery.

IV nimodipine then oral verapamil, magnesium gluconate 

Resolution of symptoms at 2 months

Wilson et al

47-year-old male 

Sudden occipital headache, nausea, vomiting, left facial weakness 

 

Regular intranasal oxymetazoline for coral symptoms

CT head: right posterior cerebral artery infarction and subarachnoid blood in the prepontine cistern and fourth ventricle. Catheter cerebral angiography: focal stenosis of right middle cerebral artery. MRI brain: multiple areas of restricted diffusion right MCA, PCA.

Nimodipine 60 mg 4 times a day

Resolution of symptoms 2 days from admission. 3 months: repeat catheter angiogram showed resolution.

Fujita et al

54-year-old female

Known to have migraine presented with headaches and then was discharged (unknown day), re-presented 6 days after initial presentation with consciousness disorder, GCS 15 

Not reported

MR brain/ MRA: left–right difference in the vertebral arteries, suggesting dissection of the right vertebral artery. CTA was negative.

Day 5 from initial presentation: CT head/CTA right frontal lobe bleed and anterior cerebral artery and peripheral middle cerebral arteries vasospasm.

Day 7 from initial presentation: peripheral cerebral edema on CT scan, no change neurologically, so craniotomy hematoma removal done then verapamil 120 mg started.

MRA head: improved vasospasm in 2 weeks, mRS 3 and discharged to rehabilitation center

3 months follow up mRS0. 4 months diagnosed with hydrocephalus and lumboperitoneal shunt inserted.

Tark et al

59-year-old female 

Severe headache, right-sided hemiparesis, aphasia, and left gaze deviation

 

 

Decongestants 

CT head: left hemispheric ICH with intraventricular and subarachnoid extension. CTA and MRA: negative. Catheter cerebral angiography: focal narrowing distal vessels.

 

Brain biopsy at the time of surgical evacuation not diagnostic.

Discharged 22 days to rehabilitation with bowel and urinary incontinence, ataxia, right sided weakness, and expressive aphasia. 72 days from presentation: symptoms improved and discharged home.

Img logo 273x140

Evaluation of endovascular access complexity on stroke patient’s initial imaging: an agreement study

Zoe Tsai

Tori Rock

Gregory Walker

Adrien Guenego

Gil Zur

Thanh Nguyen

Pierre-Olivier Comby

Raphaël Blanc

David Volders

Francesco Diana

Simon Escalard

Stanislas Smajda

Uta Hanning

Mohamed Abdalkader

Alice Ma

Christine Hawkes

William Boisseau

Lorena Nico

Charlotte Weyland

Guillaume Charbonnier

Markus Moehlenbruch

Hesham Masoud

Frédéric Clarençon

Marlise dos Santos

Robert Fahed

Ottawa interventional neuroradiology full colour
BACKGROUND
  • Hyperacute stroke management requires rapid endovascular access, and navigating the thoracic aorta and great vessel anatomy can delay procedures due to tortuosity, acute angles, or variant anatomy.
  • Imaging of neck and thoracic vessels (CTA/MRA) is commonly used to anticipate access challenges.
  • Despite routine imaging, access planning remains variable, often relying on subjective interpretation.
OBJECTIVE
To assess clinician agreement on catheterization strategies based on imaging (CT or MRA) in patient-imaging scenarios compiled from acute ischemic stroke cases.
 
METHODS
Survey Distribution
  • An electronic portfolio of 60 patients with acute ischemic stroke at The Ottawa Hospital was curated and sent to 53 clinicians of various backgrounds (neurologists and neuroradiologists) from September to December 2024
  • Each case contained 1 image (MRA or CTA) and asked respondents to indicate: 1) the level of difficulty for catheterization of the target vessel through femoral access with a regular Vertebral catheter, 2) whether they would resort to a Simmons catheter or another reverse-curve catheter at first attempt, and 3) whether they would consider an alternative access site for the case.
Inclusion/Exclusion criteria:
  • Participants were included if they were physician staff or fellows that do endovascular thrombectomies
  • Responses were included if they completed the entire survey in either English/French
Statistical Analyses:
  • Interrater agreement for each question was calculated using Fleiss’ Kappa (κ) with 95% CIs
  • Subgroup Analyses compared agreement by clinician experience (>50 vs ≤50 thrombectomies/year), imaging modality (CTA vs MRA), and background (neurologists vs neuroradiologists)
RESULTS
Table 1. Summary Demographics of Survey Respondents.
 
Table 1 inr
Figure 1. Graphic display of interrater agreements (kappa) for each subgroup overall and for each survey question 
 
Figure 1 inr
RESULTS
  • A total of twenty-two respondents (7 neurologists, 15 neuroradiologists) completed the survey
  • In 647/1320 responses (49.0%), clinicians chose to start with a standard Vertebral catheter rather than a Simmons or reverse-curve catheter
  • In 1,490/1,320 responses (88.6%), clinicians preferred to attempt femoral access first, with relatively few opting for alternative access as the initial approach.
  • Overall interrater agreement was fair (κ=0.21, 95% CI: 0.20–0.21)
  • Clinicians with >50 cases annually had better agreement (κ=0.24) for all questions than those with fewer cases (κ=0.14)
  • Agreement did not significantly differ by imaging modality: CTA (κ=0.21) and MRA (κ=0.23)
  • In 40/59 cases (67.80%), at least 25% of clinicians disagreed on whether to use a Simmons or reverse-curve catheter initially.
Figure 2. Examples of CTA/MRA images shown for cases in survey distributed to clinicians
 
Screenshot 2025 06 03 at 8.39.26 am Noun slideshow grey Screenshot 2025 06 03 at 8.44.21 am Screenshot 2025 06 03 at 8.44.05 am Screenshot 2025 06 03 at 8.43.41 am
72 y/o female - right MCA occlusion
Table 2. Interrater agreement (kappa) values for each question and each subgroup population
Table 1
Kappa values were assessed using Fleiss' kappa statistics. 
Cutoff values to interpret kappa values: Less than 0.4 = Poor agreement; 0.4 to 0.75 = Moderate to good agreement; Greater than 0.75 = Excellent agreement. 

 
CONCLUSIONS
  • Agreement on catheterization strategies remains fair at best
  • Our results suggests that visual assessment of pre-procedural vessels imaging is not reliable for the estimation of endovascular access complexity.
  • Further research will evaluate intra-rater agreement and reliability
Img logo 273x140

Carotid Artery Coil Extrusion: A Rare but Potential Complication of Endovascular Coiling in Post Radiated Neck

Mohd Hafiz Johari

Laila Alshafai

Screenshot 2025 05 02 at 7.53.29 am
Introduction

Carotid blowout syndrome is a life-threatening complication in head and neck cancer patients. Endovascular coiling of the internal carotid artery (ICA) or pseudoaneurysm is a commonly employed salvage treatment to control hemorrhage. Coil extrusion refers to the protrusion or migration of embolization coils out of the vessel or into adjacent structures. This event is exceedingly rare but can occur, particularly in patients with prior radiotherapy to the neck. Radiation-induced soft tissue radionecrosis can lead to chronic wound breakdown, creating fistulous tracts that permit coil exposure. Though rare, coil extrusion carries serious risks, including hemorrhage and infection, warranting high clinical suspicion in post-radiated patients who have undergone carotid occlusion.

Case Description

We report a case of a 58-year-old man with advanced nasopharyngeal carcinoma (NPC) treated with definitive chemoradiation. One year after treatment, he had left ICA blow out, resulting in massive epistaxis. He was managed via endovascular coil embolization of the left ICA. The patient recovered and remained symptom-free, until six months later, when he presented with foreign body sensation in the back of his nose. Nasal endoscopy revealed extrusion of coil material in the nasopharynx. There were no signs of active epistaxis or neurological deficit, thus conservatively managed. On subsequent follow up, he developed left paraspinal abscess which was treated with antibiotic without removal of the coil.

Imaging Findings

Figures 1a and 1b: Axial and coronal post-contrast CT images during the presentation of foreign body sensation post coiling demonstrated mild coil extrusion (star) into the nasopharyngeal lumen through the left nasopharyngeal

Figure 1
Screenshot 2025 06 02 at 1.44.36 pm
Figure 2
Screenshot 2025 06 03 at 10.49.20 pm
wall. Figure 2a: Coronal post contrast CT image obtained at a later presentation with acute neck pain showed progression of the coil extrusion (star) with interval development of a left paraspinal abscess better depicted on MRI T1W coronal post contrast image (arrow) (Figure 2b). There remained no evidence of local tumor recurrence in the nasopharynx.
Discussion

This case illustrates a rare delayed complication of carotid artery coiling in an irradiated neck, likely facilitated by radiation-induced tissue necrosis and vessel wall fragility leading to coil extrusion into the nasopharynx. Coil extrusion carries significant risks of hemorrhage and infection, and in this case, managed conservatively. Singh et al. (2018) described a coil extrusion 18 months after coiling a cavernous internal carotid artery (ICA) pseudoaneurysm, successfully removed endoscopically without complications, whereas Lin et al. (2010) reported a severe extrusion complicated by septicemia requiring debridement and flap reconstruction. A review by Vinciguerra et al. (2024) of ten ICA coil extrusion cases identified radiotherapy as a predisposing factor and recommended prompt angiographic evaluation and surgical intervention to address such complications. Effective management requires urgent angiographic evaluation and careful surgical technique: extruded coil segments should be removed without traction to prevent catastrophic hemorrhage while preserving intravascular portions; flap reconstruction can promote healing and mitigate infection risk in irradiated tissues. Long-term follow-up remains essential to monitor for recurrence or late-onset complications.

Conclusion

Carotid artery coil extrusion, though rare, represents a serious complication post-radiation therapy requiring high clinical suspicion, early recognition, and multidisciplinary management. Gentle surgical removal and reconstruction are central to effective treatment, emphasizing careful long-term surveillance to ensure patient safety.

References

1. Lin HW et al. Auris Nasus Larynx 2010;37:390–393.
2. Singh A et al. Neurointervention 2018;13:66–69.
3. Vinciguerra A et al. Int Forum Allergy Rhinol 2024;14:1529–1534.

Img logo 273x140

Mapping the Neurointerventional Radiology Landscape in Canada: Trends in Growth, Accessibility, and Training Opportunities

Joseph Bellissimo

Nicholas Dietrich

Jack Lott

Dhruv Patel

Jeremy Rempel


Background
  • Neurointerventional radiology (NIR) is a growing field, offering minimally invasive treatments for cerebrovascular conditions like ischemic stroke and aneurysms [1].
  • As demand for timely endovascular care increases, understanding the infrastructure and workforce supporting NIR is critical for planning equitable access.
  • However, no comprehensive analysis of the current NIR landscape in Canada exists [2,3]. 

Objective
  • This study aims to evaluate the national NIR landscape to provide insight into trends in service availability, geographic distribution, and training capacity.

Methods
  • Data were sourced from the 2025 Canadian Interventional Neuro Group (CING) database, as well as a targeted gray literature search that included publicly available information from hospital systems, fellowship program websites, and national workforce statistics.
  • Collected data was analyzed to identify geographic distribution of NIR centers, physician backgrounds, and availability of accredited training programs. 
  • Temporal trends from 2022 to 2025 were assessed to evaluate growth in NIR infrastructure and training capacity across Canadian provinces.
Results
Table 1 nir
          Table 1. NIR Physician Royal College Specialty Distribution.
  • As of 2025, the majority of NIR practitioners in Canada come from neuroradiology backgrounds (65.5%), followed by neurosurgery (32.7%) and a small proportion from neurology (1.8%), see Table 1.

Results (cont.)
Table 2
         Table 2. Distribution of NIR Practitioners in Canada by Province (2022 vs. 2025).
 
Figure 1 nir
          Figure 1. Geographic Distribution of NIR Sites in Canada. Sites established pre-2022 are
          marked in red, and new sites in green.

 

Results (cont.)
Figure 2
          Figure 2. Heatmap of NIR Staff Physician and Fellows per Province (2025).
  • The total number of NIR practitioners in Canada increased by 29.4% from 2022-2025, with the largest growth seen in Eastern Canada (Table 2).
  • From 2022 to 2025, the number of NIR centers increased by 17.4% (from 23 to 27), with new sites established in British Columbia, Ontario, Quebec, and Newfoundland (Figure 1).
  • Figure 2 shows that most NIR staff physicians and fellows are concentrated in Ontario, which accounts for almost 40% of the national workforce and the majority of training positions.

Conclusion
  • NIR is undergoing measurable growth in Canada across centers and training sites, supporting improved access to time-sensitive cerebrovascular care.
  • Despite this progress, coverage gaps remain in rural areas and national data on procedure volumes remain limited.
  • Looking ahead, continued investment in infrastructure and workforce development is required to ensure equitable access to life-saving neurointerventional therapies nationally.

References
  1. Cox M, Atsina KB, Sedora-Roman NI, Pukenas BA, Parker L, Levin DC, et al. Neurointerventional radiology for the aspiring radiology resident: current state of the field and future directions. American Journal of Roentgenology. 2019 Apr;212(4):899-904.
  2. Mensah EO, Jokhio A, Ogilvy CS. Neurovascular surgery: a review of the way forward from the American perspective. AME Surgical Journal. 2024 Dec 30;4.
  3. Itsekzon-Hayosh ZE, Agid R. Diversity among endovascular neurointerventionalists in Canada results of a national survey 2022. Interventional Neuroradiology. 2025 Apr;31(2):241-5.
Img logo 273x140

Occipital nerve stimulation for refractory craniofacial pain

Reza Hazrati

Baraa Dabboucy

Sarah Tinawi

Michel Prudhomme

Introduction

Occipital nerve stimulation (ONS) is a minimally invasive, adjustable, and reversible intervention used for managing refractory craniofacial pain unresponsive to conventional therapies. This study reviews a 15-year experience at Hôpital Enfant-Jésus, CHU de Québec, analyzing the efficacy and factors influencing ONS outcomes across diverse craniofacial pain conditions.

Picture1

Methods
A retrospective cohort analysis was performed, encompassing patients diagnosed with occipital neuralgia, cluster headaches, neuropathic pain, migraines, and other craniofacial pain syndromes who underwent ONS implantation.
Outcome measures included changes in pain intensity (Numerical Pain Rating Scale, NPRS), quality of life assessments (Brief Pain Inventory, BPI; Short Form Health Survey 36, SF-36), and patient-reported improvements, evaluated at baseline, one year, and at the most  recent follow-up. All patients underwent an initial trial stimulation phase to assess responsiveness prior to permanent device implantation.

Surgical Approaches for ONS
Implanting subcutaneously 1 or more electrodes unilaterally or bilaterally medial to lateral in the occipital region to cover the greater, lesser and third occipital nerves. Each implantation follows a trial and permanent phases.

Picture2

Results
Forty-five patients (mean age: 53.7 years) underwent ONS implantation. Conditions included occipital Arnold’s neuralgia (n=17), migraines (n=11), cluster headaches (n=3), cervicogenic pain (n=5) and neuropathic and mixed craniofacial pain syndromes (n=9). At the last follow-up (mean follow-up time: 4.72 ± 1.02 years), NPRS scores decreased significantly by 3.8 ± 1.7 points, and BPI scores reduced by 45% ± 18. SF-36 measures showed a 20% ± 25 improvement in physical functioning and a 30% ± 22 increase in social functioning. Adverse events occurred in 27% of cases, with lead migration (14%), breakage (8%), and IPG-related issues (6%) being the most common. Surgical re-interventions were required in 14% of patients, predominantly to address hardware-related complications.

Picture3

Discussion and conclusion
ONS demonstrated notable efficacy in reducing pain and enhancing quality of life, particularly in patients with occipital Arnold’s neuralgia and cluster headaches. However, the patients with neuropathic component were less responsive for ONS, demonstrating the importance of particularity of its mechanism of pathogenicity. The variability in response among migraine patients highlights the need for personalized approaches. Complications, though frequent, decreased with improved surgical expertise and device refinement. Multidisciplinary preoperative assessment and postoperative adjustments were crucial for optimizing outcomes.

Continued innovation in device technology, patient selection, surgical techniques and programming are essential to maximize therapeutic success while minimizing complications. These findings support the integration of ONS into multimodal pain management strategies for carefully selected patients.

Img logo 273x140

Impact of brainstem lesion location on symptoms and treatment response in Multiple Sclerosis-Associated Trigeminal Neuralgia

Raphaëlle Ferreira

William Leduc

Samir Akeb

David Mathieu

Maxime Descoteaux

Pascal Tetreault

Christian Iorio-Morin

Introduction
  • Trigeminal neuralgia (TN) is more common in patients with multiple sclerosis (MS)
  • Demyelination in the trigeminal system might generate the symptoms of TN
  • Brainstem lesions are present in patients with MS-TN1
  • The impact of their localization is poorly studied
Objectives
  • Define the impact of brainstem MS plaque location and its relation to the trigeminal tracts
Methods
  • Retrospective study of MS-TN patients treated with Gammaknife between 2004-2018
  • 35% of the cohort had no response to the treatment 2
  •  T1 MRIs’ of 75 patients with MS-TN
Method 1
First Steps Of Image Processing Before Adding The Trigeminal Tract
Methods (Cont.)
Method 2
Tractographic atlas of the trigeminal tract generated from 30 patients of the human connectome project 
Results
Results 1 1
83% of MS-TN patients had a brainstem lesion close to the 4th ventricle 
Results 2
97 % of the lesions were intersecting the trigeminal tract
The volume of the lesion was not a predictor of reoccurrence of symptoms or response to the treatment (ANOVA p value : 0.46)
Labs logo
Conclusion
  • Most patients with MS-TN have a brainstem lesion intersecting the trigeminal tract 
  • Is this lesion the pain generator?
  • Could this lesion be directly targeted through DBS or lesioning?
  • The volume of the lesion does not corelate with the response to SRS, Would the % of the tract involved better correlate?
References
1. MLaakso S. Trigeminal neuralgia in multiple sclerosis : Prevalence and association with demyelination. Acta Neurologica Scandinavica [Online]. 13 mars 2020
2. Leduc W. Gamma Knife Stereotactic Radiosurgery for Trigeminal Neuralgia Secondary to Multiple Sclerosis: A Case-Control Study. Neurosurgery Vol. 93, No. 2., August 2023.
Img logo 273x140

Long-Term Outcome of Central Neurocytoma: A Multicenter Study of Eleven Tertiary Care Centers

Balgees Ajlan

Osama Khojah

Central Neurocytoma Research group

Ahmed Lary

Background
•Central neurocytoma is an understudied CNS tumor.
•There's no consensus on the optimal management strategy, this entity remains enigmatic. 
•Given that it affects young adults, factors associated with long-term outcomes are crucial for making management decisions.
Objective
To assess long-term outcomes of central neurocytoma in correlation to the implemented management strategies.
Methods
•Multicenter retrospective study of 11 tertiary care centers in Saudi Arabia. 
•Histologically confirmed central neurocytoma between 2000-2022.
•Exclusion criteria:
  • No histopathological diagnosis.
  • Treatment follow up outside the included centers.
Results
•A total of 104 patients were included, mean age was 27 ± 11 years.
•Extent of resection is depicted in Figure 2.
•
Postoperative radiation therapy was given in 42 (40%)
•Ventriculoperitoneal shunt was needed in 40 (38.5%).
Mrs score at presentation Noun slideshow grey Extent of resection
Outcomes:
•OS was 93.5% at 5 years and 90.5% at 10 years.
•PFS was 85.3% at 5 years and 73.9% at 10 years.
•Time to progression was 44 ± 55 months.
Overal survival
Pfs by extent of resection Noun slideshow grey Pfs by post op radiation Subgroup analysis in str by radiation Screenshot 1446 12 07 at 2.56.17 pm
Factors associated with PFS and mRS
Screenshot 1446 12 07 at 2.55.24 pm Noun slideshow grey Screenshot 1446 12 07 at 2.55.49 pm
Conclusion
•Central neurocytoma exhibits high survival and favorable long-term mRs.
•Extent of surgical resection did not impact disease progression.
•Radiotherapy in subtotal resection demonstrated improved PFS.
•Tumor size <45 mm is linked to better functional outcomes, highlighting the importance of early diagnosis and intervention.
•Atypical features/anaplasia is key predictor of progression.
Future Directions
•Tumor growth rate, size at presentation, and its correlation with outcome could be explored further. 
•Cost-effectiveness of long-term surveillance following GTR in the absence of atypia.
Img logo 273x140

Survival and recurrence outcomes for primary meningeal melanocytic neoplasms of the central nervous system in British Columbia

Alexander Rebchuk

Kira Tosefsky

Stephen Yip

Serge Makarenko

5narrowlogo ex 768
**At submission our abstract only included data from British Columbia (UBC, VGH, BC Cancer). This is a multicenter series with ongoing data collection. This poster includes all data analyzed as of 27 May 2025.**
 
INTRODUCTION
  • Rare tumors originating from leptomeningeal melanocytes
  • Age-standardized incidence rate: 0.01-0.02 cases per 100,000 person-years
  • Benign and malignant, circumscribed and diffuse forms 
  • Immunopositive for HMB-45, S100, Melan-A & vimentin; however, these features fail to differentiate from melanotic schwannoma
  • Molecular characterization critical for differentiating lesions from metastatic melanoma & other pigmented CNS tumors
Screenshot 2025 05 27 at 15.04.37
OBJECTIVE
To describe the histopathologic and molecular features of primary melanocytic neoplasms of the central nervous system (PMN-CNS) disease in relation to their natural histories and responses to treatment in a multicenter international cohort.
METHODS
Retrospective chart review of all adult (≥18 years) cases of PMN-CNS across four centres in Canada, the United States and Germany (1993-present).
RESULTS
Screenshot 2025 05 27 at 15.10.39
Screenshot 2025 05 27 at 15.11.27
RESULTS
Clinical Outcomes
Screenshot 2025 05 27 at 15.14.47
Kaplan-Meier curves for probability of recurrence-free (L) and overall (R) survival over time.
DISCUSSION
  • GNAQ/GNA11 mutations were most frequent activating mutations
  • Additional mutations in SF3B1, BAP1 and TERT promoter represent second step in oncogenic process & associated with aggressive behaviour NRAS and BRAF mutations
  • As with many historical case series, many cases lack comprehensive molecular profiling
  • Heterogeneity in therapeutic management reflects limited current evidence base, with the largest case series to date supporting GTR + SRS or FRT
  • Systemic therapies were employed in >50% of cases
  • Median survival of 26 months in our cohort was longer than the 4-12 months previously reported 
  • Standardization of molecular testing protocols and additional case series are needed to guide clinical management
Acknowledgements
Screenshot 2025 05 27 at 15.20.37
Img logo 273x140

Delays in transfer of rural aneurysmal subarachnoid hemorrhage patients in British Columbia

Alexander Rebchuk

Micheal Rizzuto

Cha-ney Kim

Hugh McHugh

Manraj Heran

Will Guest

Axel Rohr

David Chen

Kelsey Cruz

Charles Haw

Gary Redekop

Peter Gooderham

5narrowlogo ex 768
INTRODUCTION
  • aSAH incidence rate is 6.1 per 100,000 person-years
  • Case fatality rate 27-44%
  • Risk of rebleeding is ~8-23% during the first 72 hours post-ictus
  • If rebleed prior to aneurysm securement mortality rates ~60%
  • Known beneficial effect of early treatment of ruptured aneurysms within 24 hours of ictus
OBJECTIVE
To determine whether there is any difference in time to treatment between aSAH patients living in urban and rural British Columbia, and whether functional outcomes differed between rural and urban patients. 
 
METHODS
  • Vancouver Ruptured Aneurysm Database (VRAD) started in 2023 to prospectively capture consecutive aSAH patients at Vancouver General Hospital (VGH)
  • Included patients ≥18 years-old, presenting ≤72h post-ictus
  • Excluded untreated aneurysms & patients not residing in BC
  • Patients classified as rural or urban using the provincial government categorization of rurality
  • Basic demographic & clinical variables collected
  • Outcome variables: time from ictus to presentation, transfer time from presenting to treating hospital, time to treatment, discharge mRS & EQ-5D
RESULTS
Patient Demographics & Treatment Modality
Screenshot 2025 05 29 at 21.34.13
Transfer Times
Screenshot 2025 05 29 at 21.22.32
Median transfer time: 4.7h [IQR: 2.5-8.8] urban and 11.9h [IQR: 6.7-13.5] rural, p=0.006. 
Screenshot 2025 05 29 at 21.24.03
Median time from ictus to VGH: 5.9h [IQR: 2.6-16.6] urban and 13.2h [IQR: 8.3-27.8] rural, p=0.001. 
 
RESULTS
Time to Aneurysm Treatment
Screenshot 2025 05 29 at 21.35.34
Ictus to treatment time was 5.9h longer for rural patients, p=0.077. 
 
Discharge Outcomes
Screenshot 2025 05 29 at 21.29.18

Conclusion
Rural aSAH patients in British Columbia take 7.3 hours longer to reach a neurosurgical center capable of comprehensive aneurysm treatment compared to urban patients.
 
Img logo 273x140

Predicting pituitary gland location during endoscopic endonasal surgery using machine learning model

Jonathan Chainey

Jaryd Hunter

Ruth Lau

Aristotelis Kalyvas

Michael Brudno

Gelareh Zadeh

Amin Madani

Uhn
Background

Pituitary neuroendocrine tumors (PitNETs) arise from the anterior pituitary gland and affect between 77 and 116 individuals per 100,0001-3. The endoscopic endonasal approach is now the preferred surgical technique due to its minimally invasive nature and favorable outcomes.

However, this approach carries a risk of new permanent postoperative pituitary deficiencies, occurring in 4–10% of cases4-6. Accurate intraoperative identification of the pituitary gland is crucial: when the gland is not correctly visualized, 46–67% of patients experience hormonal insufficiency7-8, compared to only 3.5% when it is successfully identified7. These findings underscore the importance of reliable gland localization during surgery to reduce endocrinologic complications.

Goals of this study
Develop and validate a deep learning model specifically designed to accurately identify the pituitary gland during endoscopic endonasal surgery for PitNETS
Methods
Screenshot 2025 05 25 at 12.03.21 pm
Results
Fig2 test
Fig.2. Confusion matrix with recall-specificity and precision-accuracy depicting the performance of the deep learning model.
Test22
Limitations and Strengths 
This study is the first to propose a machine learning algorithm for identifying a soft tissue structure in neurosurgical operative videos.
The study faces several significant limitations:
  • Low recall rate : resulting in falsely predicting the presence of the gland or misclassifying adjacent background tissue as pituitary gland.
  • Limited external validity due to a small, non-consecutive sample from a single center.
Fig4 Noun slideshow grey Fig5a
Conclusion
This proof-of-concept study highlights the potential of deep learning technology for anatomical recognition in neurosurgical settings. While the current model shows promise, further refinement and optimization are necessary. With continued development, such tools could serve as valuable intraoperative aids, ultimately contributing to improved patient outcomes.
References
Img logo 273x140

Canadian neurosurgical attrition rate: a qualitative exploration

Jonathan Chainey

Sandalia Genus

Csilla Kalocsai

Nir Lipsman

Paul Kongkham

Ashish Kumar

Uhn and sunnybrook logo
Background

Canadian neurosurgery residency programs have an alarming 28.4% attrition rate—seven times higher than the average for most other specialties (1–4%)1-4 and double that of US neurosurgery programs5-6. Canadian data for this issue is over 30 years old7, highlighting the need for updated research. This study identifies factors contributing to Canadian neurosurgery attrition rates.

 

Methods
Using critical constructivist theory, virtual interviews were conducted with current program directors (PDs) from Canada’s 14 neurosurgery programs and neurosurgery residents who left training between 2013–2023. Interviews were recorded, transcribed, anonymized, and iteratively coded through descriptive thematic analysis to construct an analytical framework.
Results

Data from 8 of 14 programs showed an average attrition rate of 14.1% (range: 0%–28.6%).
Interviews with 7 program directors and 7 former residents (from 7 programs) identified key factors contributing to attrition, listed in descending order of frequency mentioned during interviews: 

  1. High workload

  2. Poor work-life balance

  3. Gender-related challenges for women

  4. Evolving aspirations over time

  5. Limited job opportunities in Canada

  6. High responsibility level

High workload:
Neurosurgery residents experience a high workload due in part to a hidden curriculum that discourages leaving after call, creating pressure to prove commitment. This intense environment, combined with staffing shortages and a strong sense of responsibility toward patient care and co-residents, often prioritizes service needs over residents’ own education.

Working load resident
This sense of high workload in neurosurgery residency is also echoed by program directors:
Workload staff

Poor work-life balance:
Residents struggled to achieve a satisfying work-life balance, largely due to the high workload. Seeing their attending physicians face the same difficulties made them realize they were likely to encounter similar struggles in the future—highlighting a lifestyle and career path that felt misaligned with their personal values.

Worklife

Gender-related challenges for women:
Some challenges were specific to women, particularly related to pregnancy, raising children, and navigating an environment that remains predominantly male-dominated.

Gender
Some topics were raised primarily by program directors—most notably, the view that attrition was less about the program itself and more related to the nature of the specialty or individual circumstances. Program directors also showed reflexivity, questioning what they could do differently to address attrition within their specialty.
Pd perspective
Conclusion
Neurosurgery residents are the future of the specialty. Our study identifies key factors contributing to the high attrition rate in neurosurgery training, highlighting the urgent need for changes at both the provincial and program levels to retain trainees. The most frequently cited reasons—high workload, poor work-life balance, gender-related challenges, evolving career aspirations, limited job opportunities, and a high level of responsibility—underscore the complexity of the issue. Addressing these factors through improved support, better teaching, and more sustainable working conditions is essential for the future of neurosurgery training.
References
Img logo 273x140

Development and validation of a molecular classifier of meningiomas

Alex Landry

Justin Wang

Jeff Liu

Vikas Patil

Chloe Gui

Andrew Ajisebutu

Yosef Ellenbogen

Aaron Cohen-Gadol

Leeor Yefet

Ghazaleh Tabatabai

Marcos Tatagiba

Felix Behling

Jill Barnholtz-Sloan

Andrew Sloan

Lola Chambless

Alexander Rebchuk

Serge Makarenko

Stephen Yip

Alireza Mansouri

Derek Tsang

Kenneth Aldape

Andrew Gao

Farshad Nassiri

Gelareh Zadeh

Uhn
Background

Meningiomas exhibit considerable clinical and biological heterogeneity. We previously identified four distinct molecular groups (immunogenic, NF2-wildtype, hypermetabolic, proliferative) that address much of this heterogeneity. Despite the utility of these groups, the stochasticity of clustering methods and the use of multi-omics data for their discovery limits the potential for classifying prospective cases. We sought to address this by constructing a dedicated DNA methylation-based classifier.

Methods

Using an international cohort of 1698 meningiomas, we constructed and rigorously validated a machine learning-based molecular classifier using only DNA methylation data as input (Figure 1). Original and newly-predicted molecular groups were compared using DNA methylation, RNA sequencing, copy number profiles, whole exome sequencing, and clinical outcomes.

Picture1
Figure 1. Overview of integrated model design. Input raw IDAT files are preprocessed and converted into beta values for input into a 2-layer classifier. The first layer combines MG3 and MG4 as a single output, and cases predicted to be MG3/4 are then input into the second layer model to distinguish MG3 from MG4. Inferred copy number alterations are then used to further refine the prediction in a subset of cases, with some pathognomonic alterations superseding the original prediction in a subset of cases
Fig2

Figure 2. Our classifier faithfully recreates the biology of ground-truth molecular groups based on orthogonal molecular platforms which were not used in model training. A: Comparison of group-specific inferred CNAs between training (discovery) cohort and predicted MGs on the validation cohort. B: Comparison of somatic NF2 and known canonical non-NF2 meningioma mutations by actual and predicted MG. C: Relative expression of MG-specific RNA signatures, developed on the discovery cohort, on the validation cohort. D: Inferred cell-type proportions in both cohorts based on bulk RNA deconvolution.

Fig3

Figure 3. Our classifier faithfully recreates the clinical outcomes of ground-truth molecular groups. Kaplan Meier curves comparing MG-specific PFS in the validation cohort (left) and discovery cohort (right) demonstrates remarkable concordance in clinical outcomes. Notably, outcomes were not used in the original MG discovery nor the current model.

Results

We show that group-specific biology of the validation cohort is nearly identical to that of the original discovery cohort (Figure 2). Specifically, the distribution of group specific CNAs (1p loss, 1q gain, 22q loss) and somatic mutations (NF2 and established non-NF2 driver mutations) are nearly identify between cohorts and tumours classified as NF2 wildtype indeed had no NF2 mutations in the validation cohort. RNA pathway analysis revealed expected upregulation of immune-related pathways in the immunogenic group, metabolic pathways in the hypermetabolic group and cell-cycle programs in the proliferative group. Bulk deconvolution similarly revealed enrichment of macrophages in immunogenic tumours and neoplastic cells in hypermetabolic and proliferative tumours with similar proportions to those originally described. Finally, clinical outcomes in the validation cohort are nearly identical to those originally described, with median PFS of 7.4 (4.9-Inf) years in hypermetabolic tumors and 2.5 (2.3-5.3) years in proliferative tumors (not reached in the other groups, Figure 2). Importantly, these groups were discovered independent of clinical outcomes.

Conclusions

We present a novel meningioma molecular classifier using only DNA-methylation data as input and rigorously demonstrate its validity using a large, multi-centered cohort of 1698 patients including samples from the prospective RTOG-0539 clinical trial. This represents an important step toward increasingly personalized care for patients with meningioma and will help usher in a new era of molecularly-stratified clinical trials.

Img logo 273x140

Spontaneous resolution of a left temporal extra-axial lesion: Case report

Natalie Tilbury

Patrick Toyota

Ritesh Kumar

Background

Meningiomas are the most common intracranial extra-axial lesion. Reports of meningioma regression exist, often in the context of known hormonal or vascular fluctuations, though very few describe complete resolution. Though rare, extra-axial mimics such as lymphoma and chloroma may also spontaneously regress.
 

Case Description

A 29-year-old male presenting with new onset seizures was found to have a 22.7 x 26.6 mm left temporal extra-axial lesion, radiologically consistent with meningioma. He was otherwise healthy, and was treated with dexamethasone at initial presentation until an interim CT had confirmed persistence of the tumour’s size 1 month after diagnosis. Due to wait times and patient preference, repeat pre-operative imaging was not available prior to surgical resection 13 months later. Decision was made to proceed with resection; however, intraoperatively, no lesion was identified.
 

Screenshot 2025 06 03 at 11.47.26 am
MRI showed 3cm extra-axial lesion with surrounding edema consistent with meningioma.
Management
Intraoperatively, abnormal-looking dura was coagulated and removed, but was not sufficient to send for pathology. After 2 additional neurosurgeons inspected and agreed with the lack of definitive tumour present in either superficial or deeper tissue, the decision was made to close. 
 
Screenshot 2025 06 03 at 11.48.13 am
POD3 imaging demonstrated post-operative changes but lack of identifiable lesion.
Screenshot 2025 06 03 at 11.48.51 am
Imaging 1 month post-op and 6 months post-op (not shown) continued to demonstrate absence of lesion.
Outcome
Continous follow-up imaging at 6 months and 1 year consistently demonstrated absence of any lesion. Neurology continues to follow the patient for ongoing seizure control.
 
Discussion
This 29-year-old otherwise healthy male patient who presented with new onset seizures was found to have a left temporal extra-axial lesion highly suspicious for meningioma. The lesion appeared to have spontaneously resolved 13 months post-diagnosis. 

Though reports of meningioma regression exist, most occur in the context of hormonal or vascular fluctuations and very few describe complete resolution.

Other differential diagnoses of spontaneously resolving lesions include lymphoma and chloroma. However, the patient's clinical presentation, lack of systemic symptoms, and maintenance of lesion despite dexamethasone treatment challenges these diagnoses.

 

Conclusion
This case highlights the possibility of spontaneous resolution of extra-axial lesions and emphasizes the importance of serial imaging prior to resection.
Img logo 273x140

Artery of Percheron infarction following endoscopic transsphenoidal surgery: a case series and literature review

Bryn Hoffman

Alan Rheaume

Karolyn Au

Tejas Sankar

Vivek Mehta

Ua logo green rgb
Background
Endoscopic transnasal transsphenoidal surgery (ETTS) is a standard approach for pituitary adenoma resection
  • Generally safe and better tolerated than craniotomy, but occasionally associated with devastating complications1-3
  • Artery of Percheron (AOP) infarction is a rare postoperative complication8-13
Artery of Percheron (AOP)
  • An anatomical variant where a single arterial trunk supplies the paramedian thalami and rostral midbrain4-7
  • 7-11.7% of the population16-18
  • Infarct presents as an altered level of consciousness, mydriasis, and memory impairment4-6
Screenshot 2025 05 31 at 3.43.09 pm
Objectives
  • Report two new cases from a single institution in 2024 
  • Conduct a literature review of previously reported cases
  • Identify potential commonalities/risk factors, functional and neurologic outcomes
Methods
  • Retrospective review of two new cases at our institution 
  • Literature review using PubMed, Embase, Medline, and reference lists of included articles 
    • Inclusion criteria:
      • Patients who underwent primary or redo ETTS
      • MRI-confirmed bilateral paramedian thalamic and/or midbrain infarcts
  • Retrospective analysis of functional outcomes using Glasgow Outcome Scale (GOS)
Glasgow Outcome Score15
Case 1
A 39-year-old woman with a 3cm sellar mass with optic chiasm compression. Underwent elective transsphenoidal resection with intraoperative navigation. Intraoperative erosion of the dorsum, adherent tumour portion to the diaphragma, extensive use of curettage, and CSF leak. Postoperatively, had bilateral non-reactive pupils and mydriasis, failed extubation. MRI POD1 confirmed established AOP infarction involving paramedian thalami and midbrain. Outcome: In LTC, globally aphasic, minimal motor response to stimulation, multiple-month tracheostomy wean, PEG for enteral nutrition
Screenshot 2025 05 06 at 8.23.51 pm Noun slideshow grey Screenshot 2025 05 06 at 8.23.58 pm
Case 2
46-year-old man with recurrent macroadenoma underwent redo ETTS. Intraoperatively, a large cystic component and an descent of the diaphragm were encountered. Again, there was use of curettes, during which CSF was encountered. Postoperative findings: Left pupil fixed and dilated, reduced GCS requiring reintubation. MRI POD1 confirmed AOP infarction affecting the thalami and midbrain. Remains globally aphasic, requiring long-term rehab. 
Screenshot 2025 05 06 at 9.40.54 pm Noun slideshow grey Screenshot 2025 05 06 at 9.41.03 pm




References
Review Results
Patient Characteristics
  • 8 total cases including new 2
  • Mean age: 45.8 years (SD: 6.06)
  • 6 females (75%), two males (25%)
  • 6 underwent initial ETTS (75%), 2 had redo surgeries (25%)
  • Similar presentations: decreased consciousness, mydriasis, cognitive deficit
Authors Age and Sex Tumour Characteristics GOS, Follow Up 
Sankar et al., 20088 50F Firm 4, 6 months
Pereira et al., 201911 52F Firm 3, 1 year
Aryan et al.,201613 40M Firm 3, 6 weeks
Konar et al., 202110 55F Soft, vascular 3, 3 months 
Pilonieta et al.,202212 44F Firm 3, non-specified
Sannwald et al.,20229 40F Rigid  3, 2 years
Current Case 1 39F Firm 2, 6 months
Current Case 2 46M Cystic 3, 3.5 months
Tumour consistency
  • Firm: 6/8 (75%) – required curettage
  • Hemorrhagic: 1/8 (12.5%)
  • Cystic: 1/8 (12.5%)
  • Final pathology: All macroadenomas
  • Intraoperative CSF leak: 6/8 (75%).
  • MRI findings: Bilateral paramedian thalamic infarcts (100%), midbrain involvement (5/8, 62.5%).
Outcomes
  • EVD placement (2/8), tracheostomy (3/8), PEG tube placement (3/8)
  • GOS mean: 3 (range 2-4, SD: 0.37) at 8.6 months (SD: 5.5)
  • Functional recovery poor despite rehabilitation efforts
Discussion
AOP infarction is a rare yet devastating complication of ETTS. Potential risk factors include firm tumors necessitating aggressive curettage and intraoperative cerebrospinal fluid (CSF) leak. Proposed mechanisms include direct vascular injury (e.g., subarachnoid hemorrhage in Case 1), vasospasm, and embolic events. Further research on preoperative vascular imaging may aid in identifying at-risk patients and developing preventive strategies.
 
Img logo 273x140

The role of 5-ALA Fluorescence-guided surgery in non-glioma pathologies

Mouaz Saymeh

Sami Khairy

Alejandro Moreno

Jessica Rabski

Shaun Kilty

Fahad Alkherayf

Research logo rgb en
Background:
Fluorescence-guided surgery (FGS) with 5-aminolevulinic acid (5-ALA) is a well-established tool for improving tumor visualization in glioma surgery. However, its applications in non-glioma pathologies remain underexplored and require further investigation. 
Methods:
A retrospective review of patients who underwent FGS with 5-ALA between January 2022 and September 2024 was conducted to assess its utility in non-glioma tumors.
Results:
Among 232 FGS procedures, 13 (5.6%) involved non-glioma pathologies. We categorized our patients into three different levels: high, moderate, and no response based on intra-operative 5-ALA fluorescence visualization (Figure 1). Our patients showed a high 5-ALA fluorescence in 10 cases (77%), mainly in the following tumors: choroid plexus papilloma, atypical teratoid rhabdoid tumor, metastatic adenocarcinoma as well as atypical meningiomas. While no 5-ALA fluorescence was seen in one case of CNS lymphoma. Moderate 5-ALA fluorescence was seen in 2 cases (15%). 90% of procedures with high response had total resection (Table 1).
Figure 1: 5-ALA responses
5 ala response figure
A.Resection cavity during temporal tumor resection. 5-ALA filter applied. White arrow signaling an area with moderate response.

B.Resection cavity during frontal tumor resection. 5-ALA filter applied. An area with high response is seen. 

C.Resection cavity during frontal tumor resection. 5-ALA filter applied. White circle signaling an area with high response. White arrow signaling an area with no response.
Table 1: Distribution of Non-Glioma Tumors, Intraoperative 5-ALA Fluorescence Response, and Resection Outcome

Pathology/ response 

5-ALA response (Number of cases) 

Total resection 

CNS Lymphoma 

Non (1) 

Yes 

Anaplastic Meningioma 

High (1) 

Yes 

Choroid plexus papilloma 

High (1) 

Yes 

Metastatic Melanoma 

Moderate (1) 

Yes 

Atypical teratoid rhabdoid tumor 

High (1) 

Yes 

Atypical Meningioma 

High (2)  

Yes 

Meningioma 

Moderate (1) 
High (3) 

Yes, except in 1 case with high response 

Glioneuronal tumor 

High (1) 

Yes 

Metastatic Adenocarcinoma 

High (1) 

Yes  


 
Conclusions:
Fluorescence-guided surgery (FGS) using 5-ALA has demonstrated effectiveness in enhancing tumor visualization beyond gliomas. This retrospective review highlights the potential applications of 5-ALA in various non-glioma pathologies. These findings emphasize the need for further research to refine the use of 5-ALA FGS in diverse pathologies, optimize patient selection, and expand its utility in neurosurgical oncology. 
Img logo 273x140

Factors affecting local control of resected brain metastases after single-fraction stereotactic radiosurgery: a systematic scoping review

Norah Alarifi

Andrew Ajisebutu

Sam Molot-Toker

Jason Beiko

Logo universityofmanitoba maxradycollegeofmedicine
Background
Scoping review to investigate factors influencing local control in patients with metastatic brain disease undergoing SRS to surgical cavities. 
Methods

Seven databases (Ovid Medline, PubMed, Web of Science, EMBASE, BIOSIS, Scopus, Global Health, Cochrane) were searched up to August 2, 2021, using terms related to radiosurgery and brain metastasis. A three-level screening identified relevant studies. Data extraction included study type, population, SRS details, and outcomes. Variables recorded were histopathology, resection degree, number of metastases, SRS platform, dose parameters, cavity volume, margin, time to SRS, local control at 12/24 months, overall, and progression-free survival. Significant predictors were noted.

PRISMA DIAGRAM
Screen shot 2025 06 01 at 3.20.06 pm
Results

From 10,633 articles, 22 studies with 1,749 cavities. Local control at 12 months was 50–100% (median 82%, IQR 73–84.4%). Distant progression at 12 months was 36–64% (median 45.5%, IQR 38–51%) and at 24 months 39–76% (median 53%, IQR 46–55%). Histology, radiation dose, tumor size, extent of resection, treatment timing, tumor depth, and dural/pial attachment impacted local control, whereas primary disease status, surgical corridor coverage, and tumor location did not.

Screen shot 2025 06 01 at 7.43.02 pm
 

Patient Related Characteristics

Sex

Nil

Iorio-Morin, Smith

Age

Nil

McDermott, Smith

KPS/RTOG

Nil

Iorio-Morin

Focal Neurological Deficits

Nil

Iorio-Morin

Primary Disease Related Characteristics

Extracranial RT

Nil

Iorio-Morin

Progression of Primary

Nil

Iorio-Morin

GPA

Nil

Mahajan, Strauss

Systemic Disease Status

Nil

Mahajan

Hormonal Therapy

Nil

Shi

Factors

Studies

Tumor Related Characteristics

 

Significant on MVA

Not Significant on MVA

Histology

Brennan

Abel, Iorio-Morin, Jensen, Mahajan, Mcdermott, Ojerholm*,

Rava, Shi, Smith, Strauss, Teyateeti, Patel

Dimensions:

Pre-op Diameter

Brennan, Jensen

Harford*, Ojerholm, Rava, Teyateeti, Patel

Cavity Diameter

Mahajan

Abel, Brennan, Jensen, Mcdermott, Rava

Cavity Volume

Jensen

Ioro, McDermott, Rava, Strauss, Susko, Teyateeti, Patel

Extent of Resection

Ojerholm

Abel, Hartford, Iorio-Morin, Jensen

Attachments (Pial, Dural)

Brennan, Susko

McDermott, Teyateeti

Location (Supra, Infratentorial)

Nil

Brennan, Iorio-Morin, Jensen, McDermott, Ojerholm, Rava

Treatment Related Characteristics

Dose

Iorio-Morin, Iwai, Patel, Jensen

Brennan, Hartford, McDermott, Rava, Strauss, Susko, Teyateeti

Isodose line

Nil

Iorio-Morin, Susko

Number of Isocenters

Nil

Iorio-Morin

Time to Treatment

Iorio-Morin

Brennan, McDermott, Ojerholm, Strauss*, Teyateeti

Margin**

Nil

Shi

PTV

Nil

Hartford, McDermott, Shi

CI

Nil

Jensen, Rava, Susko, Abel

Modified CI

Nil

Susko

Corridor Coverage

Nil

Shi

Conclusion
Modifiable SRS treatment and patient selection factors need further investigation. This review emphasizes the necessity for consensus and guides future trials and guidelines to enhance metastatic brain disease management outcomes.
Img logo 273x140

Local control and survival in brain metastases treated with cavity directed gamma knife radiosurgery: a single center retrospective study

Norah Alarifi

Andrew Ajisebutu

Jason Beiko

Logo universityofmanitoba maxradycollegeofmedicine
Background
This local study aimed to address gaps in understanding factors influencing local control in patients with resected brain metastases treated with cavity-directed adjuvant Gamma Knife Radiosurgery.
Methods
A retrospective analysis using a local, prospectively kept Gamma Knife database. Sixty-three patients treated with GK SRS were included. Variables included demographics, tumor characteristics, SRS parameters, and outcomes such as local control, recurrence, survival, and adverse effects.
Results 
At 12 months, local control was 66.7%, decreasing to 57.1% at 24 months. Distant progression occurred in 58.7%, leptomeningeal disease in 15.9%, and adverse radiation effects in 20.6%. The 12-month survival rate was 63.5%, dropping to 38.1% at 24 months. None of the examined factors significantly influenced local control. Local progression within the first year of treatment was associated with a 5.0-fold increased risk of death at 24 months, while distant intracranial progression showed a 6.0-fold increased risk at 12 months and an 8.2-fold increased risk at 24 months.

Univariate Analysis LR at 12 months

HR (95% CI)

p-value

Patient Characteristics

 

 

Age

0.94 (0.89, 1.00)

0.07

Sex

0.90 (0.31, 2.61)

0.85

ECOG grade at SRS

0.94 (0.59, 1.51)

0.81

KPS score at SRS

1.01 (0.96, 1.06)

0.55

Primary Disease

 

 

Radiosensitivity

2.22 (0.62, 7.86)

0.21

Primary Disease State

0.55 (0.16, 1.93)

0.35

Steroid Used

1.47 (0.50, 4.30)

0.47

Tumor Characteristics

 

 

Extent of Resection

0.87 (0.25, 3.03)

0.83

Cavity Volume

1.05 (0.94, 1.17)

0.33

Maximum Dimension

 

 

Max Length

1.02 (0.95, 1.09)

0.49

Max Width

0.98 (0.922, 1.05)

0.71

Max Height

0.99 (0.92, 1.07)

0.87

3 cm cut-off for max diameter

2.479 (0.71, 8.58)

0.15

Tumor Location

Depth (Superficial vs. Deep) Compartment (Supra vs Infratentorial)

Pattern of Enhancement Shape (Smooth vs. Irregular)

Edema (Mild vs. Moderate vs. Severe) SRS Characteristics

Marginal dose Maximal dose

Plan Conformity

Paddick Conformity Index PIV/TVC

Surgical Corridor Coverage Dural Coverage

Time to SRS (TTT) in days TTT 14-days cut-off

 

1.79 (0.69, 4.62)

 

0.22

1.96 (0.63, 6.10)

0.24

0.76 (0.39, 1.48)

0.43

1.77 (0.54, 5.82)

0.34

1.00 (0.45, 2.21)

1.00

 

0.83 (0.52, 1.32)

 

0.44

0.92 (0.73, 1.17)

0.52

 

0.24 (0.00, 12.01)

 

0.48

1.49 (0.37, 5.96)

0.57

2.50 (0.74, 8.44)

0.14

1.32 (0.46, 3.81)

0.59

1.00 (0.98, 1.03)

0.39

0.75 (0.21, 2.66)

0.66

Screen shot 2025 06 01 at 8.08.51 pm
Screen shot 2025 06 01 at 7.55.16 pm

 

Survival at 12 months

Survival at 24 months

 

HR (95% CI)

p-value

HR (95% CI)

p-value

Patient Characteristics

 

 

 

 

Age

1.01 (0.96, 1.07)

0.58

1.01 (0.96, 1.07)

0.61

Sex

0.75 (0.25, 2.21)

0.60

1.12 (0.39, 3.18)

0.83

ECOG

1.50 (0.93, 2.43)

0.09

1.63 (0.95, 2.80)

0.07

KPS

0.96 (0.092, 1.01)

0.13

0.93 (0.87, 0.92)

0.02

Primary Disease Characteristics

 

 

 

 

Radiosensitivity

0.88 (0.28, 2.76)

0.83

0.62 (0.19, 1.97)

0.42

Disease state (active vs. remission)

1.97 (0.47, 8.26)

0.35

1.89 (0.54, 6.65)

0.31

Intracranial Progression

 

 

 

 

Local at 12 months

1.16 (0.37, 3.61)

0.78

5.00 (1.25, 19.86)

0.02

Distant at 12 months

6.00 (1.52, 23.62)

0.01

8.28 (2.53, 27.06)

<0.00

Local at 24 months

NA

NA

1.78 (6.13, 5.22)

0.28

Distant at 24 months

NA

NA

3.10 (087, 11.03)

0.08

Conclusion
While the parameters we examined were not linked to local control, intracranial progression significantly impacted survival. This real-world cohort provides valuable insights into the challenges of managing brain metastases. Further work is needed to refine the current treatment strategies for intracranial progression and ultimately improve survival outcomes.
Img logo 273x140

Endoscopic transorbital approach to the skull base: a single centre 8 year experience

William Owiti

Kessava Reddy

Doron Sommers

Ezequiel Yasuda

Algird Almunder

Unknown

Introduction
The term “Endoscopic transorbital approach surgery-ETOA" describes a group of endoscopic surgical corridors through the orbit of the eye.  

The first reported use of  the orbit as an access corridor to the brain, was by the Italian psychiatrist Amarro Fiamberti, credited for being the original descriptor of the transorbital prefrontal lobotomy in 19371.

The application of ETOAs has been subsequently extended to the lesions of the anterolateral skull base such as meningiomas, schwannomas, dermoid cysts, CSF leak, and infections. 

ETOA does present with limited morbidity,   scars that are not easily visible,Craniotomies are not required and there is minimal brain retraction4. 

The department of Neurosurgery of the McMaster University began performing ETOA in the year 2016. Upto the end of the year ending in December 2024,We had performed a total of 33 cases ON 29 patients

Methods:

This study presents a retrospective analysis of patient records was done from the year 2016 to 2024 at the Hamilton general hospital in Ontario, Canada.
The data collected included, demographic data, indication for surgery, complications, location of lesion, recurrence.

All of these surgeries were performed using a standard technique- A superior eyelid trans-orbital technique.

 

 

 

Surgical approach
Thumb for william and kesh transorbital slides Noun video grey
Illustrative case

Results:
A total of  33 cases were done on 29 patients between the years of 2016 and 2024 Average age of patients was  47.67 with a median age of 46.

All patients had at least two weeks of follow up. the longest follow up period was  63 months of follow up the median follow up time was 4 months.

Fourteen male patients and fifteen female patients.
Patients most common indication for surgery was spheno-orbital meningioma.

 

Indications for surgery
Indication Number Percentage
Spheno orbital meningioma 11 33
Frontal sinus mucocoele 4 12.12
Fibrous dysplasia 2 6.06
Trigeminal Schwannoma 2 6.06
osteomyelitis 2 6.06
Orbital roof fracture 3 9.09
Intraconal Cavernous angioma 1 3.03
encephalocoele with CSF leak 1 3.03
metastatic lesions 2 6.06
Orbital Cellulitis 1 3.03

Complications:
The most common complication was transient V1 numbness, which was noted in the immediate post operative period. Headaches, transient diplopia,transient periorbital swelling,Wound infection, non diagnositic biopsy, proptosis and a cerebellar stroke were some of our recorded complications


Discussion:

The main indication for surgery in our institution was Spheno-orbital meningiomas. There is reduced rate of complications, cosmetically superior outcomes and overally high levels of patient satisfaction.
We do report that no patient from our series suffered visual loss or CSF leak as a result of this approach. 

Our rate   of complications in our series do mirror findings in other centrs who recorded frequent complications such  diplopia, trigeminal paraesthesia, palpebral edema and periorbital ecchymosis 9,10. Our series did not record any post surgical epilepsy or patient mortality following a trans-orbital approach.

Conclusion:

Superior eyelid Transorbital approaches are a safe approach to the base of skull that have a lower complication rate in comparison to endoscopic or open alternatve approaches. The transorbital  approach does  have a reduced length of hospital admission and improve patient turnover. The main complications such as peri-orbital edema and facial hypesthesia tend to resolve fairly quickly.

 

Img logo 273x140

Two cases of vestibular nerve hybrid nerve sheath tumours and literature review

Celine Hounjet

John Maguire

Brian Westerberg

Ryojo Akagami

Ubc logo 2019 neurosurgery standard blue282rgb300
ABSTRACT

Introduction: Hybrid Nerve Sheath Tumours (HNST) were introduced in the WHO Blue Book in the 2016 edition. Since that time, extracranial HNST are commonly identified but intracranial lesions are rare.

Methods: A systematic review of the literature was completed.  Additionally, chart reviews were completed on two cases of HNST identified at our academic center.

Results: 3 reports of intracranial HNST located on a cranial nerve have been published to date.  2 cases of cranial nerve associated HNST have been identified at our academic centre.

Conclusion: HNSTs may be underreported in the cranial region.

INTRODUCTION

Since the 2016 WHO classification of central nervous system tumours, hybrid nerve sheath tumours (HNST) have been recognized as tumours containing elements of more than one type of nerve sheath tumour. Although common peripherally and extracranially, few reports of intracranial HNST located on a cranial nerve have been published to date. At our tertiary care referral centre, there have been two documented cases of hybrid tumours arising on the CN VII/VIII complex. Here we describe these cases of presumed vestibular schwannoma that ultimately were diagnosed as hybrid tumours on pathological analysis. Additionally, a literature review on this topic was completed.

METHODS AND MATERIALS

Chart reviews including imaging and neuropathological assessments were reviewed for two cases of HNST of CN VII/VIII tumour that occurred at a single quaternary care referral centre.

Additionally, a systematic literature search utilizing the search matrix (“hybrid” AND ((“vestibular schwannoma” OR “acoustic neuroma” OR “schwannoma” OR “neuroma” OR “cranial nerve”) AND (“intracranial” OR “CPA” OR “skull base” OR “cerebellopontine” OR “cranial nerve”))) was completed on July 11, 2024, resulting in 171 papers for screening. Ultimately 3 papers were included in the final analysis (Fig. 1)

RESULTS
Flow
RESULTS

Three cases of HNST affecting cranial nerves were identified in the literature. One case of HNST of the facial nerve1 and one case of HNST of the trigeminal nerve2 were identified. Only one case of hybrid tumour located in the auditory canal has previously been reported3. We have identified two further cases of hybrid tumour in this location at our centre. A total of 643 vestibular schwannoma cases have been completed between 2001 and 2024 by this surgical team resulting in an institutional incidence of 0.31%.

CASE DESCRIPTION
Screenshot 2025 06 03 at 11.16.28 pm
INTRAOPERATIVE FINDINGS
Figure 2
Screenshot 2025 06 03 at 8.17.13 am
PATHOLOGY
Figure 3
Screenshot 2025 06 03 at 11.05.56 pm
Figure 3. Case 1: Cellular spindle cell neoplasm consisting of interlacing fascicles of spindled cells with thin, wavy nuclei. There are areas of loose, myxoid stroma and areas where there is abundant collagen. There are some cells with enlarged, pleomorphic nuclei and areas that contain collections of foamy macrophages. Mitotic figures are rare.
A. H&E stained section mag. X 100. B. Positive S100  original  magnification X100. C. Neurofilament highlighting axons, mag X200
Figure 4
Screenshot 2025 06 03 at 10.50.55 pm
Figure 4.  Case 2: Benign spindle cell tumor showing a uniform histologic appearance. The tumor cells are spindle cell to round in shape. Mitotic activity is not increased. Necrosis is not evident.  The neurofilament immunoperoxidase study highlights occasional intratumoral axons. The reticulin-stained section highlights a complex membranous pattern in areas. A. H&E stained section original mag. X 100 B. Neurofilament immunoperoxidase study highlighting axons, orig. mag. X 40 C. S100 immunoperoxidase study  orig. mag. X 100
DIAGNOSIS

Hybrid nerve sheath tumour, schwannoma/neurofibroma subtype

CONCLUSIONS

HNSTs may be underreported in the cranial region.

Three cases if HNST have been reported in the literature to date. Here we describe an additional two cases occurring within the IAC, presenting as a vestibular schwannoma.  Underreporting may relate to the relatively recent addition as a recognized phenomena to the list of WHO pathologies or due to insufficient tissue sampling provided to pathologists for tumours in this region to make this diagnosis.

REFERENCES

1. Murray S, Bullock MJ, Taylor SM. A case of multiple neurofibroma/schwannoma hybrid tumors of the facial nerve. Otolaryngol Head Neck Surg [Internet]. 2015;152(3):569–70. Available from: http://dx.doi.org/10.1177/0194599814566791

 

2. Goyal-Honavar A, Gupta A, Chacko G, Chacko AG. Trigeminal hybrid nerve sheath tumor - a case report and literature review. Br J Neurosurg [Internet]. 2023;37(5):1326–9. Available from: http://dx.doi.org/10.1080/02688697.2020.1867061

 

3. Las Heras F, Martuza R, Caruso P, Rincon S, Stemmer-Rachamimov A. 24-year-old woman with an internal auditory canal mass. Hybrid peripheral nerve sheath tumor with schwannoma/perineurioma components: Correspondence. Brain Pathol [Internet]. 2013;23(3):361–2. Available from: http://dx.doi.org/10.1111/bpa.12055

Img logo 273x140

Spontaneous regression of vestibular schwannoma: a clinical and radiographic characterization

Celine Hounjet

Maggie Hou

Jeremy Kam

Hannah Schoenroth

Brian Westerberg

Ryojo Akagami

Ubc logo 2019 neurosurgery standard blue282rgb300
ABSTRACT
INTRODUCTION: Vestibular schwannoma are common benign tumours of the CP angle that demonstrate slow growth and as such, watchful waiting is a reasonable initial management strategy.  While under observation, a portion of these tumours have been known to demonstrate spontaneous regression. At our institution, 39 patients have demonstrated spontaneous regression to date.  Here we attempted to characterize patients who demonstrated spontaneous regression.
METHODS: A survey was released to all patients who demonstrated regression and a matched cohort. Radiographic and clinical reviews were also completed. 
RESULTS AND CONCLUSION: This is the largest series of spontaneous regression in the literature to date. 
Previously identified radiographic findings may not be predictive of spontaneous regression Demographic data and lifestyle factors did not correlate with spontaneous regression. Active HSV may play a role in spontaneous regression, but further investigation is required
BACKGROUND

VS is the most common tumour of the CPA with an annual incidence of 17.4/1 million. Typically: slow growth over time and as such, observation is a reasonable approach to management.
A portion of these tumour remain static and approximately 5-10% of these tumours will demonstrate spontaneous regression while under observation. Several previous case series have attempted to identify predictive factors for tumour growth and regression, but few have reached significance or demonstrated reproducible findings.
- No clinical factors have been identified 
- No demographic factors have been identified 
- Radiographic factors have been identified in small case series (Largest: N=14)

METHODS

Using a clinical database of VS treated by one team at our institution, we identified 40 patients who have demonstrated significant spontaneous regression or complete resolution of their VS. All patients received a survey by mail and telephone. This survey was also distributed to a matched population of patients who had undergone resection for tumours that had demonstrated growth. For all patients who consented to participate, radiographic and clinical data was collected from patient charts in addition to survey responses. Medical comorbidities and medications provided through patient questionnaire were corroborated with patient charts. Tumor volume was approximated using the formula V = 4/3 x π x length/2 x width/2 x height/2 and nominal logistic regression was completed using JMPv17 with 50% tumor reduction as the reference value.

RESULTS: RADIOGRAPHIC

Of the 39 patients, 14 patients were excluded due to incomplete data

A total of 25 patients demonstrating spontaneous regression were included in radiographic analysis
Imaging features including degree of cystic component, presence of CSF in the IAC, smooth/irregular shape, and extension into IAC were not found to be predictive of regression in this study. 

Figure 1. Index imaging vs follow up imaging (mm^3)
Screenshot 2025 06 04 at 12.09.39 am
Figure 2. Axial MRI scans demonstrating included cases of spontaneous regression
Screenshot 2025 06 04 at 12.00.53 am
Screenshot 2025 06 04 at 12.00.59 am
RESULTS: SURVEY

There was a response rate of 18/39 for both the spontaneous regression group as well as the control group. Although the surveys were distributed to a sex matched cohort, due to partial response rate, the final groups are not matched. 

Picture1
Picture1
Additional lifestyle factors included in survey but not included due to low response rate and/or included but not found to be predictive were:
- cellphone use 
- cordless phone use
- bluetooth headset use
- international flight exposure 
- MRI head exposure
- CT head exposure
- diet 
- medications
- vitamins
Figure 3. Prevalence of presenting symptoms in spontaneous regression vs control group
Picture1
Figure 4. Most common comorbidiites in spontaneous regression and control groups
Picture1
CONCLUSION
•This is the largest series of spontaneous regression in the literature to date
•Previously identified radiographic findings may not be predictive of spontaneous regression
•Demographic data and lifestyle factors did not correlate with spontaneous regression
•Active HSV may play a role in spontaneous regression, but further investigation is required
Img logo 273x140

The Development of an Image-Guided, Multi-Biopsy Tool for Neurosurgical Applications

Kaytlin Andrews

Heidi Ploeg

James Purzner

Teresa Purzner

Ba2b23cc0528cfebf7118a1ad0450afc

INTRODUCTION

Advancements in molecular technology have transformed how we characterize biological specimens, yet the success of genomic, transcriptomic, and proteomic studies depends on high-quality, consistent sample collection. This is especially important in spatially heterogeneous diseases like brain tumors, where tools must enable rapid collection, minimize inter-sample contamination, improve inter-user consistency, and preserve spatial orientation.

While surgical instruments such as the Yasargil tumor grasping forceps remain invaluable for clinical use and histological diagnosis, they were not designed to meet the demands of modern molecular research. To address this gap, we developed a novel biopsy instrument using a quality function deployment (QFD) framework to systematically assess user needs, technological limitations, and desired tool attributes. Our design aims to bridge the divide between traditional surgical practices and the evolving requirements of research and precision therapy.

METHODS AND RESULTS

Figure 1
Figure 1. Workflow of the capsule biopsy system. Capsules are loaded into a 96-well plate and attached to a surgical suction tip for tissue collection. Loaded capsules are returned to the plate with recorded coordinates. Samples are fixed in-capsule, then ejected into agarose molds for embedding and tissue microarray preparation.
Fig 2 reduced
Figure 2. A: 3D model of the biopsy capsule illustrating the attachment to surgical suction, the biopsy compartment, and the piston. B: Image depicting a surgical suction with the capsule mounted and a navigation probe attached. 
Figure 4 laytout instructions
Figure 3. A–B: Sample weight (A) and collection time (B) by user group and method. Levene’s and ANOVA tests assess variance and group differences. C–D: H&E-stained biopsies from capsules (C) and forceps (D), collected by neurosurgeons (i–ii) and students (iii–iv). E–F: 500×500 px crops from capsule (E) and forceps (F) samples with nuclear eccentricity (EC) values.
Figure 5 layout instructions
Figure 4. A–B: Capsule biopsy tool integrated with surgical suction and neuronavigation; in use during resection. C: Sample weight distributions by device; Levene’s test compares variance. D–E: H&E-stained samples from capsule (D) and forceps (E) biopsies. F-G: 500×500 px crops from D (F) and E (G) samples with nuclear eccentricity (EC) values.
CONCLUSION
Existing neurosurgical tools prioritize clinical utility over the needs of molecular research. To address the challenges of spatial heterogeneity, inter-sample contamination, and user variability, we developed a capsule biopsy tool designed for consistency, spatial accuracy, and integration with standard surgical workflows. The capsule device demonstrated reduced variance in sample weight, faster collection times, and comparable tissue preservation to traditional tools. Engineering-based design strategies enabled rapid prototyping to address key limitations. This approach highlights the potential to develop research-informed surgical tools and standardized workflows that bridge the gap between clinical care and scientific discovery.
References List
ACKNOWLEDGEMENTS
This research was supported by SEAMO Innovation Grant 30000-13601-365596 and the CIHR Canada Graduate Scholarships – Master’s program.
Img logo 273x140

Predictors and clinical outcomes of postoperative cerebro spinal fluid leak after endoscopic endonasal skull base surgery

Alejandro Vargas-Moreno

Sami Khairy

Mouaz Saymeh

Jessica Rabski

Shaun Kilty

Fahad Alkherayf

Theottawahospital rgb 300dpi
Introduction
- Endoscopic endonasal surgery (EES) has become a cornerstone in the surgical treatment of skull base pathology.

- Postoperative cerebrospinal fluid (CSF) leakage remains one of the most significant complications associated with EES.

- Identifying the frequency of these leaks and understanding the associated risk factors are essential for improving patient outcomes.

- We aimed to identify whether patient-specific factors and perioperative interventions are independent risk factors for the development of postoperative CSF leaks after this type of procedures. 
Results
- A total of 542 patients with confirmed intradural pathology were included in the final analysis.

- 40 developed a CSF leak (7.4%). The highest rate of CSF leak was observed in patients with sellar or suprasellar lesions (5.9%), followed by those with anterior cranial fossa lesions (1.1%), and posterior cranial fossa lesions (0.4%).



 

Patient demographics and general characteristics

Variable

 

 

Asa Class, no (%)

I

2 (0.4%)

II

54 (10.2%)

III

388 (73.5%)

IV

84 (15.9%)

Approach/Location

 

 

Sellar/Suprasellar, no. (%)

434 (80.1%)

Anterior cranial fossa, no. (%)

62 (11.4%)

Posterior cranial fossa, no. (%)

46 (8.5%)

Blood loss  (Mean in ml - min/max)

 

340(100-3500)

LOS (Mean in days)

 

9.76

Results
- There was no statistical difference between ASA classes and the presence of CSF leaks (p = 0.83). Tumor location - type of approach (p = 0.578), and the use of dural sealants (p = 0.195) were not independent factors for the development of CSF leaks.

- Rates of CSF leakage varied based on tumor pathology. Histological diagnosis was associated with the presence of a CSF leak in patients with skull base carcinomas (p<0.001).

 

- Patients who developed a CSF leak had a significantly longer length of stay (p < 0.001). Additionally, the presence of a CSF leak was associated with a higher rate of 30-day readmission (p < 0.001), as well as the development of sepsis (p = 0.021) and diabetes insipidus (p < 0.001) in the postoperative period.

 


CSF Leak predictors

Variable

No CSF leak (n=502)

CSF leak    (n=40)

p value

Mean BMI in kg/m2

26.1

30.4

0.001

Mean LOS in days

9.21

16.7

<0.001

Intraoperative CSF leak, no.

234

40

0.001

Nasoseptal flap use

468

30

0.001

Readmission at 30 days, no.

13

31

< 0.001

PostOp. DI, no.

12 (2.2%)

60 (11.1%)

< 0.001


 
Conclusions
- Higher pre operative BMI, intraoperative CSF leak and lumbar drain placement were associated with an increased risk of postoperative CSF leak.Use of a pedicled vascularized flap may be associated with reduced risk of this complication.

- Patients with postoperative CSF leak had a higher incidence of diabetes insipidus, prolonged lengths of stay, sepsis, and increased readmission rates.
Img logo 273x140

The endoscopic endonasal transclival approach for the treatment of skull base lesions

Alejandro Vargas-Moreno

Sami Khairy

Mouaz Saymeh

Jessica Rabski

Shaun Kilty

Fahad Alkherayf

Theottawahospital rgb 300dpi
Introduction

- Surgical access to the clival region represents a formidable challenge due to its midline position, deep-seated location, and intricate neurovascular relationships.
- In recent years, extended endoscopic endonasal approaches (EEA) have emerged as a minimally invasive alternative, providing a direct corridor to this complex anatomical region.
- This report reviews the clinical presentation and outcomes of patients who underwent an endoscopic endonasal approach for the treatment of skull base lesions involving the clivus, detailing our surgical experience.

Results
- A total of 46 patients underwent an extended endoscopic endonasal approach to the clivus.
- Surgical indications included CVJ lesions, specifically CVJ instability requiring endonasal odontoidectomy in 15 cases (32.6%), and space-occupying lesions in the remaining 31 cases (67.4%).
- 12 cases (26%) involved the upper third of the clivus, 19 cases (41.3%) were located in the upper-middle third, and the remaining 15 cases involved the lower third or CCJ region.
- Among patients with space-occupying lesions, GTR was achieved in 46.7% of cases, and adjuvant radiotherapy was administered in 18 patients (38.1%). Resection extent and radiotherapy use varied by histopathological diagnosis.
- GTR in chordoma cases was more frequently achieved in tumors with smaller volumes (mean: 9.3 cm³ vs. 12.6 cm³; p = 0.359) and in those located along the midline. GTR was also associated with improved cranial nerve function during follow-up. 
- Residual tumor was most commonly located in the cavernous sinus and behind the para clival carotid artery.
Clival2
Top-down view of the clival region. Heat map representation of residual tumor distribution across key anatomical regions. The cavernous sinus exhibits the highest incidence of residual tumor, as indicated by the red color. This is followed by Meckel’s cave and the retro paraclival carotid space, which demonstrate moderate to high residuals. The occipital condyle, petrous apex, and ventral jugular foramen are highlighted in light yellow, reflecting a low to moderate frequency of residual disease. The ambient cistern, marked in green, appeared to be the least affected region in our analysis.

Chordoma extent of resection analysis

Variables

GTR (6)

STR (7)

p value

Mean PreOp Vol

9.3

12.6

0.369

Midline location

5 (38.5%)

2 (15.4%)

0.048

Mean blood loss

425ml

893 ml

 

PostOp CSF leak

1

1

0.99

Persistent oftalmoparesis at last FU

1 (7.7%)

3 (23.1%)

0.033

Recurrence at last FU

0

3 (23.1%)

0.067


 
Conclusion

The endoscopic endonasal approach is a safe and effective alternative for managing clival pathologies. Its potential advantages include avoiding craniotomy and brain retraction, reducing neurovascular manipulation, and minimizing morbidity. While major complications have been rare, this technique does have limitations.

Img logo 273x140

Clinical Outcomes Of Extended Endoscopic Endonasal Approach For The Resection Of Anterior Skull Base Meningiomas

Alejandro Vargas-Moreno

Sami Khairy

Mouaz Saymeh

Jessica Rabski

Shaun Kilty

Fahad Alkherayf

Theottawahospital rgb 300dpi
Introduction

- Anterior skull base meningiomas are a heterogeneous group of tumors classified based on their primary site of attachment.
- Surgical intervention may be considered depending on the tumor’s size, anatomical relationships, and associated neurological deficits.
-This study aims to evaluate the clinical outcomes of patients with anterior skull base meningiomas who underwent EEA for tumor resection.

Meningiomas

Surgical approaches were categorized based on tumor location and site of primary attachments in between olfactory Groove and tubercullum sellae-planum sphenoidale areas.
Results

Twenty-five patients underwent an extended endoscopic endonasal approach for the resection of anterior skull base meningiomas. Seventeen patients (68%) had meningiomas located in the tuberculum sellae–planum sphenoidale region, while eight patients (32%) had olfactory groove meningiomas.

Patient demographics and general characteristics

Variable

 

 

 

p value

Tumor location, no (%)

Olfactory groove

 

8 (32%)

Planum-Tubercullum

 

17 (68%)

Clinical presentation, no(%)

Olfactory groove

Headaches

8 (100%)

Hyposmia

5 (62.5%)

Planum-Tubercullum

Visual changes

12 (70.58%)

Headaches

4 (23.52%)

III nerve dysfunction

1 (5.88%)

Hyposmia

1 (5.88%)

ASA Class, no (%)

Olfactory groove

III

5(20%)

IV

3(12%)

Planum-Tubercullum

III

16(64%)

IV

1(4%)

Pre operative mean tumor volume (cm 3)

 

 

 

0.03

Olfactory groove

19.54

 

Planum-Tubercullum

7.04

 

Lumbar drain, no. (%)

 

 

 

0.294

Olfactory groove

2 (8%)

 

Planum-Tubercullum

8 (32%)

 

 

 

 

 

0.312

Nasoseptal flap, no. (%)

Olfactory groove

8 (32%)

 

 

Planum-Tubercullum

15(60%)

 

LOS (Mean in days)

 

 

 

0.46

Olfactory groove

11.1

 

Planum-Tubercullum

11.1

 

Readmission at 30 days, no.

Planum-Tubercullum

2

 

Post Operative characteristics

Variable

 

 

 

p value

Pathology WHO grade, no. (%)

I

23 (92%)

II

2 (8%)

Complications, no. (%)

CSF leak

4 (16%)

Vascular Injury

1 (4%)

Resection, no (%*), mean tumor volume in cm3

Total - Near total

 

 

 

Olfactory groove

7(87.5%) - 15.97

 

Planum-Tubercullum

14 (82.4%) - 5.42

 

Subtotal

 

 

0.03

Olfactory groove

1(12.5%) - 37.41

 

Planum-Tubercullum

3(17.6%) - 10.84

 

Recurrence, no (%)

 

 

1 (4%)

 

*Based on tumor location

       
Conclusion

The endoscopic endonasal approach is a safe and effective alternative for managing anterior cranial fossa meningiomas. Its potential advantages include avoiding craniotomy and brain retraction, reducing neurovascular manipulation, and minimizing morbidity. While major complications have been rare, this technique does have limitations.

This approach should be part of the cranial base surgeon’s armamentarium and considered a viable option for selected patients with these complex pathologies.

Img logo 273x140

The role of indocyanine green fluorescence in the treatment of pituitary tumors

Alejandro Vargas-Moreno

Sami Khairy

Mouaz Saymeh

Jessica Rabski

Shaun Kilty

Fahad Alkherayf

Introduction
- Biochemical cure in functional pituitary adenomas is crucial for reducing patient morbidity and improving quality of life following endoscopic endonasal procedures (EEA). The extent of resection plays a key role in achieving these outcomes.
- Complete resection of tumor components can be challenging due to the difficulty in distinguishing them from normal pituitary tissue.
- Indocyanine green (ICG) fluorescence has been used effectively in various cranial and spinal procedures, but its role in endoscopic skull base surgery has not yet been routinely established.
- In this study, we describe our initial experience using ICG during EEA for the resection of pituitary adenomas.
Results
Patient demographics and clinical characteristics
Number of patients   7
Female sex, n (%)   5 (71.4%)
Age, mean (Min-Max)   52 (24-78)
Pathology, n (%)     ACTH-producing adenoma 4
  GH-producing adenoma 2
  Non-functioning adenoma 1
Tumor size, n (%) <10 mm 6 (85.7)
  >10 mm 1 (14.3)
PostOperative outcomes
Tumor type ICG Visualization Tumor resection Biochemical cure
ACTH-producing adenoma 4 (100%) GTR Yes
GH-producing adenoma 2(100%) GTR Yes
Non-functioning adenoma 1(100%) GTR NA
Case2
Endoscopic view after ICG injection: The first structures to be visualized are the ICAs, they are followed by the normal pituitary gland and finally by the adenoma, allowing for a clear identification of the tumor/gland boundary. 
ICG allowed us to:
- Evaluate vascular structures.
- Assess the perfusion of the pituitary gland and nasoseptal flaps.
- Identify the pituitary adenoma
Without any associated complications
Case example
Top: Pre operative images
Bottom: Post operative images
Icg
47 y.o. female. Secondary amenorrhea, fatigue, weight gain and hirsutism.
Plasma cortisol 518 mcg/dL. Cortisol post dexamethasone 8 mg - 49 mcg/dL.
Inferior petrosal sampling compatible with pituitary source of ACTH without lateralization.
Thumb icg Noun video grey
Conclusions
- ICG is a safe and promising tool, improving both the extent of resection and endocrinologic outcomes in patients undergoing EEA for pituitary adenomas.
- This method enabled identification of the boundary between tumor and normal pituitary gland.
- It is crucial to consider times from ICG administration to appearance of fluorescence on vital structures besides the tumor. 
Img logo 273x140

Endoscopic odontoidectomy for anterior cervicomedullary junction decompression

Alejandro Vargas-Moreno

Sami Khairy

Mouaz Saymeh

Jessica Rabski

Shaun Kilty

Fahad Alkherayf

Theottawahospital rgb 300dpi
Introduction
- The anterior craniovertebral junction is involved in a number of pathologic processes including rheumatoid arthritis, fibroconnective tissue disease, congenital anomalies, neoplasms, and degenerative and traumatic lesions.
- Odontoidectomy is a procedure that can be extremely effective in patients with basilar invagination and irreducible compression of the anterior craniovertebral junction causing progressive myelopathy and spinal cord compression.
- The endoscopic endonasal odontoidectomy reduces hospital length of stay, ventilation time, rate of postoperative tracheostomy, as well as permits earlier extubation and earlier postoperative feeding.
- This study presents the surgical and clinical outcomes of a series of patients undergoing endoscopic endonasal odontoidectomy at a single, tertiary care center.
Horizongal
Endoscopic endonasal odontoidectomy (A) Clivus drilling, (B) C1 removal,(C) Odontoidectomy
Case
Postoperative changes showing resection of the dens as well as partial resection of the anterior arch of C1
Results
Pre Operative - Operative characteristics
Variable
Presentation symptoms Myelopathy 13/17 (76%)
Paresthesias - Sensory symptoms  10/13 (77%)
Difficulty with fine hand movements 7/13 (54%)
Walking disturbances - Neck pain 9/13 (69%)
Headaches 5/17 (29%)
Lower cranial nerve symptoms - Dizziness 3/17 (18%)
Tinnitus  2/17 (12%)
Pathologic conditions C1/C2 pannus 11/17 (65%)
Chiari malformation type I  2/17 (12%)
Basilar invagination 3/17 (18%)  3/17 (18%)
Previous odontoid fracture 1/17 (6%)  1/17 (6%)
Surgical procedure Two-stages 11/17 (65%)
One stage 2/17 (12%)
Endoscopic  only   3/17 (18%)
PostOperative characteristics - Complications - Outcomes
Variable
Extubation Immediately 7/17, 41%
Prolonged 10/17, 59%
Intra operative CSF leak   4/17, 24%
Vascular injury   1/17, 6%
Dysphagia   8/17, 47%
Infection   3/17, 18%
Myelopathy resolution Complete 14/17, 82%
Conclusions
Endoscopic endonasal odontoidectomy can be performed for various odontoid and anterior craniocervical pathologies with a high rate of symptom resolution and low rates of permanent complications.
Img logo 273x140

Multi-Omic Profiling of RTOG-0539 Clinical Trial Identifies Predictors of Radiotherapy Response and Therapeutic Targets in Meningioma

Leo Yefet

Alex Landry

Justin Wang

Jeff Liu

Vikas Patil

Chloe Gui

Yosef Ellenbogen

Andrew Ajisebutu

Farshad Nassiri

Gelareh Zadeh

University of toronto
BACKGROUND

•Meningioma is the most common brain tumor
•Radiotherapy (RT) is the only adjuvant treatment, but predicting who benefits is a challenge.
•RTOG-0539 was the first prospective clinical trial to assign adjuvant RT based on clinical risk.
•Biologically distinct molecular groups (Immunogenic, NF2wt, Hypermetabolic, Proliferative) were not integrated into clinical trial design.


We aimed to molecularly characterize this RTOG-0539 Clinical Trial cohort to identify biomarkers of RT response and therapeutic targets.
 

METHODS

•Tumor samples from 100 patients
•Profiled with DNA methylation, RNA sequencing, and whole-exome sequencing (WES).
•Patients stratified by clinical risk (Low, Intermediate, High).
•RT responders defined by 3-year progression-free survival (PFS).
•Analyses included molecular classifications, copy number alteration analysis, differential gene expression, mutation profiling
RESULTS
Screenshot 2025 06 04 at 7.17.26 pm

Figure 1: RTOG-0539 risk stratification schema and RT assignment

Picture1

Figure 2: Distribution of WHO Grade and Molecular Groups by RT Response.

Screenshot 2025 06 04 at 7.22.21 pm

Figure 3: Multivariable analysis showing molecular group as an independent predictor of progression-free survival.

Screenshot 2025 06 04 at 7.23.33 pm


Figure 4: Cell cycle regulatory pathways enriched in RT non responders vs. immune pathways in responders. Non responder associated pathways susceptible to vorinostat.


KEY FINDINGS

•Proliferative molecular group better predicted post-RT PFS than WHO grade.
•Non-responders to RT showed upregulation of cell cycle and DNA repair genes
•Pathways activated in non-responders overlap with those inhibited by vorinostat, a histone deacetylase inhibitor
CONCLUSIONS

•Molecular Group classification, particularly the Proliferative group, remains an independent and stronger predictor of post-RT recurrence than WHO grade.
•Integrated multi-omic profiling identifies divergent biological programs underlying RT response, with immune-related activity enriched in responders and cell cycle dysregulation in non-responders.
•Several RT non-responder-enriched pathways are targetable with vorinostat, supporting future biomarker-driven trials in aggressive, treatment-resistant meningioma.
 
LIMITATIONS

•Radiotherapy regimens were not molecularly tailored, limiting direct assessment of biomarker-guided response.
•Tumor heterogeneity may not be fully captured by single-region sampling.
 
REFERENCES

 

1.Ostrom, Neuro Oncol, 2023
2.Nassiri, Nature, 2021
3.Landry, Neuro-Oncol, 2024
Img logo 273x140

Granule neuron precursor and medulloblastoma cell cycle exit and differentiation are regulated through negative feedback of Ezh2 and Cyclin D1

Ahmad Chahin

James Purzner

Teresa Purzner

Queenslogo colour
Background
  •  Medulloblastoma (MB) is the most common pediatric malignant brain tumor.
  • The Sonic Hedgehog (SHH) subtype is particularly treatment-resistant, and patients with TP53 gene mutations, have very poor outcomes (1).
  • SHH MB arises from granule neuron precursors (GNPs) during cerebellar development (1).
  • Differentiation provides great potential in treating SHH MB by preventing cell cycle re-entry by allowing tumor cells to become benign neurons, which is unaffeted by TP53 mutations.  
  • Over half of the differentiation genes are marked by repressive H3K27me3 modifications, which is catalyzed by Ezh2 (2).  
Screenshot 2025 06 04 at 10.30.40 am

Figure 1: GNP differentiation and SHH-MB formation.

Treatment-resistant MB cells continually lead to tumor recurrence. Targeting cell cycle regulation can lead to neuronal differentiation of MB cells.

Objective

This study aims to evaluate the hypothesis that Cyclin D1 and Ezh2 are trapped within a negative feedback loop in dividing granule neuron precursors (GNPs) and medulloblastoma (MB) cells.

Screenshot 2025 06 04 at 3.04.33 pm
Figure 2: Negative feedback loop interaction between Ezh2 and Cyclin D1
Results & Methods
Cyclin D1 is highly expressed and marked by H3K27me3 in GNPs and MB cells
Screenshot 2025 06 04 at 11.54.49 am

Figure 3: H3K27me3 levels were quantified at transcriptional start sites via ChipSeq and compared to RNASeq transcriptional expression levels in P7 GNPs (A) and MB cells (B). Paradoxically, Cyclin D1 was ranked in the top 11.21% of expressed genes while being heavily marked by the repressive histone mark H3K27me3 (top 7.58%) in GNPs. In MB cells, Ccnd1 was again found to be heavily marked by H3K27me3 and highly expressed (within the top 15.24% and 1.44%, respectively).

Ezh2 overexpression induces G0 arrest in MB cells
Screenshot 2025 06 04 at 12.25.26 pm

Figure 4: A stable MB cell line was created with an inducible degron construct that allows a TMP dose-dependent increase in EZH2 protein abundance. (A) Ezh2 overexpression at 10µM TMP resulted in a 2.7-fold increase in the proportion of G0-arrested cells relative to MB cells compared to wildtype cells (P<0.0001). (B) Immunofluorescent imaging of cell cultures from control (MB55) and Ezh2 over-expressed cells.

Ezh2 cKO increase Cyclin D1 expression in GNPs
Screenshot 2025 06 04 at 12.01.42 pm

Figure 5: Differential gene analysis in GNPs following Ezh2 cKO. Significant changes are indicated with P ≤ 0.05 and log2FC ≥ 1. Ezh2 cKO GNPs had a significant increase in Cyclin D1 (Ccnd1) expression compared to Ezh2 wt mice (Log2FC: 1.301, Adjusted P-value: 16.001).

Ezh2 transcript and abundance is dependent upon pRb/E2f1 complex
Screenshot 2025 06 04 at 2.39.50 pm

Figure 6: A stable MB cell line was created with an inducible degron construct that allows TMP dose-dependent increases in E2f1 protein abundance. (A) Increased E2f1 expression (TMP:10µM) demonstrated an increase in Ezh2 transcript and protein levels. (B) Immunofluorescence imaging of cell cultures from control (MB55) and E2f1 over-expressed MB cells. (C) The effect of decreased pRb/E2f1 activity on EZH2 expression via CDK4/6 inhibition. Treatment with Palbociclib resulted in a 58.4% decrease in EZH2 expression and a 46.5% increase in Cyclin D1 levels.

Ezh2 inhibition in MB cells can rescue the effect of Vismodegib
Screenshot 2025 06 04 at 2.49.47 pm

Figure 7: To test our model, SHH MB, which have constitutively active SHH signaling, were treated with Vismodegib, an inhibitor of the SHH pathway SMO.  As expected, treatment with Vismodegib resulted in decreased cell viability relative to control (MB21: P-value<0.05; MB55: P-value<0.01). Addition of Ezh2 inhibitor Tazemetostat (1µM) resulted in a significant increase in cell viability compared to cells treated with Vismodegib alone (MB21: P-value<0.01; MB55: P-value<0.05). 

Conclusions
  • Ezh2 presents a paradoxical nature, functioning as both an oncogene and a tumor suppressor gene (3,4). This dualistic behavior could be attributed to the regulatory feedback loop described here.
  • Our findings emphasize the importance of clearly understanding the disease-specific role of a given protein before proceeding with clinical trials.
  • Lastly, our study provides a framework for the development of future differentiation therapies. 
References
Img logo 273x140

Convexity Dermoid Cyst: A Case Report and Review of the Literature

Braeden Newton

Patrick Toyota

Viktor Zherebitskiy

Adam Wu

Luke Hnenny

Usask usask colour
Background

Dermoid cysts are rare, benign intracranial lesions arising from abnormal folding of the neuroectoderm during embryogenesis, sequestering mesenchymal and ectodermal cells. Classically occuring in the midline, near the sella or in the posterior fossa, we report a case of an intracranial dermoid cyst presenting along the left supratentorial convexity with extension into the sylvian fissure. 

Case

A 33-year-old female presented following a three-year history of intermittent paresthesia’s involving the right side of her face and her right hand lasting approximately 1 minute, occurring with increasing frequency the month prior to presentation. A non-contrast head CT was performed which revealed a 4.7cm hypodense lesion with peripheral calcification contiguous with the calvarium. MRI was performed revealing a 4.3 x 3.4 x.4.8cm extra-axial, pre-dominantly cystic, T2-hyperintense, T1-hypointense lesion with internal septations. Post-contrast imaging revealed enhancement of the internal septation and thin linear peripheral enhancement.

The patient underwent left fronto-temporal craniotomy and resection of the mass. A small craniectomy was performed to detach the central calcified portion contiguous with the calvarium. Intra-operatively, the lesion had a soft consistency with a distinct plane separating it from the underlying parenchyma. Intralesional hair was seen, concerning for a dermoid cyst. The mass was debulked with ultrasonic aspiration and GTR was achieved.  The patient recovered well post-operatively, with complete resolution of her paresthesias. 

Figure 1. Pre-operative Imaging
Dermoid pre op imaging
A) Coronal CT reveals significant calcification contiguous with the calvarium. B) Pre-operative DWI demonstrates intralesional diffusion restriction. C) T2W reveals a large, cystic lesion extending into the sylvian fissure. D) T1C MRI shows mild peripheral and septal enhancement.
Figure 2. Post-operative Imaging.
Dermoid post 2
Post-operative DWI (A), T2W (B), and T1C (C) imaging reveals no evidence of residual tumor, consistent with gross total resection. 
Figure 3. Selected histopathology and immunohistochemistry slides of the lesion.
Dermoid path
A) H&E stain demonstrates a cyst wall with squamous epithelium and adjacent sebaceous gland with hair follicles (mature skin appendages). B) Evidence of chronic secondary inflammation with granulomatous component and cholesterol crystals, suggestive of microscopic rupture. Positive staining for CK5/6 (C) and p63 (D) in the cyst wall, both squamous IHC markers. 
Discussion
Dermoid cysts are uncommon intracranial lesions, accounting for fewer then 1% of all intracranial lesions. Arising from sequestered mesenchymal and ectodermal tissue due to aberrant neuroectodermal folding, they are typically found in the midline, with reports of convexity dermoid cysts exceedingly rare. A recent review of the literature by Garces et al from 2016 revealed 12 prior cases of insular and sylvian fissure dermoid cysts. Compared to the classical midline or infratentorial location, supratentorial dermoid cysts tend to present later in life with lower risk of macroscopic rupture. In the case above, evidence of a significant chronic inflammatory component was observed. This phenomenon was also identified in 3 prior cases, 2 of which had previous rupture. The presence of chronic inflammation is thought to be related to the risk of rupture.
Conclusion
Dermoid cysts are rare intracranial lesions that most commonly occur in the midline. This case highlights a rare convexity dermoid cyst, expanding our understanding of its atypical locations.
References

1. Lunardi P, et al. (1989) Chemical meningitis in ruptured intracranial dermoid. Case report and review of the literature. Surg Neurol 32:449–452. 

2. Shehadi JA, et al. (1999) Temporal dermoid cyst with a partial dermal sinus tract. Canadian Journal of Neurological Sciences 26:321–324. 

3. Barkley AS, et al. (2019) Frontotemporal Dermal Sinus Tract with 2 Connected Intradiploic Dermoid Cysts: A Rare Case and Review of the Literature. World Neurosurg 127:350–353.

4. Abbas S, et al. (2024) Dermoid cyst, unusual location of the pterion: About a case and review of literature. Radiol Case Rep 19:863–866. 

5. Anand D, et al. (2014) Sylvian fissure dermoid cyst -A rare case. Journal of Clinical and Diagnostic Research 8:RD01–RD02. 

6. Haider AS, et al. (2016) A Nonoperative Approach for Neurosurgical Management of a Sylvian Fissure Dermoid Cyst. Cureus 8:. 

7. Obled L, et al. (2020) Rare Case of Giant Supratentorial Dermoid Cyst. World Neurosurg 135:72–75. 

8. Mishra MK, et al. (2023) Intracranial Interdural and Extradural Cerebellar Convexity Dermoid Cyst: A Case Report of Rare Tumor at the Rarest Location. Asian J Neurosurg 18:631–635.

Img logo 273x140

Anesthetic Strategies for Mechanical Thrombectomy: A Single-Center Retrospective Review

Braeden Newton

Eva Liu

Amit Persad

Ruth Whelan

Sanchea Wasyliw

Regan Cooley

Brett Graham

Gary Hunter

Aaron Gardner

S Uzair Ahmed

Michael Kelly

Lissa Peeling

Usask usask colour
Background

Acute ischemic stroke remains a significant cause of morbidity and mortality in Canada. Following the publication of several landmark clinical trials in 2015, mechanical thrombectomy has become the standard of care for eligible patients with large vessel occlusions (LVOs). However, there remains significant variability in the anesthetic strategy employed during thrombectomy. The primary objective of this study was to determine whether anesthetic strategy (conscious sedation vs. general anesthesia) affects key procedural metrics, functional outcomes, and safety in patients undergoing thrombectomy.

Methods
We conducted a single-center retrospective review of patients undergoing mechanical thrombectomy for anterior circulation LVOs between 2021 and 2023. Exclusion criteria included <18years of age, posterior circulation occlusions, recanalization prior to thrombectomy, and inability to access the occlusion due to patient anatomy. Patients were categorized by anesthetic strategy (general anesthesia vs. conscious sedation), and outcomes, including time to recanalization, angiographic results (mTICI), and 90-day functional status (mRS), were compared. Statistical analyses included Student’s t-test, Mann-Whitney U-test, and Fisher’s exact test.
Table 1
Gt and mt demo
Table 1. Baseline demographics, clinical, and radiological characteristics of the study cohort.
Figure 1
Ga and mt t1 3
Figure 1. A) Time from arrival to the vascular suite until groin puncture. Conscious sedation had a statistically faster time to groin puncture than general anesthesia. B) Time from groin puncture to vessel recanalization. No significant difference was seen between the anesthetic strategies. C) Time from arrival to the vascular suite until vessel recanalization. Despite the faster time to groin puncture, there was no difference in overall time to recanalization between the two groups.
Figure 2
Ga and mt mtici
Figure 2. Angiographic outcomes of thrombectomy based on anesthetic strategy. No significant difference was seen between the two groups. 
Figure 3
Ga and mt mrs
Figure 3. A) 90-day functional outcome (mRS) of patients based on anesthetic strategy. No significant difference in mRS was seen between the two groups. B) Comparison of 90-day mortality rates reveals no significant difference between the two strategies. C) Stratification of the groups based on functional independence (mRS ≤2) at 90 days reveals no significant difference between conscious sedation and general anesthetic.
Results
Among 226 patients, 177 (78%) received general anesthesia and 49 (22%) underwent conscious sedation. Baseline characteristics including sex, age, NIHSS, ASPECTS, collaterals, and laterality were similar between groups. Conscious sedation was associated with a statistically significant shorter time from arrival to the angiography suite to groin puncture (p=0.007), but no differences in time to recanalization (p=0.893), angiographic outcomes (p=0.987), or 90-day functional status (p=0.795) were observed.
Conclusion
Conscious sedation led to faster procedural initiation, though no difference in clinical or radiographic outcome was observed. Anesthetic choice should be individualized based on patient and physician factors in acute mechanical thrombectomy.
References

- MR CLEAN https://www.nejm.org/doi/full/10.1056/NEJMoa1411587

- ESCAPE https://www.nejm.org/doi/full/10.1056/NEJMoa1414905

- REVASCAT https://www.nejm.org/doi/full/10.1056/NEJMoa1503780

- SWIFT PRIME https://www.nejm.org/doi/full/10.1056/NEJMoa1415061

- EXTEND-IA https://www.nejm.org/doi/full/10.1056/NEJMoa1414792

- Brinjikji W et al. PMID: 25395655; PMCID: PMC8013063.

- Jing et al 2018. https://pmc.ncbi.nlm.nih.gov/articles/PMC5896359/

- Campbell et al 2023. https://www.neurology.org/doi/10.1212/WNL.0000000000207066

- Lee et al 2022. https://pubmed.ncbi.nlm.nih.gov/36188372/

- Tosello et al. https://www.cochranelibrary.com/cdsr/doi/10.1002/14651858.CD013690.pub2/full

- Schonenberger et al, 2016. SIESTA. https://pubmed.ncbi.nlm.nih.gov/27785516/ 

- Sorensen et al 2019. GOLIATH. https://pubmed.ncbi.nlm.nih.gov/30926686/

- Henden et al 2017. AnStroke. https://www.ahajournals.org/doi/10.1161/STROKEAHA.117.016554?url_ver=Z39.88-2003&rfr_id=ori:rid:crossref.org&rfr_dat=cr_pub%20%200pubmed

Img logo 273x140

Postoperative visual deterioration after endoscopic pituitary adenoma resection: predictors, management, and long-term sequelae

Sami Khairy

Alejandro Vargas-Moreno

Mouaz Saymeh

Jessica Rabski

Shaun Kilty

Fahad AlKherayf

Picture1
Background
 
•While endoscopic endonasal transsphenoidal surgery offers advantages over the transcranial approach, patients can still experience postoperative complications.
•
•Damage to adjacent structures, including the optic apparatus and the optic nerves and their vascular supply.
•
•Postoperative visual deterioration following endoscopic endonasal transsphenoidal surgery for pituitary adenoma is very rare yet significant morbidity.
•
•Rates of postoperative visual loss can vary from as low as 1% in large case series with multiple pathologies to as high as 30% in smaller series of meningiomas.
•
•Principal mechanisms can be divided to three categories:
vIatrogenic injury
vCompressive
vIschemic

 

•Timely diagnosis and intervention can potentially improve the outcome.
•
•The predictors and their correlation with intervention outcome remain poorly elucidated.
•
•The aim of this study to investigate the predictors of visual deterioration in patients who underwent endoscopic endonasal pituitary adenoma resection.

Methods
 

•We retrospectively reviewed all patients who underwent endonasal transsphenoidal surgery.
•
•Period of 10 years (2014–2024).
•
•A total of 790 consecutive patients were reviewed from our database.
•
•We included all the patients with pituitary adenoma who underwent endoscopic endonasal transsphenoidal surgery and had Postoperative visual deterioration.
•
•Demographic data, preoperative, intraoperative, postoperative clinical data were collected.
•
•patients’ clinical and visual outcomes were retrospectively collected and analyzed.

Results
•Baseline Characteristics

Number

Variable

750

Total Number of Patients (N)

9 (1.13%)

Early Postoperative Visual Deterioration (n, %)

52.14

Mean Age (years)

03:42

Mean Operative Length (hrs:mins)

•None of the patient has intraoperative report of direct injury to the optic apparatus.
 
•Ischemic etiology was seen in 5 patients.
 
•Compressive etiology was seen in 4 patients.
 
•Four patients (44%) underwent early reoperation to explore and decompress the optic apparatus.
 
• Vision was restored to baseline after reoperation in all 4 compressive cases.
 
•In the ischemic group (n = 5), 3 patients improved with supplemental oxygen and hypervolemic-hypertensive therapy (p = 0.03).
•Mean arterial pressure elevation after surgery were significantly higher (p = 0.04) in those ischemic patients who recovered compared with those with persistent visual deficits.
Picture2
Conclusion
 
•Postoperative visual deterioration following endoscopic endonasal surgery for pituitary adenoma is very rare but serious complication.
•
•Visual deterioration can be treated if underline cause was identified and intervention was done.
•
•Compressive etiology has a favorable prognosis when identified and managed with reoperation and decompression.
•
• Ischemic etiology potentially treatable with supplemental oxygen, hypervolemic-hypertensive and high mean arterial pressure in almost half of cases.
Img logo 273x140

The challenge of Giant Olfactory Groove Meningiomas: long-term outcome and predictive modeling

Sami Khairy

Ali Alkhaibary

Alejandro Vargas-Moreno

Mouaz Saymeh

Fahad AlKherayf

Ahmed Aloraidi

Ahmed Alkhani

Picture1

BACKGROUND:
Olfactory groove meningiomas (OGMs) comprising 13% of intracranial meningiomas. OGMs are slow-growing tumors often going undetected until reaching Giant size. These tumors can cause a variety of symptoms, including headaches, personality changes, insomnia, and visual deterioration. A little is known about the visual recovery and prediction of recurrence of giant olfactory groove meningioma patients.

STUDY DESIGN AND METHODS:

This is A retrospective study conducted at a major medical center. This study included all the patients with Giant olfactory meningioma (more than 6 cm in diameter) who underwent surgery over a 22-year period (January 2000 to December 2022). Long-term outcome including visual status, recurrence and functional status were collected. Multivariable logistic regression was used to identify predictors of recurrence and functional outcome.

RESULTS:
Thirty-two patients met the inclusion criteria for this study, with a mean age of 55.8 years.The mean follow-up period was 62 months.  The majority of giant OGMs were classified as WHO grade 1 (84.4%). Postoperatively, 19 patients demonstrated improvement in visual acuity and visual field deficits. Radiological recurrence was observed in nine patients (28.1%) at a mean follow-up of 56 months, with only three requiring reoperations for tumor resection. One patient developed a brain abscess, necessitating reoperation. Multivariable analysis identified patient age, Simpson grade of excision, and WHO grade as significant predictors of recurrence rate.

CONCLUSIONS:
This study demonstrates that surgery can improve visual deficits and functional outcomes. Postoperative outcomes were strongly predicted by age, resection extent, and histological grade. Developing a new predictive scale based on these parameters appears to strongly predict the Giant OGMs Long-Term outcome.

 

Picture3
Img logo 273x140

Early versus late initiation of chemical venous thromboembolism prophylaxis in adult patients with severe traumatic brain injury: a systematic review and meta-analysis

Brij Karmur

Jennifer Mann

Michael Yang

Logo vert colour
Background
  • An estimated 5.48 million people worldwide suffer from severe traumatic brain injury (TBI)
  • Up to 54% of patients with TBI develop VTE without any prophylactic measures, and 20-30% of patients develop VTE despite mechanical prophylaxis.
  • Clinicians may choose to delay chemical VTE phrophylaxis (cVTEp) initiation due to the potential risk of intracranial hemorrhage expansion.
  • Despite years of evolved understanding of VTE in TBI patients, current guidelines remain unclear about timing of cVTEp initiation, with most recommendin initiation anywhere between 24-72 hours post-admission.
  • Our primary objective was to determine whether early cVTEp initiation prevented more VTE events compared to later initiation, and our secondary objectives were to assess whether early initiation was associated with increased rates of intracranial hematoma, greater need for neurosurgical intervention, or higher mortality.
Methods
  • We performed a systematic review and meta-analysis in accordance with the Preferred Reporting Items for Systematic reviews and Meta-Analyses (PRISMA) Statement.
  • We focused on search terms pertaining to three concepts: traumatic brain injury, chemical VTE prophylaxis medications, and thromboembolic complications.
  • We included studies that compared outcomes of different cVTEp initiation timings in adults (≥16 years of age) with severe TBI (GCS ≤8 or AIS ≥3).
  • We estimated the pooled odds ratio (OR) with corresponding 95% confidence intervals (CIs) for VTE, hemorrhage progression, neurosurgical intervention, and mortality using the DerSimonian-Laird random-effects models.
Results
  • Early cVTEp initiation (using each respective study’s definition of “early initiation”) of cVTEp was associated with significantly reduced odds of VTE compared to late initiation (OR: 0.47, 95% CI: 0.37–0.60, I2 = 32.7%).
  • Early cVTEp initiation did not affect the odds of hemorrhage progression (OR: 1.05, 95% CI: 0.73–1.52, I² = 26.9%) or the odds of requiring neurosurgical intervention (OR: 1.10, 95% CI: 0.58–2.09, I² = 55.1%).
  • Early cVTEp was associated with reduced mortality when initiated at <48h (OR: 0.74, 95% CI: 0.63–0.87, I² = 0.0%).
  • ARR improved with earlier initiation: 1.2% at <24h (NNT 83), 2.1% at <48h (NNT 47), and 3.7% at <72h (NNT 27). 
Figure 1
Earlylate vte
Odds ratios of VTE following cVTEp initiation, stratified by timing
Figure 2
Earlylate hem

Odds ratios of intracranial hemorrhage progression following cVTEp initiation, stratified by timing

Figure 3
Earlylate nsx
Odds ratio of neurosurgical intervention following cVTEp initiation, stratified by timing
Figure 4
Earlylate mortality
Odds ratios of mortality, stratified by timing of cVTEp initiation
Discussion
  • Early initiation of cVTEp in severe TBI is associated with reduced the odds of VTE without a corresponding increase in hemorrhage progression, requirement for neurosurgical intervention, or mortality.
  • The results of subgroup analyses in this study may provide clarity for clinicians caring for patients with severe TBI.
  • The consistent ARR values and associated mortality benefits support early intervention, particularly within the first 48 hours.
References
1. Dewan MC, Rattani A, Gupta S, Baticulon RE, Hung YC, Punchak M, et al. Estimating the global incidence of traumatic brain injury. J Neurosurg. 2019;130(4):1080-97.
2. Denson K, Morgan D, Cunningham R, Nigliazzo A, Brackett D, Lane M, et al. Incidence of venous thromboembolism in patients with traumatic brain injury. American Journal of Surgery. 2007;193(3):380-4.
Img logo 273x140

Rate and Clinical Utility of Early Postoperative CT Head in Adult Craniotomy

Ipinuoluwakiye Fatokun

Dr. Irene E. Harmsen, MD, PhD

Dr. Cameron A. Elliott, MD, PhD

Screenshot 2025 06 01 at 2.11.29 pm
Background

Computed tomography (CT) head scan within 24 hours of brain surgery (i.e., craniotomies) is used:

  • To detect surgical complications (e.g., bleeding, ischemia)
  • For QI purposes (e.g., residual subdural hematoma or tumor)
However, routine use of CT head scans has drawbacks:
  • Radiation exposure
  • Transfer risk for unstable patients (i.e., ICU patients, EVD dislodgement)
  • Resource intensive
Previous literature on the use of early postoperative CT (EPCT) head suggests that:
  • Scans performed 0-7h postop failed to predict CT changes that may develop over time or impact medical management (Khaldi et al., 2010)
  • EPCT following elective craniotomy in neuro-preserved patients is not supported (Blumrich et al., 2021)
  • Failure to extubate within 1h warrants EPCT due to increased risk of repeat surgery (Schär et al., 2016)
Study Question & Objective

Given that postoperative brain imaging practices are variable:

  • Study Question: Does routine early postoperative computed tomography (EPCT) change management?
  • Objective: We evaluated the rate and utility of EPCT, defined as a CT head scan within 24 hours of brain surgery, in consecutive adult craniotomies
Methods

Retrospective review of postoperative CT head use:

  • Review of electronic medical records
  • Adult neurosurgical patients admitted to the University of Alberta
  • Consecutive craniotomies performed >1 year ago
    • Excluded procedures: Non-craniotomies, mini craniotomies for biopsy, craniectomies, cranial burr holes for hematoma evacuation
    • Target N = 405 (based off Blumrich et al., 2021 requiring 135 scans to diagnose 1 clinically silent alteration)
  • Extracted data collected from imaging, radiology reports and progress/operative notes:
    • Rate, timing, and utility (rate of unexpected/adverse findings) of EPCT
    • Rate of surgical complications, neurologic deterioration, and the need for further surgical intervention
Results
1. Breakdown of Neurosurgical Cases
1. breakdown of cases
Figure 1. An overview of neurosurgical cases. 1,050 adult neurosurgical procedures were recorded over a 313-day period (May 1, 2022 to March 9, 2023). Procedures were filtered using the keyword 'craniotomy', which resulted in a total of N=405 cases (38.6%) included in the study.
2. Early postop CT head is routine practice
  • Identified N=405 (38.6%) craniotomies:
    • Mean age 54.6 ± 0.8 years, age range 18-89 years
    • 49.4% (200/405) female vs 50.6% (205/405) male
    • 62.5% (253/405) elective vs 37.5% (152/405) emergent cases
  • Most patients (96.5%, 391/405) underwent EPCT
3. Radiological and clinical changes are related
Screenshot 2025 05 31 at 12.17.57 pm

Figure 2. Contingency table of EPCT head vs. new neuro deficits. 36/391 (9.2%) patients had radiological changes on EPCT (e.g., bleeding, extensive pneumocephalus, edema, ischemia). 60/391 (15.3%) patients had neurologic deterioration on clinical exam (e.g., weakness, aphasia, visual impairment, seizure, decreased LOC, CN palsy). Radiological changes on EPCT correlate with new neuro deficits, X2 (1, N=391) = 141.1, p = 1.54e-32.

4. Repeat surgery is rare with adverse EPCT and no new neuro deficits
  • 0.5% (2/405) cases managed surgically with adverse EPCT but no new neuro deficit
  • 202.5 EPCT are needed to diagnose 1 clinically silent alteration requiring surgery
Epct

Figure 3. Example of a patient with adverse EPCT findings: Left subdural hematoma identified in the absence of new neurological deficits managed with surgical evacuation.

Study Limitations
  • Single-centre study - Surgeon-specific practices may skew results
  • Retrospective design - Follow-up study in pediatrics uses a prospective design to determine the rationale and impact of EPCT in clinical management
Conclusions
Early postoperative CT can be omitted in neurologically intact patients 
  • Low rate of repeat surgery in the absence of neuro deficits despite abnormal EPCT
  • Routine EPCT may not be justified in the absence of clinical deterioration
Study significance & impact
  • Improve patient safety - ​​​​​​reduce radiation exposure, limit transfer risk of unstable patients
  • Optimize resource allocation
  • Decrease healthcare spending
Screenshot 2025 05 31 at 12.40.31 pm
Img logo 273x140

The accuracy of MRI reports in detecting neurovascular conflict in hemifacial spasm

Samuel Molot-Toker

Anthony Kaufmann

Um logo vertical cmyk
Background
  • Hemifacial spasm (HFS) = chronic, progressive, unilateral facial myoclonus
    • Incidence ~0.8/100,000/year, female predominance
  • Painless, but can be psychosocially debilitating
  • Typically caused by vascular compression near the nerve root exit point (RExP; ventrolateral surface of the pons)
    • Culprit vessel: AICA > PICA > vertebral artery
  • Treatment options:
    • Serial injections of botulinum toxin to affected muscles to dull the twitches
      • Temporary symptomatic control, waning efficacy
    • Microvascular decompression (MVD)
      • More invasive, but high rate of complete cure (85-95%)
  • Low surgical utilization rate (estimated ~10% in North America)
  • One bottleneck is referring physicians who:
    • Are unaware of a surgical option
    • Doubt the risk/benefit of surgery
    • Think their patient isn't a candidate due to a negative MRI report
  • Factors contributing to false negative MRI reports:
    • Inadequate clinical history provided
    • ​​​​​​​Inadequate sequences obtained
    • Searching for neurovascular conflict in the incorrect region
1090416f1  1
Photomicrograph of a sagittal brainstem section depicting the proximal facial nerve. The dotted red line highlights the centrally-myelinated portion of the nerve susceptible to compression. AS = attached segment; CP = cisternal portion; RDP = root detachment point; RExP = root exit point; M = midbrain; P = pons; TZ = transitional zone. Adapted with permission. [1]
Study Design
  • Goal:
    • Assess accuracy of pre-operative MRI reports in identifying neurovascular conflict
    • Identify possible areas for improvement to expedite surgical referral and potential cure
  • Methods:
    • Single center, retrospective chart review of all patients who underwent MVD for HFS in 1 calendar year (Jan 2019-Jan 2020)
      • Patient demographics
      • Disease details
      • Pre-op MRI reports
      • Operative reports
Comparison
Results
  • 30 patients
    • Mean age 54y (32-77)
    • 60% female
    • 60% left-sided HFS
    • 66.7% tried botulinum toxin injections prior to surgery
    • 100% had evident neurovascular conflict at time of surgery
      • 40% AICA, 30% PICA, 23.3% VA+branch, 6.7% VA
  • 45 MRIs
    • From 6 provinces (37% MB)
    • 71% included appropriate sequences (i.e., CISS)
  • True positive rate for all MRIs: 51%
  • True positive rate for only MRIs with CISS: 72%
    • 56% agreement between radiographic culprit vessel and OR findings
Findings of mri reports
Conclusions
  • The true positive rate for MRI diagnosis in our series was lower than expected based on actual pathology
  • This may contribute to delayed referrals for surgical management of HFS
  • Multifactorial issue:
    • Radiologists can only work with the information their given
    • Many of the reporting radiologists (especially at community hospitals) do not have fellowship-level training in neuro-imaging
    • Local experience may be lacking due to low surgical volumes
  • Opportunity for multi-disciplinary education
    • Family physicians and neurologists: be specific on imaging requisitions, surgical option exists 
    • Radiologists: protocol MRIs to include appropriate sequences, search for neurovascular conflict at the RExP
    • Neurosurgeons: work together with local radiologists and neurologists to bolster referral patterns
Thumb hkla Noun video grey
Video description
References
Img logo 273x140

Radiographic factors associated with success of endoscopic third ventriculostomy (ETV): retrospective cohort study

Eva Liu

Hooriya Zia

Aleksander Vitali

Amit Persad

Usask logo
Introduction
Endoscopic third ventriculostomy (ETV) is a valuable surgical procedure for the treatment of hydrocephalus.1    Unlike shunt-based treatments, ETV eliminates the need for inserting a foreign body, significantly reducing the risk of postoperative complications such as infection, hematoma, and long-term issues requiring revision. 2,3 However, depite the advantages of ETV, it  is not successful in all patients. 

Currently, the ETV success score (ETVss) is used to predict the procedure's effectiveness over the following 6 months.3 This scoring system accounts for key factors, including the patient’s age, underlying etiology of hydrocephalus, and whether a prior shunt has been placed. Although the ETV Success Score is highly accurate in predicting the success of ETV procedures, it does not incorporate radiographic findings that have been shown to play a valuable role in initial management planning and postoperative assessment. 3, 4, 5 
Objective
This retrospective cohort study investigates radiographic factors linked to the success of Endoscopic Third Ventriculostomy (ETV) for hydrocephalus. 
Methods
We examined 48 patients who underwent ETV between August 2011 and March 2023. Radiographic factors analyzed included the basal skull angle, modified basal skull angle, interpeduncular cistern diameter, prepontine diameter, and approach angle to the third ventricle floor. Statistical analysis was performed using R studio.

Examples of (A) skull base angle and (B) modified skull base angle

Skullbase angle
Results
Table 1. Demographic Information of Included Patients
Number of included patients 48
Number of female patients (%) 22 (50)
Etiology of hydrocephlus  
Post-infectious (%) 3 (6.3)
IVH (%) 5 (10.4)
Non-tectal tumour (%) 3 (6.3)
Aqueductal stenosis (%) 21 (43.8)
Tectal tumour (%) 8 (16.7)
Other (%) 8 (16.7)
Mean ETV Success Score 76.7

Statistical comparison of clinical and radiologic measures between patients with successful and failed ETV. Students’ t-test for parametric data and Mann-Whitney U test for non-parametric data. *-p<0.05, **p<0.01

Tests 1
Tests 2
Table 2. Successful vs. Failed ETVs
Patients ETV Success (n=27) ETV Failure (n = 21)
Mean age 46.9 24.4
# Female 14 8
Etiology of hydrocephalus    
Post-infectious 0 3
IVH 0 5
Non-tectal tumour 2 1
Aqueductal stenosis 14 7
Tectal tumour 7 1
Other 4 4
Mean ETV Score 87.4 62.9
Conclusion
In conclusion, the study highlights that radiographic factors, particularly the modified basal skull angle, interpeduncular cistern diameter, and approach angle, are key predictors of ETV success. This information can assist neurosurgeons in planning cases more effectively.
References
1. Yadav Y, Parihar V, Pande S, Namdev H, Agarwal M. Endoscopic third ventriculostomy. Journal of Neurosciences in Rural Practice [Internet]. 2012 [cited 2019 Nov 7];3(2):163. Available from: https://www.ncbi.nlm.nih.gov/pmc/articles/PMC3409989/
2. Pasqualotto E, Henrique P, Oliva R, Matheus Pedrotti Chavez, Feuerharmel F. Endoscopic Third Ventriculostomy versus Ventriculoperitoneal Shunt in Patients with Obstructive Hydrocephalus: An Updated Systematic Review and Meta-Analysis. Asian Journal of Neurosurgery. 2023 Sep 1;18(03):468–75.
3. Tatoshvili D, Schaumann A, Tietze A, Pennacchietti V, Cohrs G, Schulz M, et al. Clinical and radiologic criteria to predict endoscopic third ventriculostomy success in non-communicating pediatric hydrocephalus. Child’s nervous system : ChNS : official journal of the International Society for Pediatric Neurosurgery [Internet]. 2024 Winter;41(1):57. Available from: https://pubmed.ncbi.nlm.nih.gov/39681728/
4. Wang Q, Cheng J, Zhang S, Li Q, Hui X, Ju Y. Prediction of endoscopic third ventriculostomy (ETV) success with preoperative third ventricle floor bowing (TVFB): a supplement to ETV success score. Neurosurgical review [Internet]. 2020 Dec;43(6):1575–81. Available from: https://pubmed.ncbi.nlm.nih.gov/31691874/
5. Breimer GE, Sival DA, Brusse-Keizer MGJ, Hoving EW. An external validation of the ETVSS for both short-term and long-term predictive adequacy in 104 pediatric patients. Child’s nervous system : ChNS : official journal of the International Society for Pediatric Neurosurgery [Internet]. 2013 Aug;29(8):1305–11. Available from: https://pubmed.ncbi.nlm.nih.gov/23644629/
 
Img logo 273x140

A psychological assessment tool to improve quality of life in neurosurgical residents: a prospective cohort study

Jennifer Mann

Sam Molot-Toker

Husain Shakil

Clare Gallagher

Colin Kazina

Ashish Kumar

Nir Lipsman

Jay Riva-Cambrin

Screenshot 2025 06 03 at 4.18.32 pm
Background
  • Neurosurgery is a long and arduous training program 
  • Burnout prevalence currently exceeds 50%
  • Attrition is becoming increasingly common, and suicide, sadly, is not uncommon and seldomly discussed 
  • The neurosurgical community should better understand resident well-being and quality of life, and is mandated to explore initiatives aimed at improvement
Study Objectives 

1) To understand the status of quality of life, burnout, and well-being in Canadian neurosurgical residents. 
2) To assess whether implementation of a weekly self-assessment tool improves neurosurgical resident quality of life. 

Methods
  • Multicentre, prospective cohort study conducted from October 2023-2024
  • Intervention group: 14 Calgary residents
  • Control group: 12 Toronto and Winnipeg residents
  • Intervention: use of mobile "HONE" application* weekly for one year as a well-being appraisal, with optional psychological counselling 
  • Outcome metrics: all residents responded to three surveys at baseline, six months and one year: EQ-5D-5L, Maslach Burnout Inventory for Medical Personnel (MBI) and Mayo Clinic Resident and Fellow Well-being Index (WBI)
Honeoutput
Results
  • In the 26 resident cohort, baseline EQ-5D utility was significantly greater than population norm (0.91 versus 0.88, p=0.01)
  • Residents experienced significantly greater feelings of depersonalization (mean MBI score 10.28 versus 7.12, p=0.03) and more WBI “at risk” scores* compared to normative data (27% versus 19%)
         Table 1: Baseline Quality of Life in Neurosurgery Residents
Hone table1
  • There were no baseline differences between cohorts; EQ-5D, MBI, and WBI scores were comparable between and within cohorts at all three time points
  • There was an uptrend in utility score (0.91 to 0.92, p=0.24), and downtrend in MBI depersonalization score (2.5 to 2.0) and WBI “at risk” score (36% to 18%) in the intervention group from baseline to endpoint
  • Three intervention group residents displayed help-seeking behaviour by requesting psychological counselling, with ten total sessions facilitated
Conclusions
  • Canadian neurosurgery residents have good overall quality of life driven by high health utility and personal achievement, BUT depersonalization rates are high and 25% of this cohort was at high risk of burnout, medical error, and suicidal ideation
  • The use of a weekly self-assessment application did not have a detectable statistically significant impact on resident quality of life or burnout 
  • Readily-available counselling increased help-seeking behaviour and potentially medical misbehaviour 
Img logo 273x140

Latent home time trajectories for isolated moderate to severe traumatic brain injury survivors: a data-driven method identifies distinct outcome phenotypes

Armaan Malhotra

Avery Nathens

Husain Shakil

Vishwathsen Karthikeyan

Christopher Lozano

Jetan Badhiwala

Francois Mathieu

Benjamin Davidson

Abhaya Kulkarni

Christopher Witiw

Kevin Thorpe

Jefferson Wilson

Screenshot 2025 05 21 at 5.48.49 pm
Background

Traumatic brain injury (TBI) patients experience variable post-injury recovery trajectories. Days alive and at home (DAH) is a validated patient-centered outcome measure that captures healthcare transitions between time spent at home versus various non-home care settings, offering a more nuanced understanding of recovery. This study uses DAH to characterize and predict recovery trajectories for moderate to severe TBI (msTBI) patients up to three years after injury.

Aim
Here we aim to identify and predict long-term outcome trajectories after msTBI.
Methods

This retrospective, population-based cohort study used linked administrative trauma registry data from Ontario, Canada.
Adults hospitalized with isolated msTBI between 2009 and 2021 that survived beyond 72 hours post-admission were eligible for inclusion. DAH was calculated in 30-day intervals from index admission through 3 years post-injury.
Latent class mixed modeling identified unique recovery trajectories.
Sociodemographic, clinical and injury characteristics were compared across trajectory groups. We constructed a clinical prediction model using regression-based and machine learning modeling strategies with readily available characteristics to discriminate favorable from poor recovery trajectories.

Results

There were 3,004 adults that were included for latent class analysis. Five DAH trajectories were identified: early recovery (38.6%), intermediate recovery (27.5%) and late recovery (3.2%) groups were characterized by return to the community at varying time intervals; by contrast, delayed deterioration (3.4%) and poor recovery (27.3%) groups experienced limited time at home at final follow-up. High baseline health resource utilization, frailty, presence of large intraparenchymal hemorrhage, subdural hematoma (regardless of size), diffuse axonal injury and cerebral edema predicted poor outcomes. In contrast, younger age at injury and higher Glasgow Coma Scale score were associated with higher likelihood of experiencing a favorable recovery trajectory. A prediction model could discriminate outcome trajectories with an AUC of 0.812 (95% CI: 782–0.842) on a held-out internal validation test dataset.

Results
Screenshot 2025 05 21 at 5.33.25 pm

Average fractional days at home (DAH) over time across identified trajectory groups. Time is depicted as 30-day intervals from hospitalization for traumatic brain injury until 3 years after (36 intervals). DAH within each observation interval is depicted from 0 (no days alive and at home) to 30 (all days spent alive and at home). Curves reflect averaged lines of best fit with 95% confidence intervals (loess method [locally estimated scatterplot smoothing]).

Screenshot 2025 05 21 at 5.35.26 pm

Traumatic brain injury pathological findings characterized using a heatmap. The proportion of patients within each identified trajectory group are summarized across different intracranial pathologies. 

Cohort Creation
Screenshot 2025 05 21 at 5.36.12 pm
Main Findings

Despite high up-front institutional resource requirements, approximately 70% of patients that survive the acute post-injury period successfully reintegrate into the community at 3 years after msTBI. Prediction of home time outcome trajectories was feasible using demographic, clinical and injury characteristics.

Prediction Model: https://malhotra-ak.shinyapps.io/dah_app/
Img logo 273x140

Artificial intelligence-based outcome prediction for moderate to severe traumatic brain injury: a systematic review and methodological appraisal

Armaan Malhotra

Husain Shakil

Christopher Smith

Yu Qing Huang

Jethro Kwong

Kevin Thorpe

Christopher Witiw

Abhaya Kulkarni

Jefferson Wilson

Avery Nathens

Background
Methodological standards of existing clinical AI research remain poorly characterized and may partially explain the implementation gap between model development and meaningful clinical translation. The APPRAISE-AI tool was designed as a quantitative appraisal instrument that facilitates empirical evaluation of AI-based clinical decision support models with emphasis on model design, validation methodology, clinical utility and patient safety.
Aim
This systematic review aims to identify AI-based methods to predict outcomes after moderate-to-severe traumatic brain injury (TBI), where prognostic uncertainty is highest.
Methods
This systematic review was conducted identifying i) original studies that reported on AI-based models for patients with acute moderate to severe TBI, defined by GCS < 13, inclusion < 7 days from injury; ii) peer-reviewed journal articles; iii) sample size > 10 patients; iv) prediction of a future outcome state (prognostic studies). Functional outcome assessment must occur a minimum > 3 months from injury since earlier assessments are highly susceptible to under-estimating recovery trajectories (overly nihilistic). Studies reporting on patients with concussion or mild TBI only were excluded, unless > 75% of the included cohort had moderate to severe TBI. To assess whether APPRAISE-AI scores changed with study sample size, journal impact factor or year of publication, we constructed a multivariable linear regression model.
Results
We identified 39 studies comprising 592,323 patients with moderate-to-severe TBI. Weakest study domains were methodological conduct, robustness of results and reproducibility. Higher journal impact factor, larger sample size, more recent publication year and use of data that were collected in high-income countries were associated with higher APPRAISE-AI scores. Most models were trained or validated using patient populations from high-income countries, underscoring the lack of diverse model development datasets and generalizability issues of prediction models outside these settings.
Findings

The findings of this systematic review have the potential to increase methodological rigour of neurotrauma research, enhance model translation to clinical settings and reduce potential patient harm. Future research could benefit from evaluation of model performance in pre-specified patient subgroups, explicit consideration of sample size requirements and release of open-source models to maximize transparency.

Results
Screenshot 2025 05 27 at 10.27.56 am
Absolute performance difference between AI and non-AI models across c-index (AUC), accuracy, sensitivity and specificity (reported as %). Positive absolute performance differences mean AI model performance was higher than non-AI model for the given metric. Stratification corresponds to study-specific APPRAISE-AI score (low, moderate or high).
Screenshot 2025 05 27 at 10.29.09 am
Box plot depicting consensus APPRAISE-AI domain-specific scores, and overall scores determined from review of included studies (n=39). Scores were normalized as a proportion of the maximum domain-specific or overall score (percentages). Vertical bars show median values, boxes demonstrate interquartile range (25th to 75th percentile) and whiskers the bounds of 5th and 95th percentiles.
Screenshot 2025 05 27 at 10.31.07 am

PRISMA flow diagram depicting study screening and selection with reasons for exclusion.

Screenshot 2025 05 27 at 10.33.41 am
Box plot depicting individual APPRAISE-AI item-specific scores across study components determined from review of included studies (n=39). Scores were normalized as a proportion of the maximum item-specific score (percentages).
Img logo 273x140

Surgical results with low-grade arteriovenous malformations: a single center 16-year experience

Sungpil Joo

Objective:
Advancements in AVM surgical techniques underscore its efficacy. Our research aims to showcase the positive outcomes of treating low-grade AVMs surgically, focusing on safety and effectiveness.

Methods:
We retrospectively reviewed 55 patients (36 males, 19 females, and average age 37.4 years) with S-M grade 1 and 2 AVMs who underwent surgical resection between January 2009 and December 2022.

Results:
In our study, 55 patients with S-M grade 1 and 2 AVMs underwent surgical resection, evenly divided between grades 1 (50.9%) and 2 (49.1%). Intracranial hemorrhage was the primary symptom in 74.5% of cases. Pre-operative Glasgow Coma Scale (GCS) scores revealed 69.1% of patients scored above 13, with 18% below 8. Successful resection was achieved in 87.3%. Postoperatively, 95.5% of ruptured and 90.9% of unruptured AVM patients showed lower or same modified Rankin Scale scores. Poorer outcomes were significantly linked to lower GCS scores and intranidal/flow-related aneurysms through multivariate logistic regression. Seizures, noted in 9 patients post-surgery, were exclusive to the ruptured AVM group.

Conclusion:
Our findings indicate surgical resection as a beneficial treatment for low-grade AVMs, yielding high cure rates and positive functional outcomes in both ruptured and unruptured cases. Preoperative GCS scores and the presence of associated aneurysms are predictive of postoperative functional status. Additionally, managing postoperative seizures effectively is key to enhancing prognosis.

2
1
Img logo 273x140

Intracranial-intracranial bypass strategies for the treatment of complex intracranial aneurysms

Sungpil Joo

Jsp30 40mm
Purpose/Objectives
The treatment of complex intracranial aneurysms, such as large, giant, fusiform, or pseudoaneurysms, remains challenging despite advances in neurosurgical techniques. These aneurysms often have wide necks, perforating arteries, or disrupted arterial walls, making them unsuitable for conventional methods like clipping, coiling, or flow diversion. When traditional treatments are not feasible, cerebral revascularization, including intracranial-to-intracranial (IC-IC) and extracranial-to-intracranial (EC-IC) bypass, is an option. IC-IC bypass, which matches donor and recipient vessels intracranially, has shown favorable outcomes. This study aimed to describe the technical aspects of IC-IC bypass and retrospectively review clinical outcomes.

Material & Methods

This retrospective study reviewed medical records of patients who underwent surgical or endovascular treatment for intracranial aneurysms between January 2006 and December 2020. It included patients who received a combination of treatments along with intracranial-to-intracranial (IC-IC) bypass surgery, excluding those who had unplanned bypass for ischemic complications. Postoperative outcomes were analyzed, and follow-up was conducted through medical records or phone interviews. Surgical decisions were based on CT angiography or DSA images, and four types of IC-IC bypass techniques were used. Bypass patency was assessed during surgery with video angiography and Doppler ultrasound, and postoperatively with DSA or CT angiography. Postoperative care included aspirin, dual antiplatelet therapy, and clopidogrel monotherapy. Clinical outcomes were evaluated using the Glasgow Coma Scale (GCS) and modified Rankin Scale (mRS), with surgery-related mortality and morbidity defined by death or mRS >2, respectively. Angiographic outcomes were assessed through brain imaging to evaluate aneurysm occlusion and bypass patency.

Results
During the study, 4,394 aneurysms from 4,121 patients were treated, with nine patients undergoing surgical clipping combined with intracranial-to-intracranial (IC-IC) bypass surgery. The group consisted of three males and six females, averaging 50 years old. Most patients (77.8%) presented with subarachnoid hemorrhage, and symptoms varied from headaches to hemiparesis. Aneurysms were primarily located in the middle cerebral artery, with a mix of giant, large, and medium/small sizes. In surgical treatment, five patients underwent Type A strategy (55.6%), one had Type B (11.1%), and three received Type D (33.3%). Type A involved end-to-end (ETE) anastomosis post-resection, with some cases using the superficial temporal artery (STA) for bypass. Type B involved end-to-side (ETS) anastomosis combined with clipping, while Type D utilized graft vessels like the STA for IC-IC bypass. The mean follow-up was 70 months, with all patients showing good outcomes (mRS score 0-2) and no deaths from aneurysm complications. Two patients had mild acute cerebral infarcts, and one had a mild contralateral subdural hemorrhage, but none required further treatment. Initial angiograms showed complete aneurysm obliteration, and follow-up indicated good bypass patency in 88.8% of patients, with clinical symptoms improving overall.
 

Results
5
Characteristics and clinical outcomes of 9 patients who underwent IC-IC bypass
Summary
There are various IC-IC bypass strategies that could be used to treat complex aneurysms, and we have presented several strategies in this paper. The selection of an IC-IC bypass strategy is ultimately determined by the evaluation of the aneurysm and surrounding vascular anatomy. Therefore, we would select a technically facile bypass strategy that could maintain the normal distal flow while occluding the aneurysm.

The treatment of complex aneurysms remains a challenge with conventional treatments such as microsurgical clipping, endovascular coiling, and flow diversion. Currently, cerebral revascularization is being considered as an alternative treatment. Among cerebral bypass surgeries, IC-IC bypass surgery is technically more demanding, but it should be considered by neurosurgeons because of its favorable clinical outcomes and benefits.

Img logo 273x140

Synthetic Neurosurgical Data Generation Using Generative Adversarial Networks and Large Language Models

Austin A. Barr

Eddie Guo

Brij S. Karmur

Emre Sezgin

University of calgary med
Background
Neurosurgical research relies on high-quality clinical data to identify disease patterns, evaluate interventions, and guide clinical decision-making. However, use of real-world data (RWD) is often constrained by:
  1. Limited sample sizes1
  2. Regulations on patient data-sharing2
  3. Limited availability of published trial data3
  4. Labour-intensive data preprocessing and de-identification procedures4
Synthetic data—artificial data that retain statistical properties and relationships within RWD but are designed to preserve patient privacy—offer a promising alternative.
Objectives
To evaluate the capability of generating synthetic neurosurgical data with a generative adversarial network (GAN) and large language model (LLM) to:
  1. Augment RWD
  2. Train an ML model to predict postoperative outcomes
  3. Perform secondary analyses in place of RWD
Methods
Real-world dataset: 140 older adults who underwent neurosurgical interventions5

Synthetic data generation: conditional tabular GAN (CTGAN)6 and the LLM GPT-4o were each used to generate datasets of size n = 140 and n = 1000

Evaluation:
  1. Fidelity: comparison of univariate & bivariate statistics with RWD
  2. Privacy: record uniqueness
  3. Utility:
    1. ML model training: predict KPS deterioration at discharge on RWD
    2. Secondary analyses: clinical predictors of Karnofsky Performance Status (KPS) deterioration at discharge and prolonged ICU stay

 
Table 1. Summary of selected parameters from the real-world neurosurgical dataset
Screenshot 2025 06 04 at 3.06.51 am

 
Screenshot 2025 06 04 at 12.56.28 am
Figure 1. Plain-language prompt inputted into GPT-4o to generate synthetic data
Results
Table 2. Bivariate correlation similarity between real and synthetic datasets
Screenshot 2025 06 04 at 1.54.09 am
Classifier performance trained on:
  • GPT-4o​​​​ data: 0.725 (F1 score), 0.607 (precision), 0.902 (recall)
  • CTGAN data: 0.688 (F1 score), 0.615 (precision), 0.780 (recall)
Figure1
Figure 2. Prediction of KPS deterioration at discharge on RWD. Confusion matrices for the binary classification task showing performance of the models trained on the amplified GPT-4o (left) and CTGAN (right) datasets (n = 1000) and tested on RWD. BinaryAdaBoostClassifier was used for binary classification.

 
Table 3. Analysis of clinical predictors of KPS deterioration at discharge
Screenshot 2025 06 04 at 1.44.39 am

 
Table 4. Analysis of clinical predictors of a prolonged postoperative ICU stay
Screenshot 2025 06 04 at 1.47.27 am
Discussion
  • CTGAN and GPT-4o generated high-fidelity, privacy-preserving synthetic neurosurgical datasets
  • GPT-4o offers highly accessible synthetic data generation with no pre-training or access to RWD
  • Amplification of sample size allowed for ML model training
  • Synthetic datasets preserved clinically important relationships, which effectively reproduced previous study findings and answered a new research question with high alignment to ground truth clinical predictors of neurosurgical outcomes
Synthetic data can enable greater data-sharing for cross-institutional research, support training and validation of robust clinical ML models, and facilitate secondary analysis where otherwise infeasible
Limitations
  • Model optimization: classifier performance would benefit from architecture and training refinements
  • Effect size variability: some differences from ground truth effect sizes were observed in secondary analyses
  • Expert validation: row-level clinical validation was not performed; future expert review is warranted
1Zlochower et al. Top Magn Reson Imaging (2020). doi: 10.1097/RMR.0000000000000237
2Legido-Quigley et al. Nature Medicine (2025). doi: 10.1038/s41591-024-03437-1
3Bergeat et al. JAMA Netw Open (2022). doi: 10.1001/jamanetworkopen.2022.15209
4Tudur Smith et al. Trials (2017). doi: 10.1186/s13063-017-2067-4
5Ferroli et al. Cancers (Basel) (2021). doi: 10.3390/cancers13102320
6Xu et al. arXiv (2019). doi: 10.48550/arXiv.1907.00503
Img logo 273x140

Trends in the management of scalp aplasia cutis congenita

Talia Bitonti

Guangwen Sun

Kevin Cheung

Albert Tu

Screenshot 2025 05 06 at 1.13.14 am
Background & Objectives
-Aplasia Cutis Congenita (ACC) is a rare congenital condition marked by the absence of skin, subcutaneous tissue, and sometimes bone, most frequently involving the scalp1

-Management is controversial, with recommendations ranging from conservative wound care to early surgical reconstruction2-4

-We hypothesized that management recommendations may be influenced by the publishing journals subspecialty and date of publication
Methods
-Systematic review of pediatric scalp ACC management literature following PRISMA guidelines5(OSF DOI: 10.17605/OSF.IO/H8XST)

-Included MEDLINE, Embase and CENTRAL from inception to June 2024

-Articles were included if they made treatment recommendations for pediatric scalp ACC

-Data were extracted on journal type, treatment approach, author specialty and year of publication

-Publishing journals were categorized according to their journal aims: Plastic Surgery, Neurosurgery, Dermatology, Other Surgery, Other Medicine

-Management strategies were categorized as Surgical, Conservative, or Combined

-Statistical analyses included Chi-square tests and linear regression using SPSS
Study Screening & Selection
-Total records identified: 1854

-Included studies: 171

-Majority were single case reports (64%), retrospective series (22%) or commentaries

-Cohen’s Kappa = 0.97 indicating strong inter-rater reliability
Screenshot 2025 05 06 at 12.50.20 am

Proportion of management recommendations by decade. Surgical management was most prevalent in earlier decades, while recent literature shows a shift toward conservative and combined approaches.

Screenshot 2025 05 06 at 12.59.11 am

Reported lesion size thresholds for recommending surgical intervention. Among studies suggesting surgical criteria, lesion sizes ranged widely from >1 cm² to >15 cm², reflecting significant variability in clinical thresholds.

Results: Publication Trends & Bias

Journal Type Influences Recommendations:
-Surgical journals (e.g., plastic surgery, neurosurgery) favoured surgical management, while medical journals preferred conservative or combined approaches (χ² = 44.0, df = 8, p<0.05)

Trends Over Time:
-Earlier studies recommended surgery; recent literature shows a shift towards conservative or multidisciplinary care

-Of 32 studies since 2019, 72% recommended combined surgical and conservative strategies


Lack of Clear Surgical Indications:
-Of 119 studies recommending combined approaches, only 27 specified lesion characteristics guiding surgical decisions

-Suggested thresholds for surgical intervention ranged from >1cm to >15cm, with inconsistent mention of brain or dural exposure
Conclusions & Implications
-There is a lack of standardized guidelines for managing scalp ACC, with wide variability in recommendations across journal types and time 

-Our findings highlight how publication bias and specialty perspective may influence clinical decision-making

-Recent shifts favour conservative or combined approaches, yet clear criteria for surgery remain poorly identified

-To improve care for ACC patients, multidisciplinary collaboration and evidence-based guidelines are urgently needed
References

1. Silberstein E et al. Plast Reconstr Surg. 2014;134(5):766e–74e.
2. Bharti G et al. J Craniofac Surg. 2011;22(1):159–65.
3. Chang-Azancot L et al. Plast Aesthetic Nurs. 2023;43(3):149–53.
4. Dutra LB et al. J Craniofac Surg. 2009;20(4):1288–92.
5. Page MJ et al. The PRISMA 2020 statement. BMJ. 2021;372:n71.

Img logo 273x140

Development of benign enlargement of subarachnoid spaces growth charts

Talia Bitonti

Mohamad Charour

Sharini Sam Chee

Patricia Burhunduli

Albert Tu

Screenshot 2025 05 06 at 1.13.14 am
Introduction
-Benign enlargement of subarachnoid spaces (BESS) is a common cause of macrocephaly in infants and is frequently encountered by pediatric clinicians1. It is characterized by rapidly increasing head circumference (HC) with normal neurodevelopment and spontaneous resolution over time2.

-Though medically benign, this condition can prompt caregiver anxiety and lead to unnecessary referrals and imaging1.


-There currently exist no standardized head circumference growth charts to guide clinical monitoring2. 
Study Design
-Retrospective cohort study using data from the Children’s Hospital of Eastern Ontario from 2015 to 2020.

-Patients identified through neurology and neurosurgery outpatient clinics.

-Generalized Additive Models for Location, Scale, and Shape (GAMLSS)3 were used to develop HC growth charts for patients with presumed or confirmed benign macrocephaly


-These were then compared against World Health Organization (WHO) normative growth curves4.
Eligibility Criteria
-Patients were eligible if they had HC >97th percentile for age and sex according to WHO standards and were between 0-5 years of age4.

-Exclusion criteria: birthweight <1500g, gestational age<33 weeks, hydrocephalus, seizures, subdural hematoma, neoplasm, trauma, genetic syndromes, and any CSF diversion procedure. Patients with HC >60cm were also excluded as this was considered indicative of an underlying pathological process.
Screenshot 2025 05 06 at 1.40.08 am

Percentile curves for HC for all patients (not considering imaging) compared to 3rd, 50th, and 97th percentiles reported by WHO. Dashed lines represent the WHO 3rd, 50th, and 97th percentiles, while solid lines represent the benign macrocephalic HC percentile curves. Girls: (N observations=318; N cases=95); Boys: (N observations=750; N cases=220) 

Screenshot 2025 05 06 at 1.39.28 am

Percentile curves for HC for girls with and without imaging. Dashed lines represent the WHO 3rd, 50th, and 97thpercentiles, while solid lines represent the benign macrocephalic HC percentile curves.

Screening and Assignment
-315 unique patients with 1068 measurements were included in the final cohort.

-Patients with and without imaging were analyzed together, as there was no statistically significant difference in their growth trajectories (p=0.16)
Data Collection and Results
-315 children who were 69.8% male

-Mean age at first HC was 1.1 ± 1.0 years

-Average HC was 48.3 ± 4.1 cm and patients had a mean of 3.6 HC measurements recorded

-There was no statistically significant difference in HC between patients with and without imaging (p=0.16)

-Figure 1 demonstrates that the BESS cohort tracks consistently above the 97th percentile of the WHO curves across all age groups
Conclusion

The development of HC growth curves specific to BESS provides a valuable tool to distinguish benign macrocephaly from more concerning causes. These curves may reduce unnecessary imaging and referral by allowing clinicians to track expected growth patterns in this population. When plateauing follows the typical BESS trajectory, patients may be safely observed without additional intervention.

References

1. Holste KG et al. Subdural hematoma prevalence and long-term developmental outcomes in patients with benign expansion of the subarachnoid spaces. J Neurosurg Pediatr. 2022;29(5):536–42.
2. Tucker J et al. Macrocephaly in infancy: benign enlargement of the subarachnoid spaces and subdural collections. J Neurosurg Pediatr. 2016;18(1):16–20.
3. Rigby R.A. and Stasinopoulos D.M. (2005). Generalized additive models for location, scale and shape,(with discussion), Appl. Statist., 54, part 3, pp 507-554. 
4. World Health Organization. WHO Child Growth Standards. Geneva: WHO; 2009.

Img logo 273x140

Factors affecting access to neurosurgical care in diverse communities in Canada: a qualitative scoping review

Joshua Bougadis

Piper Rome

Tharushi Perera

Julius Ebinu

Download
INTRODUCTION
Screenshot 2025 05 13 at 5.25.14 pm
Screenshot 2025 05 13 at 5.26.28 pm
OBJECTIVES
Screenshot 2025 05 13 at 5.30.16 pm
Screenshot 2025 05 13 at 5.26.28 pm
METHODS
Screenshot 2025 05 13 at 5.33.41 pm
Screenshot 2025 05 13 at 5.16.06 pm
Figure 1: PRISMA Flow Diagram of Study Selection.
Screenshot 2025 05 13 at 5.26.28 pm
RESULTS
Screenshot 2025 05 13 at 5.17.57 pm
DISCUSSION
Screenshot 2025 05 13 at 6.36.33 pm
Screenshot 2025 05 13 at 5.26.28 pm
REFERENCES
Screenshot 2025 05 13 at 5.51.00 pm
Screenshot 2025 05 13 at 5.26.28 pm
CONTACT
Screenshot 2025 05 13 at 5.54.09 pm
Img logo 273x140

Resident wellness and burnout in the University of Alberta Neurosurgery Residency Program – a quality improvement study

Jonathan Heppner

Cameron Elliott

Uofalogo
Background
  • Residency training is well-known to be an arduous life event - especially in neurosurgery.
  • Objectively quantifying wellness is challenging.
  • The Maslach Burnout Index (MBI) is the gold standard for assessing burnout (1) while the Perceived Stress Scale (PSS) identifies the relative importance of stressors (2). Utilization of both captures the most well-rounded picture of resident wellness (3).
  • Objective: to quantify resident wellness using validated instruments (MBI and PSS).
Methods
  • Anonymous administration of the MBI and PSS instruments were administered to U of A Neurosurgery residents every 6 months.
  • Additional free-form responses to identify areas for improvement.
  • Subscore analysis for the MBI to identify distinct aspects of burnout. Individual and average scores tracked longitudinally.
Instruments

Figure 1: Maslach Burnout Index (MBI) and Perceived Stress Scale (PSS) instruments and rating scales for results (provided from ref 4).
Results
Table 1: Baseline MBI and PSS scores
Resident MBI PA AVG MBI EE AVG MBI DP AVG PSS Post-call
1 47 5.9 20 2.2 5 1.0 16 N
2 32 4.0 25 2.8 17 3.4 17 N
3 38 4.8 25 2.8 10 2.0 25 N
4 53 6.6 12 1.3 2 0.4 4 Y
5 33 4.1 33 3.7 16 3.2 22 N
6 35 4.4 29 3.2 10 2.0 22 N
7 37 4.6 27 3.0 7 1.4 25 N
8 0 0.0 0 0.0 0 0.0 0 0

*PA indicates personal achievement subscore, EE indicates emotional exhaustion subscore, DP indicates depersonalization subscore, PSS indicates perceived stress.
  • 71% had at least moderately low personal accomplishment.
  • 86% had at least moderate emotional exhaustion.
  • 71% had at least moderate depersonalization.
  • 86% had above average perceived stress.
Table 2: MBI and PSS scores 6 months later (post intervention)
Resident MBI PA AVG MBI EE AVG MBI DP AVG PSS Post-call
1 31 3.9 33 3.7 19 3.8 16 Y
2 48 6.0 11 1.2 2 0.4 8 N
3 43 5.4 18 2.0 7 1.4 17 N
4 31 3.9 40 4.4 20 4.0 13 Y
5 19 2.4 17 1.9 9 1.8 20 N
6 40 5.0 19 2.1 7 1.4 15 N
7 0 0.0 0 0.0 0 0.0 0 N
8 0 0.0 0 0.0 0 0.0 0 0

*PA indicates personal achievement subscore, EE indicates emotional exhaustion subscore, DP indicates depersonalization subscore, PSS indicates perceived stress.
Interventions included call room improvements, social events, and subscription to the Neurosurgical Atlas for all residents.
 
  • 50% had at least moderately low personal accomplishment.
  • 50% had at least moderate emotional exhaustion.
  • 83% had at least moderate depersonalization.
  • 67% had above average perceived stress.
Conclusions
Baseline:
  • Most residents in the U of A program were objectively experiencing:
    • Low personal accomplishment 
    • Above average emotional exhaustion
    • Depersonalization
  • Perceived stress was above the average population for most residents
  • Requested improvements included:
    • Call room upgrades
    • More social events
    • Increased access to resources (lecture materials and subscription to the Neurosurgical Atlas).

6 months later:
  • Wellness interventions included call room improvements, social events, and subscription to the Neurosurgical Atlas for all residents
  • Improved:
    • 20% decreased emotional exhaustion
    • 36% increased personal accomplishment
    • 19% decreased perceived stress
  • Not improved:
    • 12% increased depersonalization
  • Although Neurosurgery residency remains challenging, responsive interventions have already objectively moderately improved wellness at the U of A.
  • Alleviating depersonalization remains a challenge.
  • Ongoing objective assessment with the MBI and PSS will hopefully show improved resident wellness and identify additional intervention avenues.
References
1. Rotenstein LS, Sinsky C, Cassel CK. How to Measure Progress in Addressing Physician Well-being: Beyond Burnout. JAMA. 2021;326(21):2129–2130.
2. Cohen S, Kamarck T, Mermelstein R.. A global measure of perceived stress. J Health Soc Behav. 1983; 24(4):385–396.
3. Eskander J, Rajaguru PP, Greenberg PB; Evaluating Wellness Interventions for Resident Physicians: A Systematic Review. J Grad Med Educ 1 February 2021; 13 (1): 58–69.
4. Mind Garden, Inc. <https://www.mindgarden.com>

Acknowledgements

We thank the residents in the U of A program (Allan Rheaume, Andrew Chan, Jonathan Heppner, Abdulrhaman Alawadhi, Loic Granzer-Corno, Irene Harmson, Brynn Hoffman, and Kevin Lee) for their participation and ongoing hard work. We also thank the U of A staff - especially the Program Director Dr. Michael Chow and the Wellness Coordinator Dr. Cameron Elliott - who have strived to improve the program and resident wellness.
Img logo 273x140

Persistent central hypercortisolemia following pituitary stalk tumor resection: case lesson

Patrick Toyota

Devon Houdek

Neil Arnstead

Amit Persad

Luke Hnenny

Usask usask colour
Overview

A 57 year old female underwent workup for Cushing's syndrome, demonstrating evidence of ACTH-dependent hypercortisolemia.  Imaging demonstrated a 4.7mm infundibular nodule.  We elected to proceed with endoscopic endonasal approach for resection of the infundibular lesion with goal of biochemical cure.

A satisfactory technical and radiographic resection of the infundibular lesion was achieved.  However, the patient's hypercortisolemia failed to resolve.  Histopathologic analysis identified the lesion as a granulocytoma.  She then underwent bilateral adrenalectomy for management of her persistent hypercortisolemia.

This demonstrates a complex clinical picture in which our patient presented with biochemical results suggesting central ACTH-dependent hypercortisolemia with no identifiable glandular lesion.  The presence of an infundibular lesion led to surgical intervention which unfortunately did not result in biochemical cure despite adequate technical results.  The authors believe this case illustrates a challenging clinical conundrum which emphasizes the uncertainty that should be associated with management of stalk lesions.

Background

Pituitary stalk lesions are rare entities with variable associated clinical manifestations.  Their detection during work-up for endocrinologic abnormalities represents a challenging decision with respect to management.  We present the case of a 57-year-old female with central ACTH-dependent hypercortisolemia who was discovered to have a pituitary stalk lesion treated surgically.

Case Description

A 57-year-old female was referred to endocrinology for management of her diabetes.  She was found to have a Cushingoid appearance and underwent subsequent biochemical workup which

demonstrated evidence of ACTH-dependent central Cushing’s Syndrome (Cortisol post-low dose suppression 792 nmol/L; cortisol post-high dose suppression test 324 nmol/L).  Imaging demonstrated a 4.7mm nodule involving the pituitary infundibulum.

Mri stalk lesion 1
4.7mm nodule originating from the pituitary stalk.
Management

Inferior petrosal sinus sampling and PET-CT was considered, however, given the cortisol suppression seen on HDDST, presence of stalk lesion, and absence of any gland lesion on imaging, glandular pituitary and extracranial ectopic sources were thought to be unlikely.  We elected to proceed with transsphenoidal transtubercular resection of the stalk lesion with goal of biochemical cure.

Endoscopic stalk lesion image
Endoscopic view demonstrating en bloc resection.
Outcome

A satisfactory technical and radiographic resection of the infundibular lesion was achieved.  However, the patient’s hypercortisolemia failed to resolve.  Histopathologic analysis identified the lesion as a granular cell tumor.  Subsequent inferior petrosal sinus sampling further demonstrated evidence of ACTH-dependent central Cushing’s syndrome.  Thus, this is a case of MRI-negative Cushing’s disease.

With no clear surgical target, the patient was then considered for hypophysectomy as well as bilateral adrenalectomy.  After discussion with the patient, they elected to proceed with bilateral adrenalectomy.  The patient has continued 6-monthly MRI scans to monitor for growth of a presumed pituitary lesion.

Histo stalk lesion image

Benign-appearing sheets of densely packed large polyhedral cells, with abundant eosinophilic cytoplasm, consistent with granular cell tumour.

Conclusion

Our case demonstrates a novel clinical picture in which our patient presented with biochemical results suggestive of central ACTH-dependent hypercortisolemia; however no glandular lesion identified on imaging.  The presence of an infundibular lesion led to subsequent surgical intervention which unfortunately did not result in biochemical cure despite adequate technical results.  The authors believe this case illustrates a challenging clinical picture which emphasizes the diagnostic uncertainty that should be associated with pituitary stalk lesions.

Img logo 273x140

Leading The Way: An Overview of Leadership in Canadian Academic Neurosurgery

Heather Rossong

Catherine Veilleux

Steve Casha

Jay Riva-Cambrin

Screen shot 2025 06 02 at 9.24.36 pm
Neurosurgeons are instrinsically multi-faceted leaders. 
Screen shot 2025 06 02 at 9.18.49 pm
BACKGROUND
 
Leadership drives innovation, patient care and resident education in neurosurgery. This study aims to quantitatively analyze the demographic and professional characteristics of Canadian academic neurosurgeons holding formal leadership positions. This serves as the first part of a multi-part study in which we aim to uncover actionable insights into career trajectories, barriers and opportunities for enhancing leadership in the neurosurgical field. 
 
METHODS
Neurosurgeons in remunerated leadership positions in 2024, such as department chairs and program directors, from the 14 Canadian Royal College of Physicians and Surgeons-accredited neurosurgery programs were identified using publicly available online resources, chain-referral sampling, and personal communications. Demographic and professional data were collected and analyzed using frequency analyses and exploratory chi-square tests.
RESULTS
Screen shot 2025 06 02 at 9.21.16 pm
Thirty-four neurosurgical leaders were identified, with the majority being either in departmental (ie. chair) or academic (ie. program director) roles. Pediatrics (26.5%) was the most common subspecialty. Leaders averaged 76.4 (±81.49) publications and an h-index of 19.71 (±15.12) with nearly two-thirds holding advanced degrees.
 
Screen shot 2025 06 02 at 9.22.06 pm
Among non-Quebec programs, male neurosurgeons were less likely than females to hold leadership positions (p = 0.040, OR = 0.344, 95% CI 0.12-0.99), although males still predominated (18 males vs. 6 females). In Quebec, no gender association was found (p = 0.652).
Over half of neurosurgeons held positions in the institution where they trained (52.9%).
CONCLUSION
This study establishes the current landscape of Canadian academic neurosurgeons in leadership positions.
We aim to highlight existing strengths, identify areas for improvement and contribute to fostering more inclusive and effective leadership in Canadian neurosurgery. 
 
TAKE HOME POINTS
  • ​​​​​​Male predominance in formal leadership positions persists however there is a ​positive association between females in neurosurgery and leadership positions in the non-Quebec programs. Some reasons as to why we are seeing this trend include: cultural shifts, institutional support, mentorship, awareness of implicit bias and the high academic and clinical achievements of women in the field. 
  • The pediatric subspecialty is represented most frequently. 
  • Neurosurgeons in leadership positions often stay where they are trained. 
  • There is a range of academic productivity, however this cohort shows a tendancy towards impressive academic output. 
FUTURE DIRECTIONS
Interviews will be conducted with the neurosurgeons holding leadership positions identified in this study. 
  • Further demographic data will be collected on age, ethnicity and years of experience. 
  • Career paths, barriers to advancement and anecdotal words of wisdom will be collected and reported. 
Img logo 273x140

To stave or not to stave? The impact of barrel-stave osteotomy on cephalometric measurements in endoscopic repair of sagittal craniosynostosis

Benjamin Brakel

Mandeep Tamber

Annika Weir

Isabella Watson

A. Hana Miller

Patrick McDonald

Ash Singhal

Faizal Haji

Ubc logo 2019 neurosurgery standard blue282rgb300
Introduction
Craniosynostosis is the premature fusion of the skull sutures, which can restrict skull growth and impact brain development, most commonly occuring at the sagittal suture. Treatment typically involves endoscopic suturectomy (ES) to allow skull expansion followed by postoperative helmet orthosis, with improvement in cranial deformity assessed using the cephalic index (CI).
1 intro es
The impact of variations in surgical technique on long-term CI outcomes is not well understood, and there is controversy regarding whether adding barrel-stave osteotomy (BSO) to standard ES results in greater improvement in CI postoperatively. This approach is thought to improve cranial shape and overall clinical outcomes but may increase operative burden. The aim of this retrospective review was to investigate the impact of BSO during ES on operative outcomes and postoperative cranial deformity in patients undergoing surgical correction of sagittal craniosynostosis.
 
Demographics & Operative Outcomes
A total of 85 patients were included (67 ES+BSO, 18 ES). Average age at surgery was 4 months. Operative outcomes, including length of hospital stay, operative time, time under anesthesia, and blood loss, did not differ significantly between treatment groups (p > 0.05).
3 table 1
4 results operative outcomes figure
Figure 1. Comparison of operative outcomes between ES+BSO and ES groups.
 
Postoperative Cephalometric Outcomes
5 table 2
6 delta ci graphs
Figure 2. Comparison of postoperative CI changes between ES+BSO and ES groups.
Mixed Effects Analysis of Factors Influencing CI
Table 3
Mixed effects trajectories
Figure 3. Cephalic index (CI) over time by treatment group. Trendlines represent mean CI for each treatment group, with shaded areas indicating 95% confidence intervals. Trendlines are plotted up to a cutoff of <10 patients per group.
 
Conclusions
  • In this cohort, the addition of BSO to ES for the treatment of sagittal craniosynostosis significantly improved immediate and long-term cranial deformity outcomes without increasing operative burden.
  • These findings support the option to use BSO as an effective adjunct to ES, offering a robust approach to achieving superior craniometric outcomes in this patient population.
Img logo 273x140

Outcomes and Connectivity Changes in Treatment-Resistant OCD After MR-Guided Focused Ultrasound Capsulotomy

Aryan Zawari

Conrad Rockel

Darren Clark

Marisol Ardila

Bruce Pike

Samuel Pichardo

Beverly Adams

Zelma Kiss

Uc cumming school of medicine   new logo   ii
Introduction
Treatment resistant obessive compulsive disorder (TROCD) 
• 30-50% of OCD which fails to improve after multiple trials of first line therapy with SSRIs and cognitive behavioural therapy (CBT) ± antipsychotics. 
Anterior capsulotomy using MR guided high intensity focused ultrasound (MRgFUS) 
• Emerging and efficacious non-invasive neurosurgical approach to treat TROCD
• Mechanism of treatment in TROCD not fully understood
Cortico-striato-thalamo-cortical (CSTC) circuit function
Emotion regulation, impulse inhibition, cognitive flexibility, movement and reward processing 
Screenshot 2025 06 04 at 3.30.46 pm
Objectives 
  1. Ellucidate the mechanism of MRgFUS capsulotomy treatment in TROCD using fMRI
  2. Compare existing literature on resting state functional connectivity in TROCD
Methods
Screenshot 2025 06 04 at 1.57.15 pm
Schematic outline of experimental procedures and timeline
Screenshot 2025 06 04 at 2.52.38 pm
PRISMA outline of systematic review process
Results

Our clinical outcomes in TROCD MRgFUS 

Screenshot 2025 06 10 at 8.23.24 pm
Our rsFC changes in TROCD
Screenshot 2025 06 04 at 4.54.54 pm
ROI to ROI rsFC of HC and TROCD at pre-op and post-op. Bar represents T-statistic value of each ROI-ROI connection.
rsFC of TROCD in the literature
Screenshot 2025 06 04 at 10.02.38 pm
Conclusion
Clinical outcomes of MRgFUS capsulotomy 
1. 4/6 TROCD had clinical remission at 1 year post-op, in-line with previous studies on TROCD outcomes after non-MRgFUS capsulotomy 

Experimental functional connectivity in TROCD post-MRgFUS capsulotomy 
1. Post-op clinical improvement & disconnection between CSTC nodes following MRgFUS capsulotomy supports CSTC hyperactivity as an underlying mechanism of OCD
2. Increased connectivity within the Salience network could indicate that the patients have increased cognitive flexibility, potentially due to the decrease in CSTC loop hyperactivity

Literature review
1. rsFC of TROCD was distinct from OCD, showing hyperconnectivity in areas related to social cognition& emotional preception, as well as hypoconnectivity in areas controlling inhibition.
• Provides insite into how the underlying mechanism of TROCD & OCD differ
• Suggests diagnostic value of rsFC in finding TROCD from baseline imaging 

 
2. Relative to controls, rsFC of TROCD differed in CSTC loop areas, showing hypoconnectivity in areas of inhibition and stimuli preception, as well as hyperconnectivity in areas of emotional processing 
 
3. Capsulotomy response was associated with baseline hyperconnectivity of areas invovled in reward and emotional processing, supporting a phentotype of overall cognitive rigidity at baseline
Img logo 273x140

Management of ruptured arachnoid cysts with hemorrhage: a bayesian network analysis

Debajyoti Datta

Albert Tu

Cheo logo
Background
  • Arachnoid cysts - extra-axial cerebrospinal fluid collections within the arachnoid membrane. 

  • Arachnoid cysts are usually asymptomatic . 

  • Rupture may result in hemorrhage.  

  • Ruptured arachnoid cysts with hemorrhage have been reported to be one of the main indications of surgical intervention. 

  • Management of ruptured cysts is not well defined.  

  • Aim - to develop a machine learning model to analyze factors affecting decision making. 

Methods
  • Literature search for cases of ruptured arachnoid cysts with hemmorhage/hygroma (1975-2023)  

  • Cleaning and preprocessing of the dataset in R statistical software. Dataset split into training and testing sets -> tree-augmented Naive Bayes (TAN) Classifiers were trained using the BNLEARN package to generate fitted Bayesian networks.  

  • TAN classifiers were evaluated for accuracy and area under the curve (AUC). 

  • A web application was developed to explore the networks. 

Receiver Operating Characteristic (ROC) curve
Roc
 

Model​

Accuracy​

Tree-Augmented Naïve Bayes Classifier for predicting probability of surgery​

90.48%​

Tree-Augmented Naïve Bayes Classifier for predicting type of surgery​

 ​

 ​

Overall accuracy​

75.00%​

 ​

Burrhole​

80.48%​

 ​

Craniotomy​

80.90%​

 ​

Shunt​

70.41%​

 ​

Endoscopic fenestration​

49.09%​


 
Network model representing interrelated factors influencing surgical management,
Slide2
Network model representing interrelated factors influencing the type of surgical management.
Slide3
Results
  • Fitted Bayesian network for predicting the probability of surgery had 18 nodes and 33 arcs. ​

  • Accuracy of 90.48%% when tested on the testing set​

  • The Bayesian network fitted to predict the type of surgery had an overall accuracy of 75%.​

  • Also deployed as a Shiny webapp for using the model with custom inputs.​

Limitation and future direction
  • Dataset is skewed towards surgery – attempted correction with generating balanced dataset.​

  • Future directions include retraining model with artificially generated dataset.

Qrimage
References:
Img logo 273x140

Normal pressure hydrocephalus concomitant with Progressive Supranuclear Palsy: an autopsy-confirmed case and review of the literature

Sharon Husak

Kotoo Meguro

Roland Auer

University of saskatchewan seeklogo
Introduction

Co-occurrence of normal pressure hydrocephalus (NPH) and neurodegenerative disorders such as progressive supranuclear palsy (PSP) complicates diagnosis due to overlapping and evolving features. We report an autopsy-confirmed case of PSP in a patient initially diagnosed with shunt-responsive NPH, without classic PSP signs antemortem. Despite disease progression, CSF diversion may offer meaningful, albeit time-limited, improvement in gait and quality of life.

Case Summary

Patient: 78-year-old female with a 4-year history of progressive gait dysfunction, cognitive decline, and urinary urgency.

  • Frequent falls, magnetic gait, declining IADLs

  • CT: Ventriculomegaly (Evans Index 0.38), acute callosal angle, no DESH

Intervention Timeline:

  • Large-volume lumbar puncture: Improved gait and alertness (Oct 2022)

Table 1. Objective Clinical Measures Pre- and Post-Lumbar Puncture
Gait test table
  • Lumboperitoneal shunt placement (Dec 2022)

Postoperative Course:

  • Initial clinical improvement
  • Progressive decline with new right-leg weakness

  • MRI: Stable; Shunt tap elicited clinical improvement

  • Shunt confirmed patent; gradual functional decline continued

Autopsy: Neuropathology consistent with progressive supranuclear palsy (PSP)

Imaging
Final evans callosal lowest
Figure 1. CT brain showing ventriculomegaly and acute callosal angle, consistent with NPH.
Final image poster

Figure 2. MRI shows “hummingbird” and “Mickey Mouse” signs of midbrain atrophy in PSP.

Pathology
Neuropathology revealed a severe tauopathy consistent with PSP, with near-total neuronal loss and gliosis in the subthalamus, substantia nigra, globus pallidus, and superior colliculus. Tau-positive inclusions were also present in the dentate nucleus, while the cortex and hippocampus were largely spared.
Path combo
Figure 3. Pathological Findings Consistent with PSP. Left: featured case. Middle: control (corticobasal degeneration - CBD). Right: featured case.
Literature Review
 
Variable Featured Case Kawazoe 2023 Kawazoe 2023 Starr
2014
Magdalinou 2013 Klassen 2011 Schott
 2007
Curran 1994
Age/Sex 78F 70M 79F 72M 66F 82F 68M 69M
Sx Duration 4 yr 6 yr 5 yr 18 mo 2 yr 13 mo 3 mo —
Initial Clinical Features
Gait ✔️ ✔️ ✔️ ✔️ ✔️ ✔️ ✔️ ✔️
Cognition ✔️ ✔️ — ✔️ ✔️ ✔️ ✔️ ✔️
Urinary ✔️ ✔️ — ✔️ ✔️ ✔️ ❌ ✔️
Post-Shunt Improvement
Gait ✔️ ✔️ ✔️ ✔️ ✔️ ✔️ ✔️ ✔️
Cognition ✔️ ✔️ — ❌ ✔️ ❌ ✔️ ✔️
Urinary ❌ ✔️ — ✔️ ❌ ✔️ ❌ ✔️
Resp. Time 2 mo few weeks 1 mo 6 mo — 10 mo 1.5 yr 6 mo
Late Ocular ❌ ❌ ✔️ ✔️ ✔️ ✔️ ✔️ ✔️
FU Duration 10 mo 2 yr 5 yr 6 yr — 6.2 yr 4 yr 5 yr
Discussion

Patients with overlapping NPH and PSP pose diagnostic and management challenges. Gait disturbance was universal, while cognitive and urinary symptoms varied. Most showed gait improvement after shunting, but other benefits were inconsistent. Response duration ranged from weeks to years. Delayed emergence of oculomotor signs, especially vertical gaze palsy, suggests unmasked PSP and underscores the need for long-term follow-up.

Conclusions

NPH and PSP often co-occur, complicating diagnosis. Given NPH’s treatability, CSF diversion may offer meaningful, if transient, benefit—even with evolving PSP. Ongoing neurologic monitoring is key as symptoms progress.

References
Full references available here.
Img logo 273x140

Management of subdural hematoma as a complication of shunting in normal pressure hydrocephalus

Kotoo Meguro

Sharon Husak

University of saskatchewan seeklogo
Introduction
Subdural hematoma (SDH) is a recognized complication of cerebrospinal fluid (CSF) shunting for normal pressure hydrocephalus (NPH). Though often asymptomatic, some cases lead to neurological decline requiring surgery. The impact of SDH timing, shunt type, and valve design remains unclear, highlighting the need for clearer guidance in postoperative monitoring.
Objectives
  • Describe timing, presentation, and management of early (≤ 6 mo) vs. late (˃ 6 mo) SDH after shunting for NPH.
  • Assess impact of shunt type (VP, LP, VA) and valve design (Strata vs. Certas) on SDH timing/severity.
  • Identify trends to guide post-shunt monitoring and management.
Materials & Methods

Retrospective 5-year review of NPH patients with CSF shunts. Post-shunt SDH cases were identified; clinical, imaging, and outcome data were analyzed.

Results

The cohort included 34 patients (29 males, 5 females; mean age 74). Early SDH occurred in 18 patients (mean onset 48 days); 5 required surgery, while the remainder were managed with valve adjustment. All returned to baseline.

Late SDH occurred in 16 patients (mean onset 43 months). One required surgery; 13 were treated with valve adjustment, and 2 were observed. Three late SDH patients worsened functionally after shunt adjustment, despite radiographic improvement.

Early SDH was more likely to be symptomatic (Fisher's exact test, p=0.03) and require surgery (Tables 1–2). Shunt type and valve data are summarized in Tables 3–4. Valve setting drift occurred in 2 early and 4 late SDH cases and may have contributed to SDH development; the cause was not always identifiable.

4 tables edit 3jun25
text
Illustrative Cases
Case 1 final
Case 2 final
Case 3 absolute final
Discussion

SDH remains a significant complication following shunt placement for NPH. This series underscores key differences between early (≤ 6 months) and late (˃ 6 months) SDH in both presentation and management. Early SDHs were more often symptomatic and surgically treated, whereas late SDHs were typically asymptomatic and managed conservatively.

Programmable valves appear to reduce the risk and severity of SDH. Delwel et al. observed higher SDH rates in patients initially set to low or medium valve pressures, compared to those started at higher settings with gradual reduction. In a registry of 1,846 patients, Sundström et al. reported that only 30% of SDH cases with programmable valves required surgery, compared to 90% among those with fixed-pressure systems.

In our cohort, 28% of early SDHs required surgical evacuation, frequently alongside valve adjustment. Late SDHs were more often managed by valve adjustment alone, though some patients experienced clinical deterioration despite radiographic resolution.

While programmable valves offer adaptability, their effective use depends on structured follow-up and access to specialized care for timely adjustment and monitoring.

Conclusions

This study highlights key differences in the presentation and management of SDH following shunt placement for NPH. Early SDH (≤ 6 months) was more likely to be symptomatic and surgically treated, whereas late SDH (> 6 months) was typically asymptomatic and managed conservatively. Shunt type did not appear to influence SDH timing.  These findings reinforce the need for vigilant postoperative follow-up, particularly in the early weeks after shunting.

References
Full references available here.
Img logo 273x140

Pain has a significant impact on post-operative quality of life outcomes in patients requiring surgical intervention for degenerative cervical myelopathy

Mohamed Elsayed Elghobashy

Raymond Wong

Mohammed Alvi

Negeen Halabian

Jiawen Deng

Ayesha Quddusi

Karlo Pedro

Jetan Badhiwala

Jefferson Wilson

Michael Fehlings

Affiliation
Introduction

Degenerative Cervical Myelopathy (DCM) refers to progressive cervical spinal cord injury caused by degenerative conditions. The AO Spine RECODE-DCM – gathering initiative emphasized the importance of research on the relationship between pain severity and postoperative functional and neurological outcomes to enhance DCM care.

Objective

This meta-analysis examines the relationship between pain scores and quality of life outcomes in surgical DCM patients. This will aid the development of clinical guidelines that are cognizant of metabolic

Methods

A comprehensive literature search using MEDLINE, Web of Science, and Embase identified 73 studies for data extraction. Two independent reviewers screened studies, and meta-regression assessed the association between visual analogue scale (VAS) pain scores and quality of life outcomes, including the 12-item and 36-item Short Form Surveys (SF-12, SF-36). Findings are expected to clarify pain’s role in surgical decision-making and inform clinical guidelines.

Summary Statistics A meta-regression analysis was performed on the dataset gathered from 73 studies in total, following the full-text screening process.

A
Image 1
B
Image 2

Fig 1. A: Forest-plot diagram of pain and SF-36 values at baseline. B: Forest-plot diagram of pain and SF-36 at 3 months

Image 3

Fig 2. Magnetic resonance imaging (MRI) and anatomic diagram of patients with DCM, demonstrating compression of the cervical spinal cord.

C
Image 4
D
Image 5

Fig 3. C: Forest-plot diagram of pain and SF-36 values at baseline. D: Forest-plot diagram of pain and SF-36 at 3 months

Conclusion

Our results indicate a strong relationship between postoperative pain and QOL among patients with DCM.

Future Directions

Surgeons and care teams should prioritize optimal pain management postoperatively for patients with DCM.

Img logo 273x140

An examination of risk factors and outcomes of iatrogenic dural tears in southern New Brunswick

Samuel Arseneau

Rory McPhee

Erin Bigney

Dr. Edward Abraham

Dr. Chris Small

Dr. Neil Manson

1 66ab4a8f

 Introduction                                                           

Literature suggests that between 1.1%-17% of spine surgery patients will experience a dural tear (DT) during surgery. DTs are relatively common spine surgery complications that can increase a patient's risk of cerebrospinal fluid leaks and adverse events. Given the prevalence of DTs and their potential impact, cases of elective spine surgery in Saint John were examined to determine risk factors and identify adverse event rates. 

 Objectives                                                               

To identify DT rates and to identify current methods/techniques of DT repair being used at the Saint John, NB site. 
To identify DT risk factors and compare post-operative outcomes including adverse events, revision surgery, and emergency room (ER) care within 30 days post-op between DT and non-DT cohorts.

 Methodology                                                         

Using the Canadian Spine Outcomes Research Network database (CSORN), 1056 patients who underwent elective spine surgery were studied. All patients were treated in Saint John, New Brunswick between 2015 and 2022. Patients were separated into two cohorts: those with a DT and those without. Chart reviews were done for each patient to collect potential risk factor characteristics, post-operative adverse events, and ER care that was required within 30 days post-op. Risk factors were analyzed using binary logistic regression, post operative event data was analyzed using a two way ANOVA analysis reported as odds ratios. 

 Results                                                                     

Of the 1056 study participants, 70 were found to have a DT (6.6%).
Several risk factors and adverse events were found to be associated with DTs.

Contact
Samuel Arseneau, BSc.
Dalhousie Medicine New Brunswick
samuel.arseneau@dal.ca


Dural Tear Repair Techniques
Chart 1
 
Adverse Events
Chart 3

  

Horizonlogocmykjpg


   Risk Factors for Dural Tears
Chart 2

Conclusion                                                               

Hyperlipidemia and MIS seemed to be associated with decreased risk of DTs. DTs also seem strongly associated with post-op cardiac arrest and urinary retention, suggesting that post-op care focused on the prevention of these adverse events may be beneficial to outcomes. Patients with DTs are much more likely to require revision surgery and visit the ER for complications within 30 days post-op. 


References

 
 
Dal logo horizontal colour
Img logo 273x140

Open and Minimally Invasive In-vivo Accuracy of Pedicle Screws with an Autonomous Robotic System

R. Burnett Johnston

Marcello Oppermann

Victor Yang

Download
Background

Surgical robotics can minimize the discrepancy between surgical  preoperative plan and postoperative execution. This work explores the performance of a supervisory-control architecture robot for autonomous pedicle instrumentation in both an open and MIS workflow, as well as guidance accuracy assessment in living patients undergoing spinal fusion. 

Robotic system
Autonomous arm for A) Screw placement, B) Bone drilling. 
 
Control Architecture
The Robotic system utilizes a robotic controlled optical sensor coupled with electromagnetic tracking for registration and tool tracking. This enables bimanual action for bone cutting and screw insertion in an autonomous supervised control fashion. The coupled control mechanism obviates line of site obstructions. THe system can be configured for open pedicle screw instrumentation as well as minimally invasive percutaneous screw insertion. Minimaly invasive insertion can be completed with or without K wires as per surgical preference. 
Multimodal feedback including optical, electromagnetic, joint position and torque, and temperature can be used for robotic control.
Methods

A total of 10 porcine subjects were implanted. 6 utilized open surgical technique and 4 minimally invasive percutaneous insertion. Animals were observed for 24 hours to ensure no neurological deficitis. Post operative CT scan was obtained for all animals. All 10 porcine subjects had Gertzbein Robin grading scale completed. Detailed quantitative assessment was conducted in 3 porcine subjects who underwent open pedicle instrumentation with a customized image processing pipeline. Euclidean error was calculated at screw head and screw tip. All points were normalized to a nominal screw, and confidence ellipses generated.
 

Systemintra op
Sytem intraoperatively with navigation and pose
 
As early feasibility in humans the system was used to register and reach pose for both cervical and lumbar spine with registration compated to existing neuronavigation (7D), without use for robotic placement of screws. 
Results

All animals were neurologically intact at 24 hours. 78/78 (100%) of screws were clinically acceptable GRS A+B with 72/76 (92%) GRS A . There was no clinical difference between  MIS vs Open workflow. Mean tip and head Euclidean error where 2.47+/-1.25mm and 2.25+/-1.25mm respectively.  Major and minor axes of the confidence ellipse at 99% was 2.19mm, and 1.28mm, and 2.07mm, and 0.42mm for tip and head respectively. Guidance was successfully obtained in human cases, with good agreement with standard of care image guidance.

Img 20250204 wa0010
System display showing screw plan, current position and live torque feedback during insertion. 
 
Conclusion
This demonstrates the capability of a supervisory controlled robotic pedicle screw insertion robot in both open and minimally invasive workflow. Furthermore, initial guidance was feasible in living human patients with comparable agreement to current navigation systems. Quantitative assessment of guidance is underway with further accruement of study subjects. This work demonstrates exciting promise for the future of autonomous surgical robotics. 
Acknowledgment
Special thanks to the biophotonics lab especially to Ken, Chioliang, Shaurya, Jibrahn and Kiril! 
Img logo 273x140

A Comparison of Clinically Approved DTI Tractography Software for Intrinsic Brain Lesions

Irene E. Harmsen, MD, PhD

Amanda R. Lussoso, BA

Karolyn Au, MD, MSc

Cameron A. Elliott, MD, PhD

University of alberta logo  3
Background & Objective
  • White matter tracts are vital for neural communication, and injuries to them can result in serious sensory, motor, and cognitive impairments, emphasizing the need for their anatomical understanding in surgery.1
  • Diffusion tensor imaging (DTI) tractography allows for the visualization of white matter pathways, significantly improving neurosurgical planning and helping to minimize postoperative neurological deficits.2,3
  • Few DTI software platforms have undergone formal, systematic evaluation, and no consensus exists to determine the clinical quality of available programs.4
  • To our knowledge, no study has directly compared two widely used and clinically approved DTI software platforms in Canada – Synaptive’s Modus PlanTM and Medtronic’s StealthVizTM. 
We aimed to evaluate Modus PlanTM (v2.0.1.1743) and StealthVizTM (v1.4) across three key domains: workflow efficiency (including post-processing, segmentation, fine-tuning, and export time), ease of use (interface complexity and clinician input), and software stability.
Hypothesis
We hypothesized that Modus PlanTM would outperform StealthVizTM in speed and anatomical robustness due to its automation and whole-brain approach.
Methods
Corticospinal and optic radiation tracts were reconstructed using Modus PlanTM and StealthVizTM DTI software platforms.
Dti2
(A) Corticospinal tract (CST), (B) Optic radiation (OR)5
Participants: Retrospective analysis of 13 consecutive patients (Jan 2021-Dec 2023) who underwent preoperative DTI prior to intra-axial tumor resection.

Qualitative & Quantitative Analyses of DTI: 
  • Direct comparison of platforms, including ease of use, degree of clinician input, software stability, and tract output type.
  • Duration of each workflow step (i.e., post-processing, segmentation, fine-tuning, and tract export) was timed.
  • Feasibility of tract reconstruction was evaluated as clinically useful or failed based on anatomical plausibility.
Methods
Statistical Analyses:
  • Unpaired t-test with Welch's correction for post-processing and segmentation times 
  • Unpaired t-test for cumulative total DTI workflow duration 
  • Fisher’s exact test for comparing categorical variables (i.e., clinically useful versus failed tract reconstruction)
Results

Table 1. Qualitative comparison of software platform characteristics between Synaptive’s Modus PlanTM and Medtronic’s StealthVizTM. 

Characteristic Synaptive’s Modus PlanTM Medtronic’s StealthVizTM

Ease of use

+++

- - -

DTI technical expertise required

- - -

+++

Degree of clinician input

+

- - -

Industry representative supervision

+++

- - -

Program stability

+++

- - -

3D object export

-

+

Embedded DICOM export

+

-

Strengths and limitations were scored as positive (+) or negative (-), with the degree of impact noted.
Workflowchart
Figure 1. Workflow duration comparison between Synaptive’s Modus PlanTM and Medtronic’s StealthVizTM. Comparison of average (A) cumulative workflow duration and (B) post-processing and segmentation time between Modus PlanTM and StealthVizTM. Modus PlanTM demonstrated significantly longer cumulative workflow time compared to StealthVizTM (t = 51.0, p < 0.0001) but also required more time for post-processing and segmentation (t = 61.8, p < 0.0001). 
Results
Tractreconstructions2
Figure 2. Comparison of white matter tract reconstructions between Synaptive’s Modus PlanTM and Medtronic’s StealthVizTM. Example reconstruction of (A) corticospinal tracts in blue for Patient 8 and (B) optic radiations in green for Patient 2, visualized on coronal (left), sagittal (middle), and axial (right) TI-weighted magnetization-prepared rapid acquisition gradient echo (MPRAGE) slices for Modus PlanTM (top) and StealthVizTM (bottom).
Conclusion & Future Directions
  • Synaptive’s Modus PlanTM had a significantly longer total workflow duration (22min 51s) than Medtronic’s StealthVizTM (7min 35s), primarily due to extended post-processing time.
  • Clinically useful white matter tract reconstructions were achieved in 69.2% of cases using Modus PlanTM, compared to 38.5% with StealthVizTM.
  • Modus PlanTM demonstrated greater software stability and user-friendliness, requiring less technical input than StealthVizTM, despite longer processing times.
  • Future studies should adopt prospective designs with larger sample sizes and directly compare current-generation platforms.
References

1. Fields RD. Neuroscience. Change in the brain’s white matter. Science. 2010;330(6005):768-769. doi:10.1126/science.1199139
2. Nandu H, Wen PY, Huang RY. Imaging in neuro-oncology. Ther Adv Neurol Disord. 2018;11:1756286418759865. doi:10.1177/1756286418759865
3. Xiao X, Kong L, Pan C, et al. The role of diffusion tensor imaging and tractography in the surgical management of brainstem gliomas. Neurosurg Focus FOC. 2021;50(1):E10-. doi:10.3171/2020.10.FOCUS20166
4. Feigl GC, Hiergeist W, Fellner C, et al. Magnetic resonance imaging diffusion tensor tractography: evaluation of anatomic accuracy of different fiber tracking software packages. World Neurosurg. 2014;81(1):144-150. doi:10.1016/j.wneu.2013.01.004
5. Radwan AM, Sunaert S, Schilling K, et al. An atlas of white matter anatomy, its variability, and reproducibility based on constrained spherical deconvolution of diffusion MRI. Neuroimage. 2022;254:119029. doi:10.1016/j.neuroimage.2022.119029